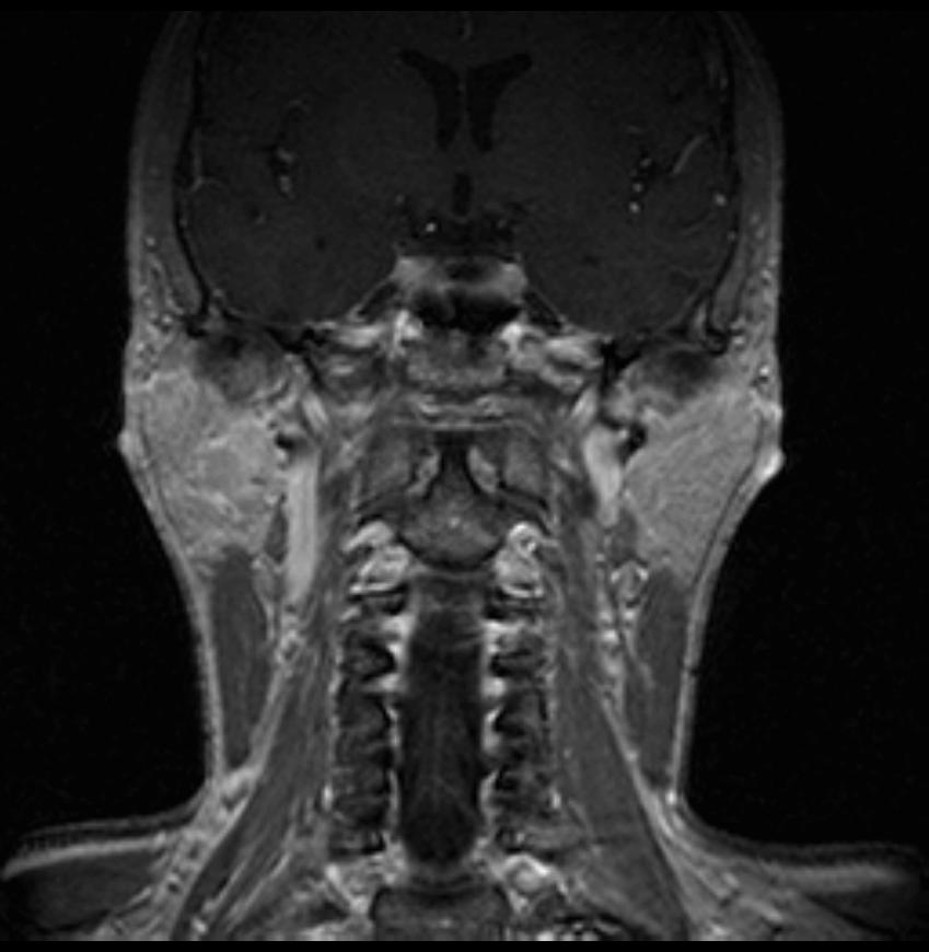
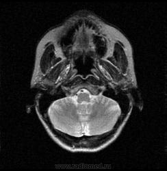
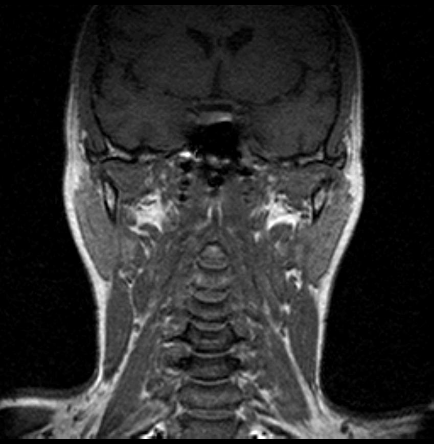
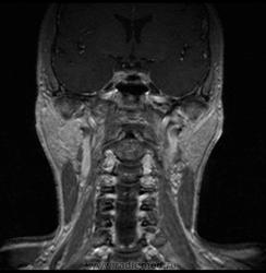
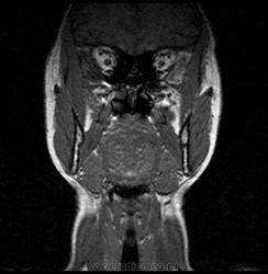
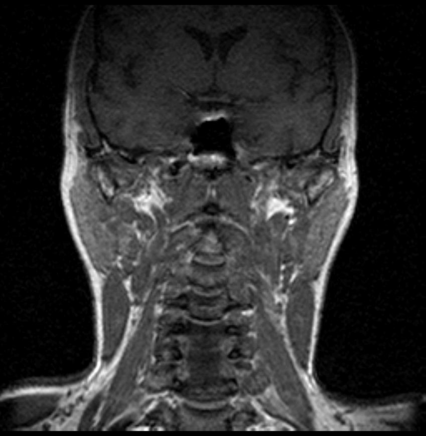
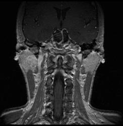
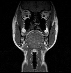
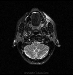
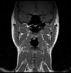
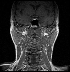
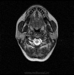
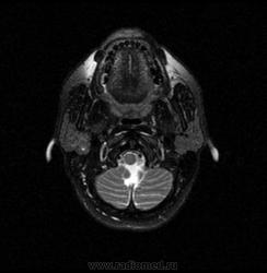
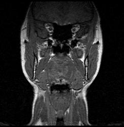
06.06.2011 МРТ - головы и шеи.

Пацентка 36 лет, с жалобами на припухлось в околоушной области справа. 

   

   

   

   

    

   

   

   

   

   

   

   

 

 

 

 

  • https://radiomed.ru/sites/default/files/styles/case_slider_image/public/user/117/image18_3.jpg?itok=Ug9SnxwQ
  • https://radiomed.ru/sites/default/files/styles/case_slider_image/public/user/117/image17_2.jpg?itok=hC3KIGNw
  • https://radiomed.ru/sites/default/files/styles/case_slider_image/public/user/117/image16_1.jpg?itok=f7hsy334
  • https://radiomed.ru/sites/default/files/styles/case_slider_image/public/user/117/image15_2.jpg?itok=2SlqxAKy
  • https://radiomed.ru/sites/default/files/styles/case_slider_image/public/user/117/image14_4.jpg?itok=l2NjtX2P
  • https://radiomed.ru/sites/default/files/styles/case_slider_image/public/user/117/image13_5.jpg?itok=tAobwTYC
  • https://radiomed.ru/sites/default/files/styles/case_slider_image/public/user/117/image12_9.jpg?itok=twEJ89Ic
  • https://radiomed.ru/sites/default/files/styles/case_slider_image/public/user/117/image11_6.jpg?itok=fDSx1451
  • https://radiomed.ru/sites/default/files/styles/case_slider_image/public/user/117/image24.jpg?itok=DR-2P3dK
  • https://radiomed.ru/sites/default/files/styles/case_slider_image/public/user/117/image23_0.jpg?itok=zC1S-QV3
  • https://radiomed.ru/sites/default/files/styles/case_slider_image/public/user/117/image22_1.jpg?itok=26CGAzBM
  • https://radiomed.ru/sites/default/files/styles/case_slider_image/public/user/117/image21_0.jpg?itok=kp2oAhCs
  • https://radiomed.ru/sites/default/files/styles/case_slider_image/public/user/117/image20_3.jpg?itok=hmVrQzha
  • https://radiomed.ru/sites/default/files/styles/case_slider_image/public/user/117/image19_2.jpg?itok=HgWuorfo
  • https://radiomed.ru/sites/default/files/styles/case_slider_image/public/user/117/image18_4.jpg?itok=PVYqcDbZ
  • https://radiomed.ru/sites/default/files/styles/case_slider_image/public/user/117/image17_3.jpg?itok=FwdO5s0x
  • https://radiomed.ru/sites/default/files/styles/case_slider_image/public/user/117/image18_5.jpg?itok=2bRH3Sgm
  • https://radiomed.ru/sites/default/files/styles/case_slider_image/public/user/117/image17_4.jpg?itok=4x5IyWej
  • https://radiomed.ru/sites/default/files/styles/case_slider_image/public/user/117/image16_2.jpg?itok=6JNuPzIO
  • https://radiomed.ru/sites/default/files/styles/case_slider_image/public/user/117/image15_3.jpg?itok=r0_Uwnin
  • https://radiomed.ru/sites/default/files/styles/case_slider_image/public/user/117/image14_5.jpg?itok=H8tu-pPt
  • https://radiomed.ru/sites/default/files/styles/case_slider_image/public/user/117/image13_6.jpg?itok=9cS6Ig-B
  • https://radiomed.ru/sites/default/files/styles/case_slider_image/public/user/117/image12_10.jpg?itok=U8P6jQHM
  • https://radiomed.ru/sites/default/files/styles/case_slider_image/public/user/117/image11_7.jpg?itok=kyVSjCuB
  • https://radiomed.ru/sites/default/files/styles/case_slider_image/public/user/117/image01_0.jpg?itok=7xOZhRqv
  • https://radiomed.ru/sites/default/files/styles/case_slider_image/public/user/117/image03_1.jpg?itok=h19AKIiP
  • https://radiomed.ru/sites/default/files/styles/case_slider_image/public/user/117/image05_1.jpg?itok=6ETDMsxU
  • https://radiomed.ru/sites/default/files/styles/case_slider_image/public/user/117/image07_5.jpg?itok=9sSNh0s2
  • https://radiomed.ru/sites/default/files/styles/case_slider_image/public/user/117/image16_3.jpg?itok=xn5JsniC
  • https://radiomed.ru/sites/default/files/styles/case_slider_image/public/user/117/image19_3.jpg?itok=9NyQdNLd
  • https://radiomed.ru/sites/default/files/styles/case_slider_image/public/user/117/image26.jpg?itok=lYZYbcgh
  • https://radiomed.ru/sites/default/files/styles/case_slider_image/public/user/117/image30.jpg?itok=gJLDc3Jq
  • https://radiomed.ru/sites/default/files/styles/case_slider_image/public/user/117/image34.jpg?itok=6pqKc76G
  • https://radiomed.ru/sites/default/files/styles/case_slider_image/public/user/117/image38.jpg?itok=I4Fwr6qB
  • https://radiomed.ru/sites/default/files/styles/case_slider_image/public/user/117/image41.jpg?itok=IVmevVsM
  • https://radiomed.ru/sites/default/files/styles/case_slider_image/public/user/117/image43.jpg?itok=VTMWBn0h
  • https://radiomed.ru/sites/default/files/styles/case_slider_image/public/user/117/image46.jpg?itok=i1Xfbe1k
  • https://radiomed.ru/sites/default/files/styles/case_slider_image/public/user/117/image48.jpg?itok=dr8A5Fw3
  • https://radiomed.ru/sites/default/files/styles/case_slider_image/public/user/117/image50_0.jpg?itok=ZVez9OIC
  • https://radiomed.ru/sites/default/files/styles/case_slider_image/public/user/117/image52.jpg?itok=hw0qJj-6
  • https://radiomed.ru/sites/default/files/styles/case_slider_image/public/user/117/image38_0.jpg?itok=sZTpcI4d
  • https://radiomed.ru/sites/default/files/styles/case_slider_image/public/user/117/image40.jpg?itok=gVDP4jon
  • https://radiomed.ru/sites/default/files/styles/case_slider_image/public/user/117/image42.jpg?itok=rdC4n-Gb
  • https://radiomed.ru/sites/default/files/styles/case_slider_image/public/user/117/image44.jpg?itok=lQFBnXU6
  • https://radiomed.ru/sites/default/files/styles/case_slider_image/public/user/117/image46_0.jpg?itok=MX7JQ9YA
  • https://radiomed.ru/sites/default/files/styles/case_slider_image/public/user/117/image48_0.jpg?itok=OBPJsLnG
  • https://radiomed.ru/sites/default/files/styles/case_slider_image/public/user/117/image50_1.jpg?itok=ITo5EEkX
  • https://radiomed.ru/sites/default/files/styles/case_slider_image/public/user/117/image52_0.jpg?itok=DPDvASI-
ID:54246
Helios аватар
Не на сайте
Был на сайте: 7 месяцев 3 недели назад
Зарегистрирован: 06.08.2010 - 15:16
Публикации: 4417

 В глубокой доле  правой околоушной железы  на фоне неизмененной паренхимы зона  гетерогенного по Т2, гипоинтенсивного по Т1  с единичными гиперинтенсивными включениями.При контрастировании- накопление контраста диффузное неоднородное и по периферии.Рискну предположить злокачественное образование ( аденокарцинома) с низкой степенью злокачественности( есть капсула, экспансивный рост).Сильно не расстреливайте.

v1tal аватар
Не на сайте
Был на сайте: 4 года 9 месяцев назад
Зарегистрирован: 07.06.2008 - 19:41
Публикации: 1779

Гистология должна быть на днях готова, а почему Вы решелил что это злокачественное новообразования, хотя при этом все указали о доброкачественное течение? А что Вы еще могли бы сказать по поводу лицевого нерва?  По локализации Вы правы, это околоушная слюнная железа. 

"Знаешь, у некоторых врачей есть комплекс мессии — им необходимо спасать мир. А у тебя комплекс Рубика — тебе необходимо решать головоломки."

Helios аватар
Не на сайте
Был на сайте: 7 месяцев 3 недели назад
Зарегистрирован: 06.08.2010 - 15:16
Публикации: 4417

Сначала я написала, что новообразование доброкачественное, потом пересмотрела книжки(я  в первый раз сталкиваюсь с таким, с учетом того, что работаю всего третий месяц)и решила, что все-таки больше к злокачественному с низкой степенью больше подходит.Доброкачественные образования( судя по книгам, которые у меня имеются)имеют гиперинтенсивный МРС в Т2, а здесь все-таки не такой яркий сигнал.По поводу лицевого нерва-мне еще трудно определить взаимоотношение с шилососцевидным отверстием-опыта совсем нет.Виталий,если не трудно-могли бы "на пальцах" более популярно об"яснить?Буду очень благодарна.

v1tal аватар
Не на сайте
Был на сайте: 4 года 9 месяцев назад
Зарегистрирован: 07.06.2008 - 19:41
Публикации: 1779

         Проблема в том, что перед челюстно-лицевым хирургом стоит распространенность любого объемного процесса, в данном случае все упирается в возмможную травму лицевого нерва и конечно же с дальнейшим его парезом, а ведь женщина  еще молодая. Образование имеет тонкостенную оболочку, по структуре неоднородно, с наличием кальцината, при этом МР-сигнал от окружающих анатомических структур(как костных так и мышечных) не изменен, т.е. об инфильтративном росте речи не идет, в какой то степени доброкачественное. В конкретном случае лицевой нерв с ретромандибулярной веной просто несколько оттеснен.

         По гистологии аденома околоушной слюнной железы, но после удаления пока сохраняется парез лицевой мускулатуры, возможно временный. 

Приложения: 
chmn.jpg

"Знаешь, у некоторых врачей есть комплекс мессии — им необходимо спасать мир. А у тебя комплекс Рубика — тебе необходимо решать головоломки."

Helios аватар
Не на сайте
Был на сайте: 7 месяцев 3 недели назад
Зарегистрирован: 06.08.2010 - 15:16
Публикации: 4417

Виталий, спасибо за экспресс-курс.Теперь буду ориентироваться на первые впечатления, ну и побольше читать.

Будем надеяться, что пациентка поправится.