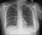
Пол пациента: Женский пол Тип патологии: Другое Область исследования: Скелетно-мышечная система Методы исследования: Rg Вот такая девушка пришла с некпонятными болями в ОГК. Смущает грудинный конец ключицы, норма ли это? ID:72948 Цель публикации: Консультация Сб, 02/09/2017 - 10:33 #1 DrMaximova Не на сайте Был на сайте: 3 года 5 месяцев назад Зарегистрирован: 25.11.2012 - 17:38 Публикации: 287 Простите, что изображения не перевернуты. Загружала нормально Сб, 02/09/2017 - 11:20 #2 И.Бондаренко Не на сайте Был на сайте: 1 день 9 часов назад Зарегистрирован: 13.09.2011 - 22:55 Публикации: 9209 Нориально. Только в рёберно-позвонковых суставах Th 9 и 10 слева есть остеофиты - дефартроз. Сб, 02/09/2017 - 11:43 #3 DrMaximova Не на сайте Был на сайте: 3 года 5 месяцев назад Зарегистрирован: 25.11.2012 - 17:38 Публикации: 287 И.Бондаренко wrote: Нориально. Только в рёберно-позвонковых суставах Th 9 и 10 слева есть остеофиты - дефартроз. А покажите из пожалуйств Сб, 02/09/2017 - 11:48 #4 DrMaximova Не на сайте Был на сайте: 3 года 5 месяцев назад Зарегистрирован: 25.11.2012 - 17:38 Публикации: 287 Еще стрелкой это тоже остеофит? Приложения: Сб, 02/09/2017 - 12:29 #5 И.Бондаренко Не на сайте Был на сайте: 1 день 9 часов назад Зарегистрирован: 13.09.2011 - 22:55 Публикации: 9209 Вот так Приложения:
Простите, что изображения не перевернуты. Загружала нормально
Нориально. Только в рёберно-позвонковых суставах Th 9 и 10 слева есть остеофиты - дефартроз.
А покажите из пожалуйств
Еще стрелкой это тоже остеофит?
Вот так