Клинические наблюдения

Опубликуйте свое собственное клиническое наблюдение!
04.12.2025 - 14:14
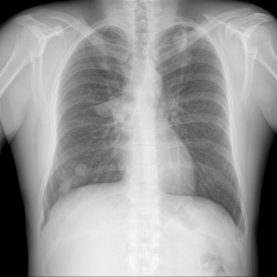
Пациент 41год, проходил проверочное исследование лёгких. Жалобы на кашель со слизистой мокротой, слабость, потливость , сухость во рту. Страдает сахарным диабетом со множественными осложнениями.Двое...
01.12.2025 - 15:53
Добрый день. я новичок. Подскажите пожалуйста копчик в норме ? со слов 13-летнего пациента, беспокоит боль при движении наклонах сидении копчика 2месяца https://disk.yandex.ru/d/LXIC5Se-...
27.11.2025 - 21:00
Постоянные боли стоп после ходьбы или длительного стояния. К вечеру стопы опухают и краснеют, становятся видны вены, последние пол года, ноги начали болеть (ныть) от подколенной...
27.11.2025 - 18:52
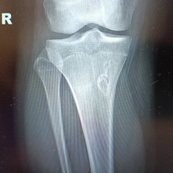
Коллеги, здравствуйте! Мужчина, 40 лет, жалобы на боли в правом коленном суставе.  По снимкам - много вопросов. 1) Что с бугристостью большеберцовой кости? Экзостоз? Вроде как...
27.11.2025 - 11:55
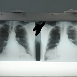
Добрый день. Подскажите пожалуйтса как описать в нижних отделах левого легкого.. как образование слева ?
25.11.2025 - 14:23
Здравствуйте,подскажите,пожалуйста,пациентка с установленным диагнозом сахарный диабет ,из жалоб отек и боль в области костей предплюсны с мая ,смущает разрежение головки 1 плюсневой кости правой...
24.11.2025 - 11:00
Здравствуйте,пациентке назначена рентгенография Пояснично-кр отд п-ка,1948 гр,случайная находка,что за тень?смещается при повороте
23.11.2025 - 21:28
Здравствуйте, женщина 40лет, жалобы на увеличение живота, началось с 2023 года, жалобы на запоры временами и на водянистый стул, подскажите что здесь в области баугиниевой заслонки? ...
22.11.2025 - 21:44
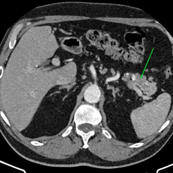
Здравствуйте, подскажите пациент 60 лет, особо жалоб нет, на узи было изменения в печени, в хвосте поджелудочной железы отмечаются немного гиподенсивные изменения может ли это быть раком? на МРТ...
21.11.2025 - 22:59
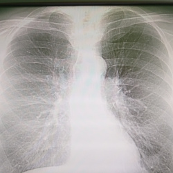
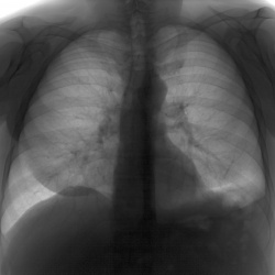
Мужчина 40 лет. Диагностическая  флюорография. Пришел на контроль, был поставлен диагноз 01.11.25 пневмония с\д, справа, в другой клинике. Смущает тень, которая видна только на задней проекции,...
сергеев николай аватар
21.11.2025 - 15:40
Ребенок 16 лет, девочка. Боли в коленных суставах. Коллеги как можно дифференцировать данный  дефект костной ткани ?
21.11.2025 - 10:35
Рентгенография придаточных пазух носа с целью выявления степени аденоидов. Ребенку 2,7 лет. Имеет редкую особенность черепно-ключичный дизостоз. Остается  открытым родничок. Во...