[15.10.2013] Родители проморгали

Пол пациента: 
Тип патологии: 
Область исследования: 
Методы исследования: 

как говорится, no comments.

ID:32454
vadim losevichev аватар
Не на сайте
Был на сайте: 7 лет 1 месяц назад
Зарегистрирован: 27.01.2013 - 09:45
Публикации: 679

Сам выйдет?

Non progrĕdi est regrĕdi.

stovbav аватар
Не на сайте
Был на сайте: 2 года 2 месяцев назад
Зарегистрирован: 20.12.2009 - 17:28
Публикации: 7066

vadim losevichev wrote:

Сам выйдет?

Что то гложут меня тайные сомнения...на сей счет...

Special.K аватар
Не на сайте
Был на сайте: 8 лет 10 месяцев назад
Зарегистрирован: 09.08.2012 - 23:08
Публикации: 479

вот и у меня сомнения, что выйдет. ребенок больно мелкий. Если ФГДС - то нужна специальная педиатрическая аппаратура. взрослая трубка не пролезет скорее всего.

lupan аватар
Не на сайте
Был на сайте: 6 лет 10 месяцев назад
Зарегистрирован: 07.01.2010 - 17:17
Публикации: 1406

Выйдет, во всяком случае до прямой кишки дойдет, а там уже проще. Проволочные "ежи" выходят за "милый мой", правда, у взрослых. Если у эндоскопистов или хирургов не чешутся руки.

Великое преймущество врача заключается в том, что он не обязан следовать собственным советам. ( А. Кристи)

Dr.Yllich аватар
Не на сайте
Был на сайте: 1 год 4 месяцев назад
Зарегистрирован: 01.05.2011 - 22:52
Публикации: 1196

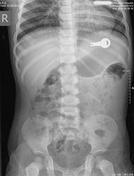
 Уважаемый коллега Special.K, ! На Вашем снимке есть дата 02.02.2012. Это дата рождения?  А мы при снимках на предмет поиска инородных тел детишек раздеваем. Смущает, что тень ключика выходит за пределы тени раздутого желудка. Хотелось бы знать время предполагаемого попадания инородного тела.

С уважением. Ильич.

Special.K аватар
Не на сайте
Был на сайте: 8 лет 10 месяцев назад
Зарегистрирован: 09.08.2012 - 23:08
Публикации: 479

Dr.Yllich wrote:

 Уважаемый коллега Special.K, ! На Вашем снимке есть дата 02.02.2012. Это дата рождения?  А мы при снимках на предмет поиска инородных тел детишек раздеваем. Смущает, что тень ключика выходит за пределы тени раздутого желудка. Хотелось бы знать время предполагаемого попадания инородного тела.

Уважаемый доктор Ильич!  это дата рождения.   ребенка раздели наполовину. соглашусь, в идеале надо раздевать полностью.

Время попадания инородного тела - за 3 часа до исследования.

Dr.Yllich аватар
Не на сайте
Был на сайте: 1 год 4 месяцев назад
Зарегистрирован: 01.05.2011 - 22:52
Публикации: 1196

Спасибо! Будет ли продолжение?

С уважением. Ильич.

Special.K аватар
Не на сайте
Был на сайте: 8 лет 10 месяцев назад
Зарегистрирован: 09.08.2012 - 23:08
Публикации: 479

продолжения не будет.  скорее всего его направили в детскую областную.