ОГК

Пол пациента: 
Методы исследования: 

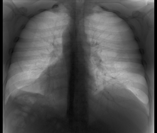
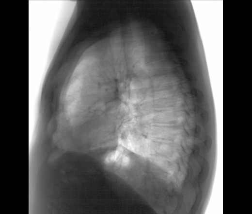
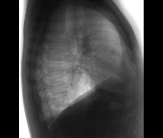
Мужчина 40 лет. Диагностическая  флюорография. Пришел на контроль, был поставлен диагноз 01.11.25 пневмония с\д, справа, в другой клинике. Смущает тень, которая видна только на задней проекции, в верхней доле справа, что это может быть? И еще, как считаете, есть выпот слева?

ID:94140
Цель публикации: 
И.Бондаренко аватар
Не на сайте
Был на сайте: 1 день 3 часа назад
Зарегистрирован: 13.09.2011 - 22:55
Публикации: 9208

На левом боковом этой тени не видно

kanti аватар
Не на сайте
Был на сайте: 2 месяцев 3 недели назад
Зарегистрирован: 15.02.2019 - 04:07
Публикации: 46

Справа...

Приложения: 
3.jpg