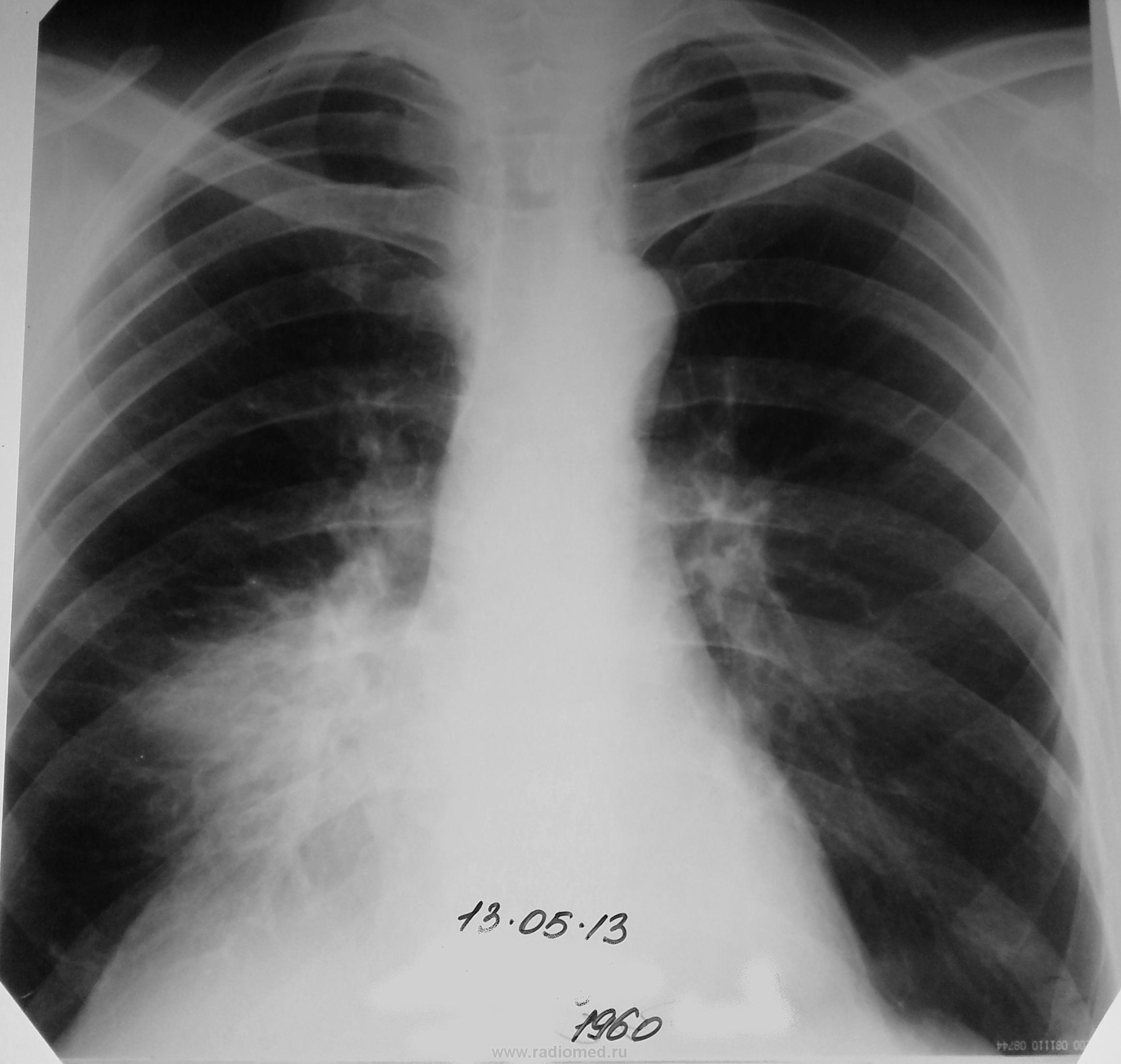
[13/05/2013] ОГК Мужчины 53 лет

Пол пациента: 
Тип патологии: 
Методы исследования: 

Лежит в терапии мужчина с правосторонней пневмонией шестой день.. сегодня явился на контроль.

рентген динамика на фоне лечения 5 дней почти нулевая. ( первый снимок был на флюорографе, предоставить не могу)

клиника скудная, самочувствие неплохое.

о чем бы вы подумали, коллеги? 

                 

  • https://radiomed.ru/sites/default/files/styles/case_slider_image/public/user/16833/20130513_104632.jpg?itok=LjzbA4nY
ID:28461
Алексей Станиславович аватар
Не на сайте
Был на сайте: 5 лет 10 месяцев назад
Зарегистрирован: 11.08.2012 - 20:33
Публикации: 1903

Подумал бы о раке (в первую очередь). Да и в правом корне на боковом "кругляк" какой-то. Но еще недельку подождал бы с выводами и томографией.

З.Ы. Приятно видеть у коллеги, занимающегося "высокими" технологиямиwink, классический случай. Надо думать, продолжение будет " продвинутым"))).

С уважением, smiley

Катенёв Валентин Львович аватар
Не на сайте
Был на сайте: 7 лет 2 недели назад
Зарегистрирован: 22.03.2008 - 22:15
Публикации: 54876

Алексей Станиславович wrote:

Подумал бы о раке (в первую очередь). 

+1

Almo аватар
Не на сайте
Был на сайте: 46 минут 37 секунд назад
Зарегистрирован: 28.09.2008 - 18:50
Публикации: 8256

 

Лежит в терапии мужчина с правосторонней пневмонией шестой день.. сегодня явился на контроль.

рентген динамика на фоне лечения 5 дней почти нулевая. ( первый снимок был на флюорографе, предоставить не могу)

клиника скудная, самочувствие неплохое.

о чем бы вы подумали, коллеги?

------------------------------------------------------------------------------------------------------------------------------------------------------------------------------------------------------------------------------

Коллега,  с учётом имеющихся данных  о многом можно думать:

1. данных,   что бы определиться с ситуацией недостаточно!

2.конечно,  что бы предметно вести разговор, надо бы иметь R-картину изменений в лёгких 5 дней назад.

3. жалобы, анамнез заболевания, лабораторные данные.

4. строго говоря, можно  корректно судить о R-динамике, через 10 дней лечения. 

Special.K аватар
Не на сайте
Был на сайте: 8 лет 10 месяцев назад
Зарегистрирован: 09.08.2012 - 23:08
Публикации: 479

Алексей Станиславович, я занимаюсь и высокими и классическими технологиями наравне!

по теме - в заключении предположил ателектаз средней доли из-за центрального с-ч.  приятно видеть, что коллеги считают также.

насчет продолжения с МСКТ.. я его рекомендовал, но не факт что увижу результаты исследования (если увижу то обязательно выложу). 

Almo,  в анализах на пневмонию не тянет; лейкоциты в норме.  клинически - субфебрилитет, редкий сухой кашель. интоксикация минимальная.

 

спасибо за ваши мнения!

Nikolas аватар
Не на сайте
Был на сайте: 1 месяц 3 недели назад
Зарегистрирован: 21.12.2010 - 20:37
Публикации: 4559

+1. Рентгенологическое исследование больных с известной или предполагаемой пневмонией проводится не ранее чем через 14 дней после начала АБ лечения. Рентгеноллогическое исследование может быть выполнено и в более ранние сроки, при возникновении осложнений или существенном изменении клинической картины заболевания.

Алексей Станиславович аватар
Не на сайте
Был на сайте: 5 лет 10 месяцев назад
Зарегистрирован: 11.08.2012 - 20:33
Публикации: 1903

Nikolas wrote:

+1. Рентгенологическое исследование больных с известной или предполагаемой пневмонией проводится не ранее чем через 14 дней после начала АБ лечения. Рентгеноллогическое исследование может быть выполнено и в более ранние сроки, при возникновении осложнений или существенном изменении клинической картины заболевания.

Вот точно +100! Куда спешим? Всё эти КСГ и страховые...

С уважением, smiley

Сергей Кузьминов аватар
Не на сайте
Был на сайте: 1 год 2 недели назад
Зарегистрирован: 06.10.2012 - 15:51
Публикации: 11813

Согласен с вышеизложенными мнениями.

Алексей Игоревич Чернявский аватар
Не на сайте
Был на сайте: 6 лет 10 месяцев назад
Зарегистрирован: 08.08.2012 - 21:52
Публикации: 786

Центральный рак.

"Обучая других - учишься сам". Н.И.Пирогов
 

mila аватар
Не на сайте
Был на сайте: 5 лет 2 месяцев назад
Зарегистрирован: 26.02.2010 - 02:56
Публикации: 277

А какие признаки центрального рака в данном случае? Пневмонии средней доли из-за анатомических особенностей могут часто иметь затяжное течение. 

stovbav аватар
Не на сайте
Был на сайте: 2 года 2 месяцев назад
Зарегистрирован: 20.12.2009 - 17:28
Публикации: 7066

mila wrote:

А какие признаки центрального рака в данном случае? Пневмонии средней доли из-за анатомических особенностей могут часто иметь затяжное течение. 

Могут, но в данном случае узлообразование очевидно, так что динамики улучшения мы не дождемся...увы.

mila аватар
Не на сайте
Был на сайте: 5 лет 2 месяцев назад
Зарегистрирован: 26.02.2010 - 02:56
Публикации: 277

Где узловое образование? Затемнение средней доли есть, уменьшение объема - сомнительно. Смущает немного более высокое стояние диафрагмы в переднем отделе. 

арти аватар
Не на сайте
Был на сайте: 12 лет 1 месяц назад
Зарегистрирован: 26.02.2012 - 11:23
Публикации: 490
stovbav аватар
Не на сайте
Был на сайте: 2 года 2 месяцев назад
Зарегистрирован: 20.12.2009 - 17:28
Публикации: 7066

Т.е. - вот ЭТО на узел "не дотягивает", вкупе со всеми остальными признаками?

Приложения: 
uzel.jpg
vadim losevichev аватар
Не на сайте
Был на сайте: 7 лет 1 месяц назад
Зарегистрирован: 27.01.2013 - 09:45
Публикации: 679

Я за центральный рак.

Non progrĕdi est regrĕdi.

Роман Муравьев аватар
Не на сайте
Был на сайте: 4 года 9 месяцев назад
Зарегистрирован: 02.10.2010 - 20:09
Публикации: 191

Еще наверно контроль будет после курса лечения

Special.K аватар
Не на сайте
Был на сайте: 8 лет 10 месяцев назад
Зарегистрирован: 09.08.2012 - 23:08
Публикации: 479

скорее всего, будет.

Almo аватар
Не на сайте
Был на сайте: 46 минут 37 секунд назад
Зарегистрирован: 28.09.2008 - 18:50
Публикации: 8256

Ждём результов по контрольным снимкам!