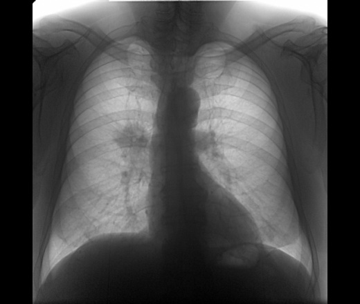
Пол пациента: Мужской пол Тип патологии: Злокачественное новообразованиеДругое Область исследования: Грудная клетка и верхние дыхательные пути Методы исследования: Rg Мужчина 70 лет. Проф. Флг. Центральный C-R ? На боковом снимке в каком сегменте это образование? Ваше мнение коллеги? ID:80919 Цель публикации: Консультация Втр, 19/03/2019 - 22:01 #1 NIL Не на сайте Был на сайте: 1 день 8 часов назад Зарегистрирован: 25.11.2013 - 20:50 Публикации: 18206 За центральный C-r. Болше в S3 "Слушай всех, прислушивайся к немногим, решай сам".© Втр, 19/03/2019 - 22:50 #2 Сергей Кузьминов Не на сайте Был на сайте: 1 год 2 недели назад Зарегистрирован: 06.10.2012 - 15:51 Публикации: 11813 NIL wrote: За центральный C-r. Болше в S3 И КТ надобна. Втр, 19/03/2019 - 22:54 #3 И.Бондаренко Не на сайте Был на сайте: 10 часов 20 минут назад Зарегистрирован: 13.09.2011 - 22:55 Публикации: 9206 NIL wrote: За центральный C-r. +1 Втр, 19/03/2019 - 23:06 #4 Игорь Ким Не на сайте Был на сайте: 1 год 3 месяцев назад Зарегистрирован: 17.10.2014 - 17:30 Публикации: 4672 NIL wrote: За центральный C-r. +1. Не могу исключить S6. Ср, 20/03/2019 - 03:09 #5 Lory Не на сайте Был на сайте: 4 месяцев 4 недели назад Зарегистрирован: 02.03.2016 - 18:28 Публикации: 766 Игорь Ким wrote: NIL wrote: За центральный C-r. +1. Не могу исключить S6. +1, Тоже вижу в S6 Ср, 20/03/2019 - 12:11 #6 В.И. Не на сайте Был на сайте: 1 месяц 4 недели назад Зарегистрирован: 22.09.2015 - 17:55 Публикации: 2321 Всем спасибо.
За центральный C-r. Болше в S3
"Слушай всех, прислушивайся к немногим, решай сам".©
+1
+1. Не могу исключить S6.
+1, Тоже вижу в S6
Всем спасибо.