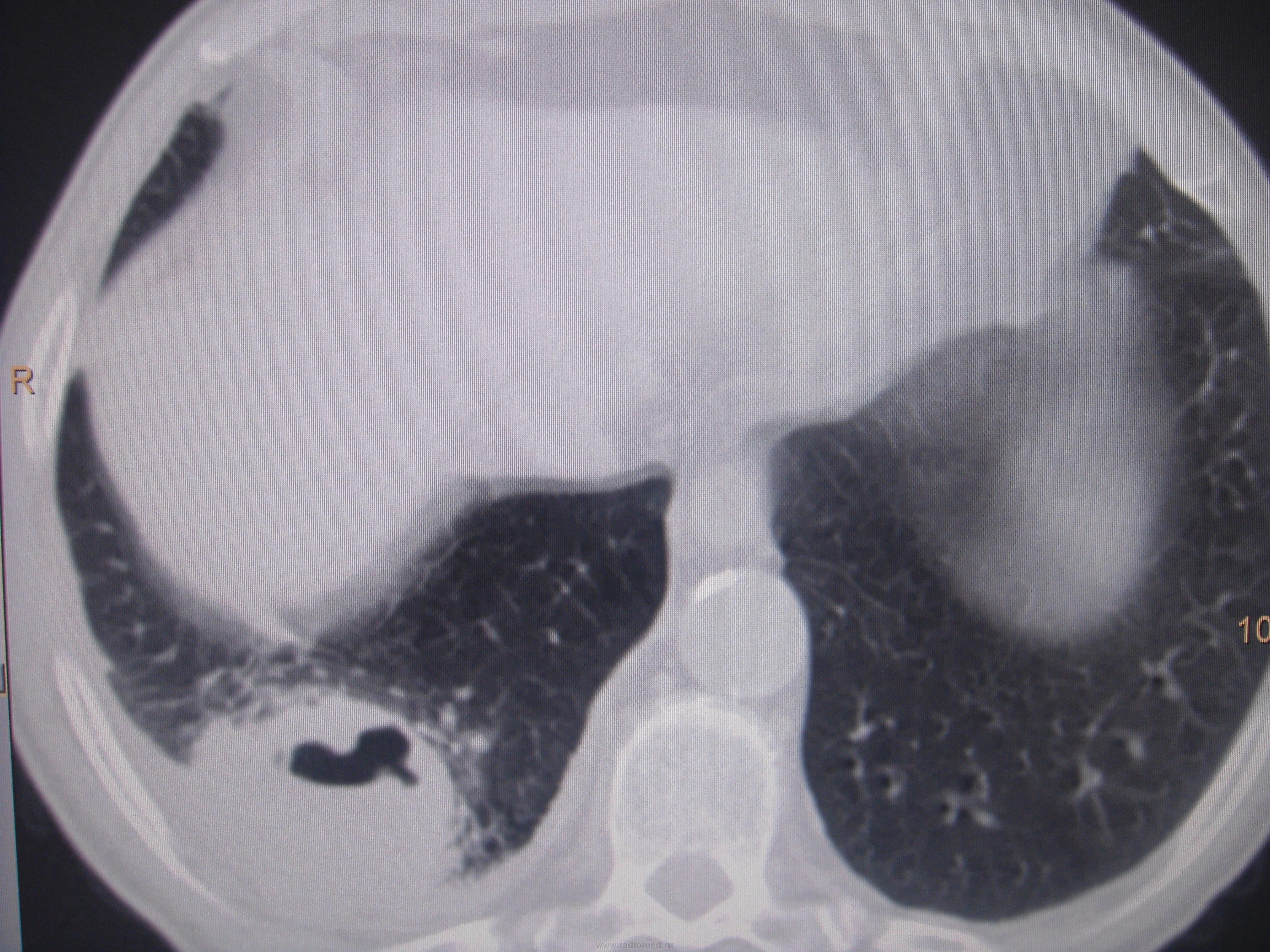
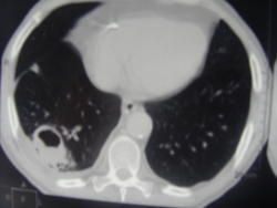
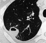
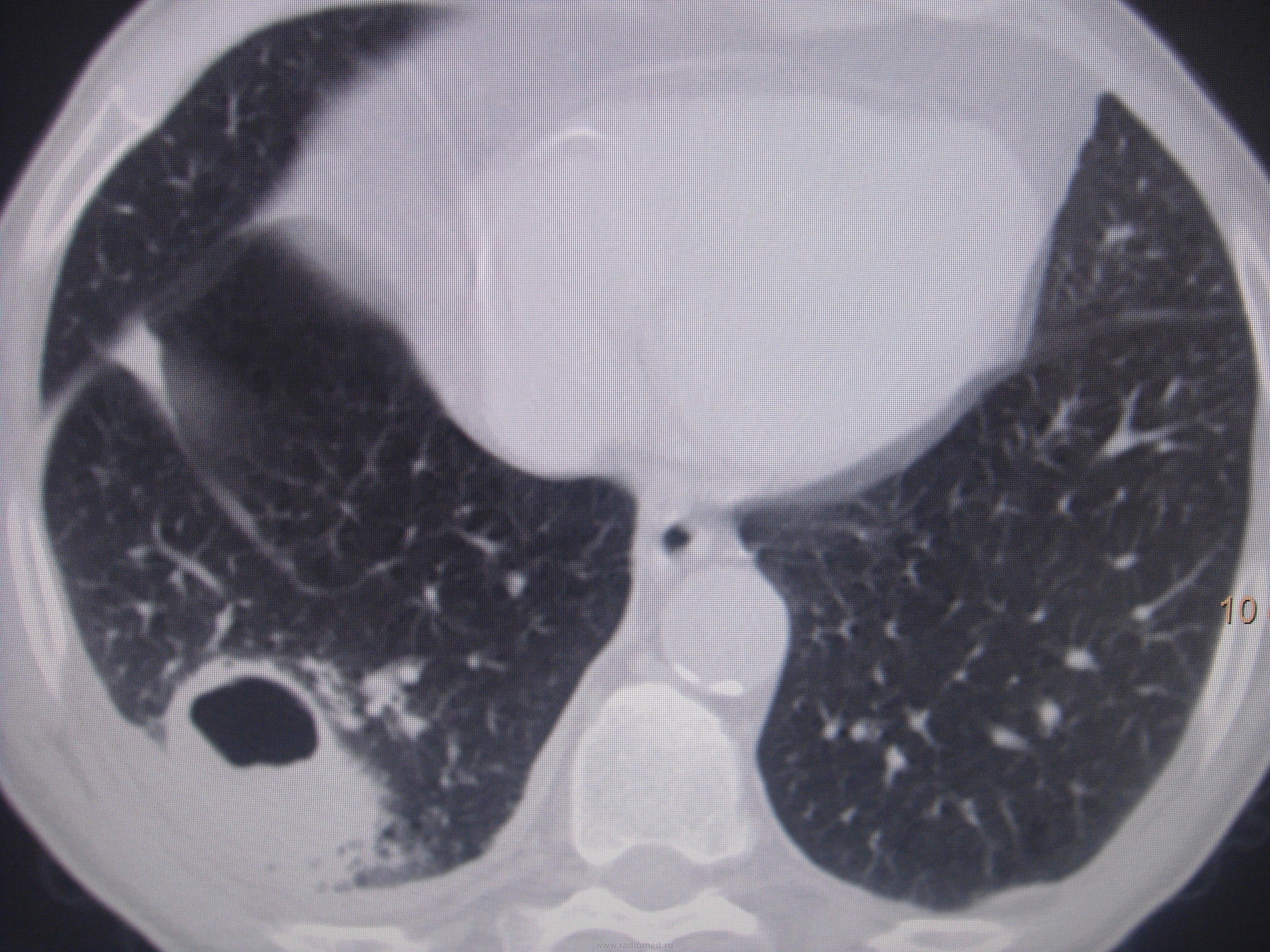
Абсцесс легкого?

Пол пациента: 
Тип патологии: 
Методы исследования: 

Больной лечился у невролога, провели проф ФГ- выявили деструктивную пневмонию, пролечилили, на Р контроле- ухудшение, клиники абсцесса не было, была боль в гр клетке спереди справа. Из анамнеза- лечился оперативно 6-7 лет назад по поводу рака верхней губы, в ООД не наблюдался последние годы. Данные за туб этиологию сомнительны, как мне кажется, очагов отсева по слоям не вижу,  хотя мож не так смотрю. Ваше мнение коллеги, абсцесс это или нет?

  • https://radiomed.ru/sites/default/files/styles/case_slider_image/public/user/16789/dsc02046.jpg?itok=omDlRpj0
  • https://radiomed.ru/sites/default/files/styles/case_slider_image/public/user/16789/dsc02043.jpg?itok=nhAoKL2U
  • https://radiomed.ru/sites/default/files/styles/case_slider_image/public/user/16789/dsc02042.jpg?itok=JlcOeInB
  • https://radiomed.ru/sites/default/files/styles/case_slider_image/public/user/16789/dsc02040.jpg?itok=32OZuq-K
  • https://radiomed.ru/sites/default/files/styles/case_slider_image/public/user/16789/dsc02039.jpg?itok=uwjddyXb
  • https://radiomed.ru/sites/default/files/styles/case_slider_image/public/user/16789/dsc02037.jpg?itok=3_LDTxjb
  • https://radiomed.ru/sites/default/files/styles/case_slider_image/public/user/16789/dsc02036.jpg?itok=hn_t7U81
  • https://radiomed.ru/sites/default/files/styles/case_slider_image/public/user/16789/dsc02032.jpg?itok=sNpo3TbU
  • https://radiomed.ru/sites/default/files/styles/case_slider_image/public/user/16789/dsc02030.jpg?itok=i4Ui5uhy
ID:23064
Любовь С. аватар
Не на сайте
Был на сайте: 9 лет 5 месяцев назад
Зарегистрирован: 23.12.2010 - 01:58
Публикации: 2324
Вполне может быть и полостной формой рака с периканкрозной пневмонией. Пока исследуют мокроту на БК, АК и микрофлору с чувствительностью к антибиотикам, пока лечат, придёт время и для КТ-контроля после лечения. В зависимости от рукастости хирургов, можно было б и пропунктировать - но тут в каждом монастыре свой устав)).
-
 
-
 
Кавитации в легких
-
Доктор Yuranga Weerakkody и доктор Франк Гайар и соавт. 
Есть множество причин кавитирующей легочной массы. Причины включают:
-
злокачественность
первичный рак бронхогенный (особенно плоскоклеточный рак)
метастазы в легких
плоскоклеточный рак
аденокарцинома, например, желудочно-кишечного тракта, молочной железы
саркома
-
инфекция
туберкулез легких
легочный абсцесс бактериальный
pneumotic pneumatocoele
-
неинфекционных гранулема
Гранулематоз Вегенера
ревматоидные узелки
-
сосудистый
легочный инфаркт
-
травма
pneumatocoeles
-
врожденный
врожденный порок развития - кистозно-аденоматозная мальформация
легочная секвестрация
бронхогенная киста

"Предоставляя весь смысл и совершенство в распоряжение одного только Бога, вы избавляете себя от бездны хлопот." Джон Уитборн.

Любовь С. аватар
Не на сайте
Был на сайте: 9 лет 5 месяцев назад
Зарегистрирован: 23.12.2010 - 01:58
Публикации: 2324

 

-
Возможные причины легочных кавитаций:
-
Альвеолярный эхинококкоз 
Бронхогенный рак 
Эмфизема легких, 
Гистоплазмоз 
Klebsiella SP 
Мелиоидоза 
Микобактериальный туберкулез 
Нейрофиброматоз типа 1 
Paragonimiasis 
Пневмоцистная пневмония 
Легочная эмболия 
Ревматоидный артрит 
Золотистый стафилококк 
Синдром Такаясу

"Предоставляя весь смысл и совершенство в распоряжение одного только Бога, вы избавляете себя от бездны хлопот." Джон Уитборн.

НАДЕЖДА ЮРЬЕВНА аватар
Не на сайте
Был на сайте: 6 лет 11 месяцев назад
Зарегистрирован: 30.07.2012 - 13:14
Публикации: 360

Его направят к торальному хирургу в область, хирурги у нас редко что пунктируют, да здесь клиники никакой не было абсцесса, а сейчас больной и вовсе отлично чувствует, это после 3недельной а/б терапии, только что на третьем  Р контроле- ухудшение. Напишу абсцесс тогда.

И.Бондаренко аватар
Не на сайте
Был на сайте: 4 дня 6 часов назад
Зарегистрирован: 13.09.2011 - 22:55
Публикации: 9206

По опыту хочу сказать, что в настоящее время классической клиники абсцесса можете и не увидеть. Очень она изменилась. В данном случае контроль  должен помочь. В связи с тем, что стенки имеют разную толщину и вокруг почти нет изменений, больше склоняюсь к полостной форме рака.

НАДЕЖДА ЮРЬЕВНА аватар
Не на сайте
Был на сайте: 6 лет 11 месяцев назад
Зарегистрирован: 30.07.2012 - 13:14
Публикации: 360

Спасибо, на послойных просмотрах тоже не увидела никаких отсевов. Хотя туб и онко отсевы ничем не отличались бы, да? Но СКТ должно и их отдифференцировать, чтобы больного направить на лечение по профилю.

Андрей Юрьевич аватар
Не на сайте
Был на сайте: 5 дней 10 часов назад
Зарегистрирован: 16.11.2008 - 22:16
Публикации: 18098

НАДЕЖДА ЛИШИНА wrote:

... Хотя туб и онко отсевы ничем не отличались бы, да? Но СКТ должно и их отдифференцировать, чтобы больного направить на лечение по профилю.

Не всегда. Вот хочу спросить у фтизиатра, а как же лабораторные методы диагностики (при ТВС, естественно)?

Андрей Юрьевич

НАДЕЖДА ЮРЬЕВНА аватар
Не на сайте
Был на сайте: 6 лет 11 месяцев назад
Зарегистрирован: 30.07.2012 - 13:14
Публикации: 360

Лабораторные данные у больного ничего не показали, все отрицательно-мбт 3 хкратно.

Катенёв Валентин Львович аватар
Не на сайте
Был на сайте: 7 лет 2 недели назад
Зарегистрирован: 22.03.2008 - 22:15
Публикации: 54876

А, что архива вообще никакого нет?

Андрей Юрьевич аватар
Не на сайте
Был на сайте: 5 дней 10 часов назад
Зарегистрирован: 16.11.2008 - 22:16
Публикации: 18098

НАДЕЖДА ЛИШИНА wrote:

Лабораторные данные у больного ничего не показали, все отрицательно-мбт 3 хкратно.

Я не кокретно про этого больного, я вообще про доступные Вам методы лаборатоной диагностики туберкулеза.

Андрей Юрьевич

Катенёв Валентин Львович аватар
Не на сайте
Был на сайте: 7 лет 2 недели назад
Зарегистрирован: 22.03.2008 - 22:15
Публикации: 54876

И грибов в мокроте не было?

НАДЕЖДА ЮРЬЕВНА аватар
Не на сайте
Был на сайте: 6 лет 11 месяцев назад
Зарегистрирован: 30.07.2012 - 13:14
Публикации: 360

Архив есть в динамике, выложу только во вторник, тк завтра в ночь на дежурство.  Грибов не было в мокроте.

Катенёв Валентин Львович аватар
Не на сайте
Был на сайте: 7 лет 2 недели назад
Зарегистрирован: 22.03.2008 - 22:15
Публикации: 54876

Похоже?

 

Из архива AFIP

Nikolas аватар
Не на сайте
Был на сайте: 1 месяц 3 недели назад
Зарегистрирован: 21.12.2010 - 20:37
Публикации: 4559

 пациента?

Катенёв Валентин Львович аватар
Не на сайте
Был на сайте: 7 лет 2 недели назад
Зарегистрирован: 22.03.2008 - 22:15
Публикации: 54876

Так, вот то, что выставлено из архива AFIP, так то верифицированный аспергиллёз.

Nikolas аватар
Не на сайте
Был на сайте: 1 месяц 3 недели назад
Зарегистрирован: 21.12.2010 - 20:37
Публикации: 4559

доктора Лишиной.

Любовь С. аватар
Не на сайте
Был на сайте: 9 лет 5 месяцев назад
Зарегистрирован: 23.12.2010 - 01:58
Публикации: 2324

Есть ли новости о пациенте?

"Предоставляя весь смысл и совершенство в распоряжение одного только Бога, вы избавляете себя от бездны хлопот." Джон Уитборн.

НАДЕЖДА ЮРЬЕВНА аватар
Не на сайте
Был на сайте: 6 лет 11 месяцев назад
Зарегистрирован: 30.07.2012 - 13:14
Публикации: 360

Нет пока новостей нет. Буду держать в курсе.