инвагинация?

Пол пациента: 
Тип патологии: 
Область исследования: 
Методы исследования: 

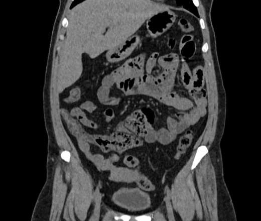
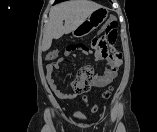
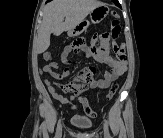
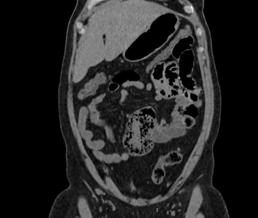
Здравствуйте, женщина 40лет, жалобы на увеличение живота, началось с 2023 года, жалобы на запоры временами и на водянистый стул, подскажите что здесь в области баугиниевой заслонки? инвагинация слепой кишки в подвздошную? что рекомендовать?

https://disk.yandex.kz/d/jp2-sYy1c3X7DA

 

ID:94145
Цель публикации: 
И.Бондаренко аватар
Не на сайте
Был на сайте: 6 часов 57 минут назад
Зарегистрирован: 13.09.2011 - 22:55
Публикации: 9213

В классической рентгенологии такое смещение слепой кишки называли - мобильная слепая кишка. 

X-rayCTscan аватар
Не на сайте
Был на сайте: 1 месяц 3 недели назад
Зарегистрирован: 22.11.2025 - 20:20
Публикации: 11

спасибо

Андрей Юрьевич аватар
Не на сайте
Был на сайте: 2 недели 2 дня назад
Зарегистрирован: 16.11.2008 - 22:16
Публикации: 18106

Описал бы как "кт-признаки болезни Крона (терминальный илеит)", порекомендовал бы колоноскопию с биопсией

Андрей Юрьевич