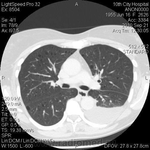
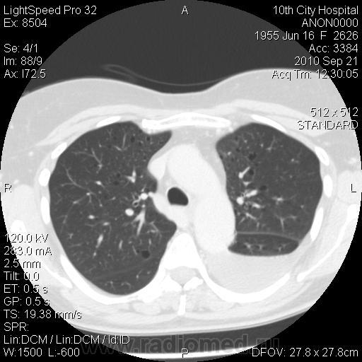
22.09.2010 КТ ОГК Женщина 1955 г.р. С 2004 года - рецидивирующие хилотораксы.

Пол пациента: 
Тип патологии: 
Методы исследования: 

Вот выставляю довольно любопытное КТ (делали 21.09.2010).

Немного предыстории: женщина поступила в плановое хирургическое отделение, по поводу кистозного образования в проекции головки ПЖ. (месяц назад лечилась по поводу острого панкреатита в другой больнице). В настоящее время на УЗИ - киста в области головки ПЖ. Мы сделали КТ - типичная карина псевдокисты в области головки. Но меня заинтересовали легкие. Из анамнеза узнал, что с 2004 года у пациентки постоянные рецидивирующие хилотораксы (лечилась во множестве больниц, диагноз не установлен). Вообщим сделали вчера КТ ОГК - что и выставляю.

Посмотреть исследование можно на DICOM-сервере RADIOMEDA. №20100921

http://www.radiomed.ru:8080/oviyam/oviyam?agree=agree

Прошу прощения, сразу не заметил - выложенная реконструкция сделана на ВЫДОХЕ.

  • https://radiomed.ru/sites/default/files/styles/case_slider_image/public/user/5019/10008_0.jpg?itok=bup7C7ta
  • https://radiomed.ru/sites/default/files/styles/case_slider_image/public/user/5019/10007.jpg?itok=AO-h9LET
  • https://radiomed.ru/sites/default/files/styles/case_slider_image/public/user/5019/10006.jpg?itok=-WFkq2o6
  • https://radiomed.ru/sites/default/files/styles/case_slider_image/public/user/5019/10005_0.jpg?itok=Tt-Z9aKS
  • https://radiomed.ru/sites/default/files/styles/case_slider_image/public/user/5019/10004.jpg?itok=mff1pJVG
  • https://radiomed.ru/sites/default/files/styles/case_slider_image/public/user/5019/10003_0.jpg?itok=4nXxkcHy
  • https://radiomed.ru/sites/default/files/styles/case_slider_image/public/user/5019/10002.jpg?itok=-tYVh89f
ID:7106
ЛГ аватар
Не на сайте
Был на сайте: 8 лет 10 месяцев назад
Зарегистрирован: 06.01.2010 - 12:31
Публикации: 3523

В области бифуркации лёгочного ствола киста? средостения. Гидроторакс слева. Что я пропустила?

koriatus аватар
Не на сайте
Был на сайте: 3 года 1 день назад
Зарегистрирован: 14.06.2010 - 01:49
Публикации: 452

Да нет, я решил, что это лимфангиолейомиоматоз...

koriatus аватар
Не на сайте
Был на сайте: 3 года 1 день назад
Зарегистрирован: 14.06.2010 - 01:49
Публикации: 452

Вот хоршие статьи про это заболевание:

на английском языке (из журнала Radiographics_: http://radiographics.rsna.org/content/25/3/803.full?sid=917ebef5-e13a-421d-a33d-e66dfee97d7e

на русском языке: http://www.health-medix.com/articles/liki_ukr/2009-10-04/Shvets.pdf

ЛГ аватар
Не на сайте
Был на сайте: 8 лет 10 месяцев назад
Зарегистрирован: 06.01.2010 - 12:31
Публикации: 3523

Хорошая статья, спасибо!

Николай аватар
Не на сайте
Был на сайте: 2 года 9 месяцев назад
Зарегистрирован: 29.05.2009 - 04:38
Публикации: 554

Больше в нижних отделах эмфизаматозные буллы различных размеров, междолевые плвра уплотнены, слева в плевральной полости выпот.

koriatus аватар
Не на сайте
Был на сайте: 3 года 1 день назад
Зарегистрирован: 14.06.2010 - 01:49
Публикации: 452

Николай wrote:

Больше в нижних отделах эмфизаматозные буллы различных размеров, междолевые плвра уплотнены, слева в плевральной полости выпот.

А мне кажется это не просто буллы... Как и писал выше - склоняюсь к LAM