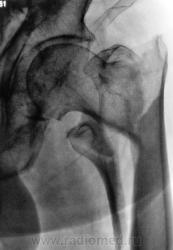
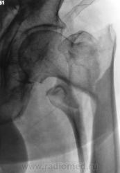
1. Эх, гололёд, гололёд, гололёд...

Пол пациента: 
Тип патологии: 
Область исследования: 
Методы исследования: 

Опять все обледенело. Травмы, травты, травмы...

Ваше мнение коллеги?

 

  • https://radiomed.ru/sites/default/files/styles/case_slider_image/public/user/12/2._Gololyod.JPG?itok=C7UazDQU
  • https://radiomed.ru/sites/default/files/styles/case_slider_image/public/user/12/3._Gololyod.jpg?itok=kQ0C4WS0
ID:898