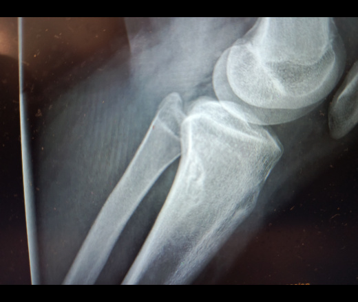
Пол пациента: Женский пол Тип патологии: ИнфекцияДоброкачественное новообразование, киста Область исследования: Скелетно-мышечная система Методы исследования: Rg Ребенок 16 лет, девочка. Боли в коленных суставах. Коллеги как можно дифференцировать данный дефект костной ткани ? Рг коленного сустава Рг коленного сустава Рг коленного сустава ID:94138 Цель публикации: Консультация Пт, 21/11/2025 - 16:47 #1 сергеев николай Не на сайте Был на сайте: 2 месяцев 1 неделя назад Зарегистрирован: 22.06.2016 - 18:45 Публикации: 4598 Написал абсцесс Броди, но берут сомнения Будьте осторожны со своими мыслями они начало поступков. Пт, 21/11/2025 - 19:01 #2 NIL Не на сайте Был на сайте: 6 дней 7 часов назад Зарегистрирован: 25.11.2013 - 20:50 Публикации: 18218 Я бы писала NOF "Слушай всех, прислушивайся к немногим, решай сам".© Пт, 21/11/2025 - 19:45 #3 сергеев николай Не на сайте Был на сайте: 2 месяцев 1 неделя назад Зарегистрирован: 22.06.2016 - 18:45 Публикации: 4598 NIL wrote: Я бы писала NOF Здравствуйте Наталия Ивановна! Вы бы написали NOF без диф.ряда с уверенностью? Будьте осторожны со своими мыслями они начало поступков. Пт, 21/11/2025 - 20:51 #4 Андрей Юрьевич Не на сайте Был на сайте: 1 неделя 10 часов назад Зарегистрирован: 16.11.2008 - 22:16 Публикации: 18106 сергеев николай wrote: NIL wrote: Я бы писала NOF Здравствуйте Наталия Ивановна! Вы бы написали NOF без диф.ряда с уверенностью? я бы тоже "без дифряда с уверенностью" Андрей Юрьевич Пт, 21/11/2025 - 21:38 #5 NIL Не на сайте Был на сайте: 6 дней 7 часов назад Зарегистрирован: 25.11.2013 - 20:50 Публикации: 18218 Андрей Юрьевич wrote: я бы тоже "без дифряда с уверенностью" +1 https://radiopaedia.org/articles/non-ossifying-fibroma-1 https://meduniver.com/Medical/luchevaia_diagnostika/rentgenogramma_mrt_fibroksantomi.html https://cyberleninka.ru/article/n/metafizarnye-fibroznye-defekty-i-neossifitsiruyuschiesy "Слушай всех, прислушивайся к немногим, решай сам".© Сб, 22/11/2025 - 07:58 #6 сергеев николай Не на сайте Был на сайте: 2 месяцев 1 неделя назад Зарегистрирован: 22.06.2016 - 18:45 Публикации: 4598 Большое спасибо! Будьте осторожны со своими мыслями они начало поступков.
Написал абсцесс Броди, но берут сомнения
Будьте осторожны со своими мыслями они начало поступков.
Я бы писала NOF
"Слушай всех, прислушивайся к немногим, решай сам".©
Здравствуйте Наталия Ивановна! Вы бы написали NOF без диф.ряда с уверенностью?
Будьте осторожны со своими мыслями они начало поступков.
я бы тоже "без дифряда с уверенностью"
Андрей Юрьевич
https://radiopaedia.org/articles/non-ossifying-fibroma-1
https://meduniver.com/Medical/luchevaia_diagnostika/rentgenogramma_mrt_fibroksantomi.html
https://cyberleninka.ru/article/n/metafizarnye-fibroznye-defekty-i-neossifitsiruyuschiesy
"Слушай всех, прислушивайся к немногим, решай сам".©
Большое спасибо!
Будьте осторожны со своими мыслями они начало поступков.