Локтевой сустав

Пол пациента: 
Тип патологии: 
Область исследования: 
Методы исследования: 

Коллеги, здравствуйте!

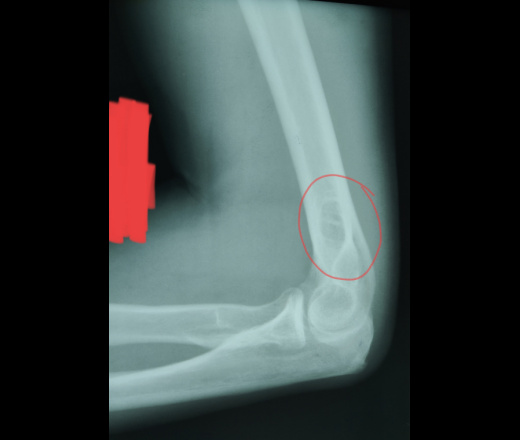
Мужчина, 48. Жалобы на боли в правом локтевом суставе. Травм не было. Работа связана с физическим трудом.

На боковом снимке смущается обведенный округлый участок. На прямом ничего страшного не вижу. Суммация или всё-таки можно заподозрить образование?

Локтевой сустав ID:94105
Цель публикации: 
Андрей Юрьевич аватар
Не на сайте
Был на сайте: 1 день 17 минут назад
Зарегистрирован: 16.11.2008 - 22:16
Публикации: 18109

На мой взгляд - нормальное строение

Андрей Юрьевич

Kapzen аватар
Не на сайте
Был на сайте: 3 месяцев 2 недели назад
Зарегистрирован: 18.11.2018 - 15:28
Публикации: 349

Спасибо!