динамика

Пол пациента: 
Тип патологии: 
Методы исследования: 

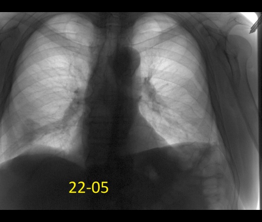
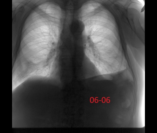
Мужчина 60лет. Диагностическая флюорография, 22 мая был поставлен диагноз пневмония с\д справа, пришел к нам на контроль второй раз.  Думаю все хорошо можно отпускать? Ваше мнение коллеги?

ID:77190
Цель публикации: 
Игорь Ким аватар
Не на сайте
Был на сайте: 1 год 6 месяцев назад
Зарегистрирован: 17.10.2014 - 17:30
Публикации: 4672

Да, динамика положительная, 4 сегмент с гиповентиляцией. Ограничился бы рентген контролем ч\з 1-1.5 мес.

Иван Шрамко аватар
Не на сайте
Был на сайте: 6 лет 1 неделя назад
Зарегистрирован: 27.12.2013 - 15:48
Публикации: 212

Игорь Ким wrote:

Да, динамика положительная, 4 сегмент с гиповентиляцией. Ограничился бы рентген контролем ч\з 1-1.5 мес.

+1

Александр Левада аватар
Не на сайте
Был на сайте: 6 лет 5 месяцев назад
Зарегистрирован: 14.10.2017 - 16:01
Публикации: 474

Слева над диафрагмой дисковидный ателектаз?

Игорь Ким аватар
Не на сайте
Был на сайте: 1 год 6 месяцев назад
Зарегистрирован: 17.10.2014 - 17:30
Публикации: 4672

Александр Левада wrote:

Слева над диафрагмой дисковидный ателектаз?

Да нет, купол диафрагмы. (с учетом 22.05, 06.06.)

Катенёв Валентин Львович аватар
Не на сайте
Был на сайте: 7 лет 3 месяцев назад
Зарегистрирован: 22.03.2008 - 22:15
Публикации: 54876

Игорь Ким wrote:

Да нет, купол диафрагмы. (с учетом 22.05, 06.06.)

По всей видимости плеврит перенесен...

В.И. аватар
Не на сайте
Был на сайте: 4 месяцев 3 недели назад
Зарегистрирован: 22.09.2015 - 17:55
Публикации: 2321

Всем спасибо.

Сергей Кузьминов аватар
Не на сайте
Был на сайте: 1 год 3 месяцев назад
Зарегистрирован: 06.10.2012 - 15:51
Публикации: 11813

Погодите благодарить. Неспокойная картина, так думаю.

X-KVANT аватар
Не на сайте
Был на сайте: 7 лет 7 месяцев назад
Зарегистрирован: 17.01.2014 - 22:06
Публикации: 145

Динамика положительная. Слева облитерация костодиафрагмального синуса вследствии перенесенного плеврита