Пол пациента:
Тип патологии:
Область исследования:
Методы исследования:
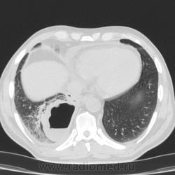
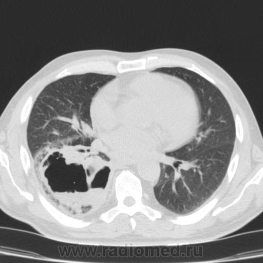
Здравствуйте, коллеги! Не откажите в помощи интерпретировать этот хаос в легких. После переохлаждения больной обратился за медиц помощью только через 1 месяц, в первые 2 недели была температура до 38*, сейчас после лечения самочувствие улучшилось, направлен на КТ контроль после лечения пневмонии. Подскажите, какой выставить диагноз?
- https://radiomed.ru/sites/default/files/styles/case_slider_image/public/user/16789/img-0002-00001_16.jpg?itok=HkKdlycB
- https://radiomed.ru/sites/default/files/styles/case_slider_image/public/user/16789/img-0003-00001_14.jpg?itok=LI6c8t5z
- https://radiomed.ru/sites/default/files/styles/case_slider_image/public/user/16789/img-0004-00001_14.jpg?itok=WGLriIJM
- https://radiomed.ru/sites/default/files/styles/case_slider_image/public/user/16789/img-0005-00001_12.jpg?itok=kqJ5aEQE
- https://radiomed.ru/sites/default/files/styles/case_slider_image/public/user/16789/img-0007-00001_11.jpg?itok=HpC3WrI_
- https://radiomed.ru/sites/default/files/styles/case_slider_image/public/user/16789/img-0009-00001_7.jpg?itok=2TjWJn5N
- https://radiomed.ru/sites/default/files/styles/case_slider_image/public/user/16789/img-0010-00001_8.jpg?itok=vf9fuWjY
- https://radiomed.ru/sites/default/files/styles/case_slider_image/public/user/16789/img-0012-00001_7.jpg?itok=mm2znyEL
- https://radiomed.ru/sites/default/files/styles/case_slider_image/public/user/16789/img-0011-00001_4.jpg?itok=4lN5mHXb
- https://radiomed.ru/sites/default/files/styles/case_slider_image/public/user/16789/img-0013-00001_6.jpg?itok=K8dGgsr-
- https://radiomed.ru/sites/default/files/styles/case_slider_image/public/user/16789/img-0014-00001_3.jpg?itok=zNrUPKxd
- https://radiomed.ru/sites/default/files/styles/case_slider_image/public/user/16789/img-0016-00001_3.jpg?itok=K0s3xwG8
- https://radiomed.ru/sites/default/files/styles/case_slider_image/public/user/16789/img-0017-00001_1.jpg?itok=do6lF5UG
- https://radiomed.ru/sites/default/files/styles/case_slider_image/public/user/16789/img-0009-00001_8.jpg?itok=RzMU7YZW
- https://radiomed.ru/sites/default/files/styles/case_slider_image/public/user/16789/img-0008-00001_9.jpg?itok=bpHJF9pW
ID:28936
http://files.mail.ru/6A5A1D15CDAA4477BF8E0841F76726FF
Дайком исследования
Думаю, что банальный абсцесс. Если нет палочек Коха. Лечение: удаление всей доли.
является промежуточным состоянием между абсцессом и гангреной легкого
Спасибо. Палочек не находят, тогда бы прояснилось. А при гангрене было бы тяжелее состояние?
С первого взгляда голосовал бы за каверну. Но анамнез и нижняя доля - абсцесс. Такого хаоса реально еще не видел.
"Обучая других - учишься сам". Н.И.Пирогов
Полость в нижней доле правого легкого, неправильной формы, с вовлечением и сдавлением бронхов, с уровнем жидкости. Отмечается утолщение костальной плевры с небольшим количеством жидкости. Не исключается инфекционная деструкция или новообразование правого нижнедолевого бронха, с ателектазом и деструкцией.
Дренированный абсцесс нижней доли справа.
Согласен с тем, что это - абсцесс(я бы даже сказал - абсцедирующая гангрена) нижней доли правого лёгкого.Коллега Nikolas, совершенно справедливо, характеризовал это состояние как промежуточное между абсцессом и гангреной.
Главное отличе абсцесса и гангрены не состояние(нет!И при абсцессе оно может быть тяжелейшим, со сдвигом лейкоцитарной формулы до миелоцитов, гектическими размахами температуры, тяжелейшей интоксикацией, даже с токсической острой почечной недостаточностью), а МОРФОЛОГИЯ. Абсцесс менее распространенный и всегда ограниченный. Гангрена - очень распространенная (вся доля, все легкое даже) и не имеет четких границ. Здесь - большая распространенность(вся доля), но есть четкая граница.
Коллега И. Бондаренко: с лобэктомией спешить не стоит. Сначала нужно санировать абсцесс. Может, он закроется? Благоприятный исход абсцесса - рубец. Относительно благоприятный - формирование воздушной кисты. Если она не напряженная(кот. может рвануть и дать спонтанный пневмоторакс), то и пусть себе "сидит", кому она мешает?
Неблагоприятный исход - переход в хроническую форму.
Показанием к оперативному лечению является ХРОНИЧЕСКИЙ АБСЦЕСС: толстые(свыше 0,5-1 см стенки и постоянно рецидивирующие уровни: санировали - через 3 мес. опять накопил, санировали, через 4 мес. - опять)
Сейчас нужно закончить лечение(больной, я полагаю, и так лечится на отделении гнойной торакальной хирургии), после выписки - "д"д наблюдение торакального хирурга, с динамическим рентген-контролем.
Я долго работал с торакальщиками, поэтому, "такой умный":))))
P.S: Прежде чем писать "абсцедирующая гангрена" - проконсультируйтесь с тор. хирургами Вашей клиники, принята ли у них такая терминология. А вообще - "Гигантский острый дренированный абсцесс н/доли правого легкого" Объем жидкости в абсцессе посчитайте. Если томограф не считает сам, то: макс.длина(см)*(умножить на) макс. ширина*макс. высота : 2 (результат в мл) Длина, ширина, высота не всего абсцесса, а уровня жидкости в нем!
You have only one life - just live it!