ОГК

Пол пациента: 
Тип патологии: 
Методы исследования: 

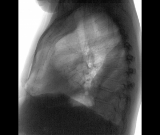
Мужчина 65 лет. Диагностическая флг. Коллеги, кто может сталкивался, впервые вижу, прямоугольная тень вдоль позвоночника на боковом снимке и в среднем отделе слева в прямой проекции.

ID:94027
Цель публикации: 
Almo аватар
Не на сайте
Был на сайте: 12 часов 27 минут назад
Зарегистрирован: 28.09.2008 - 18:50
Публикации: 8254

Если диагностическая  флюорография, то какой диагноз предполагали? Какие клинико- лабораторные данные? Можно предложить осумкованнный паракостальный плеврит, по задней и передним грудым стенкам. Не исключается инфильтрация лёгочной ткани в переднем отделе (S5).

Игорь Ким 2 аватар
Не на сайте
Был на сайте: 6 часов 44 минуты назад
Зарегистрирован: 02.03.2021 - 09:53
Публикации: 715

Как вариант к осумкованному паракостальному, рассмотрел бы вариант ателектаза нижней доли с осумкованным междолевым плевритом. В переднем синусе жидкость или липома. С генезом надо разбираться, пневмонический или обтурационный. Желательна клиника.

И.Бондаренко аватар
Не на сайте
Был на сайте: 3 дня 8 часов назад
Зарегистрирован: 13.09.2011 - 22:55
Публикации: 9206

Игорь Ким 2 wrote:

Как вариант к осумкованному паракостальному, рассмотрел бы вариант ателектаза нижней доли с осумкованным междолевым плевритом. В переднем синусе жидкость или липома. С генезом надо разбираться, пневмонический или обтурационный. Желательна клиника.

+1