Продолжая тему пушечных ядер). ОГК

Пол пациента: 
Тип патологии: 
Методы исследования: 

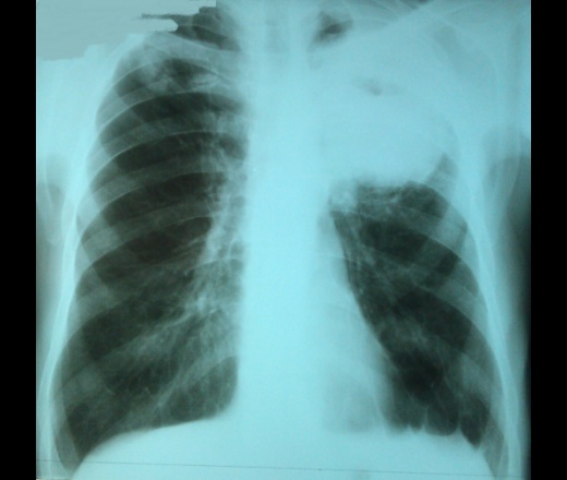
Мужчина, 65 лет. Все подробности (в т.ч. результаты анализов) пока неизвестны, R-картина довольно примечательная, поэтому делюсь. Конечно, уточню анамнез, выложу как только. Снимки с интервалом 20 дней.

На правой верхушке, благодаря р/лаборанту недоразумение (маркировка).

R-графия ОГК

  • Rgr ОГК
R-графия ID:72130
Daniel' аватар
Не на сайте
Был на сайте: 1 месяц 4 недели назад
Зарегистрирован: 27.06.2013 - 22:21
Публикации: 2210

где живет туберкулез там может поселиться и рак - из этой оперы?

Сергей Кузьминов аватар
Не на сайте
Был на сайте: 1 год 3 недели назад
Зарегистрирован: 06.10.2012 - 15:51
Публикации: 11813

Томограммы будут?

ROI_888 аватар
Не на сайте
Был на сайте: 6 лет 11 месяцев назад
Зарегистрирован: 17.04.2017 - 17:15
Публикации: 1140

Сергей Кузьминов wrote:

Томограммы будут?

Есть КТ ОГК, но сделана в др.учреждении, только распечатка, CD, DVD-записи нет. Попробую эти выборочные кадры выложить.

ROI_888 аватар
Не на сайте
Был на сайте: 6 лет 11 месяцев назад
Зарегистрирован: 17.04.2017 - 17:15
Публикации: 1140

.

Приложения: 
imag7458.jpgimag7460.jpgimag7460_-_kopiya.jpgimag7461.jpg
ROI_888 аватар
Не на сайте
Был на сайте: 6 лет 11 месяцев назад
Зарегистрирован: 17.04.2017 - 17:15
Публикации: 1140

Daniel' wrote:

где живет туберкулез там может поселиться и рак - из этой оперы?

возможно, нет полной информации и уверенности

И.Бондаренко аватар
Не на сайте
Был на сайте: 2 дня 5 часов назад
Зарегистрирован: 13.09.2011 - 22:55
Публикации: 9206

Я за "ЗЛО".

А. Горюнов аватар
Не на сайте
Был на сайте: 1 месяц 1 неделя назад
Зарегистрирован: 07.10.2012 - 12:12
Публикации: 2744

При отсутствии полной информации, в диф. ряд посттуберкулезный фиброателектаз верхней доли левого легкого.

Анатолий Петрович

Катенёв Валентин Львович аватар
Не на сайте
Был на сайте: 7 лет 3 недели назад
Зарегистрирован: 22.03.2008 - 22:15
Публикации: 54876

Если бы не плевро-диафрагмальные шварты слева и не "тенюха" на верхушке справа, то безусловно, на первом месте периферический (возможно кавитирующий) рак лёгкого.

Но учитывая "если бы не", на мой взгляд, линейная томография могла бы расставить все точки над "1"...

ROI_888 аватар
Не на сайте
Был на сайте: 6 лет 11 месяцев назад
Зарегистрирован: 17.04.2017 - 17:15
Публикации: 1140

Немного не по порядку, но по сути:

планировалась операция, из-за кардиальной патологии отложена на неопределенное время, высокая степень операционного риска;

клинический Ds: легочно-плевральная полость; выполнено дренирование полости, получен гной;

в 2016г. лечился по поводу пневмоторакса слева; R-архив не предоставил;

в архиве нашлась более ранняя КТ ОГК, опять только выборочные снимки, от 2016г., на тот момент в верхней доле полостному образованию не предшествовал ни инфильтрат, ни полость меньших размеров. Качество снимков оставляет желать... по возможности выложу;

Известно, что ранее была выполнена атипическая резекция верхней доли левого легкого (как давно - будем уточнять);

состоял на учете по поводу tbc, с учета несколько лет, как снят; в настоящее время исследование смывов из бронхов на МБТ и атипич.клетки отрицательны; анализы мокроты и плевральной жидкости на МБТ - отрицательны;

ФБС: дренажный гнойный бронхит с обеих сторон.

ОАК: повышены Lc до 8-10, СОЭ до 40-50.

Будет что-либо существенное в динамике, напишу.

 

 

 

 

 

 

ROI_888 аватар
Не на сайте
Был на сайте: 6 лет 11 месяцев назад
Зарегистрирован: 17.04.2017 - 17:15
Публикации: 1140

при всем вышеизложенном рентгенологическое заключение: полостное образование верхней доли левого легкого

А. Горюнов аватар
Не на сайте
Был на сайте: 1 месяц 1 неделя назад
Зарегистрирован: 07.10.2012 - 12:12
Публикации: 2744

ROI_888 wrote:

при всем вышеизложенном рентгенологическое заключение: полостное образование верхней доли левого легкого

Планируется ли контрольное КТ-исследование ОГП?

Анатолий Петрович

ROI_888 аватар
Не на сайте
Был на сайте: 6 лет 11 месяцев назад
Зарегистрирован: 17.04.2017 - 17:15
Публикации: 1140

А. Горюнов wrote:

Планируется ли контрольное КТ-исследование ОГП?

да

Катенёв Валентин Львович аватар
Не на сайте
Был на сайте: 7 лет 3 недели назад
Зарегистрирован: 22.03.2008 - 22:15
Публикации: 54876

ROI_888 wrote:

клинический Ds: легочно-плевральная полость; выполнено дренирование полости, получен гной

Какой интересный термин - "лёгочно-плевральная полость"...

Это сейчас так абсцесс "по фене" обзывают?

Катенёв Валентин Львович аватар
Не на сайте
Был на сайте: 7 лет 3 недели назад
Зарегистрирован: 22.03.2008 - 22:15
Публикации: 54876

Значит хронический абсцесс?

ROI_888 аватар
Не на сайте
Был на сайте: 6 лет 11 месяцев назад
Зарегистрирован: 17.04.2017 - 17:15
Публикации: 1140

Катенёв Валентин Львович wrote:

Значит хронический абсцесс?

суммируя все, получается так

ROI_888 аватар
Не на сайте
Был на сайте: 6 лет 11 месяцев назад
Зарегистрирован: 17.04.2017 - 17:15
Публикации: 1140

Катенёв Валентин Львович wrote:

ROI_888 wrote:

клинический Ds: легочно-плевральная полость; выполнено дренирование полости, получен гной

Какой интересный термин - "лёгочно-плевральная полость"...

Это сейчас так абсцесс "по фене" обзывают?

Весь клинический ds длинный (приводить не стану), МКБ-10 соблюдена, но итогово леч.врачом  приведена данная запись - легочно-плевральная полость, существует такой термин. Как академично подходить к вопросу, по аналогии, признавать или отметать понятие "рабочая классификация"?

 

Катенёв Валентин Львович аватар
Не на сайте
Был на сайте: 7 лет 3 недели назад
Зарегистрирован: 22.03.2008 - 22:15
Публикации: 54876

ROI_888 wrote:

Катенёв Валентин Львович wrote:

Значит хронический абсцесс?

суммируя все, получается так

Так почему же "машку" не назвать "машкой"7

Видаль упоминал, что диагноз абсцесса лежит в плевательнице.

Так что же в мокроте у больного?

Катенёв Валентин Львович аватар
Не на сайте
Был на сайте: 7 лет 3 недели назад
Зарегистрирован: 22.03.2008 - 22:15
Публикации: 54876

ROI_888 wrote:

но итогово леч.врачом  приведена данная запись - легочно-плевральная полость, существует такой термин. 

Ну ежели так лечащий врач считает, так флаг ему в руки..., сильно я преклоняюсь я перед лечащими врачами, лечащими таким образом абсцессы...

Лечащий врач, надо понимать, "тарапевт"?

ROI_888 аватар
Не на сайте
Был на сайте: 6 лет 11 месяцев назад
Зарегистрирован: 17.04.2017 - 17:15
Публикации: 1140

см #9, #16

в Ds есть "абсцесс", не беспокойтесь. Нисколько не против термина "легочно-плевральная полость", но в данном случае рентгенологическое заключение #10. Как и говорил, будет что-либо существенное в динамике, напишу.