Направлен с ОПТД

Пол пациента: 
Тип патологии: 
Методы исследования: 

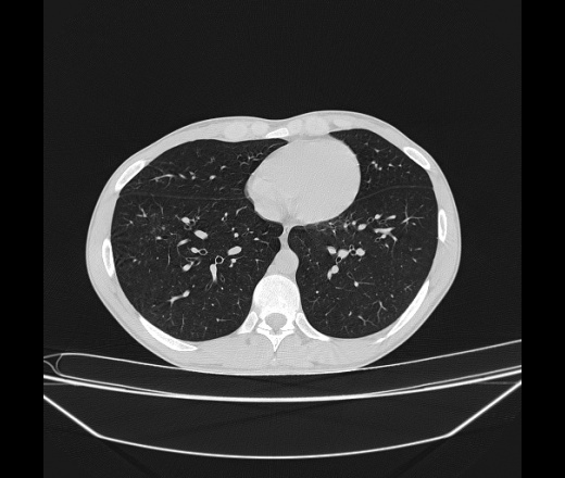
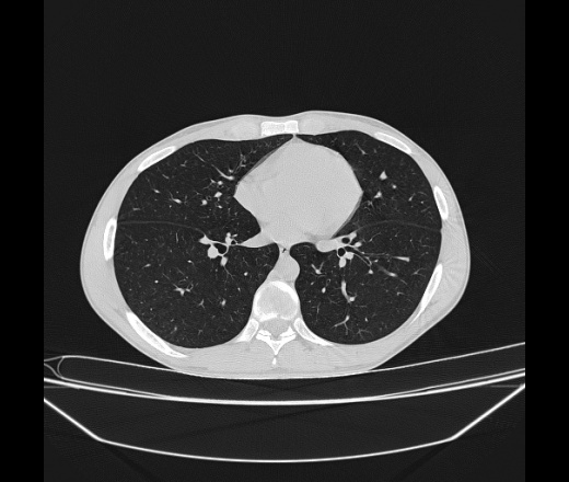
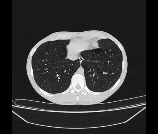
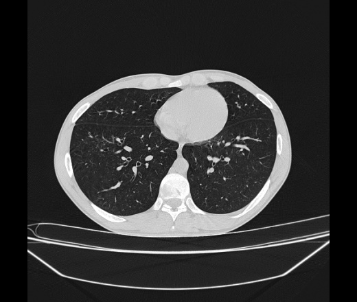
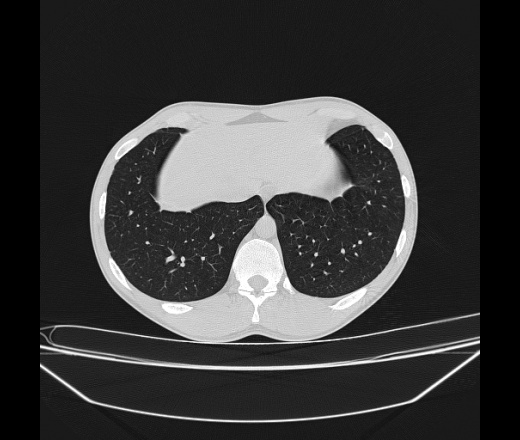
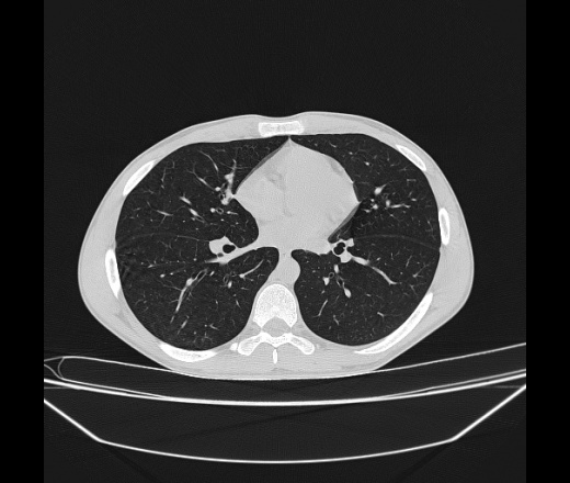
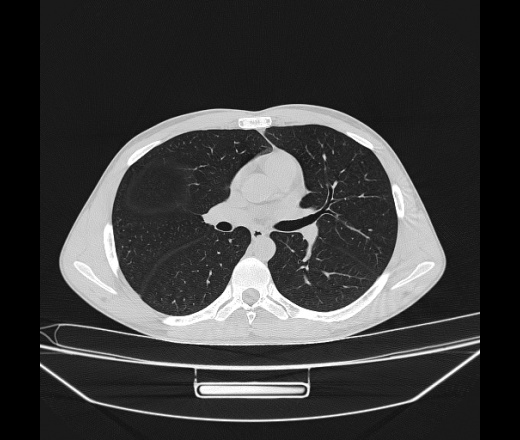
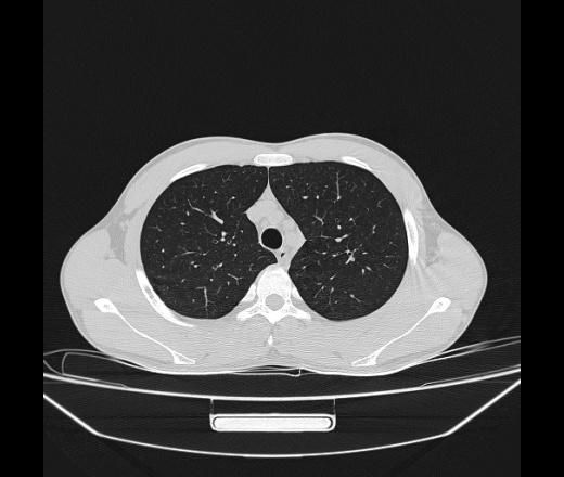
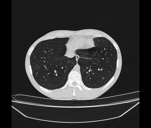
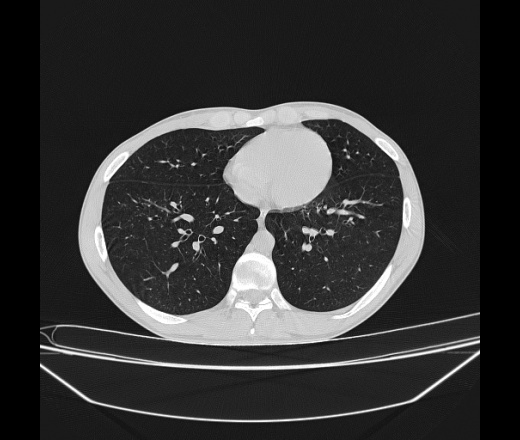
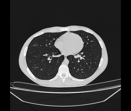
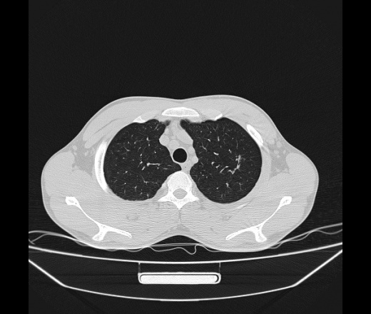
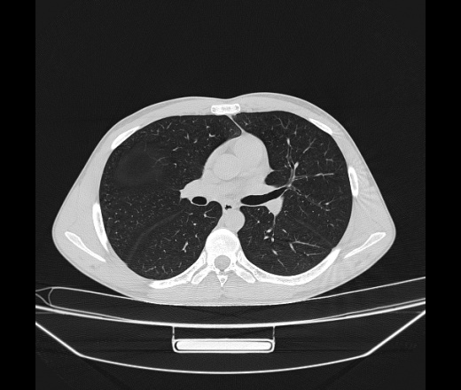
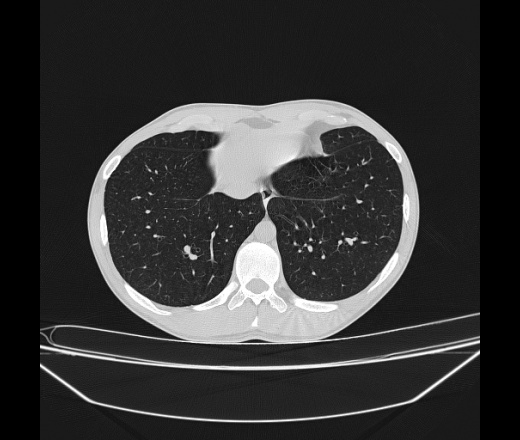
Молодой парень 18 лет, призывник, при прохождении ФЛС на верхушек левого легкого выявили очаги средней интснисвности с нечеткими контурами, тяжи. Сделали бок и томограммы 6-7-8. Везде описывают как очаговый твс. Вижу только перибронхиальный фиброз. Что за изменения в бронхах, указано нижи стрелками, тоже перибронхиальный?

  • https://radiomed.ru/sites/default/files/styles/case_slider_image/public/user/19498/img-0003-00158_4.jpg?itok=1Qgu8Tuh
  • https://radiomed.ru/sites/default/files/styles/case_slider_image/public/user/19498/img-0003-00159_4.jpg?itok=ICY_m3rR
  • https://radiomed.ru/sites/default/files/styles/case_slider_image/public/user/19498/img-0003-00160_4.jpg?itok=oHbg07WD
  • https://radiomed.ru/sites/default/files/styles/case_slider_image/public/user/19498/img-0003-00161_3.jpg?itok=1lQGubDg
  • https://radiomed.ru/sites/default/files/styles/case_slider_image/public/user/19498/img-0003-00162_3.jpg?itok=4sOEuqaN
  • https://radiomed.ru/sites/default/files/styles/case_slider_image/public/user/19498/img-0003-00163_3.jpg?itok=5xvkmdDw
  • https://radiomed.ru/sites/default/files/styles/case_slider_image/public/user/19498/img-0003-00164_3.jpg?itok=f6T0AiJ4
  • https://radiomed.ru/sites/default/files/styles/case_slider_image/public/user/19498/img-0003-00165_3.jpg?itok=gkx193qD
  • https://radiomed.ru/sites/default/files/styles/case_slider_image/public/user/19498/img-0003-00166_3.jpg?itok=Ej43WPJ0
  • https://radiomed.ru/sites/default/files/styles/case_slider_image/public/user/19498/img-0003-00167_3.jpg?itok=uAcJp7GA
  • https://radiomed.ru/sites/default/files/styles/case_slider_image/public/user/19498/img-0003-00168_3.jpg?itok=OXuNHiqH
  • https://radiomed.ru/sites/default/files/styles/case_slider_image/public/user/19498/img-0003-00169_3.jpg?itok=VuG_wdJO
  • https://radiomed.ru/sites/default/files/styles/case_slider_image/public/user/19498/img-0003-00170_3.jpg?itok=3q2mO5bF
  • https://radiomed.ru/sites/default/files/styles/case_slider_image/public/user/19498/img-0003-00171_3.jpg?itok=YFd5EJKD
  • https://radiomed.ru/sites/default/files/styles/case_slider_image/public/user/19498/img-0003-00172_3.jpg?itok=qtII9RA3
  • https://radiomed.ru/sites/default/files/styles/case_slider_image/public/user/19498/img-0003-00173_3.jpg?itok=GE1MLuW_
  • https://radiomed.ru/sites/default/files/styles/case_slider_image/public/user/19498/img-0003-00174_3.jpg?itok=T3JpJCWJ
  • https://radiomed.ru/sites/default/files/styles/case_slider_image/public/user/19498/img-0003-00175_3.jpg?itok=pLDTvcuI
  • https://radiomed.ru/sites/default/files/styles/case_slider_image/public/user/19498/img-0003-00176_3.jpg?itok=rtqrU7HN
  • https://radiomed.ru/sites/default/files/styles/case_slider_image/public/user/19498/img-0003-00177_3.jpg?itok=u7WA-MTu
  • https://radiomed.ru/sites/default/files/styles/case_slider_image/public/user/19498/img-0003-00178_3.jpg?itok=qEo0t8xw
  • https://radiomed.ru/sites/default/files/styles/case_slider_image/public/user/19498/img-0003-00179_3.jpg?itok=Ze9aPgyr
  • https://radiomed.ru/sites/default/files/styles/case_slider_image/public/user/19498/img-0003-00180_3.jpg?itok=FvEFiwhH
  • https://radiomed.ru/sites/default/files/styles/case_slider_image/public/user/19498/img-0003-00181_3.jpg?itok=KqWm9-Qd
  • https://radiomed.ru/sites/default/files/styles/case_slider_image/public/user/19498/img-0003-00182_3.jpg?itok=C010RhN4
  • https://radiomed.ru/sites/default/files/styles/case_slider_image/public/user/19498/img-0003-00183_3.jpg?itok=7vnYu1jA
  • https://radiomed.ru/sites/default/files/styles/case_slider_image/public/user/19498/img-0003-00184_3.jpg?itok=dvVm7lF3
  • https://radiomed.ru/sites/default/files/styles/case_slider_image/public/user/19498/img-0003-00185_3.jpg?itok=La-ZV7xK
  • https://radiomed.ru/sites/default/files/styles/case_slider_image/public/user/19498/img-0003-00186_3.jpg?itok=cI4vbtp2
  • https://radiomed.ru/sites/default/files/styles/case_slider_image/public/user/19498/img-0003-00187_3.jpg?itok=MFOBfIo2
  • https://radiomed.ru/sites/default/files/styles/case_slider_image/public/user/19498/img-0003-00188_3.jpg?itok=niTuaCFC
  • https://radiomed.ru/sites/default/files/styles/case_slider_image/public/user/19498/img-0003-00189_3.jpg?itok=VLCCI9-H
  • https://radiomed.ru/sites/default/files/styles/case_slider_image/public/user/19498/img-0003-00190_3.jpg?itok=Lec3zmCC
  • https://radiomed.ru/sites/default/files/styles/case_slider_image/public/user/19498/img-0003-00191_3.jpg?itok=GBQvSYY1
  • https://radiomed.ru/sites/default/files/styles/case_slider_image/public/user/19498/img-0003-00192_3.jpg?itok=oiW4EbIx
  • https://radiomed.ru/sites/default/files/styles/case_slider_image/public/user/19498/img-0003-00193_3.jpg?itok=L4vo5GyH
  • https://radiomed.ru/sites/default/files/styles/case_slider_image/public/user/19498/img-0003-00194_3.jpg?itok=JUFOrGhG
  • https://radiomed.ru/sites/default/files/styles/case_slider_image/public/user/19498/img-0003-00195_3.jpg?itok=WaWEAQMk
  • https://radiomed.ru/sites/default/files/styles/case_slider_image/public/user/19498/img-0003-00196_3.jpg?itok=utL7ggoe
  • https://radiomed.ru/sites/default/files/styles/case_slider_image/public/user/19498/img-0003-00197_3.jpg?itok=dMOFs1NV
  • https://radiomed.ru/sites/default/files/styles/case_slider_image/public/user/19498/img-0003-00198_3.jpg?itok=Av_900Mz
  • https://radiomed.ru/sites/default/files/styles/case_slider_image/public/user/19498/img-0003-00199_3.jpg?itok=5q-WtCYk
  • https://radiomed.ru/sites/default/files/styles/case_slider_image/public/user/19498/img-0003-00200_3.jpg?itok=l5aCOhn8
  • https://radiomed.ru/sites/default/files/styles/case_slider_image/public/user/19498/img-0003-00201_3.jpg?itok=ZWDHZ-rv
  • https://radiomed.ru/sites/default/files/styles/case_slider_image/public/user/19498/img-0003-00202_3.jpg?itok=z01enRer
  • https://radiomed.ru/sites/default/files/styles/case_slider_image/public/user/19498/img-0003-00203_3.jpg?itok=wIkH0F3d
  • https://radiomed.ru/sites/default/files/styles/case_slider_image/public/user/19498/img-0003-00204_3.jpg?itok=N48DJp63
  • https://radiomed.ru/sites/default/files/styles/case_slider_image/public/user/19498/img-0003-00205_3.jpg?itok=WVDXed-E
  • https://radiomed.ru/sites/default/files/styles/case_slider_image/public/user/19498/img-0003-00206_3.jpg?itok=8PSaehY-
  • https://radiomed.ru/sites/default/files/styles/case_slider_image/public/user/19498/img-0003-00207_3.jpg?itok=-dq43gIE
  • https://radiomed.ru/sites/default/files/styles/case_slider_image/public/user/19498/img-0003-00208_3.jpg?itok=SZfwZVk-
  • https://radiomed.ru/sites/default/files/styles/case_slider_image/public/user/19498/img-0003-00209_3.jpg?itok=a33Wp5gJ
  • https://radiomed.ru/sites/default/files/styles/case_slider_image/public/user/19498/img-0003-00210_3.jpg?itok=8LJ1IOiN
  • https://radiomed.ru/sites/default/files/styles/case_slider_image/public/user/19498/img-0003-00211_3.jpg?itok=VIwks-G_
  • https://radiomed.ru/sites/default/files/styles/case_slider_image/public/user/19498/img-0003-00212_3.jpg?itok=kyOXzNm8
  • https://radiomed.ru/sites/default/files/styles/case_slider_image/public/user/19498/img-0003-00213_3.jpg?itok=AT7ZUtEY
  • https://radiomed.ru/sites/default/files/styles/case_slider_image/public/user/19498/img-0003-00214_3.jpg?itok=_c1sWxI1
  • https://radiomed.ru/sites/default/files/styles/case_slider_image/public/user/19498/img-0003-00215_3.jpg?itok=vtLsFAY1
  • https://radiomed.ru/sites/default/files/styles/case_slider_image/public/user/19498/img-0003-00216_3.jpg?itok=GVN4d8fr
  • https://radiomed.ru/sites/default/files/styles/case_slider_image/public/user/19498/img-0003-00217_4.jpg?itok=U1G6clEP
  • https://radiomed.ru/sites/default/files/styles/case_slider_image/public/user/19498/img-0003-00218_4.jpg?itok=xYmpmF61
  • https://radiomed.ru/sites/default/files/styles/case_slider_image/public/user/19498/img-0003-00219_4.jpg?itok=N79s2sGA
  • https://radiomed.ru/sites/default/files/styles/case_slider_image/public/user/19498/img-0003-00220_4.jpg?itok=RWVPZWeT
  • https://radiomed.ru/sites/default/files/styles/case_slider_image/public/user/19498/img-0003-00221_4.jpg?itok=YZRP4Eeq
  • https://radiomed.ru/sites/default/files/styles/case_slider_image/public/user/19498/img-0003-00222_4.jpg?itok=BNolO0Nr
  • https://radiomed.ru/sites/default/files/styles/case_slider_image/public/user/19498/img-0003-00223_4.jpg?itok=lPTz_jjv
  • https://radiomed.ru/sites/default/files/styles/case_slider_image/public/user/19498/img-0003-00224_4.jpg?itok=x1GeKulk
  • https://radiomed.ru/sites/default/files/styles/case_slider_image/public/user/19498/img-0003-00225_4.jpg?itok=-MzCq82a
  • https://radiomed.ru/sites/default/files/styles/case_slider_image/public/user/19498/img-0003-00226_4.jpg?itok=D-X_BdMD
  • https://radiomed.ru/sites/default/files/styles/case_slider_image/public/user/19498/img-0003-00227_4.jpg?itok=fDnatzj1
  • https://radiomed.ru/sites/default/files/styles/case_slider_image/public/user/19498/img-0003-00228_3.jpg?itok=3O5DndbJ
  • https://radiomed.ru/sites/default/files/styles/case_slider_image/public/user/19498/img-0003-00229_4.jpg?itok=NkhySumR
  • https://radiomed.ru/sites/default/files/styles/case_slider_image/public/user/19498/img-0003-00230_4.jpg?itok=XHl_AUK0
  • https://radiomed.ru/sites/default/files/styles/case_slider_image/public/user/19498/img-0003-00231_4.jpg?itok=Lo301gF2
  • https://radiomed.ru/sites/default/files/styles/case_slider_image/public/user/19498/img-0003-00232_4.jpg?itok=Qsix8e9u
  • https://radiomed.ru/sites/default/files/styles/case_slider_image/public/user/19498/img-0003-00233_4.jpg?itok=PRQ-RBKy
  • https://radiomed.ru/sites/default/files/styles/case_slider_image/public/user/19498/img-0003-00234_4.jpg?itok=9A4OH_kM
  • https://radiomed.ru/sites/default/files/styles/case_slider_image/public/user/19498/img-0003-00235_4.jpg?itok=LVmLtAsg
  • https://radiomed.ru/sites/default/files/styles/case_slider_image/public/user/19498/img-0003-00236_4.jpg?itok=I2ZAy19m
  • https://radiomed.ru/sites/default/files/styles/case_slider_image/public/user/19498/img-0003-00237_4.jpg?itok=mf9caoSs
  • https://radiomed.ru/sites/default/files/styles/case_slider_image/public/user/19498/img-0003-00238_4.jpg?itok=hghWElQL
  • https://radiomed.ru/sites/default/files/styles/case_slider_image/public/user/19498/img-0003-00239_4.jpg?itok=Z7KBYXNl
  • https://radiomed.ru/sites/default/files/styles/case_slider_image/public/user/19498/img-0003-00240_4.jpg?itok=hgjwB3A3
  • https://radiomed.ru/sites/default/files/styles/case_slider_image/public/user/19498/img-0003-00241_4.jpg?itok=KsqkwFzi
  • https://radiomed.ru/sites/default/files/styles/case_slider_image/public/user/19498/img-0003-00242_4.jpg?itok=PpIpK8ar
  • https://radiomed.ru/sites/default/files/styles/case_slider_image/public/user/19498/img-0003-00243_4.jpg?itok=LwDUe6yu
  • https://radiomed.ru/sites/default/files/styles/case_slider_image/public/user/19498/img-0003-00244_4.jpg?itok=RccXY6Dr
  • https://radiomed.ru/sites/default/files/styles/case_slider_image/public/user/19498/img-0003-00245_4.jpg?itok=3lL2QFsP
  • https://radiomed.ru/sites/default/files/styles/case_slider_image/public/user/19498/img-0003-00246_4.jpg?itok=WcU7m1XD
  • https://radiomed.ru/sites/default/files/styles/case_slider_image/public/user/19498/img-0003-00247_5.jpg?itok=Oh4_C1DD
  • https://radiomed.ru/sites/default/files/styles/case_slider_image/public/user/19498/img-0003-00248_5.jpg?itok=_u_NPrlg
  • https://radiomed.ru/sites/default/files/styles/case_slider_image/public/user/19498/img-0003-00249_5.jpg?itok=W-cCWreW
  • https://radiomed.ru/sites/default/files/styles/case_slider_image/public/user/19498/img-0003-00250_5.jpg?itok=qywB7XH2
  • https://radiomed.ru/sites/default/files/styles/case_slider_image/public/user/19498/img-0003-00251_5.jpg?itok=Pw0Pq63N
  • https://radiomed.ru/sites/default/files/styles/case_slider_image/public/user/19498/img-0003-00252_5.jpg?itok=rgqlrJQY
  • https://radiomed.ru/sites/default/files/styles/case_slider_image/public/user/19498/img-0003-00253_5.jpg?itok=0QbflmLp
  • https://radiomed.ru/sites/default/files/styles/case_slider_image/public/user/19498/img-0003-00254_5.jpg?itok=I3tc4qFU
  • https://radiomed.ru/sites/default/files/styles/case_slider_image/public/user/19498/img-0003-00255_5.jpg?itok=xMB36Q-C
  • https://radiomed.ru/sites/default/files/styles/case_slider_image/public/user/19498/img-0003-00256_5.jpg?itok=QKCrLTnD
  • https://radiomed.ru/sites/default/files/styles/case_slider_image/public/user/19498/img-0003-00257_5.jpg?itok=rAyMI3Zn
  • https://radiomed.ru/sites/default/files/styles/case_slider_image/public/user/19498/img-0003-00258_5.jpg?itok=OlURq8ty
  • https://radiomed.ru/sites/default/files/styles/case_slider_image/public/user/19498/img-0003-00259_5.jpg?itok=95LjnCrv
  • https://radiomed.ru/sites/default/files/styles/case_slider_image/public/user/19498/img-0003-00260_5.jpg?itok=h0mOPG2R
  • https://radiomed.ru/sites/default/files/styles/case_slider_image/public/user/19498/img-0003-00261_5.jpg?itok=_CqjPmve
  • https://radiomed.ru/sites/default/files/styles/case_slider_image/public/user/19498/img-0003-00262_5.jpg?itok=qn8LWiAR
  • https://radiomed.ru/sites/default/files/styles/case_slider_image/public/user/19498/img-0003-00263_5.jpg?itok=0suAd9cW
  • https://radiomed.ru/sites/default/files/styles/case_slider_image/public/user/19498/img-0003-00264_5.jpg?itok=7f-Y3N_4
  • https://radiomed.ru/sites/default/files/styles/case_slider_image/public/user/19498/img-0003-00265_5.jpg?itok=JnSlhymN
  • https://radiomed.ru/sites/default/files/styles/case_slider_image/public/user/19498/img-0003-00266_5.jpg?itok=JNJwh41_
  • https://radiomed.ru/sites/default/files/styles/case_slider_image/public/user/19498/img-0003-00267_5.jpg?itok=Lv0L9UWK
  • https://radiomed.ru/sites/default/files/styles/case_slider_image/public/user/19498/img-0003-00268_5.jpg?itok=dxwqi3DQ
  • https://radiomed.ru/sites/default/files/styles/case_slider_image/public/user/19498/img-0003-00269_5.jpg?itok=v-ROZ7V2
  • https://radiomed.ru/sites/default/files/styles/case_slider_image/public/user/19498/img-0003-00270_5.jpg?itok=8WMn-ZIR
  • https://radiomed.ru/sites/default/files/styles/case_slider_image/public/user/19498/img-0003-00271_5.jpg?itok=EHNQAVay
  • https://radiomed.ru/sites/default/files/styles/case_slider_image/public/user/19498/img-0003-00272_5.jpg?itok=xchOKBs9
  • https://radiomed.ru/sites/default/files/styles/case_slider_image/public/user/19498/img-0003-00273_5.jpg?itok=AKRI0dRl
  • https://radiomed.ru/sites/default/files/styles/case_slider_image/public/user/19498/img-0003-00274_4.jpg?itok=yG6WrjQB
  • https://radiomed.ru/sites/default/files/styles/case_slider_image/public/user/19498/img-0003-00275_4.jpg?itok=OXnXkjCr
  • https://radiomed.ru/sites/default/files/styles/case_slider_image/public/user/19498/img-0003-00276_4.jpg?itok=4fqTnw5F
  • https://radiomed.ru/sites/default/files/styles/case_slider_image/public/user/19498/img-0003-00277_4.jpg?itok=LbAeKnGu
  • https://radiomed.ru/sites/default/files/styles/case_slider_image/public/user/19498/img-0003-00278_4.jpg?itok=2zwtt5gH
  • https://radiomed.ru/sites/default/files/styles/case_slider_image/public/user/19498/img-0003-00279_4.jpg?itok=T0DAiNiy
  • https://radiomed.ru/sites/default/files/styles/case_slider_image/public/user/19498/img-0003-00280_4.jpg?itok=72-Uvh7v
  • https://radiomed.ru/sites/default/files/styles/case_slider_image/public/user/19498/img-0003-00281_4.jpg?itok=tRqEHBU5
  • https://radiomed.ru/sites/default/files/styles/case_slider_image/public/user/19498/img-0003-00282_4.jpg?itok=6zq3jPrq
  • https://radiomed.ru/sites/default/files/styles/case_slider_image/public/user/19498/img-0003-00283_4.jpg?itok=ZEPFFe2K
  • https://radiomed.ru/sites/default/files/styles/case_slider_image/public/user/19498/img-0003-00284_4.jpg?itok=1ckcCfS9
  • https://radiomed.ru/sites/default/files/styles/case_slider_image/public/user/19498/img-0003-00285_4.jpg?itok=vJMPIQ9d
  • https://radiomed.ru/sites/default/files/styles/case_slider_image/public/user/19498/img-0003-00286_4.jpg?itok=DdyE_k1R
  • https://radiomed.ru/sites/default/files/styles/case_slider_image/public/user/19498/img-0003-00287_4.jpg?itok=rxr66JN9
  • https://radiomed.ru/sites/default/files/styles/case_slider_image/public/user/19498/img-0003-00288_4.jpg?itok=rr2WtogA
  • https://radiomed.ru/sites/default/files/styles/case_slider_image/public/user/19498/img-0003-00289_4.jpg?itok=MMHyAxuX
  • https://radiomed.ru/sites/default/files/styles/case_slider_image/public/user/19498/img-0003-00290_4.jpg?itok=Id-RtvUQ
  • https://radiomed.ru/sites/default/files/styles/case_slider_image/public/user/19498/img-0003-00291_4.jpg?itok=3JKwVCLq
  • https://radiomed.ru/sites/default/files/styles/case_slider_image/public/user/19498/img-0003-00292_4.jpg?itok=2CwmXKIt
  • https://radiomed.ru/sites/default/files/styles/case_slider_image/public/user/19498/img-0003-00293_4.jpg?itok=Dgvp4N3R
  • https://radiomed.ru/sites/default/files/styles/case_slider_image/public/user/19498/img-0003-00294_4.jpg?itok=YE13hHjl
  • https://radiomed.ru/sites/default/files/styles/case_slider_image/public/user/19498/img-0003-00295_4.jpg?itok=4X_iBAUr
  • https://radiomed.ru/sites/default/files/styles/case_slider_image/public/user/19498/img-0003-00296_4.jpg?itok=S2VbtjNh
  • https://radiomed.ru/sites/default/files/styles/case_slider_image/public/user/19498/img-0003-00297_4.jpg?itok=zH_4HoIg
  • https://radiomed.ru/sites/default/files/styles/case_slider_image/public/user/19498/img-0003-00298_4.jpg?itok=67U_d_-G
  • https://radiomed.ru/sites/default/files/styles/case_slider_image/public/user/19498/img-0003-00299_4.jpg?itok=HiKG3Dm5
  • https://radiomed.ru/sites/default/files/styles/case_slider_image/public/user/19498/img-0003-00300_4.jpg?itok=V1cFQL7m
  • https://radiomed.ru/sites/default/files/styles/case_slider_image/public/user/19498/img-0003-00301_4.jpg?itok=bg8_K-Hr
  • https://radiomed.ru/sites/default/files/styles/case_slider_image/public/user/19498/img-0003-00302_4.jpg?itok=nXYgSEgS
  • https://radiomed.ru/sites/default/files/styles/case_slider_image/public/user/19498/img-0003-00303_4.jpg?itok=NsEhkbQW
  • https://radiomed.ru/sites/default/files/styles/case_slider_image/public/user/19498/img-0003-00304_4.jpg?itok=5ktC7XKS
  • https://radiomed.ru/sites/default/files/styles/case_slider_image/public/user/19498/img-0003-00305_4.jpg?itok=FrGqn5Hv
  • https://radiomed.ru/sites/default/files/styles/case_slider_image/public/user/19498/img-0003-00306_4.jpg?itok=C5HUKsjv
  • https://radiomed.ru/sites/default/files/styles/case_slider_image/public/user/19498/img-0003-00307_4.jpg?itok=h6mtjRzW
  • https://radiomed.ru/sites/default/files/styles/case_slider_image/public/user/19498/img-0003-00308_4.jpg?itok=GVS8x-aO
  • https://radiomed.ru/sites/default/files/styles/case_slider_image/public/user/19498/img-0003-00309_4.jpg?itok=tOh-6ntl
  • https://radiomed.ru/sites/default/files/styles/case_slider_image/public/user/19498/img-0003-00310_4.jpg?itok=V02b8zVs
  • https://radiomed.ru/sites/default/files/styles/case_slider_image/public/user/19498/img-0003-00311_4.jpg?itok=PPqS7V-x
  • https://radiomed.ru/sites/default/files/styles/case_slider_image/public/user/19498/img-0003-00312_4.jpg?itok=V9gywPuG
  • https://radiomed.ru/sites/default/files/styles/case_slider_image/public/user/19498/img-0003-00313_4.jpg?itok=M-GQ6zJZ
  • https://radiomed.ru/sites/default/files/styles/case_slider_image/public/user/19498/img-0003-00314_4.jpg?itok=hlTIdVHj
  • https://radiomed.ru/sites/default/files/styles/case_slider_image/public/user/19498/img-0003-00315_4.jpg?itok=UqIpEsji
  • https://radiomed.ru/sites/default/files/styles/case_slider_image/public/user/19498/img-0003-00316_4.jpg?itok=2-2maNEf
  • https://radiomed.ru/sites/default/files/styles/case_slider_image/public/user/19498/img-0003-00317_4.jpg?itok=a9ll8KyT
  • https://radiomed.ru/sites/default/files/styles/case_slider_image/public/user/19498/img-0003-00318_4.jpg?itok=oLXdhl23
  • https://radiomed.ru/sites/default/files/styles/case_slider_image/public/user/19498/img-0003-00319_4.jpg?itok=RgBqBXaa
  • https://radiomed.ru/sites/default/files/styles/case_slider_image/public/user/19498/img-0003-00320_4.jpg?itok=OyEWCDw6
  • https://radiomed.ru/sites/default/files/styles/case_slider_image/public/user/19498/img-0003-00321_4.jpg?itok=MeSgu4nE
  • https://radiomed.ru/sites/default/files/styles/case_slider_image/public/user/19498/img-0003-00322_4.jpg?itok=2dI8O7gd
  • https://radiomed.ru/sites/default/files/styles/case_slider_image/public/user/19498/img-0003-00323_4.jpg?itok=1L5voims
  • https://radiomed.ru/sites/default/files/styles/case_slider_image/public/user/19498/img-0003-00324_4.jpg?itok=3V0HwktY
  • https://radiomed.ru/sites/default/files/styles/case_slider_image/public/user/19498/img-0003-00325_2.jpg?itok=tA4VrgDV
  • https://radiomed.ru/sites/default/files/styles/case_slider_image/public/user/19498/img-0003-00326_2.jpg?itok=m3Du8gRn
  • https://radiomed.ru/sites/default/files/styles/case_slider_image/public/user/19498/img-0003-00327_2.jpg?itok=mxv4V5w-
  • https://radiomed.ru/sites/default/files/styles/case_slider_image/public/user/19498/img-0003-00328_2.jpg?itok=Vewa1uWb
  • https://radiomed.ru/sites/default/files/styles/case_slider_image/public/user/19498/img-0003-00329_2.jpg?itok=yy4J8HBR
  • https://radiomed.ru/sites/default/files/styles/case_slider_image/public/user/19498/img-0003-00330_2.jpg?itok=m3eYL188
  • https://radiomed.ru/sites/default/files/styles/case_slider_image/public/user/19498/img-0003-00331_2.jpg?itok=Ly5Sd9eZ
  • https://radiomed.ru/sites/default/files/styles/case_slider_image/public/user/19498/img-0003-00332_2.jpg?itok=2oPtODJv
  • https://radiomed.ru/sites/default/files/styles/case_slider_image/public/user/19498/img-0003-00333_2.jpg?itok=hx9JPJ9n
  • https://radiomed.ru/sites/default/files/styles/case_slider_image/public/user/19498/img-0003-00334_2.jpg?itok=8bbxM1Kr
  • https://radiomed.ru/sites/default/files/styles/case_slider_image/public/user/19498/img-0003-00335_2.jpg?itok=N7T8f756
  • https://radiomed.ru/sites/default/files/styles/case_slider_image/public/user/19498/img-0003-00336_2.jpg?itok=131_8sJj
  • https://radiomed.ru/sites/default/files/styles/case_slider_image/public/user/19498/img-0003-00337_2.jpg?itok=ywzHaEIY
  • https://radiomed.ru/sites/default/files/styles/case_slider_image/public/user/19498/img-0003-00338_2.jpg?itok=n-H1y0CN
  • https://radiomed.ru/sites/default/files/styles/case_slider_image/public/user/19498/img-0003-00339_2.jpg?itok=lIx3LJpL
  • https://radiomed.ru/sites/default/files/styles/case_slider_image/public/user/19498/img-0003-00340_2.jpg?itok=9CUnSTld
  • https://radiomed.ru/sites/default/files/styles/case_slider_image/public/user/19498/img-0003-00341_2.jpg?itok=i6rDonDp
  • https://radiomed.ru/sites/default/files/styles/case_slider_image/public/user/19498/img-0003-00342_2.jpg?itok=907R6XyF
  • https://radiomed.ru/sites/default/files/styles/case_slider_image/public/user/19498/img-0003-00343_2.jpg?itok=kJ-B1jzb
  • https://radiomed.ru/sites/default/files/styles/case_slider_image/public/user/19498/img-0003-00344_2.jpg?itok=WtgyTQLE
  • https://radiomed.ru/sites/default/files/styles/case_slider_image/public/user/19498/img-0003-00345_2.jpg?itok=7xmCfKW9
  • https://radiomed.ru/sites/default/files/styles/case_slider_image/public/user/19498/img-0003-00346_2.jpg?itok=WkBCJJaj
  • https://radiomed.ru/sites/default/files/styles/case_slider_image/public/user/19498/img-0003-00347_2.jpg?itok=no4ku-KD
  • https://radiomed.ru/sites/default/files/styles/case_slider_image/public/user/19498/img-0003-00348_2.jpg?itok=JPuNSsFT
  • https://radiomed.ru/sites/default/files/styles/case_slider_image/public/user/19498/img-0003-00349_2.jpg?itok=Djy1F-1R
  • https://radiomed.ru/sites/default/files/styles/case_slider_image/public/user/19498/img-0003-00350_2.jpg?itok=hoVNCD6k
  • https://radiomed.ru/sites/default/files/styles/case_slider_image/public/user/19498/img-0003-00351_2.jpg?itok=LBgteqPw
  • https://radiomed.ru/sites/default/files/styles/case_slider_image/public/user/19498/img-0003-00352_2.jpg?itok=cpZ_Jlek
  • https://radiomed.ru/sites/default/files/styles/case_slider_image/public/user/19498/img-0004-00274_1.jpg?itok=U3AGA9RW
  • https://radiomed.ru/sites/default/files/styles/case_slider_image/public/user/19498/img-0004-00275_1.jpg?itok=qzS1Qa-E
  • https://radiomed.ru/sites/default/files/styles/case_slider_image/public/user/19498/img-0004-00276_1.jpg?itok=tb8PAO1E
  • https://radiomed.ru/sites/default/files/styles/case_slider_image/public/user/19498/img-0004-00277_1.jpg?itok=lidy1fve
  • https://radiomed.ru/sites/default/files/styles/case_slider_image/public/user/19498/img-0004-00278_1.jpg?itok=XcbSY_jS
  • https://radiomed.ru/sites/default/files/styles/case_slider_image/public/user/19498/img-0004-00279_1.jpg?itok=eJurQNl9
  • https://radiomed.ru/sites/default/files/styles/case_slider_image/public/user/19498/img-0004-00280_1.jpg?itok=HH4tjroC
  • https://radiomed.ru/sites/default/files/styles/case_slider_image/public/user/19498/img-0004-00281_1.jpg?itok=TKRN6z0c
  • https://radiomed.ru/sites/default/files/styles/case_slider_image/public/user/19498/img-0004-00282_0.jpg?itok=g4nkKUKv
  • https://radiomed.ru/sites/default/files/styles/case_slider_image/public/user/19498/img-0004-00283_0.jpg?itok=WieVNbNP
  • https://radiomed.ru/sites/default/files/styles/case_slider_image/public/user/19498/img-0004-00284_0.jpg?itok=asUmX0Lf
  • https://radiomed.ru/sites/default/files/styles/case_slider_image/public/user/19498/img-0004-00285_0.jpg?itok=oybaXEAP
  • https://radiomed.ru/sites/default/files/styles/case_slider_image/public/user/19498/img-0004-00286_0.jpg?itok=IzfhVyMp
  • https://radiomed.ru/sites/default/files/styles/case_slider_image/public/user/19498/img-0004-00287_0.jpg?itok=rUW3-6oE
  • https://radiomed.ru/sites/default/files/styles/case_slider_image/public/user/19498/img-0004-00288_0.jpg?itok=F2x4ISLN
  • https://radiomed.ru/sites/default/files/styles/case_slider_image/public/user/19498/img-0004-00289_0.jpg?itok=XsbHc4Uc
  • https://radiomed.ru/sites/default/files/styles/case_slider_image/public/user/19498/img-0004-00290_0.jpg?itok=S7xwIF-d
  • https://radiomed.ru/sites/default/files/styles/case_slider_image/public/user/19498/img-0004-00291_0.jpg?itok=4RnQ_6CY
  • https://radiomed.ru/sites/default/files/styles/case_slider_image/public/user/19498/img-0004-00292_0.jpg?itok=fByDd6B-
  • https://radiomed.ru/sites/default/files/styles/case_slider_image/public/user/19498/img-0004-00293_0.jpg?itok=Rz7APt1r
  • https://radiomed.ru/sites/default/files/styles/case_slider_image/public/user/19498/img-0004-00294_0.jpg?itok=0WsrTG0P
  • https://radiomed.ru/sites/default/files/styles/case_slider_image/public/user/19498/img-0004-00295_0.jpg?itok=QOaDtmWn
  • https://radiomed.ru/sites/default/files/styles/case_slider_image/public/user/19498/img-0004-00296_0.jpg?itok=BaSftJUF
  • https://radiomed.ru/sites/default/files/styles/case_slider_image/public/user/19498/img-0004-00297_0.jpg?itok=50j5AaRH
  • https://radiomed.ru/sites/default/files/styles/case_slider_image/public/user/19498/img-0004-00298_0.jpg?itok=C0pUzuTJ
  • https://radiomed.ru/sites/default/files/styles/case_slider_image/public/user/19498/img-0004-00299_0.jpg?itok=clVnoO0n
  • https://radiomed.ru/sites/default/files/styles/case_slider_image/public/user/19498/img-0004-00300_0.jpg?itok=D80hX8nU
  • https://radiomed.ru/sites/default/files/styles/case_slider_image/public/user/19498/img-0004-00301_0.jpg?itok=ezCYWS4R
  • https://radiomed.ru/sites/default/files/styles/case_slider_image/public/user/19498/img-0004-00302_0.jpg?itok=oZ9j3FM0
  • https://radiomed.ru/sites/default/files/styles/case_slider_image/public/user/19498/img-0004-00303_0.jpg?itok=0zrL0sQp
  • https://radiomed.ru/sites/default/files/styles/case_slider_image/public/user/19498/img-0004-00304_0.jpg?itok=2ZZE0J_o
  • https://radiomed.ru/sites/default/files/styles/case_slider_image/public/user/19498/img-0004-00305_0.jpg?itok=B90gEzsx
  • https://radiomed.ru/sites/default/files/styles/case_slider_image/public/user/19498/img-0004-00306_0.jpg?itok=jHc-BQiW
  • https://radiomed.ru/sites/default/files/styles/case_slider_image/public/user/19498/img-0004-00307_0.jpg?itok=XXaXvecC
  • https://radiomed.ru/sites/default/files/styles/case_slider_image/public/user/19498/img-0004-00308_0.jpg?itok=1VXQb2db
  • https://radiomed.ru/sites/default/files/styles/case_slider_image/public/user/19498/img-0004-00309_0.jpg?itok=Q0xKKZT8
  • https://radiomed.ru/sites/default/files/styles/case_slider_image/public/user/19498/img-0004-00310_0.jpg?itok=dClIMltd
  • https://radiomed.ru/sites/default/files/styles/case_slider_image/public/user/19498/img-0004-00311_0.jpg?itok=usFUC4Jt
  • https://radiomed.ru/sites/default/files/styles/case_slider_image/public/user/19498/img-0004-00312_0.jpg?itok=LvSJzZ-D
  • https://radiomed.ru/sites/default/files/styles/case_slider_image/public/user/19498/img-0004-00313_0.jpg?itok=LSpat-wS
  • https://radiomed.ru/sites/default/files/styles/case_slider_image/public/user/19498/img-0004-00314_0.jpg?itok=fGpqqkAr
  • https://radiomed.ru/sites/default/files/styles/case_slider_image/public/user/19498/img-0004-00315_0.jpg?itok=VDE72i53
  • https://radiomed.ru/sites/default/files/styles/case_slider_image/public/user/19498/img-0004-00316_0.jpg?itok=rJxzK6jj
  • https://radiomed.ru/sites/default/files/styles/case_slider_image/public/user/19498/img-0004-00317_0.jpg?itok=9J3QLqT4
  • https://radiomed.ru/sites/default/files/styles/case_slider_image/public/user/19498/img-0004-00318_0.jpg?itok=oT3UIUym
  • https://radiomed.ru/sites/default/files/styles/case_slider_image/public/user/19498/img-0004-00319_0.jpg?itok=-2tA6ZyK
  • https://radiomed.ru/sites/default/files/styles/case_slider_image/public/user/19498/img-0004-00320_0.jpg?itok=Q2skmjDu
  • https://radiomed.ru/sites/default/files/styles/case_slider_image/public/user/19498/img-0004-00321_0.jpg?itok=n4fCyz5-
  • https://radiomed.ru/sites/default/files/styles/case_slider_image/public/user/19498/img-0004-00322_0.jpg?itok=SmV6Xc_s
  • https://radiomed.ru/sites/default/files/styles/case_slider_image/public/user/19498/img-0004-00323_0.jpg?itok=m2acQoCn
  • https://radiomed.ru/sites/default/files/styles/case_slider_image/public/user/19498/img-0004-00324_0.jpg?itok=dUnF2E4r
  • https://radiomed.ru/sites/default/files/styles/case_slider_image/public/user/19498/img-0004-00325_0.jpg?itok=0Gwn7Lcy
  • https://radiomed.ru/sites/default/files/styles/case_slider_image/public/user/19498/img-0004-00326_0.jpg?itok=FPt2OnKb
  • https://radiomed.ru/sites/default/files/styles/case_slider_image/public/user/19498/img-0004-00327_0.jpg?itok=_I1sPCC7
  • https://radiomed.ru/sites/default/files/styles/case_slider_image/public/user/19498/img-0004-00328_0.jpg?itok=bYqbUTKW
  • https://radiomed.ru/sites/default/files/styles/case_slider_image/public/user/19498/img-0004-00329_0.jpg?itok=QiiboeW4
  • https://radiomed.ru/sites/default/files/styles/case_slider_image/public/user/19498/img-0004-00330_0.jpg?itok=HrQhQqr0
  • https://radiomed.ru/sites/default/files/styles/case_slider_image/public/user/19498/img-0004-00331_0.jpg?itok=-rtf77E2
  • https://radiomed.ru/sites/default/files/styles/case_slider_image/public/user/19498/img-0004-00332_0.jpg?itok=1LGoBhiL
  • https://radiomed.ru/sites/default/files/styles/case_slider_image/public/user/19498/img-0004-00333_0.jpg?itok=KZ7kzzrs
  • https://radiomed.ru/sites/default/files/styles/case_slider_image/public/user/19498/img-0004-00334_0.jpg?itok=aVopV6Wn
  • https://radiomed.ru/sites/default/files/styles/case_slider_image/public/user/19498/img-0004-00335_0.jpg?itok=8ZP-mRHm
  • https://radiomed.ru/sites/default/files/styles/case_slider_image/public/user/19498/img-0004-00336_0.jpg?itok=mRaoUoNx
  • https://radiomed.ru/sites/default/files/styles/case_slider_image/public/user/19498/img-0004-00337_0.jpg?itok=JDhMZiVu
  • https://radiomed.ru/sites/default/files/styles/case_slider_image/public/user/19498/img-0004-00338_0.jpg?itok=nMF2o2Y2
  • https://radiomed.ru/sites/default/files/styles/case_slider_image/public/user/19498/img-0004-00339_0.jpg?itok=YNCaRDwK
  • https://radiomed.ru/sites/default/files/styles/case_slider_image/public/user/19498/img-0004-00340_0.jpg?itok=rdH98AAB
  • https://radiomed.ru/sites/default/files/styles/case_slider_image/public/user/19498/img-0004-00341_1.jpg?itok=BGEACQLu
  • https://radiomed.ru/sites/default/files/styles/case_slider_image/public/user/19498/img-0004-00342_1.jpg?itok=8EVwfUUA
  • https://radiomed.ru/sites/default/files/styles/case_slider_image/public/user/19498/img-0004-00343_1.jpg?itok=pOGHbeOL
  • https://radiomed.ru/sites/default/files/styles/case_slider_image/public/user/19498/img-0004-00344_1.jpg?itok=Do7JBDGA
  • https://radiomed.ru/sites/default/files/styles/case_slider_image/public/user/19498/img-0004-00345_1.jpg?itok=tvruXtVi
  • https://radiomed.ru/sites/default/files/styles/case_slider_image/public/user/19498/img-0004-00346_1.jpg?itok=lzloxrj4
  • https://radiomed.ru/sites/default/files/styles/case_slider_image/public/user/19498/img-0004-00347_1.jpg?itok=J8MwhGyb
  • https://radiomed.ru/sites/default/files/styles/case_slider_image/public/user/19498/img-0004-00348_1.jpg?itok=hrFYWao1
  • https://radiomed.ru/sites/default/files/styles/case_slider_image/public/user/19498/img-0004-00349_1.jpg?itok=3J9tIUWZ
  • https://radiomed.ru/sites/default/files/styles/case_slider_image/public/user/19498/img-0004-00350_1.jpg?itok=M2OFVLfz
  • https://radiomed.ru/sites/default/files/styles/case_slider_image/public/user/19498/img-0004-00351_1.jpg?itok=n90ab_nQ
  • https://radiomed.ru/sites/default/files/styles/case_slider_image/public/user/19498/img-0004-00352_1.jpg?itok=GEf_xD3I
  • https://radiomed.ru/sites/default/files/styles/case_slider_image/public/user/19498/img-0004-00353_1.jpg?itok=INVzpmqS
  • https://radiomed.ru/sites/default/files/styles/case_slider_image/public/user/19498/img-0004-00354_1.jpg?itok=KzSU9A9R
  • https://radiomed.ru/sites/default/files/styles/case_slider_image/public/user/19498/img-0004-00355_1.jpg?itok=3957qCXW
  • https://radiomed.ru/sites/default/files/styles/case_slider_image/public/user/19498/img-0004-00356_1.jpg?itok=ivETTM3L
  • https://radiomed.ru/sites/default/files/styles/case_slider_image/public/user/19498/img-0004-00357_1.jpg?itok=oropgnyX
  • https://radiomed.ru/sites/default/files/styles/case_slider_image/public/user/19498/img-0004-00358_1.jpg?itok=mXRlTZAK
  • https://radiomed.ru/sites/default/files/styles/case_slider_image/public/user/19498/img-0004-00359_1.jpg?itok=M_GnYMV7
  • https://radiomed.ru/sites/default/files/styles/case_slider_image/public/user/19498/img-0004-00360_1.jpg?itok=9_6d4_9m
  • https://radiomed.ru/sites/default/files/styles/case_slider_image/public/user/19498/img-0004-00361_0.jpg?itok=--BGC-_S
  • https://radiomed.ru/sites/default/files/styles/case_slider_image/public/user/19498/img-0004-00362_0.jpg?itok=bz_MyZI_
  • https://radiomed.ru/sites/default/files/styles/case_slider_image/public/user/19498/img-0004-00363_0.jpg?itok=MESwUSnC
  • https://radiomed.ru/sites/default/files/styles/case_slider_image/public/user/19498/img-0004-00364_0.jpg?itok=baBKkVRh
  • https://radiomed.ru/sites/default/files/styles/case_slider_image/public/user/19498/img-0004-00365_0.jpg?itok=UPQDa3is
  • https://radiomed.ru/sites/default/files/styles/case_slider_image/public/user/19498/img-0004-00366_0.jpg?itok=qQM59wj9
  • https://radiomed.ru/sites/default/files/styles/case_slider_image/public/user/19498/img-0004-00367_0.jpg?itok=Zpe1X5id
  • https://radiomed.ru/sites/default/files/styles/case_slider_image/public/user/19498/img-0004-00368_0.jpg?itok=CU3U4uxf
  • https://radiomed.ru/sites/default/files/styles/case_slider_image/public/user/19498/img-0004-00369_0.jpg?itok=ovry4eNE
  • https://radiomed.ru/sites/default/files/styles/case_slider_image/public/user/19498/img-0004-00370_0.jpg?itok=-dtWrZoF
  • https://radiomed.ru/sites/default/files/styles/case_slider_image/public/user/19498/img-0004-00371_0.jpg?itok=HcMn8V5J
  • https://radiomed.ru/sites/default/files/styles/case_slider_image/public/user/19498/img-0004-00372_0.jpg?itok=N_JeUvST
  • https://radiomed.ru/sites/default/files/styles/case_slider_image/public/user/19498/img-0004-00373_0.jpg?itok=7ne51jnx
  • https://radiomed.ru/sites/default/files/styles/case_slider_image/public/user/19498/img-0004-00374_0.jpg?itok=MrjF4Zm0
  • https://radiomed.ru/sites/default/files/styles/case_slider_image/public/user/19498/img-0004-00375_0.jpg?itok=S__4lHx_
  • https://radiomed.ru/sites/default/files/styles/case_slider_image/public/user/19498/img-0004-00376_0.jpg?itok=CwN1ckJ7
  • https://radiomed.ru/sites/default/files/styles/case_slider_image/public/user/19498/img-0004-00377_0.jpg?itok=D1WWLfM_
  • https://radiomed.ru/sites/default/files/styles/case_slider_image/public/user/19498/img-0004-00378_0.jpg?itok=CmoaoOmX
  • https://radiomed.ru/sites/default/files/styles/case_slider_image/public/user/19498/img-0004-00379_0.jpg?itok=jaGlZoHK
  • https://radiomed.ru/sites/default/files/styles/case_slider_image/public/user/19498/img-0004-00380_0.jpg?itok=SUKCvBOJ
  • https://radiomed.ru/sites/default/files/styles/case_slider_image/public/user/19498/img-0004-00381_0.jpg?itok=tre_RZx2
  • https://radiomed.ru/sites/default/files/styles/case_slider_image/public/user/19498/img-0004-00382_0.jpg?itok=Oix8g_6F
  • https://radiomed.ru/sites/default/files/styles/case_slider_image/public/user/19498/img-0004-00383_0.jpg?itok=S8sZjubi
  • https://radiomed.ru/sites/default/files/styles/case_slider_image/public/user/19498/img-0004-00384_0.jpg?itok=QVfalODB
  • https://radiomed.ru/sites/default/files/styles/case_slider_image/public/user/19498/img-0004-00385_0.jpg?itok=6_fw58_z
  • https://radiomed.ru/sites/default/files/styles/case_slider_image/public/user/19498/img-0004-00386_0.jpg?itok=KRvOADCk
  • https://radiomed.ru/sites/default/files/styles/case_slider_image/public/user/19498/img-0004-00387_0.jpg?itok=e_AvVMPL
  • https://radiomed.ru/sites/default/files/styles/case_slider_image/public/user/19498/img-0004-00388_0.jpg?itok=cPOhabxC
  • https://radiomed.ru/sites/default/files/styles/case_slider_image/public/user/19498/img-0004-00389_0.jpg?itok=JA4G3p4g
  • https://radiomed.ru/sites/default/files/styles/case_slider_image/public/user/19498/img-0004-00390_0.jpg?itok=5cXyo5c1
  • https://radiomed.ru/sites/default/files/styles/case_slider_image/public/user/19498/img-0004-00391_0.jpg?itok=KqnHJm2e
  • https://radiomed.ru/sites/default/files/styles/case_slider_image/public/user/19498/img-0004-00392_0.jpg?itok=JgIKB8wL
  • https://radiomed.ru/sites/default/files/styles/case_slider_image/public/user/19498/img-0004-00393_0.jpg?itok=TC3DRZCK
  • https://radiomed.ru/sites/default/files/styles/case_slider_image/public/user/19498/img-0004-00394_0.jpg?itok=X--kbOux
  • https://radiomed.ru/sites/default/files/styles/case_slider_image/public/user/19498/img-0004-00395_0.jpg?itok=GcDjDmy_
  • https://radiomed.ru/sites/default/files/styles/case_slider_image/public/user/19498/img-0004-00396_0.jpg?itok=i0-S9Top
  • https://radiomed.ru/sites/default/files/styles/case_slider_image/public/user/19498/img-0004-00397_0.jpg?itok=KijWULXq
  • https://radiomed.ru/sites/default/files/styles/case_slider_image/public/user/19498/img-0004-00398_0.jpg?itok=euDycJNz
  • https://radiomed.ru/sites/default/files/styles/case_slider_image/public/user/19498/img-0004-00399_0.jpg?itok=lqUR3GKo
  • https://radiomed.ru/sites/default/files/styles/case_slider_image/public/user/19498/img-0004-00400_0.jpg?itok=adIUVzIH
  • https://radiomed.ru/sites/default/files/styles/case_slider_image/public/user/19498/img-0004-00401_0.jpg?itok=WH4_Luy_
  • https://radiomed.ru/sites/default/files/styles/case_slider_image/public/user/19498/img-0004-00402_0.jpg?itok=nhFQYXrr
  • https://radiomed.ru/sites/default/files/styles/case_slider_image/public/user/19498/img-0004-00403_0.jpg?itok=MVkOzym_
  • https://radiomed.ru/sites/default/files/styles/case_slider_image/public/user/19498/img-0004-00404_0.jpg?itok=jK4MoMF8
  • https://radiomed.ru/sites/default/files/styles/case_slider_image/public/user/19498/img-0004-00405_0.jpg?itok=H-KHGzT8
  • https://radiomed.ru/sites/default/files/styles/case_slider_image/public/user/19498/img-0004-00406_0.jpg?itok=kAjyez2B
  • https://radiomed.ru/sites/default/files/styles/case_slider_image/public/user/19498/img-0004-00407_0.jpg?itok=Cj23A_jw
  • https://radiomed.ru/sites/default/files/styles/case_slider_image/public/user/19498/img-0004-00408_0.jpg?itok=N0LEPDLD
  • https://radiomed.ru/sites/default/files/styles/case_slider_image/public/user/19498/img-0004-00409_0.jpg?itok=2-6UB8yV
  • https://radiomed.ru/sites/default/files/styles/case_slider_image/public/user/19498/img-0004-00410_0.jpg?itok=xadYD5i1
  • https://radiomed.ru/sites/default/files/styles/case_slider_image/public/user/19498/img-0004-00411.jpg?itok=jwdjwaUV
  • https://radiomed.ru/sites/default/files/styles/case_slider_image/public/user/19498/img-0004-00412.jpg?itok=eTlk7GfC
  • https://radiomed.ru/sites/default/files/styles/case_slider_image/public/user/19498/img-0004-00413.jpg?itok=AasLstgX
  • https://radiomed.ru/sites/default/files/styles/case_slider_image/public/user/19498/img-0004-00414.jpg?itok=Aas2UYfn
  • https://radiomed.ru/sites/default/files/styles/case_slider_image/public/user/19498/img-0004-00415.jpg?itok=suU2tmk5
  • https://radiomed.ru/sites/default/files/styles/case_slider_image/public/user/19498/img-0004-00416.jpg?itok=FW5FTRlR
  • https://radiomed.ru/sites/default/files/styles/case_slider_image/public/user/19498/img-0001-00001_47.jpg?itok=7mZDlSAp
  • https://radiomed.ru/sites/default/files/styles/case_slider_image/public/user/19498/img-0001-00002_40.jpg?itok=qJYgo7Q2
  • https://radiomed.ru/sites/default/files/styles/case_slider_image/public/user/19498/img-0001-00003_40.jpg?itok=9q-bF-3t
  • https://radiomed.ru/sites/default/files/styles/case_slider_image/public/user/19498/img-0001-00004_40.jpg?itok=XC8AEHPh
  • https://radiomed.ru/sites/default/files/styles/case_slider_image/public/user/19498/img-0001-00005_40.jpg?itok=5BnQmUdI
  • https://radiomed.ru/sites/default/files/styles/case_slider_image/public/user/19498/img-0001-00006_40.jpg?itok=rkYa4joW
  • https://radiomed.ru/sites/default/files/styles/case_slider_image/public/user/19498/img-0001-00007_40.jpg?itok=3X4_3Urp
  • https://radiomed.ru/sites/default/files/styles/case_slider_image/public/user/19498/img-0001-00008_40.jpg?itok=hDbhG6I4
  • https://radiomed.ru/sites/default/files/styles/case_slider_image/public/user/19498/img-0001-00009_40.jpg?itok=VXXWmYRY
  • https://radiomed.ru/sites/default/files/styles/case_slider_image/public/user/19498/img-0001-00010_40.jpg?itok=2E5H18mn
  • https://radiomed.ru/sites/default/files/styles/case_slider_image/public/user/19498/img-0001-00011_40.jpg?itok=zMuAJEhW
  • https://radiomed.ru/sites/default/files/styles/case_slider_image/public/user/19498/img-0001-00012_40.jpg?itok=xNdP4jk-
  • https://radiomed.ru/sites/default/files/styles/case_slider_image/public/user/19498/img-0001-00013_41.jpg?itok=Tumb1gem
  • https://radiomed.ru/sites/default/files/styles/case_slider_image/public/user/19498/img-0001-00014_44.jpg?itok=P1trEBcE
  • https://radiomed.ru/sites/default/files/styles/case_slider_image/public/user/19498/img-0001-00015_44.jpg?itok=TULIjTdS
  • https://radiomed.ru/sites/default/files/styles/case_slider_image/public/user/19498/img-0001-00016_45.jpg?itok=1nqEz5Vl
  • https://radiomed.ru/sites/default/files/styles/case_slider_image/public/user/19498/img-0001-00017_45.jpg?itok=ht6BTQGn
  • https://radiomed.ru/sites/default/files/styles/case_slider_image/public/user/19498/img-0001-00018_45.jpg?itok=0d_DMyJZ
  • https://radiomed.ru/sites/default/files/styles/case_slider_image/public/user/19498/img-0001-00019_45.jpg?itok=qUHvv749
  • https://radiomed.ru/sites/default/files/styles/case_slider_image/public/user/19498/img-0001-00020_45.jpg?itok=7pGWKUJ7
  • https://radiomed.ru/sites/default/files/styles/case_slider_image/public/user/19498/img-0001-00021_45.jpg?itok=SCnTaG6k
  • https://radiomed.ru/sites/default/files/styles/case_slider_image/public/user/19498/img-0001-00022_46.jpg?itok=gZYNUqo2
  • https://radiomed.ru/sites/default/files/styles/case_slider_image/public/user/19498/img-0001-00023_46.jpg?itok=k9w5P9Ro
  • https://radiomed.ru/sites/default/files/styles/case_slider_image/public/user/19498/img-0001-00024_46.jpg?itok=CSQaV4nj
  • https://radiomed.ru/sites/default/files/styles/case_slider_image/public/user/19498/img-0001-00025_46.jpg?itok=0X6Y3mUe
  • https://radiomed.ru/sites/default/files/styles/case_slider_image/public/user/19498/img-0001-00026_46.jpg?itok=HFS0XgtW
  • https://radiomed.ru/sites/default/files/styles/case_slider_image/public/user/19498/img-0001-00027_47.jpg?itok=ikQ9KlnA
  • https://radiomed.ru/sites/default/files/styles/case_slider_image/public/user/19498/img-0001-00028_47.jpg?itok=ReIgAVsC
  • https://radiomed.ru/sites/default/files/styles/case_slider_image/public/user/19498/img-0001-00029_47.jpg?itok=Lh2qMK_O
  • https://radiomed.ru/sites/default/files/styles/case_slider_image/public/user/19498/img-0001-00030_47.jpg?itok=MhQS1qgz
  • https://radiomed.ru/sites/default/files/styles/case_slider_image/public/user/19498/img-0001-00031_47.jpg?itok=A1p7ZaqC
  • https://radiomed.ru/sites/default/files/styles/case_slider_image/public/user/19498/img-0001-00032_47.jpg?itok=Cab0jTZR
  • https://radiomed.ru/sites/default/files/styles/case_slider_image/public/user/19498/img-0001-00033_47.jpg?itok=hiP-WEYm
  • https://radiomed.ru/sites/default/files/styles/case_slider_image/public/user/19498/img-0001-00034_47.jpg?itok=h9ue3Muj
  • https://radiomed.ru/sites/default/files/styles/case_slider_image/public/user/19498/img-0001-00035_47.jpg?itok=LzyYHmhw
  • https://radiomed.ru/sites/default/files/styles/case_slider_image/public/user/19498/img-0001-00036_47.jpg?itok=7k1YBTG5
  • https://radiomed.ru/sites/default/files/styles/case_slider_image/public/user/19498/img-0001-00037_47.jpg?itok=sIfdw65X
  • https://radiomed.ru/sites/default/files/styles/case_slider_image/public/user/19498/img-0001-00038_47.jpg?itok=IdUBpzcA
  • https://radiomed.ru/sites/default/files/styles/case_slider_image/public/user/19498/img-0001-00039_47.jpg?itok=_tGh3i16
  • https://radiomed.ru/sites/default/files/styles/case_slider_image/public/user/19498/img-0001-00040_48.jpg?itok=-LAZxTYV
  • https://radiomed.ru/sites/default/files/styles/case_slider_image/public/user/19498/img-0001-00041_47.jpg?itok=58J1Zk7y
  • https://radiomed.ru/sites/default/files/styles/case_slider_image/public/user/19498/img-0001-00042_48.jpg?itok=J3EW5Gpj
  • https://radiomed.ru/sites/default/files/styles/case_slider_image/public/user/19498/img-0001-00043_48.jpg?itok=e0t9pgWN
  • https://radiomed.ru/sites/default/files/styles/case_slider_image/public/user/19498/img-0001-00044_47.jpg?itok=x9nX8kvp
  • https://radiomed.ru/sites/default/files/styles/case_slider_image/public/user/19498/img-0001-00045_48.jpg?itok=_idOVnkK
  • https://radiomed.ru/sites/default/files/styles/case_slider_image/public/user/19498/img-0001-00046_48.jpg?itok=sE_MoujM
  • https://radiomed.ru/sites/default/files/styles/case_slider_image/public/user/19498/img-0001-00047_48.jpg?itok=mCMdniAZ
  • https://radiomed.ru/sites/default/files/styles/case_slider_image/public/user/19498/img-0001-00048_47.jpg?itok=BCNq2gRJ
  • https://radiomed.ru/sites/default/files/styles/case_slider_image/public/user/19498/img-0001-00049_48.jpg?itok=bki2gQrc
  • https://radiomed.ru/sites/default/files/styles/case_slider_image/public/user/19498/img-0001-00050_48.jpg?itok=BmfpqYXb
  • https://radiomed.ru/sites/default/files/styles/case_slider_image/public/user/19498/img-0001-00051_47.jpg?itok=EzJHR6wy
  • https://radiomed.ru/sites/default/files/styles/case_slider_image/public/user/19498/img-0001-00052_48.jpg?itok=gIDV1s2f
  • https://radiomed.ru/sites/default/files/styles/case_slider_image/public/user/19498/img-0001-00053_48.jpg?itok=QeCIptgp
  • https://radiomed.ru/sites/default/files/styles/case_slider_image/public/user/19498/img-0001-00054_46.jpg?itok=0NW5o6h9
  • https://radiomed.ru/sites/default/files/styles/case_slider_image/public/user/19498/img-0001-00055_48.jpg?itok=7aOcJTiT
  • https://radiomed.ru/sites/default/files/styles/case_slider_image/public/user/19498/img-0001-00056_48.jpg?itok=OvovuiRr
  • https://radiomed.ru/sites/default/files/styles/case_slider_image/public/user/19498/img-0001-00057_48.jpg?itok=X79foFER
  • https://radiomed.ru/sites/default/files/styles/case_slider_image/public/user/19498/img-0001-00058_48.jpg?itok=piE7M00i
  • https://radiomed.ru/sites/default/files/styles/case_slider_image/public/user/19498/img-0001-00059_45.jpg?itok=zAUL57O1
  • https://radiomed.ru/sites/default/files/styles/case_slider_image/public/user/19498/img-0001-00060_46.jpg?itok=676mbRqp
  • https://radiomed.ru/sites/default/files/styles/case_slider_image/public/user/19498/img-0001-00061_46.jpg?itok=xPwLnE9m
  • https://radiomed.ru/sites/default/files/styles/case_slider_image/public/user/19498/img-0001-00062_45.jpg?itok=inYfQh9E
  • https://radiomed.ru/sites/default/files/styles/case_slider_image/public/user/19498/img-0001-00063_46.jpg?itok=8v8nWE5J
  • https://radiomed.ru/sites/default/files/styles/case_slider_image/public/user/19498/img-0001-00064_45.jpg?itok=gbWEqxNY
  • https://radiomed.ru/sites/default/files/styles/case_slider_image/public/user/19498/img-0001-00065_44.jpg?itok=4u3RQZdn
  • https://radiomed.ru/sites/default/files/styles/case_slider_image/public/user/19498/img-0001-00066_45.jpg?itok=k8oFRXnw
  • https://radiomed.ru/sites/default/files/styles/case_slider_image/public/user/19498/img-0001-00067_44.jpg?itok=GmjELTyQ
  • https://radiomed.ru/sites/default/files/styles/case_slider_image/public/user/19498/img-0001-00068_43.jpg?itok=omrNBY6O
  • https://radiomed.ru/sites/default/files/styles/case_slider_image/public/user/19498/img-0001-00069_44.jpg?itok=-4bdxn_8
  • https://radiomed.ru/sites/default/files/styles/case_slider_image/public/user/19498/img-0001-00070_44.jpg?itok=pQ9o5SKd
  • https://radiomed.ru/sites/default/files/styles/case_slider_image/public/user/19498/img-0001-00071_43.jpg?itok=-mX5Vn5v
  • https://radiomed.ru/sites/default/files/styles/case_slider_image/public/user/19498/img-0001-00072_44.jpg?itok=_t8QTM3F
  • https://radiomed.ru/sites/default/files/styles/case_slider_image/public/user/19498/img-0001-00073_44.jpg?itok=P-_uO5LZ
  • https://radiomed.ru/sites/default/files/styles/case_slider_image/public/user/19498/img-0001-00074_43.jpg?itok=g-tdYces
  • https://radiomed.ru/sites/default/files/styles/case_slider_image/public/user/19498/img-0001-00075_43.jpg?itok=6u8WO43j
  • https://radiomed.ru/sites/default/files/styles/case_slider_image/public/user/19498/img-0001-00076_44.jpg?itok=0zLAdxzd
  • https://radiomed.ru/sites/default/files/styles/case_slider_image/public/user/19498/img-0001-00077_44.jpg?itok=FmNdwUwG
  • https://radiomed.ru/sites/default/files/styles/case_slider_image/public/user/19498/img-0001-00078_43.jpg?itok=HuBbc4z1
  • https://radiomed.ru/sites/default/files/styles/case_slider_image/public/user/19498/img-0001-00079_44.jpg?itok=gIlmc3Fw
  • https://radiomed.ru/sites/default/files/styles/case_slider_image/public/user/19498/img-0001-00080_44.jpg?itok=6zUKVoDe
  • https://radiomed.ru/sites/default/files/styles/case_slider_image/public/user/19498/img-0001-00081_38.jpg?itok=B4IrHsQr
  • https://radiomed.ru/sites/default/files/styles/case_slider_image/public/user/19498/img-0001-00082_39.jpg?itok=OKLpagyl
  • https://radiomed.ru/sites/default/files/styles/case_slider_image/public/user/19498/img-0001-00083_38.jpg?itok=qaUB2K6s
  • https://radiomed.ru/sites/default/files/styles/case_slider_image/public/user/19498/img-0001-00084_38.jpg?itok=u2l2xjl0
  • https://radiomed.ru/sites/default/files/styles/case_slider_image/public/user/19498/img-0001-00085_36.jpg?itok=3q3NOKSX
  • https://radiomed.ru/sites/default/files/styles/case_slider_image/public/user/19498/img-0001-00086_37.jpg?itok=9d2_Oibg
  • https://radiomed.ru/sites/default/files/styles/case_slider_image/public/user/19498/img-0001-00087_36.jpg?itok=hwj97Lmc
  • https://radiomed.ru/sites/default/files/styles/case_slider_image/public/user/19498/img-0001-00088_36.jpg?itok=MYNM_sjN
  • https://radiomed.ru/sites/default/files/styles/case_slider_image/public/user/19498/img-0001-00089_34.jpg?itok=TZ1jkq5O
  • https://radiomed.ru/sites/default/files/styles/case_slider_image/public/user/19498/img-0001-00090_35.jpg?itok=IC1zufAb
  • https://radiomed.ru/sites/default/files/styles/case_slider_image/public/user/19498/img-0001-00091_34.jpg?itok=1bh0tww3
  • https://radiomed.ru/sites/default/files/styles/case_slider_image/public/user/19498/img-0001-00092_33.jpg?itok=t5ByxUe-
  • https://radiomed.ru/sites/default/files/styles/case_slider_image/public/user/19498/img-0001-00093_34.jpg?itok=BZfEIltx
  • https://radiomed.ru/sites/default/files/styles/case_slider_image/public/user/19498/img-0001-00094_33.jpg?itok=fk6GrgxS
  • https://radiomed.ru/sites/default/files/styles/case_slider_image/public/user/19498/img-0001-00095_33.jpg?itok=FYm5fL7d
  • https://radiomed.ru/sites/default/files/styles/case_slider_image/public/user/19498/img-0001-00096_31.jpg?itok=ClgO0ISZ
  • https://radiomed.ru/sites/default/files/styles/case_slider_image/public/user/19498/img-0001-00097_31.jpg?itok=AhfYVgYM
  • https://radiomed.ru/sites/default/files/styles/case_slider_image/public/user/19498/img-0001-00098_30.jpg?itok=ru4MmA1w
  • https://radiomed.ru/sites/default/files/styles/case_slider_image/public/user/19498/img-0001-00099_29.jpg?itok=VGQV1I9x
  • https://radiomed.ru/sites/default/files/styles/case_slider_image/public/user/19498/img-0001-00100_28.jpg?itok=ditkxOnH
  • https://radiomed.ru/sites/default/files/styles/case_slider_image/public/user/19498/img-0001-00101_24.jpg?itok=Aom7NMal
  • https://radiomed.ru/sites/default/files/styles/case_slider_image/public/user/19498/img-0001-00102_24.jpg?itok=pn9MnMeg
  • https://radiomed.ru/sites/default/files/styles/case_slider_image/public/user/19498/img-0001-00103_23.jpg?itok=3B2lbTlC
  • https://radiomed.ru/sites/default/files/styles/case_slider_image/public/user/19498/img-0001-00104_24.jpg?itok=frbtMPli
  • https://radiomed.ru/sites/default/files/styles/case_slider_image/public/user/19498/img-0001-00105_20.jpg?itok=vJB3rcFI
  • https://radiomed.ru/sites/default/files/styles/case_slider_image/public/user/19498/img-0001-00106_19.jpg?itok=Vaq6exEB
  • https://radiomed.ru/sites/default/files/styles/case_slider_image/public/user/19498/img-0001-00107_19.jpg?itok=jyNJ5cNF
  • https://radiomed.ru/sites/default/files/styles/case_slider_image/public/user/19498/img-0001-00108_18.jpg?itok=eQAzWl_d
  • https://radiomed.ru/sites/default/files/styles/case_slider_image/public/user/19498/img-0001-00109_16.jpg?itok=zlzV23Zv
  • https://radiomed.ru/sites/default/files/styles/case_slider_image/public/user/19498/img-0001-00110_14.jpg?itok=Vfa8b3EZ
  • https://radiomed.ru/sites/default/files/styles/case_slider_image/public/user/19498/img-0001-00111_14.jpg?itok=aQVplbul
  • https://radiomed.ru/sites/default/files/styles/case_slider_image/public/user/19498/img-0001-00112_12.jpg?itok=ElqLWVqh
  • https://radiomed.ru/sites/default/files/styles/case_slider_image/public/user/19498/img-0001-00113_12.jpg?itok=oR3SUew3
  • https://radiomed.ru/sites/default/files/styles/case_slider_image/public/user/19498/img-0001-00114_11.jpg?itok=MGyOhhGK
  • https://radiomed.ru/sites/default/files/styles/case_slider_image/public/user/19498/img-0001-00115_9.jpg?itok=RLZfBi4E
  • https://radiomed.ru/sites/default/files/styles/case_slider_image/public/user/19498/img-0001-00116_9.jpg?itok=CHYtrCJT
  • https://radiomed.ru/sites/default/files/styles/case_slider_image/public/user/19498/img-0001-00117_9.jpg?itok=9EF3NUUK
  • https://radiomed.ru/sites/default/files/styles/case_slider_image/public/user/19498/img-0001-00118_6.jpg?itok=lnfnQ-dM
  • https://radiomed.ru/sites/default/files/styles/case_slider_image/public/user/19498/img-0001-00119_6.jpg?itok=FKX7A_T6
  • https://radiomed.ru/sites/default/files/styles/case_slider_image/public/user/19498/img-0001-00120_6.jpg?itok=eCjb50dn
  • https://radiomed.ru/sites/default/files/styles/case_slider_image/public/user/19498/img-0001-00121_5.jpg?itok=mMVQLX5m
  • https://radiomed.ru/sites/default/files/styles/case_slider_image/public/user/19498/img-0001-00122_6.jpg?itok=YShjGPWN
  • https://radiomed.ru/sites/default/files/styles/case_slider_image/public/user/19498/img-0001-00123_6.jpg?itok=3os_Yz2T
  • https://radiomed.ru/sites/default/files/styles/case_slider_image/public/user/19498/img-0001-00124_5.jpg?itok=xYOXrZzc
  • https://radiomed.ru/sites/default/files/styles/case_slider_image/public/user/19498/img-0001-00125_6.jpg?itok=XxQLjHxP
  • https://radiomed.ru/sites/default/files/styles/case_slider_image/public/user/19498/img-0001-00126_6.jpg?itok=cz1Wlqtw
  • https://radiomed.ru/sites/default/files/styles/case_slider_image/public/user/19498/img-0001-00127_5.jpg?itok=TFKped2d
  • https://radiomed.ru/sites/default/files/styles/case_slider_image/public/user/19498/img-0001-00128_6.jpg?itok=cy13VXy7
ID:71484
Цель публикации: 
Лейман Иван аватар
Не на сайте
Был на сайте: 7 месяцев 3 недели назад
Зарегистрирован: 09.01.2014 - 07:54
Публикации: 1190

ВОТ 

 

Приложения: 
img-0005-00001.jpgimg-0006-00001.jpg
ROI_888 аватар
Не на сайте
Был на сайте: 7 лет 4 месяцев назад
Зарегистрирован: 17.04.2017 - 17:15
Публикации: 1140

Не стал бы говорить об очагах. Акцентировал бы не на фиброзе, а на тракционных бронхоэктазах. Не обязательно они результат tbc бронхов, но проверить не помешает.

Лейман Иван аватар
Не на сайте
Был на сайте: 7 месяцев 3 недели назад
Зарегистрирован: 09.01.2014 - 07:54
Публикации: 1190

ROI_888 wrote:

Не стал бы говорить об очагах. Акцентировал бы не на фиброзе, а на тракционных бронхоэктазах. Не обязательно они результат tbc бронхов, но проверить не помешает.

В данной ситуации консультация фтизиатра необходима?

ROI_888 аватар
Не на сайте
Был на сайте: 7 лет 4 месяцев назад
Зарегистрирован: 17.04.2017 - 17:15
Публикации: 1140

Лейман Иван wrote:

 В данной ситуации консультация фтизиатра необходима?

Если без его участия обследование на tbc не налажено, то да.

Миргалина аватар
Не на сайте
Был на сайте: 4 месяцев 2 недели назад
Зарегистрирован: 06.08.2015 - 20:04
Публикации: 2882

Иван, пациент ведь уже "направлен с ОПТД", так?surprise Возвращайте его назад с заключением о возможном микобактериозе. Остаточные поствоспалительные ( посттуберкулёзные?) в дифряд.Очаговый твс с неясной активностью они уже себе "нарисовали", как я поняла.

А. Горюнов аватар
Не на сайте
Был на сайте: 6 месяцев 3 недели назад
Зарегистрирован: 07.10.2012 - 12:12
Публикации: 2744

Миргалина wrote:

Иван, пациент ведь уже "направлен с ОПТД", так?surprise Возвращайте его назад с заключением о возможном микобактериозе. Остаточные поствоспалительные ( посттуберкулёзные?) в дифряд.Очаговый твс с неясной активностью они уже себе "нарисовали", как я поняла.

+1 за микобактериоз.

Анатолий Петрович

Лейман Иван аватар
Не на сайте
Был на сайте: 7 месяцев 3 недели назад
Зарегистрирован: 09.01.2014 - 07:54
Публикации: 1190

Большое всем спасибо!!!