Коленный сустав: есть/был ли перелом?

Пол пациента: 
Тип патологии: 
Область исследования: 
Методы исследования: 

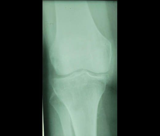
Здравствуйте! Женщина, 65. Из анамнеза - боль в коленях, больше слева. Смущает медиальный мыщелок большеберцовой кости. Как считаете, есть/был ди тут когда-то перелом? Очень странная форма.

  • Коленный сустав
ID:93114
Цель публикации: 
NIL аватар
NIL
Не на сайте
Был на сайте: 2 недели 3 дня назад
Зарегистрирован: 25.11.2013 - 20:50
Публикации: 18208

Я за артроз и хондромные тела.


"Слушай всех, прислушивайся к немногим, решай сам".©

Kapzen аватар
Не на сайте
Был на сайте: 1 месяц 1 неделя назад
Зарегистрирован: 18.11.2018 - 15:28
Публикации: 349

Спасибо!

Almo аватар
Не на сайте
Был на сайте: 2 дня 5 часов назад
Зарегистрирован: 28.09.2008 - 18:50
Публикации: 8281

Я бы снял противоположный коленнный сустав, для сравнения. Какая-то нерезкость изображения? Надо разобраться в чем причина?