ОГК

Пол пациента: 
Тип патологии: 
Методы исследования: 

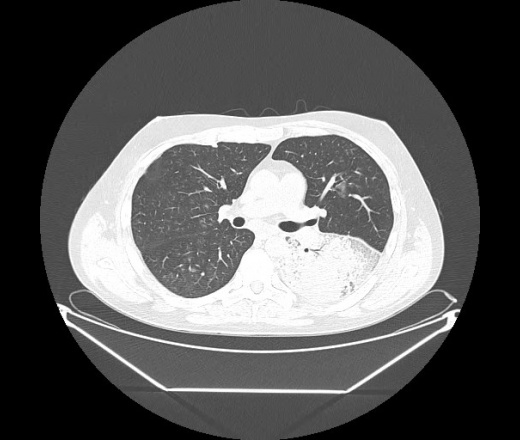
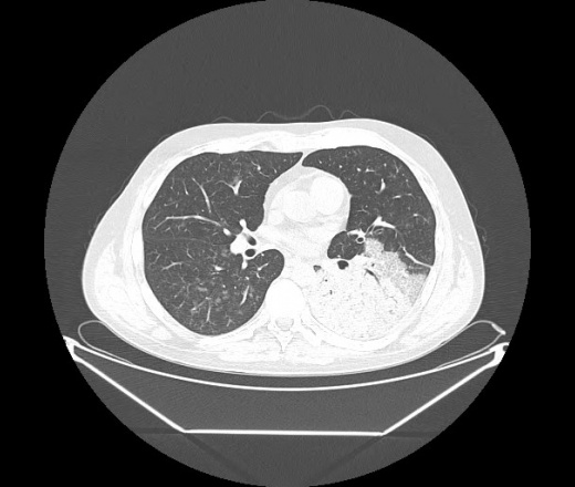
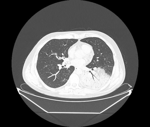
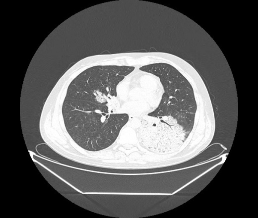
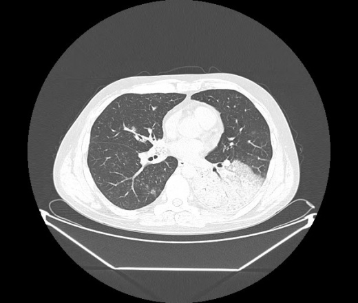
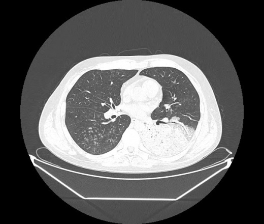
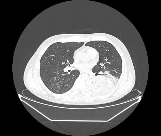
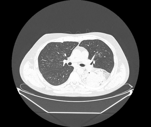
М. 1984 г.р.  Лихорадка 39, кашель , одышка.. и надоевший всем вопрос- "типично ли для ковид?" ( в настоящее время на него обязательно нужно дать ответ в своем протоколе) 

  • 2
  • через 6 дней
  • https://radiomed.ru/sites/default/files/styles/case_slider_image/public/user/21253/img-0001-00001.jpg?itok=04c8HTFB
  • https://radiomed.ru/sites/default/files/styles/case_slider_image/public/user/21253/img-0001-00002.jpg?itok=3yDlYaOv
  • https://radiomed.ru/sites/default/files/styles/case_slider_image/public/user/21253/img-0001-00003.jpg?itok=SXO242Ws
  • https://radiomed.ru/sites/default/files/styles/case_slider_image/public/user/21253/img-0001-00004.jpg?itok=4fhjj-kr
  • https://radiomed.ru/sites/default/files/styles/case_slider_image/public/user/21253/img-0001-00005.jpg?itok=NQPXVCbK
  • https://radiomed.ru/sites/default/files/styles/case_slider_image/public/user/21253/img-0001-00006.jpg?itok=UxUnzW0q
  • https://radiomed.ru/sites/default/files/styles/case_slider_image/public/user/21253/img-0001-00007.jpg?itok=OznGZnci
  • https://radiomed.ru/sites/default/files/styles/case_slider_image/public/user/21253/img-0001-00008.jpg?itok=EqAuJEcf
  • https://radiomed.ru/sites/default/files/styles/case_slider_image/public/user/21253/img-0001-00009.jpg?itok=aOkgK5tI
  • https://radiomed.ru/sites/default/files/styles/case_slider_image/public/user/21253/img-0001-00010.jpg?itok=ssN0yunF
  • https://radiomed.ru/sites/default/files/styles/case_slider_image/public/user/21253/img-0001-00011.jpg?itok=2y-mP_3H
  • https://radiomed.ru/sites/default/files/styles/case_slider_image/public/user/21253/img-0001-00012.jpg?itok=2CuiKXjW
  • https://radiomed.ru/sites/default/files/styles/case_slider_image/public/user/21253/img-0001-00013.jpg?itok=QbWPGAlF
  • https://radiomed.ru/sites/default/files/styles/case_slider_image/public/user/21253/img-0001-00014.jpg?itok=t7QNAsVh
  • https://radiomed.ru/sites/default/files/styles/case_slider_image/public/user/21253/img-0001-00015.jpg?itok=uq9mwgja
  • https://radiomed.ru/sites/default/files/styles/case_slider_image/public/user/21253/img-0001-00016.jpg?itok=L26bsAFR
  • https://radiomed.ru/sites/default/files/styles/case_slider_image/public/user/21253/img-0001-00017.jpg?itok=1GzZUdrt
  • https://radiomed.ru/sites/default/files/styles/case_slider_image/public/user/21253/img-0001-00018.jpg?itok=VtWK2xyE
  • https://radiomed.ru/sites/default/files/styles/case_slider_image/public/user/21253/img-0001-00019.jpg?itok=5MVbzOI5
  • https://radiomed.ru/sites/default/files/styles/case_slider_image/public/user/21253/img-0001-00020.jpg?itok=rwkDe0Ye
  • https://radiomed.ru/sites/default/files/styles/case_slider_image/public/user/21253/img-0001-00021.jpg?itok=D5WiIMp_
  • https://radiomed.ru/sites/default/files/styles/case_slider_image/public/user/21253/img-0001-00022.jpg?itok=t8hyE8D1
  • https://radiomed.ru/sites/default/files/styles/case_slider_image/public/user/21253/img-0001-00023.jpg?itok=33_TNVSd
  • https://radiomed.ru/sites/default/files/styles/case_slider_image/public/user/21253/img-0001-00024.jpg?itok=eLqLaLq2
  • https://radiomed.ru/sites/default/files/styles/case_slider_image/public/user/21253/img-0001-00025.jpg?itok=FfQMRCY2
  • https://radiomed.ru/sites/default/files/styles/case_slider_image/public/user/21253/img-0001-00026.jpg?itok=QnjqoKln
  • https://radiomed.ru/sites/default/files/styles/case_slider_image/public/user/21253/img-0001-00027.jpg?itok=wz68ZJt4
  • https://radiomed.ru/sites/default/files/styles/case_slider_image/public/user/21253/img-0001-00028.jpg?itok=ikEWVQ_5
  • https://radiomed.ru/sites/default/files/styles/case_slider_image/public/user/21253/img-0001-00029.jpg?itok=BvdU259K
  • https://radiomed.ru/sites/default/files/styles/case_slider_image/public/user/21253/img-0001-00030.jpg?itok=MvuKCSYW
  • https://radiomed.ru/sites/default/files/styles/case_slider_image/public/user/21253/img-0001-00031.jpg?itok=dAxWoCmM
  • https://radiomed.ru/sites/default/files/styles/case_slider_image/public/user/21253/img-0001-00032.jpg?itok=o-69XT07
  • https://radiomed.ru/sites/default/files/styles/case_slider_image/public/user/21253/img-0001-00033.jpg?itok=NB01N8Sx
  • https://radiomed.ru/sites/default/files/styles/case_slider_image/public/user/21253/img-0001-00034.jpg?itok=rux5Rf23
  • https://radiomed.ru/sites/default/files/styles/case_slider_image/public/user/21253/img-0001-00035.jpg?itok=VM4oBWxA
  • https://radiomed.ru/sites/default/files/styles/case_slider_image/public/user/21253/img-0001-00036.jpg?itok=orAmpLZ3
  • https://radiomed.ru/sites/default/files/styles/case_slider_image/public/user/21253/img-0001-00037.jpg?itok=Z7A8ggnl
  • https://radiomed.ru/sites/default/files/styles/case_slider_image/public/user/21253/img-0001-00038.jpg?itok=mQj_JYz1
  • https://radiomed.ru/sites/default/files/styles/case_slider_image/public/user/21253/img-0001-00039.jpg?itok=fBVgXBNd
  • https://radiomed.ru/sites/default/files/styles/case_slider_image/public/user/21253/img-0001-00040.jpg?itok=xxRev4o9
  • https://radiomed.ru/sites/default/files/styles/case_slider_image/public/user/21253/img-0001-00041.jpg?itok=XWeZEQsx
  • https://radiomed.ru/sites/default/files/styles/case_slider_image/public/user/21253/img-0001-00042.jpg?itok=N2waLoGz
  • https://radiomed.ru/sites/default/files/styles/case_slider_image/public/user/21253/img-0001-00043.jpg?itok=CTiwb-Nr
  • https://radiomed.ru/sites/default/files/styles/case_slider_image/public/user/21253/img-0001-00044.jpg?itok=tgGg0sO2
  • https://radiomed.ru/sites/default/files/styles/case_slider_image/public/user/21253/img-0001-00045.jpg?itok=g8OJnmeB
  • https://radiomed.ru/sites/default/files/styles/case_slider_image/public/user/21253/img-0001-00046.jpg?itok=eUktXqBP
  • https://radiomed.ru/sites/default/files/styles/case_slider_image/public/user/21253/img-0001-00047.jpg?itok=9UyRw9cl
  • https://radiomed.ru/sites/default/files/styles/case_slider_image/public/user/21253/img-0001-00048.jpg?itok=nlHzittF
  • https://radiomed.ru/sites/default/files/styles/case_slider_image/public/user/21253/img-0001-00049.jpg?itok=s1blf4Gn
  • https://radiomed.ru/sites/default/files/styles/case_slider_image/public/user/21253/img-0001-00050.jpg?itok=_hYkFXPt
  • https://radiomed.ru/sites/default/files/styles/case_slider_image/public/user/21253/img-0001-00051.jpg?itok=zd2nDlOg
  • https://radiomed.ru/sites/default/files/styles/case_slider_image/public/user/21253/img-0001-00052.jpg?itok=VInHrR9m
  • https://radiomed.ru/sites/default/files/styles/case_slider_image/public/user/21253/img-0001-00053.jpg?itok=pdEG76TO
  • https://radiomed.ru/sites/default/files/styles/case_slider_image/public/user/21253/img-0001-00054.jpg?itok=GN-GoiLj
  • https://radiomed.ru/sites/default/files/styles/case_slider_image/public/user/21253/img-0001-00055.jpg?itok=mn_LGXVD
  • https://radiomed.ru/sites/default/files/styles/case_slider_image/public/user/21253/img-0001-00056.jpg?itok=-yIIcSub
  • https://radiomed.ru/sites/default/files/styles/case_slider_image/public/user/21253/img-0001-00057.jpg?itok=0XWIXvr6
  • https://radiomed.ru/sites/default/files/styles/case_slider_image/public/user/21253/img-0001-00058.jpg?itok=DHYQ5fLX
  • https://radiomed.ru/sites/default/files/styles/case_slider_image/public/user/21253/img-0001-00059.jpg?itok=zQwGyhHz
  • https://radiomed.ru/sites/default/files/styles/case_slider_image/public/user/21253/img-0001-00060.jpg?itok=88SY0HDU
  • https://radiomed.ru/sites/default/files/styles/case_slider_image/public/user/21253/img-0001-00061.jpg?itok=2RStY1gQ
  • https://radiomed.ru/sites/default/files/styles/case_slider_image/public/user/21253/img-0001-00062.jpg?itok=uXxbjmpD
  • https://radiomed.ru/sites/default/files/styles/case_slider_image/public/user/21253/img-0001-00063.jpg?itok=LPnOd2yN
  • https://radiomed.ru/sites/default/files/styles/case_slider_image/public/user/21253/img-0001-00064.jpg?itok=lS8Rwkae
  • https://radiomed.ru/sites/default/files/styles/case_slider_image/public/user/21253/img-0001-00065.jpg?itok=AisMLXRN
  • https://radiomed.ru/sites/default/files/styles/case_slider_image/public/user/21253/img-0001-00066.jpg?itok=RP2Ug45g
  • https://radiomed.ru/sites/default/files/styles/case_slider_image/public/user/21253/img-0001-00067.jpg?itok=1DYx8XIn
  • https://radiomed.ru/sites/default/files/styles/case_slider_image/public/user/21253/img-0001-00068.jpg?itok=SvjPk1DT
  • https://radiomed.ru/sites/default/files/styles/case_slider_image/public/user/21253/img-0001-00069.jpg?itok=WLm-ZYNu
  • https://radiomed.ru/sites/default/files/styles/case_slider_image/public/user/21253/img-0001-00070.jpg?itok=bnNYe0NZ
  • https://radiomed.ru/sites/default/files/styles/case_slider_image/public/user/21253/img-0001-00071.jpg?itok=1ULol1Ke
  • https://radiomed.ru/sites/default/files/styles/case_slider_image/public/user/21253/img-0001-00072.jpg?itok=kNF7bS0I
  • https://radiomed.ru/sites/default/files/styles/case_slider_image/public/user/21253/img-0001-00073.jpg?itok=nZHPMcMC
  • https://radiomed.ru/sites/default/files/styles/case_slider_image/public/user/21253/img-0001-00001_0.jpg?itok=jVF0c37_
  • https://radiomed.ru/sites/default/files/styles/case_slider_image/public/user/21253/img-0001-00002_0.jpg?itok=xB7YvtGS
  • https://radiomed.ru/sites/default/files/styles/case_slider_image/public/user/21253/img-0001-00003_0.jpg?itok=PXJy7ecn
  • https://radiomed.ru/sites/default/files/styles/case_slider_image/public/user/21253/img-0001-00004_0.jpg?itok=Thr6g9Nh
  • https://radiomed.ru/sites/default/files/styles/case_slider_image/public/user/21253/img-0001-00005_0.jpg?itok=g_DJNoNe
  • https://radiomed.ru/sites/default/files/styles/case_slider_image/public/user/21253/img-0001-00006_0.jpg?itok=d4zCKqVu
  • https://radiomed.ru/sites/default/files/styles/case_slider_image/public/user/21253/img-0001-00007_0.jpg?itok=YvD7h93-
  • https://radiomed.ru/sites/default/files/styles/case_slider_image/public/user/21253/img-0001-00008_0.jpg?itok=nI_MnMQS
  • https://radiomed.ru/sites/default/files/styles/case_slider_image/public/user/21253/img-0001-00009_0.jpg?itok=aCI93o0z
  • https://radiomed.ru/sites/default/files/styles/case_slider_image/public/user/21253/img-0001-00010_0.jpg?itok=7vJbR0VF
  • https://radiomed.ru/sites/default/files/styles/case_slider_image/public/user/21253/img-0001-00011_0.jpg?itok=G0n3f-Wx
  • https://radiomed.ru/sites/default/files/styles/case_slider_image/public/user/21253/img-0001-00012_0.jpg?itok=JXJFcqlA
  • https://radiomed.ru/sites/default/files/styles/case_slider_image/public/user/21253/img-0001-00013_0.jpg?itok=CE2KZriD
  • https://radiomed.ru/sites/default/files/styles/case_slider_image/public/user/21253/img-0001-00014_0.jpg?itok=3tL0BVd4
  • https://radiomed.ru/sites/default/files/styles/case_slider_image/public/user/21253/img-0001-00015_0.jpg?itok=xGAyfIIE
  • https://radiomed.ru/sites/default/files/styles/case_slider_image/public/user/21253/img-0001-00016_0.jpg?itok=vmviiClH
  • https://radiomed.ru/sites/default/files/styles/case_slider_image/public/user/21253/img-0001-00017_0.jpg?itok=CiIMhGAF
  • https://radiomed.ru/sites/default/files/styles/case_slider_image/public/user/21253/img-0001-00018_0.jpg?itok=7Z_RRh5M
  • https://radiomed.ru/sites/default/files/styles/case_slider_image/public/user/21253/img-0001-00019_0.jpg?itok=YddyZkrC
  • https://radiomed.ru/sites/default/files/styles/case_slider_image/public/user/21253/img-0001-00020_0.jpg?itok=9BWsB340
  • https://radiomed.ru/sites/default/files/styles/case_slider_image/public/user/21253/img-0001-00021_0.jpg?itok=qPgYe8pl
  • https://radiomed.ru/sites/default/files/styles/case_slider_image/public/user/21253/img-0001-00022_0.jpg?itok=LIJt-s89
  • https://radiomed.ru/sites/default/files/styles/case_slider_image/public/user/21253/img-0001-00023_0.jpg?itok=z2wAafqP
  • https://radiomed.ru/sites/default/files/styles/case_slider_image/public/user/21253/img-0001-00024_0.jpg?itok=G4bMMFOd
  • https://radiomed.ru/sites/default/files/styles/case_slider_image/public/user/21253/img-0001-00025_0.jpg?itok=JMQvmCnV
  • https://radiomed.ru/sites/default/files/styles/case_slider_image/public/user/21253/img-0001-00026_0.jpg?itok=F92UavZ0
  • https://radiomed.ru/sites/default/files/styles/case_slider_image/public/user/21253/img-0001-00027_0.jpg?itok=JFPWuRjc
  • https://radiomed.ru/sites/default/files/styles/case_slider_image/public/user/21253/img-0001-00028_0.jpg?itok=7okqR8nj
  • https://radiomed.ru/sites/default/files/styles/case_slider_image/public/user/21253/img-0001-00029_0.jpg?itok=0ojKN1vd
  • https://radiomed.ru/sites/default/files/styles/case_slider_image/public/user/21253/img-0001-00030_0.jpg?itok=t6JRJ4wO
  • https://radiomed.ru/sites/default/files/styles/case_slider_image/public/user/21253/img-0001-00031_0.jpg?itok=N6ZiB8AG
  • https://radiomed.ru/sites/default/files/styles/case_slider_image/public/user/21253/img-0001-00032_0.jpg?itok=4AjwBRlH
  • https://radiomed.ru/sites/default/files/styles/case_slider_image/public/user/21253/img-0001-00033_0.jpg?itok=71tXIsle
  • https://radiomed.ru/sites/default/files/styles/case_slider_image/public/user/21253/img-0001-00034_0.jpg?itok=pKaHUD8B
  • https://radiomed.ru/sites/default/files/styles/case_slider_image/public/user/21253/img-0001-00035_0.jpg?itok=a15FOP1R
  • https://radiomed.ru/sites/default/files/styles/case_slider_image/public/user/21253/img-0001-00036_0.jpg?itok=1RwlZ8HU
  • https://radiomed.ru/sites/default/files/styles/case_slider_image/public/user/21253/img-0001-00037_0.jpg?itok=jrwqDtk9
  • https://radiomed.ru/sites/default/files/styles/case_slider_image/public/user/21253/img-0001-00038_0.jpg?itok=Kqb50zSD
  • https://radiomed.ru/sites/default/files/styles/case_slider_image/public/user/21253/img-0001-00039_0.jpg?itok=buT8cn0W
  • https://radiomed.ru/sites/default/files/styles/case_slider_image/public/user/21253/img-0001-00040_0.jpg?itok=k5F03CSS
  • https://radiomed.ru/sites/default/files/styles/case_slider_image/public/user/21253/img-0001-00041_0.jpg?itok=S9R5Aftb
  • https://radiomed.ru/sites/default/files/styles/case_slider_image/public/user/21253/img-0001-00042_0.jpg?itok=FUBnxt62
  • https://radiomed.ru/sites/default/files/styles/case_slider_image/public/user/21253/img-0001-00043_0.jpg?itok=WqSa9IWK
  • https://radiomed.ru/sites/default/files/styles/case_slider_image/public/user/21253/img-0001-00044_0.jpg?itok=c5bjESmz
  • https://radiomed.ru/sites/default/files/styles/case_slider_image/public/user/21253/img-0001-00045_0.jpg?itok=vYmEIaQZ
  • https://radiomed.ru/sites/default/files/styles/case_slider_image/public/user/21253/img-0001-00046_0.jpg?itok=B0I7BzsR
  • https://radiomed.ru/sites/default/files/styles/case_slider_image/public/user/21253/img-0001-00047_0.jpg?itok=vPCSrwGu
  • https://radiomed.ru/sites/default/files/styles/case_slider_image/public/user/21253/img-0001-00048_0.jpg?itok=KgwNtvTp
  • https://radiomed.ru/sites/default/files/styles/case_slider_image/public/user/21253/img-0001-00049_0.jpg?itok=BFENVwm_
  • https://radiomed.ru/sites/default/files/styles/case_slider_image/public/user/21253/img-0001-00050_0.jpg?itok=moQRJFmb
  • https://radiomed.ru/sites/default/files/styles/case_slider_image/public/user/21253/img-0001-00051_0.jpg?itok=g0gtid0t
  • https://radiomed.ru/sites/default/files/styles/case_slider_image/public/user/21253/img-0001-00052_0.jpg?itok=Mvi_-xJ5
  • https://radiomed.ru/sites/default/files/styles/case_slider_image/public/user/21253/img-0001-00053_0.jpg?itok=9ZYQGWw3
  • https://radiomed.ru/sites/default/files/styles/case_slider_image/public/user/21253/img-0001-00054_0.jpg?itok=-AzHJ2AE
  • https://radiomed.ru/sites/default/files/styles/case_slider_image/public/user/21253/img-0001-00055_0.jpg?itok=PJ1uOVTN
  • https://radiomed.ru/sites/default/files/styles/case_slider_image/public/user/21253/img-0001-00056_0.jpg?itok=VXRD47zK
  • https://radiomed.ru/sites/default/files/styles/case_slider_image/public/user/21253/img-0001-00057_0.jpg?itok=3J4fmcJj
  • https://radiomed.ru/sites/default/files/styles/case_slider_image/public/user/21253/img-0001-00058_0.jpg?itok=EW0TTW5O
  • https://radiomed.ru/sites/default/files/styles/case_slider_image/public/user/21253/img-0001-00059_0.jpg?itok=uJJjUKi8
  • https://radiomed.ru/sites/default/files/styles/case_slider_image/public/user/21253/img-0001-00060_0.jpg?itok=5JDfy-Ng
  • https://radiomed.ru/sites/default/files/styles/case_slider_image/public/user/21253/img-0001-00061_0.jpg?itok=tiiCjMZ3
  • https://radiomed.ru/sites/default/files/styles/case_slider_image/public/user/21253/img-0001-00062_0.jpg?itok=Gs7VB3C7
  • https://radiomed.ru/sites/default/files/styles/case_slider_image/public/user/21253/img-0001-00063_0.jpg?itok=_6XlRmKT
  • https://radiomed.ru/sites/default/files/styles/case_slider_image/public/user/21253/img-0001-00064_0.jpg?itok=L3DaY7RT
  • https://radiomed.ru/sites/default/files/styles/case_slider_image/public/user/21253/img-0001-00065_0.jpg?itok=sNTVEaAd
  • https://radiomed.ru/sites/default/files/styles/case_slider_image/public/user/21253/img-0001-00066_0.jpg?itok=0TYmDthG
  • https://radiomed.ru/sites/default/files/styles/case_slider_image/public/user/21253/img-0001-00067_0.jpg?itok=WNNYm4NZ
  • https://radiomed.ru/sites/default/files/styles/case_slider_image/public/user/21253/img-0001-00068_0.jpg?itok=5FOdJdwu
  • https://radiomed.ru/sites/default/files/styles/case_slider_image/public/user/21253/img-0001-00069_0.jpg?itok=s4IW0Ldu
  • https://radiomed.ru/sites/default/files/styles/case_slider_image/public/user/21253/img-0001-00070_0.jpg?itok=q-kgRyt6
  • https://radiomed.ru/sites/default/files/styles/case_slider_image/public/user/21253/img-0001-00071_0.jpg?itok=OiYxMwFX
  • https://radiomed.ru/sites/default/files/styles/case_slider_image/public/user/21253/img-0001-00072_0.jpg?itok=OkFJij7c
  • https://radiomed.ru/sites/default/files/styles/case_slider_image/public/user/21253/img-0001-00073_0.jpg?itok=JF1cnV94
  • https://radiomed.ru/sites/default/files/styles/case_slider_image/public/user/21253/img-0001-00074.jpg?itok=yc7JtdVg
  • https://radiomed.ru/sites/default/files/styles/case_slider_image/public/user/21253/img-0001-00075.jpg?itok=gDqlCv6q
  • https://radiomed.ru/sites/default/files/styles/case_slider_image/public/user/21253/img-0001-00076.jpg?itok=DLACjMSd
  • https://radiomed.ru/sites/default/files/styles/case_slider_image/public/user/21253/img-0001-00077.jpg?itok=VhJ5Zf1L
  • https://radiomed.ru/sites/default/files/styles/case_slider_image/public/user/21253/img-0001-00078.jpg?itok=8DawjOdR
  • https://radiomed.ru/sites/default/files/styles/case_slider_image/public/user/21253/img-0001-00079.jpg?itok=fJkiuYdC
  • https://radiomed.ru/sites/default/files/styles/case_slider_image/public/user/21253/img-0001-00080.jpg?itok=SamtCeqP
  • https://radiomed.ru/sites/default/files/styles/case_slider_image/public/user/21253/img-0001-00081.jpg?itok=MKXgpPqB
  • https://radiomed.ru/sites/default/files/styles/case_slider_image/public/user/21253/img-0001-00082.jpg?itok=8XwljiEW
  • https://radiomed.ru/sites/default/files/styles/case_slider_image/public/user/21253/img-0001-00083.jpg?itok=V3f9Fmug
  • https://radiomed.ru/sites/default/files/styles/case_slider_image/public/user/21253/img-0001-00084.jpg?itok=Js_Due_B
  • https://radiomed.ru/sites/default/files/styles/case_slider_image/public/user/21253/img-0001-00085.jpg?itok=sRSK_8fF
  • https://radiomed.ru/sites/default/files/styles/case_slider_image/public/user/21253/img-0001-00086.jpg?itok=IR2047Tq
  • https://radiomed.ru/sites/default/files/styles/case_slider_image/public/user/21253/img-0001-00087.jpg?itok=WxRgVg2n
  • https://radiomed.ru/sites/default/files/styles/case_slider_image/public/user/21253/img-0001-00088.jpg?itok=4VA47KNE
  • https://radiomed.ru/sites/default/files/styles/case_slider_image/public/user/21253/img-0001-00089.jpg?itok=W_kfmUsG
  • https://radiomed.ru/sites/default/files/styles/case_slider_image/public/user/21253/img-0001-00090.jpg?itok=Hz0oIcLq
  • https://radiomed.ru/sites/default/files/styles/case_slider_image/public/user/21253/img-0001-00091.jpg?itok=OGY_MeBv
  • https://radiomed.ru/sites/default/files/styles/case_slider_image/public/user/21253/img-0001-00092.jpg?itok=PqItTuyf
  • https://radiomed.ru/sites/default/files/styles/case_slider_image/public/user/21253/img-0001-00093.jpg?itok=gWpI1xCH
  • https://radiomed.ru/sites/default/files/styles/case_slider_image/public/user/21253/img-0001-00094.jpg?itok=8bi2rlln
  • https://radiomed.ru/sites/default/files/styles/case_slider_image/public/user/21253/img-0001-00095.jpg?itok=TQaU2a0j
  • https://radiomed.ru/sites/default/files/styles/case_slider_image/public/user/21253/img-0001-00096.jpg?itok=0aLRbqWV
  • https://radiomed.ru/sites/default/files/styles/case_slider_image/public/user/21253/img-0001-00097.jpg?itok=29uYkI6k
  • https://radiomed.ru/sites/default/files/styles/case_slider_image/public/user/21253/img-0001-00098.jpg?itok=SopEjZyQ
  • https://radiomed.ru/sites/default/files/styles/case_slider_image/public/user/21253/img-0001-00099.jpg?itok=JqRlfJ-N
  • https://radiomed.ru/sites/default/files/styles/case_slider_image/public/user/21253/img-0001-00100.jpg?itok=xgUXBT5J
  • https://radiomed.ru/sites/default/files/styles/case_slider_image/public/user/21253/img-0001-00101.jpg?itok=rcDPYLUI
  • https://radiomed.ru/sites/default/files/styles/case_slider_image/public/user/21253/img-0001-00102.jpg?itok=Aofm2KGt
  • https://radiomed.ru/sites/default/files/styles/case_slider_image/public/user/21253/img-0001-00103.jpg?itok=aBmsSGUY
  • https://radiomed.ru/sites/default/files/styles/case_slider_image/public/user/21253/img-0001-00104.jpg?itok=mf3f-pgC
  • https://radiomed.ru/sites/default/files/styles/case_slider_image/public/user/21253/img-0001-00105.jpg?itok=WulpshYe
  • https://radiomed.ru/sites/default/files/styles/case_slider_image/public/user/21253/img-0001-00106.jpg?itok=_1EEnlby
  • https://radiomed.ru/sites/default/files/styles/case_slider_image/public/user/21253/img-0001-00107.jpg?itok=IWAJrIfq
  • https://radiomed.ru/sites/default/files/styles/case_slider_image/public/user/21253/img-0001-00108.jpg?itok=VmUrELsu
  • https://radiomed.ru/sites/default/files/styles/case_slider_image/public/user/21253/img-0001-00109.jpg?itok=gRjzTxDI
  • https://radiomed.ru/sites/default/files/styles/case_slider_image/public/user/21253/img-0001-00110.jpg?itok=hQPJq9ot
  • https://radiomed.ru/sites/default/files/styles/case_slider_image/public/user/21253/img-0001-00111.jpg?itok=Cu7Cq8tp
  • https://radiomed.ru/sites/default/files/styles/case_slider_image/public/user/21253/img-0001-00112.jpg?itok=B9u0-PjQ
  • https://radiomed.ru/sites/default/files/styles/case_slider_image/public/user/21253/img-0001-00113.jpg?itok=MT0c2-0d
  • https://radiomed.ru/sites/default/files/styles/case_slider_image/public/user/21253/img-0001-00114.jpg?itok=HB5UhagF
  • https://radiomed.ru/sites/default/files/styles/case_slider_image/public/user/21253/img-0001-00115.jpg?itok=XFAYFk5h
  • https://radiomed.ru/sites/default/files/styles/case_slider_image/public/user/21253/img-0001-00116.jpg?itok=SH4VzpDW
  • https://radiomed.ru/sites/default/files/styles/case_slider_image/public/user/21253/img-0001-00117.jpg?itok=qHqg4FZK
  • https://radiomed.ru/sites/default/files/styles/case_slider_image/public/user/21253/img-0001-00118.jpg?itok=onuDzZQ2
  • https://radiomed.ru/sites/default/files/styles/case_slider_image/public/user/21253/img-0001-00119.jpg?itok=9zwxOh8A
  • https://radiomed.ru/sites/default/files/styles/case_slider_image/public/user/21253/img-0001-00120.jpg?itok=7fum8zqq
  • https://radiomed.ru/sites/default/files/styles/case_slider_image/public/user/21253/img-0001-00121.jpg?itok=GvV05IJn
  • https://radiomed.ru/sites/default/files/styles/case_slider_image/public/user/21253/img-0001-00122.jpg?itok=p7e09J1C
  • https://radiomed.ru/sites/default/files/styles/case_slider_image/public/user/21253/img-0001-00123.jpg?itok=iG_1rBAh
  • https://radiomed.ru/sites/default/files/styles/case_slider_image/public/user/21253/img-0001-00124.jpg?itok=C_QSuEjS
  • https://radiomed.ru/sites/default/files/styles/case_slider_image/public/user/21253/img-0001-00125.jpg?itok=rAUt7Fti
  • https://radiomed.ru/sites/default/files/styles/case_slider_image/public/user/21253/img-0001-00126.jpg?itok=qw0VZfVL
  • https://radiomed.ru/sites/default/files/styles/case_slider_image/public/user/21253/img-0001-00127.jpg?itok=7i32iPj6
  • https://radiomed.ru/sites/default/files/styles/case_slider_image/public/user/21253/img-0001-00128.jpg?itok=COnmWfjV
  • https://radiomed.ru/sites/default/files/styles/case_slider_image/public/user/21253/img-0001-00129.jpg?itok=QTwk2Ky2
  • https://radiomed.ru/sites/default/files/styles/case_slider_image/public/user/21253/img-0001-00130.jpg?itok=qJ39PMu8
  • https://radiomed.ru/sites/default/files/styles/case_slider_image/public/user/21253/img-0001-00131.jpg?itok=rN4kMmCy
  • https://radiomed.ru/sites/default/files/styles/case_slider_image/public/user/21253/img-0001-00132.jpg?itok=zqWF3SNn
  • https://radiomed.ru/sites/default/files/styles/case_slider_image/public/user/21253/img-0001-00133.jpg?itok=XEtM8o_P
  • https://radiomed.ru/sites/default/files/styles/case_slider_image/public/user/21253/img-0001-00134.jpg?itok=KDpXsr3k
  • https://radiomed.ru/sites/default/files/styles/case_slider_image/public/user/21253/img-0001-00135.jpg?itok=vv8KXKoN
  • https://radiomed.ru/sites/default/files/styles/case_slider_image/public/user/21253/img-0001-00136.jpg?itok=soQLIWFz
  • https://radiomed.ru/sites/default/files/styles/case_slider_image/public/user/21253/img-0001-00137.jpg?itok=uWdk6ZDv
  • https://radiomed.ru/sites/default/files/styles/case_slider_image/public/user/21253/img-0001-00138.jpg?itok=z2bBkWeO
  • https://radiomed.ru/sites/default/files/styles/case_slider_image/public/user/21253/img-0001-00139.jpg?itok=ATLnjTwp
  • https://radiomed.ru/sites/default/files/styles/case_slider_image/public/user/21253/img-0001-00140.jpg?itok=7QHv736F
  • https://radiomed.ru/sites/default/files/styles/case_slider_image/public/user/21253/img-0001-00141.jpg?itok=MpEdxAMT
  • https://radiomed.ru/sites/default/files/styles/case_slider_image/public/user/21253/img-0001-00142.jpg?itok=hFyCX2c3
  • https://radiomed.ru/sites/default/files/styles/case_slider_image/public/user/21253/img-0001-00143.jpg?itok=GEWlVak_
  • https://radiomed.ru/sites/default/files/styles/case_slider_image/public/user/21253/img-0001-00144.jpg?itok=cxN1Pmto
  • https://radiomed.ru/sites/default/files/styles/case_slider_image/public/user/21253/img-0001-00145.jpg?itok=blWk9f7B
  • https://radiomed.ru/sites/default/files/styles/case_slider_image/public/user/21253/img-0001-00146.jpg?itok=vz6DsXm6
  • https://radiomed.ru/sites/default/files/styles/case_slider_image/public/user/21253/img-0001-00147.jpg?itok=XVB-lwcN
  • https://radiomed.ru/sites/default/files/styles/case_slider_image/public/user/21253/img-0001-00148.jpg?itok=z-3YMRG-
  • https://radiomed.ru/sites/default/files/styles/case_slider_image/public/user/21253/img-0001-00149.jpg?itok=WYXdnY0a
  • https://radiomed.ru/sites/default/files/styles/case_slider_image/public/user/21253/img-0001-00150.jpg?itok=fLb-zbLW
  • https://radiomed.ru/sites/default/files/styles/case_slider_image/public/user/21253/img-0001-00151.jpg?itok=6NoggDve
  • https://radiomed.ru/sites/default/files/styles/case_slider_image/public/user/21253/img-0001-00152.jpg?itok=R7lvsFL2
  • https://radiomed.ru/sites/default/files/styles/case_slider_image/public/user/21253/img-0001-00153.jpg?itok=euDvoXpJ
  • https://radiomed.ru/sites/default/files/styles/case_slider_image/public/user/21253/img-0001-00154.jpg?itok=JV-rG4I3
  • https://radiomed.ru/sites/default/files/styles/case_slider_image/public/user/21253/img-0001-00155.jpg?itok=ZG7f8dpt
  • https://radiomed.ru/sites/default/files/styles/case_slider_image/public/user/21253/img-0001-00156.jpg?itok=4Ri5G4tz
  • https://radiomed.ru/sites/default/files/styles/case_slider_image/public/user/21253/img-0001-00157.jpg?itok=trczeYab
  • https://radiomed.ru/sites/default/files/styles/case_slider_image/public/user/21253/img-0001-00158.jpg?itok=J1b--9A6
  • https://radiomed.ru/sites/default/files/styles/case_slider_image/public/user/21253/img-0001-00159.jpg?itok=s7ih0bMd
  • https://radiomed.ru/sites/default/files/styles/case_slider_image/public/user/21253/img-0001-00160.jpg?itok=C8PtzWDy
  • https://radiomed.ru/sites/default/files/styles/case_slider_image/public/user/21253/img-0001-00161.jpg?itok=yloDy44R
  • https://radiomed.ru/sites/default/files/styles/case_slider_image/public/user/21253/img-0001-00162.jpg?itok=6sU9496B
  • https://radiomed.ru/sites/default/files/styles/case_slider_image/public/user/21253/img-0001-00163.jpg?itok=UCBwpl3j
  • https://radiomed.ru/sites/default/files/styles/case_slider_image/public/user/21253/img-0001-00164.jpg?itok=_tAfgA45
  • https://radiomed.ru/sites/default/files/styles/case_slider_image/public/user/21253/img-0001-00165.jpg?itok=IrCRi73E
  • https://radiomed.ru/sites/default/files/styles/case_slider_image/public/user/21253/img-0001-00166.jpg?itok=pv_S1e8K
  • https://radiomed.ru/sites/default/files/styles/case_slider_image/public/user/21253/img-0001-00167.jpg?itok=w_OQipud
  • https://radiomed.ru/sites/default/files/styles/case_slider_image/public/user/21253/img-0001-00168.jpg?itok=HhqyXcXJ
  • https://radiomed.ru/sites/default/files/styles/case_slider_image/public/user/21253/img-0001-00169.jpg?itok=n662qD_r
  • https://radiomed.ru/sites/default/files/styles/case_slider_image/public/user/21253/img-0001-00170.jpg?itok=FWET3jU_
  • https://radiomed.ru/sites/default/files/styles/case_slider_image/public/user/21253/img-0001-00171.jpg?itok=JaA5O7Pe
  • https://radiomed.ru/sites/default/files/styles/case_slider_image/public/user/21253/img-0001-00172.jpg?itok=npYSOPpi
  • https://radiomed.ru/sites/default/files/styles/case_slider_image/public/user/21253/img-0001-00173.jpg?itok=ZtYQyZFy
  • https://radiomed.ru/sites/default/files/styles/case_slider_image/public/user/21253/img-0001-00174.jpg?itok=-X2m04A_
  • https://radiomed.ru/sites/default/files/styles/case_slider_image/public/user/21253/img-0001-00175.jpg?itok=tUzCfj9T
  • https://radiomed.ru/sites/default/files/styles/case_slider_image/public/user/21253/img-0001-00176.jpg?itok=FfeYJxvQ
  • https://radiomed.ru/sites/default/files/styles/case_slider_image/public/user/21253/img-0001-00177.jpg?itok=fFbT9Dmz
  • https://radiomed.ru/sites/default/files/styles/case_slider_image/public/user/21253/img-0001-00178.jpg?itok=5TIFmHT2
  • https://radiomed.ru/sites/default/files/styles/case_slider_image/public/user/21253/img-0001-00179.jpg?itok=rVst7Cjw
  • https://radiomed.ru/sites/default/files/styles/case_slider_image/public/user/21253/img-0001-00180.jpg?itok=_SFqh-G1
  • https://radiomed.ru/sites/default/files/styles/case_slider_image/public/user/21253/img-0001-00181.jpg?itok=L_G0NgKO
  • https://radiomed.ru/sites/default/files/styles/case_slider_image/public/user/21253/img-0001-00182.jpg?itok=O--oDU5m
  • https://radiomed.ru/sites/default/files/styles/case_slider_image/public/user/21253/img-0001-00183.jpg?itok=CAAGP3Y3
  • https://radiomed.ru/sites/default/files/styles/case_slider_image/public/user/21253/img-0001-00184.jpg?itok=dGnCXC79
  • https://radiomed.ru/sites/default/files/styles/case_slider_image/public/user/21253/img-0001-00185.jpg?itok=Vibp1V7d
  • https://radiomed.ru/sites/default/files/styles/case_slider_image/public/user/21253/img-0001-00186.jpg?itok=PfN5PS1k
  • https://radiomed.ru/sites/default/files/styles/case_slider_image/public/user/21253/img-0001-00187.jpg?itok=o2TpJu7-
  • https://radiomed.ru/sites/default/files/styles/case_slider_image/public/user/21253/img-0001-00188.jpg?itok=zll1thLp
  • https://radiomed.ru/sites/default/files/styles/case_slider_image/public/user/21253/img-0001-00189.jpg?itok=Tneti983
  • https://radiomed.ru/sites/default/files/styles/case_slider_image/public/user/21253/img-0001-00190.jpg?itok=FSMdg7Kv
  • https://radiomed.ru/sites/default/files/styles/case_slider_image/public/user/21253/img-0001-00191.jpg?itok=wVN5qg4O
  • https://radiomed.ru/sites/default/files/styles/case_slider_image/public/user/21253/img-0001-00192.jpg?itok=hlV93C_g
  • https://radiomed.ru/sites/default/files/styles/case_slider_image/public/user/21253/img-0001-00193.jpg?itok=JcQSd78V
  • https://radiomed.ru/sites/default/files/styles/case_slider_image/public/user/21253/img-0001-00194.jpg?itok=oUHXmBzr
  • https://radiomed.ru/sites/default/files/styles/case_slider_image/public/user/21253/img-0001-00195.jpg?itok=mAjl1ISi
  • https://radiomed.ru/sites/default/files/styles/case_slider_image/public/user/21253/img-0001-00196.jpg?itok=4LCs7RN1
  • https://radiomed.ru/sites/default/files/styles/case_slider_image/public/user/21253/img-0001-00197.jpg?itok=CYWCSbmP
  • https://radiomed.ru/sites/default/files/styles/case_slider_image/public/user/21253/img-0001-00198.jpg?itok=FRXo0oAL
  • https://radiomed.ru/sites/default/files/styles/case_slider_image/public/user/21253/img-0001-00199.jpg?itok=WqXl2wBO
  • https://radiomed.ru/sites/default/files/styles/case_slider_image/public/user/21253/img-0001-00200.jpg?itok=AGf8c6UW
  • https://radiomed.ru/sites/default/files/styles/case_slider_image/public/user/21253/img-0001-00201.jpg?itok=zJW7q5tr
  • https://radiomed.ru/sites/default/files/styles/case_slider_image/public/user/21253/img-0001-00202.jpg?itok=KOctuXGK
  • https://radiomed.ru/sites/default/files/styles/case_slider_image/public/user/21253/img-0001-00203.jpg?itok=kKycj-fd
  • https://radiomed.ru/sites/default/files/styles/case_slider_image/public/user/21253/img-0001-00204.jpg?itok=GLusGBTZ
  • https://radiomed.ru/sites/default/files/styles/case_slider_image/public/user/21253/img-0001-00205.jpg?itok=ib8j6iV3
  • https://radiomed.ru/sites/default/files/styles/case_slider_image/public/user/21253/img-0001-00206.jpg?itok=poc0-hHu
  • https://radiomed.ru/sites/default/files/styles/case_slider_image/public/user/21253/img-0001-00207.jpg?itok=9Xx2lXnN
  • https://radiomed.ru/sites/default/files/styles/case_slider_image/public/user/21253/img-0001-00208.jpg?itok=PLpkxOvL
  • https://radiomed.ru/sites/default/files/styles/case_slider_image/public/user/21253/img-0001-00209.jpg?itok=IMHoiH3o
  • https://radiomed.ru/sites/default/files/styles/case_slider_image/public/user/21253/img-0001-00210.jpg?itok=QJdrLQyq
  • https://radiomed.ru/sites/default/files/styles/case_slider_image/public/user/21253/img-0001-00211.jpg?itok=0xJvCftx
  • https://radiomed.ru/sites/default/files/styles/case_slider_image/public/user/21253/img-0001-00212.jpg?itok=7czvupEd
  • https://radiomed.ru/sites/default/files/styles/case_slider_image/public/user/21253/img-0001-00213.jpg?itok=1QT3c3qV
  • https://radiomed.ru/sites/default/files/styles/case_slider_image/public/user/21253/img-0001-00214.jpg?itok=8jziquaz
  • https://radiomed.ru/sites/default/files/styles/case_slider_image/public/user/21253/img-0001-00215.jpg?itok=baQCo3wI
  • https://radiomed.ru/sites/default/files/styles/case_slider_image/public/user/21253/img-0001-00216.jpg?itok=UWRK4_hG
  • https://radiomed.ru/sites/default/files/styles/case_slider_image/public/user/21253/img-0001-00217.jpg?itok=f55ePQnv
  • https://radiomed.ru/sites/default/files/styles/case_slider_image/public/user/21253/img-0001-00218.jpg?itok=fj_azNrA
  • https://radiomed.ru/sites/default/files/styles/case_slider_image/public/user/21253/img-0001-00219.jpg?itok=WJmFpLMQ
  • https://radiomed.ru/sites/default/files/styles/case_slider_image/public/user/21253/img-0001-00220.jpg?itok=5rP2JhLm
  • https://radiomed.ru/sites/default/files/styles/case_slider_image/public/user/21253/img-0001-00221.jpg?itok=NCocE1dI
  • https://radiomed.ru/sites/default/files/styles/case_slider_image/public/user/21253/img-0001-00222.jpg?itok=7G-1uI2I
  • https://radiomed.ru/sites/default/files/styles/case_slider_image/public/user/21253/img-0001-00223.jpg?itok=ZCcB1f3j
  • https://radiomed.ru/sites/default/files/styles/case_slider_image/public/user/21253/img-0001-00224.jpg?itok=2liGpJAG
  • https://radiomed.ru/sites/default/files/styles/case_slider_image/public/user/21253/img-0001-00225.jpg?itok=hN-anlpF
  • https://radiomed.ru/sites/default/files/styles/case_slider_image/public/user/21253/img-0001-00226.jpg?itok=0jGXMQ2y
  • https://radiomed.ru/sites/default/files/styles/case_slider_image/public/user/21253/img-0001-00227.jpg?itok=QrJsf6kD
  • https://radiomed.ru/sites/default/files/styles/case_slider_image/public/user/21253/img-0001-00228.jpg?itok=LLAZq0ks
  • https://radiomed.ru/sites/default/files/styles/case_slider_image/public/user/21253/img-0001-00229.jpg?itok=GXnD-WOF
  • https://radiomed.ru/sites/default/files/styles/case_slider_image/public/user/21253/img-0001-00230.jpg?itok=VW9dIq-y
  • https://radiomed.ru/sites/default/files/styles/case_slider_image/public/user/21253/img-0001-00231.jpg?itok=Nw9PpCuu
  • https://radiomed.ru/sites/default/files/styles/case_slider_image/public/user/21253/img-0001-00232.jpg?itok=yc7RLQeX
  • https://radiomed.ru/sites/default/files/styles/case_slider_image/public/user/21253/img-0001-00233.jpg?itok=zJb8O1zt
  • https://radiomed.ru/sites/default/files/styles/case_slider_image/public/user/21253/img-0001-00234.jpg?itok=j-A8icpf
  • https://radiomed.ru/sites/default/files/styles/case_slider_image/public/user/21253/img-0001-00235.jpg?itok=vuhygUYF
  • https://radiomed.ru/sites/default/files/styles/case_slider_image/public/user/21253/img-0001-00236.jpg?itok=t3UmtXEa
  • https://radiomed.ru/sites/default/files/styles/case_slider_image/public/user/21253/img-0001-00237.jpg?itok=hSFcuKqm
  • https://radiomed.ru/sites/default/files/styles/case_slider_image/public/user/21253/img-0001-00238.jpg?itok=eqFFTuYN
  • https://radiomed.ru/sites/default/files/styles/case_slider_image/public/user/21253/img-0001-00239.jpg?itok=vJnfl-r8
  • https://radiomed.ru/sites/default/files/styles/case_slider_image/public/user/21253/img-0001-00240.jpg?itok=bLXcjV4E
  • https://radiomed.ru/sites/default/files/styles/case_slider_image/public/user/21253/img-0001-00241.jpg?itok=jJ9cPkTV
  • https://radiomed.ru/sites/default/files/styles/case_slider_image/public/user/21253/img-0001-00242.jpg?itok=geLMzzIh
  • https://radiomed.ru/sites/default/files/styles/case_slider_image/public/user/21253/img-0001-00243.jpg?itok=i3cLhdDR
  • https://radiomed.ru/sites/default/files/styles/case_slider_image/public/user/21253/img-0001-00244.jpg?itok=qk5B31dx
  • https://radiomed.ru/sites/default/files/styles/case_slider_image/public/user/21253/img-0001-00245.jpg?itok=8Ybpuqsa
  • https://radiomed.ru/sites/default/files/styles/case_slider_image/public/user/21253/img-0001-00246.jpg?itok=-oLe6eWd
  • https://radiomed.ru/sites/default/files/styles/case_slider_image/public/user/21253/img-0001-00247.jpg?itok=b-EPzIKB
  • https://radiomed.ru/sites/default/files/styles/case_slider_image/public/user/21253/img-0001-00248.jpg?itok=Doe6_2Xa
  • https://radiomed.ru/sites/default/files/styles/case_slider_image/public/user/21253/img-0001-00249.jpg?itok=1jotCa9c
  • https://radiomed.ru/sites/default/files/styles/case_slider_image/public/user/21253/img-0001-00250.jpg?itok=IUo-Wh5U
  • https://radiomed.ru/sites/default/files/styles/case_slider_image/public/user/21253/img-0001-00251.jpg?itok=mE64AYrM
  • https://radiomed.ru/sites/default/files/styles/case_slider_image/public/user/21253/img-0001-00252.jpg?itok=SGeDLXIC
  • https://radiomed.ru/sites/default/files/styles/case_slider_image/public/user/21253/img-0001-00253.jpg?itok=OL8uESew
  • https://radiomed.ru/sites/default/files/styles/case_slider_image/public/user/21253/img-0001-00254.jpg?itok=2X5yjZPr
  • https://radiomed.ru/sites/default/files/styles/case_slider_image/public/user/21253/img-0001-00255.jpg?itok=iLh40h5m
  • https://radiomed.ru/sites/default/files/styles/case_slider_image/public/user/21253/img-0001-00256.jpg?itok=CH8S3qh2
  • https://radiomed.ru/sites/default/files/styles/case_slider_image/public/user/21253/img-0001-00257.jpg?itok=U3Nkyctj
  • https://radiomed.ru/sites/default/files/styles/case_slider_image/public/user/21253/img-0001-00258.jpg?itok=MUE6m3M3
  • https://radiomed.ru/sites/default/files/styles/case_slider_image/public/user/21253/img-0001-00259.jpg?itok=DkKrVZPa
  • https://radiomed.ru/sites/default/files/styles/case_slider_image/public/user/21253/img-0001-00260.jpg?itok=hywhr6Y0
  • https://radiomed.ru/sites/default/files/styles/case_slider_image/public/user/21253/img-0001-00261.jpg?itok=NkR2-Ww6
  • https://radiomed.ru/sites/default/files/styles/case_slider_image/public/user/21253/img-0001-00262.jpg?itok=6x_Lld5H
  • https://radiomed.ru/sites/default/files/styles/case_slider_image/public/user/21253/img-0001-00263.jpg?itok=0MQ1-11c
  • https://radiomed.ru/sites/default/files/styles/case_slider_image/public/user/21253/img-0001-00264.jpg?itok=8mHfA53Z
  • https://radiomed.ru/sites/default/files/styles/case_slider_image/public/user/21253/img-0001-00265.jpg?itok=9TdEnYjz
  • https://radiomed.ru/sites/default/files/styles/case_slider_image/public/user/21253/img-0001-00266.jpg?itok=xJv2TjVG
  • https://radiomed.ru/sites/default/files/styles/case_slider_image/public/user/21253/img-0001-00267.jpg?itok=IKD8byja
  • https://radiomed.ru/sites/default/files/styles/case_slider_image/public/user/21253/img-0001-00268.jpg?itok=X0REsPex
  • https://radiomed.ru/sites/default/files/styles/case_slider_image/public/user/21253/img-0001-00269.jpg?itok=AZkjFGKf
  • https://radiomed.ru/sites/default/files/styles/case_slider_image/public/user/21253/img-0001-00270.jpg?itok=jTcooHlL
  • https://radiomed.ru/sites/default/files/styles/case_slider_image/public/user/21253/img-0001-00271.jpg?itok=qmFBMXvU
  • https://radiomed.ru/sites/default/files/styles/case_slider_image/public/user/21253/img-0001-00272.jpg?itok=IypNyBWQ
  • https://radiomed.ru/sites/default/files/styles/case_slider_image/public/user/21253/img-0001-00273.jpg?itok=baUkA25B
  • https://radiomed.ru/sites/default/files/styles/case_slider_image/public/user/21253/img-0001-00274.jpg?itok=x1XlR2rx
  • https://radiomed.ru/sites/default/files/styles/case_slider_image/public/user/21253/img-0001-00275.jpg?itok=UvPnqac3
  • https://radiomed.ru/sites/default/files/styles/case_slider_image/public/user/21253/img-0001-00276.jpg?itok=SZOUSWXW
  • https://radiomed.ru/sites/default/files/styles/case_slider_image/public/user/21253/img-0001-00277.jpg?itok=JmZv4Hcp
  • https://radiomed.ru/sites/default/files/styles/case_slider_image/public/user/21253/img-0001-00278.jpg?itok=6eTPrAne
  • https://radiomed.ru/sites/default/files/styles/case_slider_image/public/user/21253/img-0001-00279.jpg?itok=dvRmZBPQ
  • https://radiomed.ru/sites/default/files/styles/case_slider_image/public/user/21253/img-0001-00280.jpg?itok=kb-3nqxD
  • https://radiomed.ru/sites/default/files/styles/case_slider_image/public/user/21253/img-0001-00281.jpg?itok=Ut37I4qU
  • https://radiomed.ru/sites/default/files/styles/case_slider_image/public/user/21253/img-0001-00282.jpg?itok=ZYgLu8U-
  • https://radiomed.ru/sites/default/files/styles/case_slider_image/public/user/21253/img-0001-00283.jpg?itok=qeW4Qys4
  • https://radiomed.ru/sites/default/files/styles/case_slider_image/public/user/21253/img-0001-00284.jpg?itok=5SedM_bZ
  • https://radiomed.ru/sites/default/files/styles/case_slider_image/public/user/21253/img-0001-00285.jpg?itok=fjsMUlnv
  • https://radiomed.ru/sites/default/files/styles/case_slider_image/public/user/21253/img-0001-00286.jpg?itok=D3EVahHK
  • https://radiomed.ru/sites/default/files/styles/case_slider_image/public/user/21253/img-0001-00287.jpg?itok=Atihl-xV
  • https://radiomed.ru/sites/default/files/styles/case_slider_image/public/user/21253/img-0001-00288.jpg?itok=55DuesK_
  • https://radiomed.ru/sites/default/files/styles/case_slider_image/public/user/21253/img-0001-00289.jpg?itok=ZMzDXIPC
  • https://radiomed.ru/sites/default/files/styles/case_slider_image/public/user/21253/img-0001-00290.jpg?itok=gbOlI9Tr
  • https://radiomed.ru/sites/default/files/styles/case_slider_image/public/user/21253/img-0001-00291.jpg?itok=hsFCBZ3_
  • https://radiomed.ru/sites/default/files/styles/case_slider_image/public/user/21253/img-0001-00292.jpg?itok=d7KwkEM7
  • https://radiomed.ru/sites/default/files/styles/case_slider_image/public/user/21253/img-0001-00293.jpg?itok=3QHNX0AW
  • https://radiomed.ru/sites/default/files/styles/case_slider_image/public/user/21253/img-0001-00294.jpg?itok=Ud5d2AG_
  • https://radiomed.ru/sites/default/files/styles/case_slider_image/public/user/21253/img-0001-00295.jpg?itok=ka38z8em
  • https://radiomed.ru/sites/default/files/styles/case_slider_image/public/user/21253/img-0001-00296.jpg?itok=W4AgeAYE
  • https://radiomed.ru/sites/default/files/styles/case_slider_image/public/user/21253/img-0001-00297.jpg?itok=I_TTnsIR
  • https://radiomed.ru/sites/default/files/styles/case_slider_image/public/user/21253/img-0001-00298.jpg?itok=DnR5uFqo
  • https://radiomed.ru/sites/default/files/styles/case_slider_image/public/user/21253/img-0001-00299.jpg?itok=bCIaLtVh
  • https://radiomed.ru/sites/default/files/styles/case_slider_image/public/user/21253/img-0001-00300.jpg?itok=8Z60skUZ
  • https://radiomed.ru/sites/default/files/styles/case_slider_image/public/user/21253/img-0001-00301.jpg?itok=IJHThHOY
  • https://radiomed.ru/sites/default/files/styles/case_slider_image/public/user/21253/img-0001-00302.jpg?itok=5ffzj0QR
  • https://radiomed.ru/sites/default/files/styles/case_slider_image/public/user/21253/img-0001-00303.jpg?itok=SuIcTSxe
  • https://radiomed.ru/sites/default/files/styles/case_slider_image/public/user/21253/img-0001-00304.jpg?itok=nopOMhsf
  • https://radiomed.ru/sites/default/files/styles/case_slider_image/public/user/21253/img-0001-00305.jpg?itok=LDVItnhI
  • https://radiomed.ru/sites/default/files/styles/case_slider_image/public/user/21253/img-0001-00306.jpg?itok=UeDncdBJ
  • https://radiomed.ru/sites/default/files/styles/case_slider_image/public/user/21253/img-0001-00307.jpg?itok=V5n4_nV5
  • https://radiomed.ru/sites/default/files/styles/case_slider_image/public/user/21253/img-0001-00308.jpg?itok=KBSybmkf
  • https://radiomed.ru/sites/default/files/styles/case_slider_image/public/user/21253/img-0001-00309.jpg?itok=pU2AA3Ts
  • https://radiomed.ru/sites/default/files/styles/case_slider_image/public/user/21253/img-0001-00310.jpg?itok=4eZcYN2Z
  • https://radiomed.ru/sites/default/files/styles/case_slider_image/public/user/21253/img-0001-00311.jpg?itok=fZfQwBsv
  • https://radiomed.ru/sites/default/files/styles/case_slider_image/public/user/21253/img-0001-00312.jpg?itok=SzZXCaHk
  • https://radiomed.ru/sites/default/files/styles/case_slider_image/public/user/21253/img-0001-00313.jpg?itok=UecjpbNG
  • https://radiomed.ru/sites/default/files/styles/case_slider_image/public/user/21253/img-0001-00314.jpg?itok=GkHfGFNV
  • https://radiomed.ru/sites/default/files/styles/case_slider_image/public/user/21253/img-0001-00315.jpg?itok=7FBLVdgf
  • https://radiomed.ru/sites/default/files/styles/case_slider_image/public/user/21253/img-0001-00316.jpg?itok=nHXid2VI
  • https://radiomed.ru/sites/default/files/styles/case_slider_image/public/user/21253/img-0001-00317.jpg?itok=BLFwVOHe
  • https://radiomed.ru/sites/default/files/styles/case_slider_image/public/user/21253/img-0001-00318.jpg?itok=pkEtbmGb
  • https://radiomed.ru/sites/default/files/styles/case_slider_image/public/user/21253/img-0001-00319.jpg?itok=_HInfOhR
  • https://radiomed.ru/sites/default/files/styles/case_slider_image/public/user/21253/img-0001-00320.jpg?itok=Z95TsnLA
  • https://radiomed.ru/sites/default/files/styles/case_slider_image/public/user/21253/img-0001-00321.jpg?itok=erbqiVNw
  • https://radiomed.ru/sites/default/files/styles/case_slider_image/public/user/21253/img-0001-00322.jpg?itok=y3VVeVzW
  • https://radiomed.ru/sites/default/files/styles/case_slider_image/public/user/21253/img-0001-00323.jpg?itok=IphxM8S5
  • https://radiomed.ru/sites/default/files/styles/case_slider_image/public/user/21253/img-0001-00324.jpg?itok=Lekv4B7W
  • https://radiomed.ru/sites/default/files/styles/case_slider_image/public/user/21253/img-0001-00325.jpg?itok=EbUYr0dw
  • https://radiomed.ru/sites/default/files/styles/case_slider_image/public/user/21253/img-0001-00326.jpg?itok=rVUjMYbP
  • https://radiomed.ru/sites/default/files/styles/case_slider_image/public/user/21253/img-0001-00327.jpg?itok=clcfFXLu
  • https://radiomed.ru/sites/default/files/styles/case_slider_image/public/user/21253/img-0001-00328.jpg?itok=PiSrs4rV
  • https://radiomed.ru/sites/default/files/styles/case_slider_image/public/user/21253/img-0001-00329.jpg?itok=Kbvqc0TB
  • https://radiomed.ru/sites/default/files/styles/case_slider_image/public/user/21253/img-0001-00330.jpg?itok=sPMobhoa
  • https://radiomed.ru/sites/default/files/styles/case_slider_image/public/user/21253/img-0001-00331.jpg?itok=JWIyh4kl
  • https://radiomed.ru/sites/default/files/styles/case_slider_image/public/user/21253/img-0001-00332.jpg?itok=LvhXgOb4
  • https://radiomed.ru/sites/default/files/styles/case_slider_image/public/user/21253/img-0001-00333.jpg?itok=00SG0djV
  • https://radiomed.ru/sites/default/files/styles/case_slider_image/public/user/21253/img-0001-00334.jpg?itok=eIyt1nxd
  • https://radiomed.ru/sites/default/files/styles/case_slider_image/public/user/21253/img-0001-00335.jpg?itok=4DvsvLZo
  • https://radiomed.ru/sites/default/files/styles/case_slider_image/public/user/21253/img-0001-00336.jpg?itok=aD_uc85a
  • https://radiomed.ru/sites/default/files/styles/case_slider_image/public/user/21253/img-0001-00337.jpg?itok=s94fMD7M
  • https://radiomed.ru/sites/default/files/styles/case_slider_image/public/user/21253/img-0001-00338.jpg?itok=Fvnn-Bfy
  • https://radiomed.ru/sites/default/files/styles/case_slider_image/public/user/21253/img-0001-00339.jpg?itok=ZBXg4oR7
  • https://radiomed.ru/sites/default/files/styles/case_slider_image/public/user/21253/img-0001-00340.jpg?itok=CcVR0zZE
  • https://radiomed.ru/sites/default/files/styles/case_slider_image/public/user/21253/img-0001-00341.jpg?itok=09MC9RxK
  • https://radiomed.ru/sites/default/files/styles/case_slider_image/public/user/21253/img-0001-00342.jpg?itok=IGxrPu2C
  • https://radiomed.ru/sites/default/files/styles/case_slider_image/public/user/21253/img-0001-00343.jpg?itok=ed2OZqQG
  • https://radiomed.ru/sites/default/files/styles/case_slider_image/public/user/21253/img-0001-00344.jpg?itok=1wA2gBq4
  • https://radiomed.ru/sites/default/files/styles/case_slider_image/public/user/21253/img-0001-00345.jpg?itok=2LcNfG7Z
  • https://radiomed.ru/sites/default/files/styles/case_slider_image/public/user/21253/img-0001-00346.jpg?itok=98h524DG
  • https://radiomed.ru/sites/default/files/styles/case_slider_image/public/user/21253/img-0001-00347.jpg?itok=FeDV54HZ
  • https://radiomed.ru/sites/default/files/styles/case_slider_image/public/user/21253/img-0001-00348.jpg?itok=Jbg15EDq
  • https://radiomed.ru/sites/default/files/styles/case_slider_image/public/user/21253/img-0001-00349.jpg?itok=y_aye6su
  • https://radiomed.ru/sites/default/files/styles/case_slider_image/public/user/21253/img-0001-00350.jpg?itok=MQKhnvNF
  • https://radiomed.ru/sites/default/files/styles/case_slider_image/public/user/21253/img-0001-00351.jpg?itok=VAxYZzos
  • https://radiomed.ru/sites/default/files/styles/case_slider_image/public/user/21253/img-0001-00352.jpg?itok=ugz30XyK
  • https://radiomed.ru/sites/default/files/styles/case_slider_image/public/user/21253/img-0001-00353.jpg?itok=BQgGJ8xL
  • https://radiomed.ru/sites/default/files/styles/case_slider_image/public/user/21253/img-0001-00354.jpg?itok=MCPj1rRl
  • https://radiomed.ru/sites/default/files/styles/case_slider_image/public/user/21253/img-0001-00355.jpg?itok=YPf8x6Gj
  • https://radiomed.ru/sites/default/files/styles/case_slider_image/public/user/21253/img-0001-00356.jpg?itok=wpsbsmyb
  • https://radiomed.ru/sites/default/files/styles/case_slider_image/public/user/21253/img-0001-00357.jpg?itok=oFqKH92E
  • https://radiomed.ru/sites/default/files/styles/case_slider_image/public/user/21253/img-0001-00358.jpg?itok=_JOunPxd
  • https://radiomed.ru/sites/default/files/styles/case_slider_image/public/user/21253/img-0001-00359.jpg?itok=C_Dj9Uoa
  • https://radiomed.ru/sites/default/files/styles/case_slider_image/public/user/21253/img-0001-00360.jpg?itok=wPt6xZAF
  • https://radiomed.ru/sites/default/files/styles/case_slider_image/public/user/21253/img-0001-00361.jpg?itok=UIB-UKva
  • https://radiomed.ru/sites/default/files/styles/case_slider_image/public/user/21253/img-0001-00362.jpg?itok=mvBxMuIe
  • https://radiomed.ru/sites/default/files/styles/case_slider_image/public/user/21253/img-0001-00363.jpg?itok=S6qYqrHw
  • https://radiomed.ru/sites/default/files/styles/case_slider_image/public/user/21253/img-0001-00364.jpg?itok=NkupDD0D
  • https://radiomed.ru/sites/default/files/styles/case_slider_image/public/user/21253/img-0001-00365.jpg?itok=uPevRGjT
  • https://radiomed.ru/sites/default/files/styles/case_slider_image/public/user/21253/img-0001-00366.jpg?itok=WiG1xdQH
  • https://radiomed.ru/sites/default/files/styles/case_slider_image/public/user/21253/img-0001-00367.jpg?itok=AH-vig2e
  • https://radiomed.ru/sites/default/files/styles/case_slider_image/public/user/21253/img-0001-00368.jpg?itok=-vPI5pBJ
  • https://radiomed.ru/sites/default/files/styles/case_slider_image/public/user/21253/img-0001-00369.jpg?itok=qvgGqD1k
  • https://radiomed.ru/sites/default/files/styles/case_slider_image/public/user/21253/img-0001-00370.jpg?itok=Tbd0CIJh
  • https://radiomed.ru/sites/default/files/styles/case_slider_image/public/user/21253/img-0001-00371.jpg?itok=opm3vGbc
  • https://radiomed.ru/sites/default/files/styles/case_slider_image/public/user/21253/img-0001-00372.jpg?itok=GbyBJJ9R
  • https://radiomed.ru/sites/default/files/styles/case_slider_image/public/user/21253/img-0001-00373.jpg?itok=7D7rQUT-
  • https://radiomed.ru/sites/default/files/styles/case_slider_image/public/user/21253/img-0001-00374.jpg?itok=NPH7TAcJ
  • https://radiomed.ru/sites/default/files/styles/case_slider_image/public/user/21253/img-0001-00375.jpg?itok=QGPDxwPY
  • https://radiomed.ru/sites/default/files/styles/case_slider_image/public/user/21253/img-0001-00376.jpg?itok=Vb3GsjOm
  • https://radiomed.ru/sites/default/files/styles/case_slider_image/public/user/21253/img-0001-00377.jpg?itok=QjOcbLTT
  • https://radiomed.ru/sites/default/files/styles/case_slider_image/public/user/21253/img-0001-00378.jpg?itok=5HwvNAZs
  • https://radiomed.ru/sites/default/files/styles/case_slider_image/public/user/21253/img-0001-00379.jpg?itok=_XK35nIb
  • https://radiomed.ru/sites/default/files/styles/case_slider_image/public/user/21253/img-0001-00380.jpg?itok=M74b_q5M
  • https://radiomed.ru/sites/default/files/styles/case_slider_image/public/user/21253/img-0001-00381.jpg?itok=yOUK_Iva
  • https://radiomed.ru/sites/default/files/styles/case_slider_image/public/user/21253/img-0001-00382.jpg?itok=MNtCnYQ-
  • https://radiomed.ru/sites/default/files/styles/case_slider_image/public/user/21253/img-0001-00383.jpg?itok=HW_-kC7k
  • https://radiomed.ru/sites/default/files/styles/case_slider_image/public/user/21253/img-0001-00384.jpg?itok=8ujfrxOn
  • https://radiomed.ru/sites/default/files/styles/case_slider_image/public/user/21253/img-0001-00385.jpg?itok=TC8UI_Vc
  • https://radiomed.ru/sites/default/files/styles/case_slider_image/public/user/21253/img-0001-00386.jpg?itok=xwyvoDRF
  • https://radiomed.ru/sites/default/files/styles/case_slider_image/public/user/21253/img-0001-00387.jpg?itok=a-VZwUHU
  • https://radiomed.ru/sites/default/files/styles/case_slider_image/public/user/21253/img-0001-00388.jpg?itok=XmS6mu9u
  • https://radiomed.ru/sites/default/files/styles/case_slider_image/public/user/21253/img-0001-00389.jpg?itok=NpdWgnqt
  • https://radiomed.ru/sites/default/files/styles/case_slider_image/public/user/21253/img-0001-00390.jpg?itok=ZI4ChH49
  • https://radiomed.ru/sites/default/files/styles/case_slider_image/public/user/21253/img-0001-00391.jpg?itok=ipqOKuNa
  • https://radiomed.ru/sites/default/files/styles/case_slider_image/public/user/21253/img-0001-00392.jpg?itok=8hczYjdK
  • https://radiomed.ru/sites/default/files/styles/case_slider_image/public/user/21253/img-0001-00393.jpg?itok=TtsOU9es
  • https://radiomed.ru/sites/default/files/styles/case_slider_image/public/user/21253/img-0001-00394.jpg?itok=2ub9ADmq
  • https://radiomed.ru/sites/default/files/styles/case_slider_image/public/user/21253/img-0001-00395.jpg?itok=vYDQVCdc
  • https://radiomed.ru/sites/default/files/styles/case_slider_image/public/user/21253/img-0001-00396.jpg?itok=yBjBhvPV
  • https://radiomed.ru/sites/default/files/styles/case_slider_image/public/user/21253/img-0001-00397.jpg?itok=eLrpZaat
  • https://radiomed.ru/sites/default/files/styles/case_slider_image/public/user/21253/img-0001-00398.jpg?itok=Vb2vc_uu
  • https://radiomed.ru/sites/default/files/styles/case_slider_image/public/user/21253/img-0001-00399.jpg?itok=ftyDb4C-
  • https://radiomed.ru/sites/default/files/styles/case_slider_image/public/user/21253/img-0001-00400.jpg?itok=bke0gEVY
  • https://radiomed.ru/sites/default/files/styles/case_slider_image/public/user/21253/img-0001-00401.jpg?itok=0_4wGUyB
  • https://radiomed.ru/sites/default/files/styles/case_slider_image/public/user/21253/img-0001-00402.jpg?itok=Yn7EOuAC
  • https://radiomed.ru/sites/default/files/styles/case_slider_image/public/user/21253/img-0001-00403.jpg?itok=Q2du9SXB
  • https://radiomed.ru/sites/default/files/styles/case_slider_image/public/user/21253/img-0001-00404.jpg?itok=8DkUXGoC
  • https://radiomed.ru/sites/default/files/styles/case_slider_image/public/user/21253/img-0001-00405.jpg?itok=80BQhG3c
  • https://radiomed.ru/sites/default/files/styles/case_slider_image/public/user/21253/img-0001-00406.jpg?itok=sRttLFyT
  • https://radiomed.ru/sites/default/files/styles/case_slider_image/public/user/21253/img-0001-00407.jpg?itok=LCjt_wNK
  • https://radiomed.ru/sites/default/files/styles/case_slider_image/public/user/21253/img-0001-00408.jpg?itok=Uwb-A4mC
  • https://radiomed.ru/sites/default/files/styles/case_slider_image/public/user/21253/img-0001-00409.jpg?itok=VOjb2SVg
  • https://radiomed.ru/sites/default/files/styles/case_slider_image/public/user/21253/img-0001-00410.jpg?itok=ahbC1iBh
  • https://radiomed.ru/sites/default/files/styles/case_slider_image/public/user/21253/img-0001-00411.jpg?itok=osoYlmH1
  • https://radiomed.ru/sites/default/files/styles/case_slider_image/public/user/21253/img-0001-00412.jpg?itok=_JYwQe3y
  • https://radiomed.ru/sites/default/files/styles/case_slider_image/public/user/21253/img-0001-00413.jpg?itok=1mNgKRGf
  • https://radiomed.ru/sites/default/files/styles/case_slider_image/public/user/21253/img-0001-00414.jpg?itok=7fd1rUOF
  • https://radiomed.ru/sites/default/files/styles/case_slider_image/public/user/21253/img-0001-00415.jpg?itok=pQJibtBT
  • https://radiomed.ru/sites/default/files/styles/case_slider_image/public/user/21253/img-0001-00416.jpg?itok=wzVoi6Yl
  • https://radiomed.ru/sites/default/files/styles/case_slider_image/public/user/21253/img-0001-00417.jpg?itok=07kBHUlj
  • https://radiomed.ru/sites/default/files/styles/case_slider_image/public/user/21253/img-0001-00418.jpg?itok=mUUmbPyo
  • https://radiomed.ru/sites/default/files/styles/case_slider_image/public/user/21253/img-0001-00419.jpg?itok=yS3N2GZo
  • https://radiomed.ru/sites/default/files/styles/case_slider_image/public/user/21253/img-0001-00420.jpg?itok=egSpab_s
  • https://radiomed.ru/sites/default/files/styles/case_slider_image/public/user/21253/img-0001-00421.jpg?itok=gR2HyzIK
  • https://radiomed.ru/sites/default/files/styles/case_slider_image/public/user/21253/img-0001-00422.jpg?itok=7Wyb4tGv
  • https://radiomed.ru/sites/default/files/styles/case_slider_image/public/user/21253/img-0001-00423.jpg?itok=SYFOLmKd
  • https://radiomed.ru/sites/default/files/styles/case_slider_image/public/user/21253/img-0001-00424.jpg?itok=nWeosEU8
  • https://radiomed.ru/sites/default/files/styles/case_slider_image/public/user/21253/img-0001-00425.jpg?itok=-wG-G-YD
  • https://radiomed.ru/sites/default/files/styles/case_slider_image/public/user/21253/img-0001-00426.jpg?itok=PBC0BFiN
  • https://radiomed.ru/sites/default/files/styles/case_slider_image/public/user/21253/img-0001-00427.jpg?itok=dsX7LfhS
  • https://radiomed.ru/sites/default/files/styles/case_slider_image/public/user/21253/img-0001-00428.jpg?itok=c5VFGRjD
  • https://radiomed.ru/sites/default/files/styles/case_slider_image/public/user/21253/img-0001-00429.jpg?itok=Vdy-Ik3Z
  • https://radiomed.ru/sites/default/files/styles/case_slider_image/public/user/21253/img-0001-00430.jpg?itok=ElNKS91i
  • https://radiomed.ru/sites/default/files/styles/case_slider_image/public/user/21253/img-0001-00431.jpg?itok=3DS3wgLY
  • https://radiomed.ru/sites/default/files/styles/case_slider_image/public/user/21253/img-0001-00432.jpg?itok=yL2aAcN7
  • https://radiomed.ru/sites/default/files/styles/case_slider_image/public/user/21253/img-0001-00433.jpg?itok=bIee7z8i
  • https://radiomed.ru/sites/default/files/styles/case_slider_image/public/user/21253/img-0001-00434.jpg?itok=vi6oe3_Z
  • https://radiomed.ru/sites/default/files/styles/case_slider_image/public/user/21253/img-0001-00435.jpg?itok=PkLdqd5H
  • https://radiomed.ru/sites/default/files/styles/case_slider_image/public/user/21253/img-0001-00436.jpg?itok=qYQrOXKs
  • https://radiomed.ru/sites/default/files/styles/case_slider_image/public/user/21253/img-0001-00437.jpg?itok=JyW_XRf4
  • https://radiomed.ru/sites/default/files/styles/case_slider_image/public/user/21253/img-0001-00438.jpg?itok=1S_qUEzp
  • https://radiomed.ru/sites/default/files/styles/case_slider_image/public/user/21253/img-0001-00439.jpg?itok=ljKCvpCz
  • https://radiomed.ru/sites/default/files/styles/case_slider_image/public/user/21253/img-0001-00440.jpg?itok=Kc5guSMC
  • https://radiomed.ru/sites/default/files/styles/case_slider_image/public/user/21253/img-0001-00441.jpg?itok=eVeDS52H
  • https://radiomed.ru/sites/default/files/styles/case_slider_image/public/user/21253/img-0001-00442.jpg?itok=aLvqDUWj
  • https://radiomed.ru/sites/default/files/styles/case_slider_image/public/user/21253/img-0001-00443.jpg?itok=0N1ZPytt
  • https://radiomed.ru/sites/default/files/styles/case_slider_image/public/user/21253/img-0001-00444.jpg?itok=TPVerVT_
  • https://radiomed.ru/sites/default/files/styles/case_slider_image/public/user/21253/img-0001-00445.jpg?itok=wLfYPbCA
  • https://radiomed.ru/sites/default/files/styles/case_slider_image/public/user/21253/img-0001-00446.jpg?itok=WKcLuG-W
  • https://radiomed.ru/sites/default/files/styles/case_slider_image/public/user/21253/img-0001-00447.jpg?itok=kEEqG5Uo
  • https://radiomed.ru/sites/default/files/styles/case_slider_image/public/user/21253/img-0001-00448.jpg?itok=Sdgz5TN8
  • https://radiomed.ru/sites/default/files/styles/case_slider_image/public/user/21253/img-0001-00449.jpg?itok=wNMxkSZU
  • https://radiomed.ru/sites/default/files/styles/case_slider_image/public/user/21253/img-0001-00450.jpg?itok=c_WOSqjj
  • https://radiomed.ru/sites/default/files/styles/case_slider_image/public/user/21253/img-0001-00451.jpg?itok=9IA817aY
  • https://radiomed.ru/sites/default/files/styles/case_slider_image/public/user/21253/img-0001-00452.jpg?itok=l3B4iNbm
  • https://radiomed.ru/sites/default/files/styles/case_slider_image/public/user/21253/img-0001-00453.jpg?itok=yMcd4zG4
  • https://radiomed.ru/sites/default/files/styles/case_slider_image/public/user/21253/img-0001-00454.jpg?itok=tVrPHwmu
  • https://radiomed.ru/sites/default/files/styles/case_slider_image/public/user/21253/img-0001-00455.jpg?itok=_fwbP7W0
  • https://radiomed.ru/sites/default/files/styles/case_slider_image/public/user/21253/img-0001-00456.jpg?itok=RQeWvwr0
  • https://radiomed.ru/sites/default/files/styles/case_slider_image/public/user/21253/img-0001-00457.jpg?itok=TqO85s7e
  • https://radiomed.ru/sites/default/files/styles/case_slider_image/public/user/21253/img-0001-00458.jpg?itok=d8xbEPuR
  • https://radiomed.ru/sites/default/files/styles/case_slider_image/public/user/21253/img-0001-00459.jpg?itok=FrXHjBfA
  • https://radiomed.ru/sites/default/files/styles/case_slider_image/public/user/21253/img-0001-00460.jpg?itok=zi-cRdF2
  • https://radiomed.ru/sites/default/files/styles/case_slider_image/public/user/21253/img-0001-00461.jpg?itok=cHv3uFuf
  • https://radiomed.ru/sites/default/files/styles/case_slider_image/public/user/21253/img-0001-00462.jpg?itok=VreXLKlt
  • https://radiomed.ru/sites/default/files/styles/case_slider_image/public/user/21253/img-0001-00463.jpg?itok=RbzjAPW9
  • https://radiomed.ru/sites/default/files/styles/case_slider_image/public/user/21253/img-0001-00464.jpg?itok=sotan3CH
  • https://radiomed.ru/sites/default/files/styles/case_slider_image/public/user/21253/img-0001-00465.jpg?itok=iFPT3kHX
  • https://radiomed.ru/sites/default/files/styles/case_slider_image/public/user/21253/img-0001-00466.jpg?itok=T6HyJAgc
  • https://radiomed.ru/sites/default/files/styles/case_slider_image/public/user/21253/img-0001-00467.jpg?itok=whRHVdQH
  • https://radiomed.ru/sites/default/files/styles/case_slider_image/public/user/21253/img-0001-00468.jpg?itok=U3e5fd8B
  • https://radiomed.ru/sites/default/files/styles/case_slider_image/public/user/21253/img-0001-00469.jpg?itok=9Sx1uRdv
  • https://radiomed.ru/sites/default/files/styles/case_slider_image/public/user/21253/img-0001-00470.jpg?itok=n_cMFyJM
  • https://radiomed.ru/sites/default/files/styles/case_slider_image/public/user/21253/img-0001-00471.jpg?itok=on30kNp-
  • https://radiomed.ru/sites/default/files/styles/case_slider_image/public/user/21253/img-0001-00472.jpg?itok=uiQDGvbD
  • https://radiomed.ru/sites/default/files/styles/case_slider_image/public/user/21253/img-0001-00473.jpg?itok=_adV0ewN
  • https://radiomed.ru/sites/default/files/styles/case_slider_image/public/user/21253/img-0001-00474.jpg?itok=otA3nkMs
  • https://radiomed.ru/sites/default/files/styles/case_slider_image/public/user/21253/img-0001-00475.jpg?itok=UwpOKPfJ
  • https://radiomed.ru/sites/default/files/styles/case_slider_image/public/user/21253/img-0001-00476.jpg?itok=E81Qq9Ea
  • https://radiomed.ru/sites/default/files/styles/case_slider_image/public/user/21253/img-0001-00477.jpg?itok=UsDUtOvA
  • https://radiomed.ru/sites/default/files/styles/case_slider_image/public/user/21253/img-0001-00478.jpg?itok=VdgA9bW4
  • https://radiomed.ru/sites/default/files/styles/case_slider_image/public/user/21253/img-0001-00479.jpg?itok=Vy8VqCtF
  • https://radiomed.ru/sites/default/files/styles/case_slider_image/public/user/21253/img-0001-00480.jpg?itok=nniychpb
  • https://radiomed.ru/sites/default/files/styles/case_slider_image/public/user/21253/img-0001-00481.jpg?itok=NSeQMZ-b
  • https://radiomed.ru/sites/default/files/styles/case_slider_image/public/user/21253/img-0001-00482.jpg?itok=9xUXfemB
  • https://radiomed.ru/sites/default/files/styles/case_slider_image/public/user/21253/img-0001-00483.jpg?itok=EosgNn6f
  • https://radiomed.ru/sites/default/files/styles/case_slider_image/public/user/21253/img-0001-00484.jpg?itok=r_ZHf6Oi
  • https://radiomed.ru/sites/default/files/styles/case_slider_image/public/user/21253/img-0001-00485.jpg?itok=chaemgWT
  • https://radiomed.ru/sites/default/files/styles/case_slider_image/public/user/21253/img-0001-00486.jpg?itok=FlevLyfc
  • https://radiomed.ru/sites/default/files/styles/case_slider_image/public/user/21253/img-0001-00487.jpg?itok=T03U4i1U
  • https://radiomed.ru/sites/default/files/styles/case_slider_image/public/user/21253/img-0001-00488.jpg?itok=1ZPRlH4V
  • https://radiomed.ru/sites/default/files/styles/case_slider_image/public/user/21253/img-0001-00489.jpg?itok=epSe-LTv
  • https://radiomed.ru/sites/default/files/styles/case_slider_image/public/user/21253/img-0001-00490.jpg?itok=EF7rRoJQ
  • https://radiomed.ru/sites/default/files/styles/case_slider_image/public/user/21253/img-0001-00491.jpg?itok=Uik03oM7
  • https://radiomed.ru/sites/default/files/styles/case_slider_image/public/user/21253/img-0001-00492.jpg?itok=gU240ODA
  • https://radiomed.ru/sites/default/files/styles/case_slider_image/public/user/21253/img-0001-00493.jpg?itok=sP0aab5k
  • https://radiomed.ru/sites/default/files/styles/case_slider_image/public/user/21253/img-0001-00494.jpg?itok=yGETHHCj
  • https://radiomed.ru/sites/default/files/styles/case_slider_image/public/user/21253/img-0001-00495.jpg?itok=Ed_QOSJv
  • https://radiomed.ru/sites/default/files/styles/case_slider_image/public/user/21253/img-0001-00496.jpg?itok=0321rhyQ
  • https://radiomed.ru/sites/default/files/styles/case_slider_image/public/user/21253/img-0001-00497.jpg?itok=sZe36l4a
  • https://radiomed.ru/sites/default/files/styles/case_slider_image/public/user/21253/img-0001-00498.jpg?itok=wSli6yfW
  • https://radiomed.ru/sites/default/files/styles/case_slider_image/public/user/21253/img-0001-00499.jpg?itok=UvHZf1ZY
  • https://radiomed.ru/sites/default/files/styles/case_slider_image/public/user/21253/img-0001-00500.jpg?itok=jo1XrdRJ
  • https://radiomed.ru/sites/default/files/styles/case_slider_image/public/user/21253/img-0001-00501.jpg?itok=XXh4EIxp
  • https://radiomed.ru/sites/default/files/styles/case_slider_image/public/user/21253/img-0001-00502.jpg?itok=ubhw4Jkx
  • https://radiomed.ru/sites/default/files/styles/case_slider_image/public/user/21253/img-0001-00503.jpg?itok=scTKI1ZZ
  • https://radiomed.ru/sites/default/files/styles/case_slider_image/public/user/21253/img-0001-00504.jpg?itok=JGYBj21n
  • https://radiomed.ru/sites/default/files/styles/case_slider_image/public/user/21253/img-0001-00505.jpg?itok=MAv0niZg
  • https://radiomed.ru/sites/default/files/styles/case_slider_image/public/user/21253/img-0001-00506.jpg?itok=K16qQdZ1
  • https://radiomed.ru/sites/default/files/styles/case_slider_image/public/user/21253/img-0001-00507.jpg?itok=jja5BAaF
  • https://radiomed.ru/sites/default/files/styles/case_slider_image/public/user/21253/img-0001-00508.jpg?itok=xIIq0EFA
  • https://radiomed.ru/sites/default/files/styles/case_slider_image/public/user/21253/img-0001-00509.jpg?itok=FLP4FkQ-
  • https://radiomed.ru/sites/default/files/styles/case_slider_image/public/user/21253/img-0001-00510.jpg?itok=Rdje8I_t
  • https://radiomed.ru/sites/default/files/styles/case_slider_image/public/user/21253/img-0001-00511.jpg?itok=AzHYgkzj
  • https://radiomed.ru/sites/default/files/styles/case_slider_image/public/user/21253/img-0001-00512.jpg?itok=MfCHeFfr
  • https://radiomed.ru/sites/default/files/styles/case_slider_image/public/user/21253/img-0001-00513.jpg?itok=Vf7tcknU
  • https://radiomed.ru/sites/default/files/styles/case_slider_image/public/user/21253/img-0001-00514.jpg?itok=Q4iDF5j-
  • https://radiomed.ru/sites/default/files/styles/case_slider_image/public/user/21253/img-0001-00515.jpg?itok=GzMB9Grw
  • https://radiomed.ru/sites/default/files/styles/case_slider_image/public/user/21253/img-0001-00516.jpg?itok=Mynx-jQL
  • https://radiomed.ru/sites/default/files/styles/case_slider_image/public/user/21253/img-0001-00517.jpg?itok=4q9tEaG5
  • https://radiomed.ru/sites/default/files/styles/case_slider_image/public/user/21253/img-0001-00518.jpg?itok=yj-OyCvS
  • https://radiomed.ru/sites/default/files/styles/case_slider_image/public/user/21253/img-0001-00519.jpg?itok=_8-JMHc2
  • https://radiomed.ru/sites/default/files/styles/case_slider_image/public/user/21253/img-0001-00520.jpg?itok=tsh9G9-u
  • https://radiomed.ru/sites/default/files/styles/case_slider_image/public/user/21253/img-0001-00521.jpg?itok=mv1Yfh4K
ID:84930
Верификация: 
ДмитрийД аватар
Не на сайте
Был на сайте: 6 месяцев 1 неделя назад
Зарегистрирован: 07.10.2011 - 16:38
Публикации: 768

На мой взгляд нетипично для ковид: много центрально-расположенных поражений, лобарное поражение нижней доли слева. 50/50

И.Бондаренко аватар
Не на сайте
Был на сайте: 1 день 18 часов назад
Зарегистрирован: 13.09.2011 - 22:55
Публикации: 9206

Не типичая картина для ковид.

А. Горюнов аватар
Не на сайте
Был на сайте: 1 месяц 3 недели назад
Зарегистрирован: 07.10.2012 - 12:12
Публикации: 2744

КТ-признаки двусторонней бактериальной пневмонии.

Анатолий Петрович

atexta аватар
Не на сайте
Был на сайте: 2 года 10 месяцев назад
Зарегистрирован: 08.02.2014 - 18:41
Публикации: 4842

Поучилась, спасибо за случай!

Не нам судить…

Agr_Ai аватар
Не на сайте
Был на сайте: 3 месяцев 2 недели назад
Зарегистрирован: 02.09.2014 - 14:10
Публикации: 1393

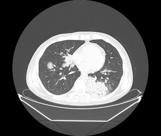
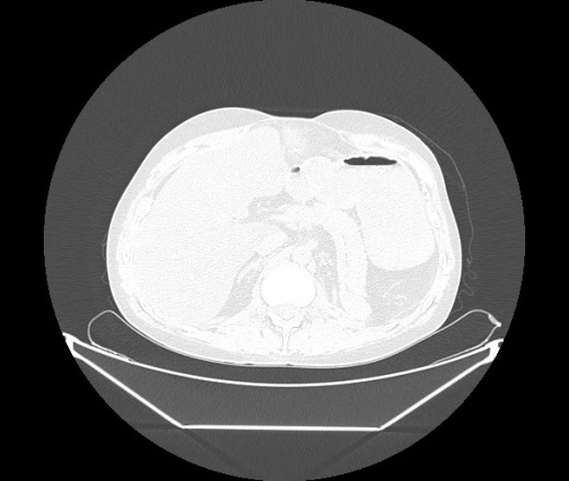
Все верно, здесь абсолютно нетипичная картина, несмотря на матовое стекло с ретикулярными изменениями, но почему-то  посчитали иначе. Кстати,  "малыша" не заметили)?

Agr_Ai аватар
Не на сайте
Был на сайте: 3 месяцев 2 недели назад
Зарегистрирован: 02.09.2014 - 14:10
Публикации: 1393

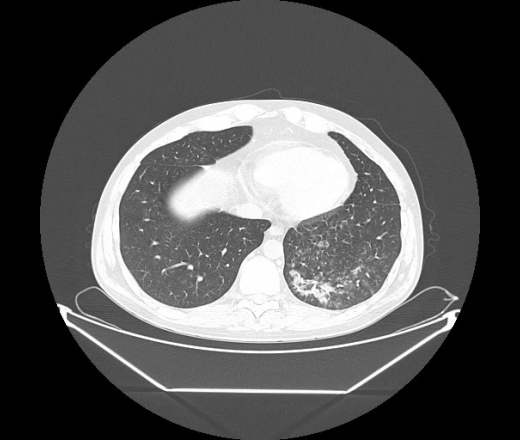
Добавил 6 день

И.Бондаренко аватар
Не на сайте
Был на сайте: 1 день 18 часов назад
Зарегистрирован: 13.09.2011 - 22:55
Публикации: 9206

Agr_Ai wrote:

Кстати,  "малыша" не заметили)?

Что за малыш? Будущий абсцесс? Не заметил. Только о туберкулёзе подумал

atexta аватар
Не на сайте
Был на сайте: 2 года 10 месяцев назад
Зарегистрирован: 08.02.2014 - 18:41
Публикации: 4842

И.Бондаренко wrote:

Agr_Ai wrote:

Кстати,  "малыша" не заметили)?

Что за малыш? Будущий абсцесс? Не заметил. Только о туберкулёзе подумал

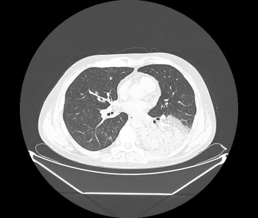
+ 1?  Зона очень похожа была на формирующийся абсцесс, даже по рентгенпризнакам. Еще хотела спросить, но постеснялась. А на контроле видно 

Не нам судить…

ivb аватар
ivb
Не на сайте
Был на сайте: 4 месяцев 19 часов назад
Зарегистрирован: 06.07.2018 - 16:28
Публикации: 1079

Спасибо, интересный случай.
Возбудителя не высеяли?

Agr_Ai аватар
Не на сайте
Был на сайте: 3 месяцев 2 недели назад
Зарегистрирован: 02.09.2014 - 14:10
Публикации: 1393

atexta wrote:

И.Бондаренко wrote:

Agr_Ai wrote:

Кстати,  "малыша" не заметили)?

Что за малыш? Будущий абсцесс? Не заметил. Только о туберкулёзе подумал

+ 1?  Зона очень похожа была на формирующийся абсцесс, даже по рентгенпризнакам. Еще хотела спросить, но постеснялась. А на контроле видно 

да, это я о абсцессе.

Agr_Ai аватар
Не на сайте
Был на сайте: 3 месяцев 2 недели назад
Зарегистрирован: 02.09.2014 - 14:10
Публикации: 1393

ivb wrote:

Спасибо, интересный случай.
Возбудителя не высеяли?

пока нет информации, пцр для галочки сделали на наболевший микроорганизм ,  там отрицательно конечно.