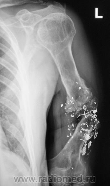
прямо помойка какая-то, но из всего этого можно определить элементы серкляжных швов, если сохранилась целостность лучевого нерва, то фунция у этого больного вероятно сносная, получилось подобие коленного сустава верхней конечности( даже надколенник есть) судя по плечевому суставу больной активно пользуется конечностью
Нда...Боюсь даже предположить - состояние после металлоостеосинеза?!
Ужас... Меня впечатлить трудно, но тут проняло... Есть малый шанс, что это - и последствие огнестрела, дробовик с металлической дрянью, но врядли...
Золото? Брильянты?
прямо помойка какая-то, но из всего этого можно определить элементы серкляжных швов, если сохранилась целостность лучевого нерва, то фунция у этого больного вероятно сносная, получилось подобие коленного сустава верхней конечности( даже надколенник есть) судя по плечевому суставу больной активно пользуется конечностью
Пациент готовится к протезированию
Это видимо результат минно- взрывной травмы.