Гортань на предмет образования

Пол пациента: 
Тип патологии: 
Область исследования: 
Методы исследования: 

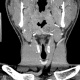
Исследование выполнено с целью выявления якобы кистозного образования мягкого неба, на нарушение глотания, дыхания, лимфоаденопатию шейных л/у.

Скинул только артериальную фазу т.к мягкие ткани при ней более четкие, в венозную и отсроченную ничего особенного, ничего нигде не копит. 

Первое что обращает внимание сужение на 1/3 просвета носоглитки, и ротоглотки, из за гипертрофии лимфоидной ткани я так вижу всего кольца Пирогова, даже по задней стенки глотки есть утолщение, множественных увеличеных лимфатических узлов шеи я не нашел, так единичные, до 15мм поднижнечелюстные. Возраст 35 лет. 

  • https://radiomed.ru/sites/default/files/styles/case_slider_image/public/user/19498/img-0003-00161_8.jpg?itok=p2wVFK8X
  • https://radiomed.ru/sites/default/files/styles/case_slider_image/public/user/19498/img-0003-00162_8.jpg?itok=GbF_1zdz
  • https://radiomed.ru/sites/default/files/styles/case_slider_image/public/user/19498/img-0003-00163_8.jpg?itok=TpoxVzGG
  • https://radiomed.ru/sites/default/files/styles/case_slider_image/public/user/19498/img-0003-00164_8.jpg?itok=GwIzTRkn
  • https://radiomed.ru/sites/default/files/styles/case_slider_image/public/user/19498/img-0003-00165_8.jpg?itok=4uTqKlEg
  • https://radiomed.ru/sites/default/files/styles/case_slider_image/public/user/19498/img-0003-00166_8.jpg?itok=2BGH9DPo
  • https://radiomed.ru/sites/default/files/styles/case_slider_image/public/user/19498/img-0003-00167_8.jpg?itok=G1Wig_sK
  • https://radiomed.ru/sites/default/files/styles/case_slider_image/public/user/19498/img-0003-00168_8.jpg?itok=NT2PqMhE
  • https://radiomed.ru/sites/default/files/styles/case_slider_image/public/user/19498/img-0003-00169_8.jpg?itok=lAVkpoT5
  • https://radiomed.ru/sites/default/files/styles/case_slider_image/public/user/19498/img-0003-00170_8.jpg?itok=UOZapD1D
  • https://radiomed.ru/sites/default/files/styles/case_slider_image/public/user/19498/img-0003-00171_8.jpg?itok=F8zjk_Sr
  • https://radiomed.ru/sites/default/files/styles/case_slider_image/public/user/19498/img-0003-00172_8.jpg?itok=SukPHrMb
  • https://radiomed.ru/sites/default/files/styles/case_slider_image/public/user/19498/img-0003-00173_8.jpg?itok=dsqqhCE2
  • https://radiomed.ru/sites/default/files/styles/case_slider_image/public/user/19498/img-0003-00174_8.jpg?itok=kznngUXY
  • https://radiomed.ru/sites/default/files/styles/case_slider_image/public/user/19498/img-0003-00175_8.jpg?itok=u1pA6Jr8
  • https://radiomed.ru/sites/default/files/styles/case_slider_image/public/user/19498/img-0003-00176_8.jpg?itok=m4hSFYlr
  • https://radiomed.ru/sites/default/files/styles/case_slider_image/public/user/19498/img-0003-00177_8.jpg?itok=rQFS9T2n
  • https://radiomed.ru/sites/default/files/styles/case_slider_image/public/user/19498/img-0003-00178_8.jpg?itok=H71mp31M
  • https://radiomed.ru/sites/default/files/styles/case_slider_image/public/user/19498/img-0003-00179_8.jpg?itok=DF_yORdK
  • https://radiomed.ru/sites/default/files/styles/case_slider_image/public/user/19498/img-0003-00180_8.jpg?itok=4mC9r0tG
  • https://radiomed.ru/sites/default/files/styles/case_slider_image/public/user/19498/img-0003-00181_8.jpg?itok=DVDbMRym
  • https://radiomed.ru/sites/default/files/styles/case_slider_image/public/user/19498/img-0003-00182_8.jpg?itok=x7QCfwqO
  • https://radiomed.ru/sites/default/files/styles/case_slider_image/public/user/19498/img-0003-00183_8.jpg?itok=cbW7ONA5
  • https://radiomed.ru/sites/default/files/styles/case_slider_image/public/user/19498/img-0003-00184_8.jpg?itok=VKD47gI6
  • https://radiomed.ru/sites/default/files/styles/case_slider_image/public/user/19498/img-0003-00185_8.jpg?itok=lLMZLNyd
  • https://radiomed.ru/sites/default/files/styles/case_slider_image/public/user/19498/img-0003-00186_8.jpg?itok=QsMVidM_
  • https://radiomed.ru/sites/default/files/styles/case_slider_image/public/user/19498/img-0003-00187_8.jpg?itok=-Ef_ivgK
  • https://radiomed.ru/sites/default/files/styles/case_slider_image/public/user/19498/img-0003-00188_7.jpg?itok=B6faG8Si
  • https://radiomed.ru/sites/default/files/styles/case_slider_image/public/user/19498/img-0003-00189_7.jpg?itok=QcungZ5p
  • https://radiomed.ru/sites/default/files/styles/case_slider_image/public/user/19498/img-0003-00190_7.jpg?itok=oHidt3M6
  • https://radiomed.ru/sites/default/files/styles/case_slider_image/public/user/19498/img-0003-00191_6.jpg?itok=Uoye9c1W
  • https://radiomed.ru/sites/default/files/styles/case_slider_image/public/user/19498/img-0003-00192_6.jpg?itok=WvdOHZIs
  • https://radiomed.ru/sites/default/files/styles/case_slider_image/public/user/19498/img-0003-00193_5.jpg?itok=dNgU1DNk
  • https://radiomed.ru/sites/default/files/styles/case_slider_image/public/user/19498/img-0003-00194_5.jpg?itok=SKs6tXOB
  • https://radiomed.ru/sites/default/files/styles/case_slider_image/public/user/19498/img-0003-00195_5.jpg?itok=9Xv-MW8g
  • https://radiomed.ru/sites/default/files/styles/case_slider_image/public/user/19498/img-0003-00196_5.jpg?itok=XGyhXS0S
  • https://radiomed.ru/sites/default/files/styles/case_slider_image/public/user/19498/img-0003-00197_5.jpg?itok=z7oeXQXh
  • https://radiomed.ru/sites/default/files/styles/case_slider_image/public/user/19498/img-0003-00198_5.jpg?itok=PjDVfadd
  • https://radiomed.ru/sites/default/files/styles/case_slider_image/public/user/19498/img-0003-00199_5.jpg?itok=3HEVLA5w
  • https://radiomed.ru/sites/default/files/styles/case_slider_image/public/user/19498/img-0003-00200_5.jpg?itok=ChxqFJbH
  • https://radiomed.ru/sites/default/files/styles/case_slider_image/public/user/19498/img-0003-00201_5.jpg?itok=03pmZ_MQ
  • https://radiomed.ru/sites/default/files/styles/case_slider_image/public/user/19498/img-0003-00202_5.jpg?itok=FSSMvpx5
  • https://radiomed.ru/sites/default/files/styles/case_slider_image/public/user/19498/img-0003-00203_5.jpg?itok=QrPfntTI
  • https://radiomed.ru/sites/default/files/styles/case_slider_image/public/user/19498/img-0003-00204_5.jpg?itok=fG472AOc
  • https://radiomed.ru/sites/default/files/styles/case_slider_image/public/user/19498/img-0003-00205_5.jpg?itok=LuhuJ3El
  • https://radiomed.ru/sites/default/files/styles/case_slider_image/public/user/19498/img-0003-00206_5.jpg?itok=I-UDc4Ty
  • https://radiomed.ru/sites/default/files/styles/case_slider_image/public/user/19498/img-0003-00207_5.jpg?itok=FJD2YTeI
  • https://radiomed.ru/sites/default/files/styles/case_slider_image/public/user/19498/img-0003-00208_5.jpg?itok=FQn_dg24
  • https://radiomed.ru/sites/default/files/styles/case_slider_image/public/user/19498/img-0003-00209_5.jpg?itok=xseqZDgU
  • https://radiomed.ru/sites/default/files/styles/case_slider_image/public/user/19498/img-0003-00210_5.jpg?itok=877_diFH
  • https://radiomed.ru/sites/default/files/styles/case_slider_image/public/user/19498/img-0003-00211_5.jpg?itok=7icow9jb
  • https://radiomed.ru/sites/default/files/styles/case_slider_image/public/user/19498/img-0003-00212_5.jpg?itok=9Drk7GLX
  • https://radiomed.ru/sites/default/files/styles/case_slider_image/public/user/19498/img-0003-00213_5.jpg?itok=ljUwAucx
  • https://radiomed.ru/sites/default/files/styles/case_slider_image/public/user/19498/img-0003-00214_5.jpg?itok=NFTK7SCi
  • https://radiomed.ru/sites/default/files/styles/case_slider_image/public/user/19498/img-0003-00215_5.jpg?itok=ovVxsDZ2
  • https://radiomed.ru/sites/default/files/styles/case_slider_image/public/user/19498/img-0003-00216_5.jpg?itok=CvlLoIY0
  • https://radiomed.ru/sites/default/files/styles/case_slider_image/public/user/19498/img-0003-00217_6.jpg?itok=2JO_OcQB
  • https://radiomed.ru/sites/default/files/styles/case_slider_image/public/user/19498/img-0003-00218_6.jpg?itok=fBqpDPoH
  • https://radiomed.ru/sites/default/files/styles/case_slider_image/public/user/19498/img-0003-00219_6.jpg?itok=jWjpsere
  • https://radiomed.ru/sites/default/files/styles/case_slider_image/public/user/19498/img-0003-00220_6.jpg?itok=Kt0DOH_2
  • https://radiomed.ru/sites/default/files/styles/case_slider_image/public/user/19498/img-0003-00221_7.jpg?itok=xfboL8Ll
  • https://radiomed.ru/sites/default/files/styles/case_slider_image/public/user/19498/img-0003-00222_7.jpg?itok=kz40TM0U
  • https://radiomed.ru/sites/default/files/styles/case_slider_image/public/user/19498/img-0003-00223_7.jpg?itok=3HiGRTQe
  • https://radiomed.ru/sites/default/files/styles/case_slider_image/public/user/19498/img-0003-00224_7.jpg?itok=esA1Dw0E
  • https://radiomed.ru/sites/default/files/styles/case_slider_image/public/user/19498/img-0003-00225_7.jpg?itok=saH78C8I
  • https://radiomed.ru/sites/default/files/styles/case_slider_image/public/user/19498/img-0003-00226_7.jpg?itok=TKHRdnOw
  • https://radiomed.ru/sites/default/files/styles/case_slider_image/public/user/19498/img-0003-00227_7.jpg?itok=z2jciG1S
  • https://radiomed.ru/sites/default/files/styles/case_slider_image/public/user/19498/img-0003-00228_6.jpg?itok=-cXHZGEC
  • https://radiomed.ru/sites/default/files/styles/case_slider_image/public/user/19498/img-0003-00229_7.jpg?itok=wWNwnLff
  • https://radiomed.ru/sites/default/files/styles/case_slider_image/public/user/19498/img-0003-00230_7.jpg?itok=iKND9Cpl
  • https://radiomed.ru/sites/default/files/styles/case_slider_image/public/user/19498/img-0003-00231_7.jpg?itok=9Bp_1ebp
  • https://radiomed.ru/sites/default/files/styles/case_slider_image/public/user/19498/img-0003-00232_7.jpg?itok=fYm1ukAy
  • https://radiomed.ru/sites/default/files/styles/case_slider_image/public/user/19498/img-0003-00233_7.jpg?itok=zXPGuo-d
  • https://radiomed.ru/sites/default/files/styles/case_slider_image/public/user/19498/img-0003-00234_7.jpg?itok=sYTpy39B
  • https://radiomed.ru/sites/default/files/styles/case_slider_image/public/user/19498/img-0003-00235_7.jpg?itok=DxUvUc1x
  • https://radiomed.ru/sites/default/files/styles/case_slider_image/public/user/19498/img-0003-00236_7.jpg?itok=Q-W_Y4U9
  • https://radiomed.ru/sites/default/files/styles/case_slider_image/public/user/19498/img-0003-00237_7.jpg?itok=749b99jI
  • https://radiomed.ru/sites/default/files/styles/case_slider_image/public/user/19498/img-0003-00238_7.jpg?itok=9is8wVCF
  • https://radiomed.ru/sites/default/files/styles/case_slider_image/public/user/19498/img-0003-00239_7.jpg?itok=6WkPAJIr
  • https://radiomed.ru/sites/default/files/styles/case_slider_image/public/user/19498/img-0003-00240_7.jpg?itok=YXX_Ks9d
  • https://radiomed.ru/sites/default/files/styles/case_slider_image/public/user/19498/img-0003-00241_7.jpg?itok=acX-ufvr
  • https://radiomed.ru/sites/default/files/styles/case_slider_image/public/user/19498/img-0003-00242_7.jpg?itok=rzxFze8E
  • https://radiomed.ru/sites/default/files/styles/case_slider_image/public/user/19498/img-0003-00243_7.jpg?itok=dkt2s_Ca
  • https://radiomed.ru/sites/default/files/styles/case_slider_image/public/user/19498/img-0003-00244_7.jpg?itok=Z7aMpvSO
  • https://radiomed.ru/sites/default/files/styles/case_slider_image/public/user/19498/img-0003-00245_7.jpg?itok=whrDA3SP
  • https://radiomed.ru/sites/default/files/styles/case_slider_image/public/user/19498/img-0003-00246_7.jpg?itok=vJEgSERc
  • https://radiomed.ru/sites/default/files/styles/case_slider_image/public/user/19498/img-0003-00247_8.jpg?itok=PJsAiy55
  • https://radiomed.ru/sites/default/files/styles/case_slider_image/public/user/19498/img-0003-00248_8.jpg?itok=z7PUXzbV
  • https://radiomed.ru/sites/default/files/styles/case_slider_image/public/user/19498/img-0003-00249_8.jpg?itok=DKJrUa17
  • https://radiomed.ru/sites/default/files/styles/case_slider_image/public/user/19498/img-0003-00250_8.jpg?itok=jJp8ELL0
  • https://radiomed.ru/sites/default/files/styles/case_slider_image/public/user/19498/img-0003-00251_8.jpg?itok=CvfWaBow
  • https://radiomed.ru/sites/default/files/styles/case_slider_image/public/user/19498/img-0003-00252_8.jpg?itok=cuNacmra
  • https://radiomed.ru/sites/default/files/styles/case_slider_image/public/user/19498/img-0003-00253_8.jpg?itok=TQy5vFqJ
  • https://radiomed.ru/sites/default/files/styles/case_slider_image/public/user/19498/img-0003-00254_8.jpg?itok=zLgQMV75
  • https://radiomed.ru/sites/default/files/styles/case_slider_image/public/user/19498/img-0003-00255_8.jpg?itok=f6TYJDTR
  • https://radiomed.ru/sites/default/files/styles/case_slider_image/public/user/19498/img-0003-00256_8.jpg?itok=eDT0ZT0H
  • https://radiomed.ru/sites/default/files/styles/case_slider_image/public/user/19498/img-0001-00001_76.jpg?itok=4jYBA1N-
  • https://radiomed.ru/sites/default/files/styles/case_slider_image/public/user/19498/img-0001-00002_65.jpg?itok=FEFmv2yS
  • https://radiomed.ru/sites/default/files/styles/case_slider_image/public/user/19498/img-0001-00003_65.jpg?itok=EmW_ch3U
  • https://radiomed.ru/sites/default/files/styles/case_slider_image/public/user/19498/img-0001-00004_65.jpg?itok=lhXrPqPS
  • https://radiomed.ru/sites/default/files/styles/case_slider_image/public/user/19498/img-0001-00005_66.jpg?itok=_EsZjYWL
  • https://radiomed.ru/sites/default/files/styles/case_slider_image/public/user/19498/img-0001-00006_66.jpg?itok=er3Tw2gP
  • https://radiomed.ru/sites/default/files/styles/case_slider_image/public/user/19498/img-0001-00007_65.jpg?itok=-BEP78em
  • https://radiomed.ru/sites/default/files/styles/case_slider_image/public/user/19498/img-0001-00008_67.jpg?itok=xgMdgfma
  • https://radiomed.ru/sites/default/files/styles/case_slider_image/public/user/19498/img-0001-00009_67.jpg?itok=x0VBA8qS
  • https://radiomed.ru/sites/default/files/styles/case_slider_image/public/user/19498/img-0001-00010_67.jpg?itok=Xop9-yh1
  • https://radiomed.ru/sites/default/files/styles/case_slider_image/public/user/19498/img-0001-00011_67.jpg?itok=zd_e3ymG
  • https://radiomed.ru/sites/default/files/styles/case_slider_image/public/user/19498/img-0001-00012_67.jpg?itok=i3UpyHsy
  • https://radiomed.ru/sites/default/files/styles/case_slider_image/public/user/19498/img-0001-00013_70.jpg?itok=Mdo0N8TP
  • https://radiomed.ru/sites/default/files/styles/case_slider_image/public/user/19498/img-0001-00014_74.jpg?itok=ow4NPgzb
  • https://radiomed.ru/sites/default/files/styles/case_slider_image/public/user/19498/img-0001-00015_74.jpg?itok=xUMXpEGf
  • https://radiomed.ru/sites/default/files/styles/case_slider_image/public/user/19498/img-0001-00016_76.jpg?itok=xk2scAhu
  • https://radiomed.ru/sites/default/files/styles/case_slider_image/public/user/19498/img-0001-00017_76.jpg?itok=ekZIa6zh
  • https://radiomed.ru/sites/default/files/styles/case_slider_image/public/user/19498/img-0001-00018_76.jpg?itok=06Abb8QJ
  • https://radiomed.ru/sites/default/files/styles/case_slider_image/public/user/19498/img-0001-00019_76.jpg?itok=isomEp85
  • https://radiomed.ru/sites/default/files/styles/case_slider_image/public/user/19498/img-0001-00020_76.jpg?itok=GWZLeApJ
  • https://radiomed.ru/sites/default/files/styles/case_slider_image/public/user/19498/img-0001-00021_77.jpg?itok=58GFLeMm
  • https://radiomed.ru/sites/default/files/styles/case_slider_image/public/user/19498/img-0001-00022_78.jpg?itok=iokJIQIx
  • https://radiomed.ru/sites/default/files/styles/case_slider_image/public/user/19498/img-0001-00023_78.jpg?itok=9ZnYuhuk
  • https://radiomed.ru/sites/default/files/styles/case_slider_image/public/user/19498/img-0001-00024_78.jpg?itok=5R_8P3wc
  • https://radiomed.ru/sites/default/files/styles/case_slider_image/public/user/19498/img-0001-00025_78.jpg?itok=h1UOJ-Oe
  • https://radiomed.ru/sites/default/files/styles/case_slider_image/public/user/19498/img-0001-00026_78.jpg?itok=-3BKfwt8
  • https://radiomed.ru/sites/default/files/styles/case_slider_image/public/user/19498/img-0001-00027_79.jpg?itok=qR7laJDr
  • https://radiomed.ru/sites/default/files/styles/case_slider_image/public/user/19498/img-0001-00028_79.jpg?itok=s_H4GRQO
  • https://radiomed.ru/sites/default/files/styles/case_slider_image/public/user/19498/img-0001-00029_79.jpg?itok=aa7Q_pt5
  • https://radiomed.ru/sites/default/files/styles/case_slider_image/public/user/19498/img-0001-00030_79.jpg?itok=Fk356iIk
  • https://radiomed.ru/sites/default/files/styles/case_slider_image/public/user/19498/img-0001-00031_79.jpg?itok=9XVaFQH3
  • https://radiomed.ru/sites/default/files/styles/case_slider_image/public/user/19498/img-0001-00032_80.jpg?itok=wgsmHQhy
  • https://radiomed.ru/sites/default/files/styles/case_slider_image/public/user/19498/img-0001-00033_80.jpg?itok=kaToX4UI
  • https://radiomed.ru/sites/default/files/styles/case_slider_image/public/user/19498/img-0001-00034_80.jpg?itok=3DzHBKv3
  • https://radiomed.ru/sites/default/files/styles/case_slider_image/public/user/19498/img-0001-00035_80.jpg?itok=iXTt1vgS
  • https://radiomed.ru/sites/default/files/styles/case_slider_image/public/user/19498/img-0001-00036_80.jpg?itok=E5skjhB3
  • https://radiomed.ru/sites/default/files/styles/case_slider_image/public/user/19498/img-0001-00037_80.jpg?itok=_XJoQLuY
  • https://radiomed.ru/sites/default/files/styles/case_slider_image/public/user/19498/img-0001-00038_80.jpg?itok=kILr87sy
  • https://radiomed.ru/sites/default/files/styles/case_slider_image/public/user/19498/img-0001-00039_80.jpg?itok=SrKkVrB4
  • https://radiomed.ru/sites/default/files/styles/case_slider_image/public/user/19498/img-0001-00040_81.jpg?itok=Wv_q57mp
  • https://radiomed.ru/sites/default/files/styles/case_slider_image/public/user/19498/img-0001-00041_81.jpg?itok=eixfVfPe
  • https://radiomed.ru/sites/default/files/styles/case_slider_image/public/user/19498/img-0001-00042_82.jpg?itok=a4-6Hiq5
  • https://radiomed.ru/sites/default/files/styles/case_slider_image/public/user/19498/img-0001-00043_82.jpg?itok=EIh9mUUR
  • https://radiomed.ru/sites/default/files/styles/case_slider_image/public/user/19498/img-0001-00044_81.jpg?itok=i4LrmMlQ
  • https://radiomed.ru/sites/default/files/styles/case_slider_image/public/user/19498/img-0001-00045_84.jpg?itok=tinhmZBH
  • https://radiomed.ru/sites/default/files/styles/case_slider_image/public/user/19498/img-0001-00046_84.jpg?itok=OjrOaW4a
  • https://radiomed.ru/sites/default/files/styles/case_slider_image/public/user/19498/img-0001-00047_84.jpg?itok=u7YEvu9C
  • https://radiomed.ru/sites/default/files/styles/case_slider_image/public/user/19498/img-0001-00048_83.jpg?itok=omwMlzKq
  • https://radiomed.ru/sites/default/files/styles/case_slider_image/public/user/19498/img-0001-00049_86.jpg?itok=UEND_aTq
  • https://radiomed.ru/sites/default/files/styles/case_slider_image/public/user/19498/img-0001-00050_85.jpg?itok=W-WtScRd
  • https://radiomed.ru/sites/default/files/styles/case_slider_image/public/user/19498/img-0001-00051_85.jpg?itok=StWqra1e
  • https://radiomed.ru/sites/default/files/styles/case_slider_image/public/user/19498/img-0001-00052_86.jpg?itok=Mx6hTJ93
  • https://radiomed.ru/sites/default/files/styles/case_slider_image/public/user/19498/img-0001-00053_87.jpg?itok=wZiealkg
  • https://radiomed.ru/sites/default/files/styles/case_slider_image/public/user/19498/img-0001-00054_85.jpg?itok=W_RFyPtA
  • https://radiomed.ru/sites/default/files/styles/case_slider_image/public/user/19498/img-0001-00055_86.jpg?itok=ghW1r1Lr
  • https://radiomed.ru/sites/default/files/styles/case_slider_image/public/user/19498/img-0001-00056_87.jpg?itok=dAIf9V70
  • https://radiomed.ru/sites/default/files/styles/case_slider_image/public/user/19498/img-0001-00057_87.jpg?itok=bs8muveS
  • https://radiomed.ru/sites/default/files/styles/case_slider_image/public/user/19498/img-0001-00058_87.jpg?itok=m10hJFy2
  • https://radiomed.ru/sites/default/files/styles/case_slider_image/public/user/19498/img-0001-00059_85.jpg?itok=MX8zPq5m
  • https://radiomed.ru/sites/default/files/styles/case_slider_image/public/user/19498/img-0001-00060_86.jpg?itok=bsibJaf5
  • https://radiomed.ru/sites/default/files/styles/case_slider_image/public/user/19498/img-0001-00061_86.jpg?itok=3DmWq2VS
  • https://radiomed.ru/sites/default/files/styles/case_slider_image/public/user/19498/img-0001-00062_85.jpg?itok=2g4x1iSz
  • https://radiomed.ru/sites/default/files/styles/case_slider_image/public/user/19498/img-0001-00063_85.jpg?itok=MjisCHRt
  • https://radiomed.ru/sites/default/files/styles/case_slider_image/public/user/19498/img-0001-00064_84.jpg?itok=egjPnrVt
  • https://radiomed.ru/sites/default/files/styles/case_slider_image/public/user/19498/img-0001-00065_83.jpg?itok=vVWYH5wn
  • https://radiomed.ru/sites/default/files/styles/case_slider_image/public/user/19498/img-0001-00066_84.jpg?itok=6zvyBj4C
  • https://radiomed.ru/sites/default/files/styles/case_slider_image/public/user/19498/img-0001-00067_82.jpg?itok=YA1W4cqS
  • https://radiomed.ru/sites/default/files/styles/case_slider_image/public/user/19498/img-0001-00068_81.jpg?itok=2o5p4FmJ
  • https://radiomed.ru/sites/default/files/styles/case_slider_image/public/user/19498/img-0001-00069_82.jpg?itok=eyCSrxGP
  • https://radiomed.ru/sites/default/files/styles/case_slider_image/public/user/19498/img-0001-00070_82.jpg?itok=3Z6UGu6f
  • https://radiomed.ru/sites/default/files/styles/case_slider_image/public/user/19498/img-0001-00071_80.jpg?itok=SAKlpaAC
  • https://radiomed.ru/sites/default/files/styles/case_slider_image/public/user/19498/img-0001-00072_81.jpg?itok=l_yp-PH8
  • https://radiomed.ru/sites/default/files/styles/case_slider_image/public/user/19498/img-0001-00073_81.jpg?itok=9b0VH-nE
  • https://radiomed.ru/sites/default/files/styles/case_slider_image/public/user/19498/img-0001-00074_80.jpg?itok=qKA004eT
  • https://radiomed.ru/sites/default/files/styles/case_slider_image/public/user/19498/img-0001-00075_80.jpg?itok=e9JLvDIs
  • https://radiomed.ru/sites/default/files/styles/case_slider_image/public/user/19498/img-0001-00076_81.jpg?itok=dWyLzg5d
  • https://radiomed.ru/sites/default/files/styles/case_slider_image/public/user/19498/img-0001-00077_81.jpg?itok=1B6DuzyY
  • https://radiomed.ru/sites/default/files/styles/case_slider_image/public/user/19498/img-0001-00078_80.jpg?itok=KveezipM
  • https://radiomed.ru/sites/default/files/styles/case_slider_image/public/user/19498/img-0001-00079_81.jpg?itok=vdiWF2Bt
  • https://radiomed.ru/sites/default/files/styles/case_slider_image/public/user/19498/img-0001-00080_81.jpg?itok=WAbgovbg
  • https://radiomed.ru/sites/default/files/styles/case_slider_image/public/user/19498/img-0001-00081_74.jpg?itok=g31GydPB
  • https://radiomed.ru/sites/default/files/styles/case_slider_image/public/user/19498/img-0001-00082_75.jpg?itok=b7a_FNRa
  • https://radiomed.ru/sites/default/files/styles/case_slider_image/public/user/19498/img-0001-00083_74.jpg?itok=aBCNQM_y
  • https://radiomed.ru/sites/default/files/styles/case_slider_image/public/user/19498/img-0001-00084_74.jpg?itok=aM3FGt1G
  • https://radiomed.ru/sites/default/files/styles/case_slider_image/public/user/19498/img-0001-00085_71.jpg?itok=ptK9V6MQ
  • https://radiomed.ru/sites/default/files/styles/case_slider_image/public/user/19498/img-0001-00086_72.jpg?itok=vaCblt8h
  • https://radiomed.ru/sites/default/files/styles/case_slider_image/public/user/19498/img-0001-00087_71.jpg?itok=WSTmJhpO
  • https://radiomed.ru/sites/default/files/styles/case_slider_image/public/user/19498/img-0001-00088_71.jpg?itok=nsJ59_2R
  • https://radiomed.ru/sites/default/files/styles/case_slider_image/public/user/19498/img-0001-00089_69.jpg?itok=Aq2BUhJB
  • https://radiomed.ru/sites/default/files/styles/case_slider_image/public/user/19498/img-0001-00090_70.jpg?itok=CCk7GvCy
  • https://radiomed.ru/sites/default/files/styles/case_slider_image/public/user/19498/img-0001-00091_69.jpg?itok=SjbYglBV
  • https://radiomed.ru/sites/default/files/styles/case_slider_image/public/user/19498/img-0001-00092_67.jpg?itok=KVsO3fRc
  • https://radiomed.ru/sites/default/files/styles/case_slider_image/public/user/19498/img-0001-00093_68.jpg?itok=flGmef8q
  • https://radiomed.ru/sites/default/files/styles/case_slider_image/public/user/19498/img-0001-00094_66.jpg?itok=fMy3H1UW
  • https://radiomed.ru/sites/default/files/styles/case_slider_image/public/user/19498/img-0001-00095_66.jpg?itok=dXP2ZMlN
  • https://radiomed.ru/sites/default/files/styles/case_slider_image/public/user/19498/img-0001-00096_64.jpg?itok=bX1_z4kV
  • https://radiomed.ru/sites/default/files/styles/case_slider_image/public/user/19498/img-0001-00097_62.jpg?itok=EqyyzQ7W
  • https://radiomed.ru/sites/default/files/styles/case_slider_image/public/user/19498/img-0001-00098_61.jpg?itok=IYrY46A6
  • https://radiomed.ru/sites/default/files/styles/case_slider_image/public/user/19498/img-0001-00099_60.jpg?itok=pbIzhTuj
  • https://radiomed.ru/sites/default/files/styles/case_slider_image/public/user/19498/img-0001-00100_61.jpg?itok=dnpmUVEa
  • https://radiomed.ru/sites/default/files/styles/case_slider_image/public/user/19498/img-0001-00101_54.jpg?itok=ZYAA4cqq
  • https://radiomed.ru/sites/default/files/styles/case_slider_image/public/user/19498/img-0001-00102_54.jpg?itok=GVO6P9O2
  • https://radiomed.ru/sites/default/files/styles/case_slider_image/public/user/19498/img-0001-00103_53.jpg?itok=G5LZsNcI
  • https://radiomed.ru/sites/default/files/styles/case_slider_image/public/user/19498/img-0001-00104_53.jpg?itok=_Sc5q-az
  • https://radiomed.ru/sites/default/files/styles/case_slider_image/public/user/19498/img-0001-00105_50.jpg?itok=yIPsyr2p
  • https://radiomed.ru/sites/default/files/styles/case_slider_image/public/user/19498/img-0001-00106_48.jpg?itok=H1ArwirW
  • https://radiomed.ru/sites/default/files/styles/case_slider_image/public/user/19498/img-0001-00107_48.jpg?itok=UVdpNOPJ
  • https://radiomed.ru/sites/default/files/styles/case_slider_image/public/user/19498/img-0001-00108_47.jpg?itok=tp1z5v5Y
  • https://radiomed.ru/sites/default/files/styles/case_slider_image/public/user/19498/img-0001-00109_42.jpg?itok=lcUI_LyF
  • https://radiomed.ru/sites/default/files/styles/case_slider_image/public/user/19498/img-0001-00110_40.jpg?itok=OAFCHI7o
  • https://radiomed.ru/sites/default/files/styles/case_slider_image/public/user/19498/img-0001-00111_36.jpg?itok=JUwc7BMC
  • https://radiomed.ru/sites/default/files/styles/case_slider_image/public/user/19498/img-0001-00112_33.jpg?itok=oqtv3K6R
  • https://radiomed.ru/sites/default/files/styles/case_slider_image/public/user/19498/img-0001-00113_31.jpg?itok=oXIHBqho
  • https://radiomed.ru/sites/default/files/styles/case_slider_image/public/user/19498/img-0001-00114_30.jpg?itok=n8b4ukRl
  • https://radiomed.ru/sites/default/files/styles/case_slider_image/public/user/19498/img-0001-00115_28.jpg?itok=F2aZQKGK
  • https://radiomed.ru/sites/default/files/styles/case_slider_image/public/user/19498/img-0001-00116_26.jpg?itok=QU6pj8uw
  • https://radiomed.ru/sites/default/files/styles/case_slider_image/public/user/19498/img-0001-00117_26.jpg?itok=CQiMgzYF
  • https://radiomed.ru/sites/default/files/styles/case_slider_image/public/user/19498/img-0001-00118_23.jpg?itok=BikOkAR3
  • https://radiomed.ru/sites/default/files/styles/case_slider_image/public/user/19498/img-0001-00119_21.jpg?itok=N2SUhcDV
  • https://radiomed.ru/sites/default/files/styles/case_slider_image/public/user/19498/img-0001-00120_21.jpg?itok=nHvXngoE
  • https://radiomed.ru/sites/default/files/styles/case_slider_image/public/user/19498/img-0001-00121_19.jpg?itok=qt1LbQWf
  • https://radiomed.ru/sites/default/files/styles/case_slider_image/public/user/19498/img-0001-00122_20.jpg?itok=RxiFlXQe
  • https://radiomed.ru/sites/default/files/styles/case_slider_image/public/user/19498/img-0001-00123_20.jpg?itok=YDdnF9Qk
  • https://radiomed.ru/sites/default/files/styles/case_slider_image/public/user/19498/img-0001-00124_18.jpg?itok=LzP6KAqX
  • https://radiomed.ru/sites/default/files/styles/case_slider_image/public/user/19498/img-0001-00125_19.jpg?itok=NDy_sWQu
  • https://radiomed.ru/sites/default/files/styles/case_slider_image/public/user/19498/img-0001-00126_19.jpg?itok=BSen5GEN
  • https://radiomed.ru/sites/default/files/styles/case_slider_image/public/user/19498/img-0001-00127_18.jpg?itok=tKxXoNgQ
  • https://radiomed.ru/sites/default/files/styles/case_slider_image/public/user/19498/img-0001-00128_18.jpg?itok=PGCm3MA9
  • https://radiomed.ru/sites/default/files/styles/case_slider_image/public/user/19498/img-0001-00129_16.jpg?itok=KsG4UUR9
  • https://radiomed.ru/sites/default/files/styles/case_slider_image/public/user/19498/img-0001-00130_17.jpg?itok=vUNE80Ea
  • https://radiomed.ru/sites/default/files/styles/case_slider_image/public/user/19498/img-0001-00131_17.jpg?itok=jft2UU_l
  • https://radiomed.ru/sites/default/files/styles/case_slider_image/public/user/19498/img-0001-00132_17.jpg?itok=3gMZuaqj
  • https://radiomed.ru/sites/default/files/styles/case_slider_image/public/user/19498/img-0001-00133_16.jpg?itok=C33MPLY7
  • https://radiomed.ru/sites/default/files/styles/case_slider_image/public/user/19498/img-0001-00134_17.jpg?itok=bcxthA2Q
  • https://radiomed.ru/sites/default/files/styles/case_slider_image/public/user/19498/img-0001-00135_16.jpg?itok=QLXrqU3P
  • https://radiomed.ru/sites/default/files/styles/case_slider_image/public/user/19498/img-0001-00136_15.jpg?itok=NKUvtrVP
  • https://radiomed.ru/sites/default/files/styles/case_slider_image/public/user/19498/img-0001-00137_16.jpg?itok=jjyYQS-2
  • https://radiomed.ru/sites/default/files/styles/case_slider_image/public/user/19498/img-0001-00138_16.jpg?itok=9qhuKXeZ
  • https://radiomed.ru/sites/default/files/styles/case_slider_image/public/user/19498/img-0001-00139_15.jpg?itok=bW2CH7c5
  • https://radiomed.ru/sites/default/files/styles/case_slider_image/public/user/19498/img-0001-00140_16.jpg?itok=JI8St7g0
  • https://radiomed.ru/sites/default/files/styles/case_slider_image/public/user/19498/img-0001-00141_16.jpg?itok=jk1aBY-1
  • https://radiomed.ru/sites/default/files/styles/case_slider_image/public/user/19498/img-0001-00142_16.jpg?itok=bPc0L-hy
  • https://radiomed.ru/sites/default/files/styles/case_slider_image/public/user/19498/img-0001-00143_15.jpg?itok=nAlgrmQ3
  • https://radiomed.ru/sites/default/files/styles/case_slider_image/public/user/19498/img-0001-00144_15.jpg?itok=chXv63bh
  • https://radiomed.ru/sites/default/files/styles/case_slider_image/public/user/19498/img-0001-00145_15.jpg?itok=NUMCZFWk
  • https://radiomed.ru/sites/default/files/styles/case_slider_image/public/user/19498/img-0001-00146_15.jpg?itok=tmeTsklg
  • https://radiomed.ru/sites/default/files/styles/case_slider_image/public/user/19498/img-0001-00147_15.jpg?itok=hhS3DojS
  • https://radiomed.ru/sites/default/files/styles/case_slider_image/public/user/19498/img-0001-00148_15.jpg?itok=7-gFr62I
  • https://radiomed.ru/sites/default/files/styles/case_slider_image/public/user/19498/img-0001-00149_15.jpg?itok=3VMzqo_P
  • https://radiomed.ru/sites/default/files/styles/case_slider_image/public/user/19498/img-0001-00150_15.jpg?itok=QfnjFHnJ
  • https://radiomed.ru/sites/default/files/styles/case_slider_image/public/user/19498/img-0001-00151_14.jpg?itok=o4e67hoM
  • https://radiomed.ru/sites/default/files/styles/case_slider_image/public/user/19498/img-0001-00152_14.jpg?itok=GiavPvzk
  • https://radiomed.ru/sites/default/files/styles/case_slider_image/public/user/19498/img-0001-00153_14.jpg?itok=ccbbZniG
  • https://radiomed.ru/sites/default/files/styles/case_slider_image/public/user/19498/img-0001-00154_14.jpg?itok=yuSvIUVi
  • https://radiomed.ru/sites/default/files/styles/case_slider_image/public/user/19498/img-0001-00155_14.jpg?itok=oSyonNvZ
  • https://radiomed.ru/sites/default/files/styles/case_slider_image/public/user/19498/img-0001-00156_14.jpg?itok=viZGUF_g
  • https://radiomed.ru/sites/default/files/styles/case_slider_image/public/user/19498/img-0001-00157_14.jpg?itok=RXd2GVwG
  • https://radiomed.ru/sites/default/files/styles/case_slider_image/public/user/19498/img-0001-00158_14.jpg?itok=gcdYwyK6
  • https://radiomed.ru/sites/default/files/styles/case_slider_image/public/user/19498/img-0001-00159_14.jpg?itok=N-MZMc88
  • https://radiomed.ru/sites/default/files/styles/case_slider_image/public/user/19498/img-0001-00160_14.jpg?itok=pEA7t_EA
  • https://radiomed.ru/sites/default/files/styles/case_slider_image/public/user/19498/img-0001-00161_10.jpg?itok=bj5YsQNH
  • https://radiomed.ru/sites/default/files/styles/case_slider_image/public/user/19498/img-0001-00162_10.jpg?itok=6TF_-2tk
  • https://radiomed.ru/sites/default/files/styles/case_slider_image/public/user/19498/img-0001-00163_13.jpg?itok=qe5QwVvf
  • https://radiomed.ru/sites/default/files/styles/case_slider_image/public/user/19498/img-0001-00164_13.jpg?itok=Uc0ZbZ6m
  • https://radiomed.ru/sites/default/files/styles/case_slider_image/public/user/19498/img-0001-00165_12.jpg?itok=suTK522q
  • https://radiomed.ru/sites/default/files/styles/case_slider_image/public/user/19498/img-0001-00166_13.jpg?itok=tJ3tYOoQ
  • https://radiomed.ru/sites/default/files/styles/case_slider_image/public/user/19498/img-0001-00167_14.jpg?itok=vwlXocrE
  • https://radiomed.ru/sites/default/files/styles/case_slider_image/public/user/19498/img-0001-00168_12.jpg?itok=_wm4jdXZ
  • https://radiomed.ru/sites/default/files/styles/case_slider_image/public/user/19498/img-0001-00169_13.jpg?itok=SVLCU6wu
  • https://radiomed.ru/sites/default/files/styles/case_slider_image/public/user/19498/img-0001-00170_13.jpg?itok=7B2kvT6B
  • https://radiomed.ru/sites/default/files/styles/case_slider_image/public/user/19498/img-0001-00171_12.jpg?itok=rTy9C_QD
  • https://radiomed.ru/sites/default/files/styles/case_slider_image/public/user/19498/img-0001-00172_13.jpg?itok=79TQL9i4
  • https://radiomed.ru/sites/default/files/styles/case_slider_image/public/user/19498/img-0001-00173_12.jpg?itok=_jt2q-uV
  • https://radiomed.ru/sites/default/files/styles/case_slider_image/public/user/19498/img-0001-00174_14.jpg?itok=3v0fGL7S
  • https://radiomed.ru/sites/default/files/styles/case_slider_image/public/user/19498/img-0001-00175_14.jpg?itok=R1_Zu23k
  • https://radiomed.ru/sites/default/files/styles/case_slider_image/public/user/19498/img-0001-00176_14.jpg?itok=c9P2ggLm
  • https://radiomed.ru/sites/default/files/styles/case_slider_image/public/user/19498/img-0001-00177_13.jpg?itok=Ph42hvYm
  • https://radiomed.ru/sites/default/files/styles/case_slider_image/public/user/19498/img-0001-00178_14.jpg?itok=aGG43iUD
  • https://radiomed.ru/sites/default/files/styles/case_slider_image/public/user/19498/img-0001-00179_13.jpg?itok=1nAL_kPa
  • https://radiomed.ru/sites/default/files/styles/case_slider_image/public/user/19498/img-0001-00180_14.jpg?itok=WkwTzJUN
  • https://radiomed.ru/sites/default/files/styles/case_slider_image/public/user/19498/img-0001-00181_13.jpg?itok=qK3Md_l9
  • https://radiomed.ru/sites/default/files/styles/case_slider_image/public/user/19498/img-0001-00182_14.jpg?itok=NOq4hMIM
  • https://radiomed.ru/sites/default/files/styles/case_slider_image/public/user/19498/img-0001-00183_13.jpg?itok=Vqs-oIlr
  • https://radiomed.ru/sites/default/files/styles/case_slider_image/public/user/19498/img-0001-00184_11.jpg?itok=8KUQJ8bo
  • https://radiomed.ru/sites/default/files/styles/case_slider_image/public/user/19498/img-0001-00185_12.jpg?itok=tRv5lDYk
  • https://radiomed.ru/sites/default/files/styles/case_slider_image/public/user/19498/img-0001-00186_11.jpg?itok=_6Ra-byL
  • https://radiomed.ru/sites/default/files/styles/case_slider_image/public/user/19498/img-0001-00187_12.jpg?itok=_1Ed6YUR
  • https://radiomed.ru/sites/default/files/styles/case_slider_image/public/user/19498/img-0001-00188_11.jpg?itok=KFqcQlbn
  • https://radiomed.ru/sites/default/files/styles/case_slider_image/public/user/19498/img-0001-00189_12.jpg?itok=KJ4PFnji
  • https://radiomed.ru/sites/default/files/styles/case_slider_image/public/user/19498/img-0001-00190_11.jpg?itok=4gC97xYF
  • https://radiomed.ru/sites/default/files/styles/case_slider_image/public/user/19498/img-0001-00191_12.jpg?itok=8buiW3OV
  • https://radiomed.ru/sites/default/files/styles/case_slider_image/public/user/19498/img-0001-00192_11.jpg?itok=X1BVEEs6
  • https://radiomed.ru/sites/default/files/styles/case_slider_image/public/user/19498/img-0001-00193_11.jpg?itok=z4OD1Ef5
  • https://radiomed.ru/sites/default/files/styles/case_slider_image/public/user/19498/img-0001-00194_10.jpg?itok=qJav_TH9
  • https://radiomed.ru/sites/default/files/styles/case_slider_image/public/user/19498/img-0001-00195_11.jpg?itok=OjDbwz6G
  • https://radiomed.ru/sites/default/files/styles/case_slider_image/public/user/19498/img-0001-00196_10.jpg?itok=zqaDsRPq
  • https://radiomed.ru/sites/default/files/styles/case_slider_image/public/user/19498/img-0001-00197_11.jpg?itok=aVNmgklP
  • https://radiomed.ru/sites/default/files/styles/case_slider_image/public/user/19498/img-0001-00198_10.jpg?itok=PjFzIOVy
  • https://radiomed.ru/sites/default/files/styles/case_slider_image/public/user/19498/img-0001-00199_10.jpg?itok=bNr5mkIv
  • https://radiomed.ru/sites/default/files/styles/case_slider_image/public/user/19498/img-0001-00200_8.jpg?itok=EART8s0q
  • https://radiomed.ru/sites/default/files/styles/case_slider_image/public/user/19498/img-0001-00201_10.jpg?itok=lAOm75kr
  • https://radiomed.ru/sites/default/files/styles/case_slider_image/public/user/19498/img-0001-00202_9.jpg?itok=BliL-egm
  • https://radiomed.ru/sites/default/files/styles/case_slider_image/public/user/19498/img-0001-00203_10.jpg?itok=DoXU2zNZ
  • https://radiomed.ru/sites/default/files/styles/case_slider_image/public/user/19498/img-0001-00204_9.jpg?itok=-FPFzNvR
  • https://radiomed.ru/sites/default/files/styles/case_slider_image/public/user/19498/img-0001-00205_9.jpg?itok=9PT0K_5x
  • https://radiomed.ru/sites/default/files/styles/case_slider_image/public/user/19498/img-0001-00206_9.jpg?itok=MzxHVNE-
  • https://radiomed.ru/sites/default/files/styles/case_slider_image/public/user/19498/img-0001-00207_9.jpg?itok=m_h_QKuG
  • https://radiomed.ru/sites/default/files/styles/case_slider_image/public/user/19498/img-0001-00208_8.jpg?itok=awSgnzt5
  • https://radiomed.ru/sites/default/files/styles/case_slider_image/public/user/19498/img-0001-00209_9.jpg?itok=UHRIv6L-
  • https://radiomed.ru/sites/default/files/styles/case_slider_image/public/user/19498/img-0001-00210_9.jpg?itok=EamwmCoB
  • https://radiomed.ru/sites/default/files/styles/case_slider_image/public/user/19498/img-0001-00211_9.jpg?itok=E4QmN_UU
  • https://radiomed.ru/sites/default/files/styles/case_slider_image/public/user/19498/img-0001-00212_9.jpg?itok=A4dJebfr
ID:83782
Цель публикации: 
Daniel' аватар
Не на сайте
Был на сайте: 1 месяц 4 недели назад
Зарегистрирован: 27.06.2013 - 22:21
Публикации: 2210

жаль конечно что спецы в КТ не хотят прокомментировать данный пост, мне было бы очень интересно. сам в КТ не работаю и разбираюсь лишь на уровне нормальной анатомии. 

И.Бондаренко аватар
Не на сайте
Был на сайте: 2 дня 8 часов назад
Зарегистрирован: 13.09.2011 - 22:55
Публикации: 9206

Такое, наверное, не при КТ, а при МРТ надо разбирать. А так циркулярное (кольцевидное) утолщение тканей и мягкого нёба.

Лейман Иван аватар
Не на сайте
Был на сайте: 2 месяцев 1 неделя назад
Зарегистрирован: 09.01.2014 - 07:54
Публикации: 1190

Во всяком случае для 35 летнего не совсем хорошие изменения. Температуры нет, что откидывает на второй план лимфопролеферативные заболевания. А вот то что узнал, что в семье все болеют постоянно ангинами (узнал сегодня только), наводит на мысль о носительсте патогенной флоры, и может быть это ее результат нелеченных и не санированных годами источников инфекции

Сан Саныч1 аватар
Не на сайте
Был на сайте: 11 месяцев 3 недели назад
Зарегистрирован: 07.06.2010 - 21:17
Публикации: 2114

А лоры в рот заглядывать пациенту не пробовали?

Из универа помню, что миндалины видны и без КТ.

Хочешь сделать что-то нормально - сделай это сам!

Лейман Иван аватар
Не на сайте
Был на сайте: 2 месяцев 1 неделя назад
Зарегистрирован: 09.01.2014 - 07:54
Публикации: 1190

Сан Саныч1 wrote:

А лоры в рот заглядывать пациенту не пробовали?

Из универа помню, что миндалины видны и без КТ.

Да скорее всего заглядывали, видать что то не нравится, раз КТ с контр.сделали. Был бы ребенок сослались бы на вегетации, а тут возраст, исключают онко