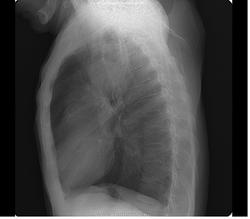
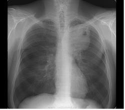
Не могу согласиться со всеми. Образование большое и, если был рак, то при таком размере контуры не должны быть такими чёткими и больше волнистыми, изменения окружающего ЛР нет. Характерное место для лимфом, но не встречал их распада. Абсцесс не надо ислючать, они уже не дают классической клинической картины. КТ, бронхоскопия, гистология.
А почему теперь абсцессы типичной клиники не дают? Мне представляется, что если бы был недренированный абсцесс такого размера, то мужчина бы себя очень плохо чувствовал, температурил и вообще помирал.... А то что контуры четкие - встречала в литературе, как некоторые авторы пытались соотнести рентгенологическую картину и гистологический тип опухоли.. так вот при каком-то виде рака указывали сохранение четких контуров образования даже при больших размерах
Бронхогенные и энтерогенные кисты в подавляющем большинстве случаев локализуются в переднем отделе заднего средостения, чаще всего на уровне бифуркации. В рентгенологическом изображении бронхогенные и энтерогенные кисты практически неотличимы, у них много общего с другими опухолями средостения. Они имеют вид объемных образований овоидной формы, причем длинный диаметр обычно расположен вертикально. Очертания бронхогенных и энтерогенных кист обычно четкие и ровные. В стенке бронхогенных кист иногда можно обнаружить отложения извести в виде скорлупы, чего не наблюдается в энтерогенных кистах. Бронхогенные кисты чаще всего локализуются под кариной или в правой паратрахеальной области. В большинстве случаев кисты вызывают сдавление и дугообразное отклонение пищевода. При прорыве бронхогенной кисты в трахею или бронх возникает полость с горизонтальным уровнем жидкости.
Как правило бронхогенные кисты длительно имеют бессимптомное течение, но в большинстве случаев приводят к определенной симптоматике. Основными симптомами являются сдавление окружающих органов и инфицирование
Рак с распадом.
Хочешь сделать что-то нормально - сделай это сам!
+1, однозначно- связь с плеврой, полость распада
Периферический с распадом.
Болезни ног: виды, симптомы, причины, профилактика и лечение
Полостная форма образования.
всем спс)
Не ограничивайте свою мысль
Живешь пока учишься
Ecrasez l’infame
Не могу согласиться со всеми. Образование большое и, если был рак, то при таком размере контуры не должны быть такими чёткими и больше волнистыми, изменения окружающего ЛР нет. Характерное место для лимфом, но не встречал их распада. Абсцесс не надо ислючать, они уже не дают классической клинической картины. КТ, бронхоскопия, гистология.
Постараюсь отследить судьбу пациента. На данный момент его направили с заключением абсцесс верхней доли в стационар.
Верхний контур не такой уж четкий и ровный, тяжи к плевре.. внутренние контуры "полости" тоже.
Не ограничивайте свою мысль
Живешь пока учишься
Ecrasez l’infame
А возраст какой?
1952
Не ограничивайте свою мысль
Живешь пока учишься
Ecrasez l’infame
http://www.slideshare.net/medumed/ss-8801798 вот тут 41,48 и 47 слайды. Периферич рак и абсцесс. Есть некоторые отличия.
Не ограничивайте свою мысль
Живешь пока учишься
Ecrasez l’infame
Если не бомж, то можно согласится с ПР.
А у БОМЖей что, на ПР иммунитет?
Болезни ног: виды, симптомы, причины, профилактика и лечение
Братцы, скажите пжл, а почему так категорично отвергли абсцесс?
А почему теперь абсцессы типичной клиники не дают? Мне представляется, что если бы был недренированный абсцесс такого размера, то мужчина бы себя очень плохо чувствовал, температурил и вообще помирал.... А то что контуры четкие - встречала в литературе, как некоторые авторы пытались соотнести рентгенологическую картину и гистологический тип опухоли.. так вот при каком-то виде рака указывали сохранение четких контуров образования даже при больших размерах
Периферический, доросший до центрального с распадом.
Неоднозначно всё
почти единогласно
Не ограничивайте свою мысль
Живешь пока учишься
Ecrasez l’infame
Mitkampfer, спасибо за ссылку!
ага)
Не ограничивайте свою мысль
Живешь пока учишься
Ecrasez l’infame
Только бы очень конечный результат хочется узнать, ага?
конечно хочется))
Не ограничивайте свою мысль
Живешь пока учишься
Ecrasez l’infame
Просто были асоциальные больные с абсцессами. Вот у них никакой классической клиники не наблюдали.
Недавно "лазил" и наткнулся...
Конечно не совсем то, да и не там, но некоторая аналогия прослеживается...
Название - "Туберкулёма в фазе распада"
все таки полость не такая щелевидный краевой распад.
А я вот нашел))
Написано T4 N1 M1b NSCLC adenocarcinoma of lung
Не ограничивайте свою мысль
Живешь пока учишься
Ecrasez l’infame
А, так Вы нашли вот это -
да-да) на этом сайте.
Не ограничивайте свою мысль
Живешь пока учишься
Ecrasez l’infame
еще ДД правда не там и возраст не тот:
Бронхогенные и энтерогенные кисты в подавляющем большинстве случаев локализуются в переднем отделе заднего средостения, чаще всего на уровне бифуркации. В рентгенологическом изображении бронхогенные и энтерогенные кисты практически неотличимы, у них много общего с другими опухолями средостения. Они имеют вид объемных образований овоидной формы, причем длинный диаметр обычно расположен вертикально. Очертания бронхогенных и энтерогенных кист обычно четкие и ровные. В стенке бронхогенных кист иногда можно обнаружить отложения извести в виде скорлупы, чего не наблюдается в энтерогенных кистах. Бронхогенные кисты чаще всего локализуются под кариной или в правой паратрахеальной области. В большинстве случаев кисты вызывают сдавление и дугообразное отклонение пищевода. При прорыве бронхогенной кисты в трахею или бронх возникает полость с горизонтальным уровнем жидкости.
Как правило бронхогенные кисты длительно имеют бессимптомное течение, но в большинстве случаев приводят к определенной симптоматике. Основными симптомами являются сдавление окружающих органов и инфицирование
Не ограничивайте свою мысль
Живешь пока учишься
Ecrasez l’infame
известно о больном?
Пока не возвращался...
Не ограничивайте свою мысль
Живешь пока учишься
Ecrasez l’infame