Аневризма?

Пол пациента: 
Тип патологии: 
Область исследования: 
Методы исследования: 

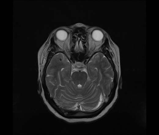
Пациентка 1955 г.р направлена с диагнозом извитость ВСА для исключения очаговых изменений. Это аневризма бифуркации правой средней мозговой артерии (диаметр около 4.5 мм)? Также выпуклый верхний контур гипофиза на корональном срезе - или это место соединения с воронкой гипофиза? Вертикальный размер 5 мм.

  • Ax FLAIR
  • Ax T1
  • Cor T2
  • Sag T2
  • Isotropic
  • ACD
  • DWI
  • https://radiomed.ru/sites/default/files/styles/case_slider_image/public/user/18954/img-0002-00001_6.jpg?itok=EIs0-3xY
  • https://radiomed.ru/sites/default/files/styles/case_slider_image/public/user/18954/img-0002-00002_3.jpg?itok=08mlIP1r
  • https://radiomed.ru/sites/default/files/styles/case_slider_image/public/user/18954/img-0002-00003_1.jpg?itok=I9oJE9LJ
  • https://radiomed.ru/sites/default/files/styles/case_slider_image/public/user/18954/img-0002-00004_0.jpg?itok=T3v6YHcq
  • https://radiomed.ru/sites/default/files/styles/case_slider_image/public/user/18954/img-0002-00005_0.jpg?itok=hfapjjAB
  • https://radiomed.ru/sites/default/files/styles/case_slider_image/public/user/18954/img-0002-00006_0.jpg?itok=3U0D1-m1
  • https://radiomed.ru/sites/default/files/styles/case_slider_image/public/user/18954/img-0002-00007_0.jpg?itok=xwQMUz1f
  • https://radiomed.ru/sites/default/files/styles/case_slider_image/public/user/18954/img-0002-00008_0.jpg?itok=M3rsfuoN
  • https://radiomed.ru/sites/default/files/styles/case_slider_image/public/user/18954/img-0002-00009_0.jpg?itok=cWB4L0H0
  • https://radiomed.ru/sites/default/files/styles/case_slider_image/public/user/18954/img-0002-00010_0.jpg?itok=SEGSLmsU
  • https://radiomed.ru/sites/default/files/styles/case_slider_image/public/user/18954/img-0002-00011_0.jpg?itok=VhDyCV2v
  • https://radiomed.ru/sites/default/files/styles/case_slider_image/public/user/18954/img-0002-00012_0.jpg?itok=fnBFSL6d
  • https://radiomed.ru/sites/default/files/styles/case_slider_image/public/user/18954/img-0002-00013_0.jpg?itok=aMxTTPTS
  • https://radiomed.ru/sites/default/files/styles/case_slider_image/public/user/18954/img-0002-00014.jpg?itok=OWGHUR1R
  • https://radiomed.ru/sites/default/files/styles/case_slider_image/public/user/18954/img-0002-00015.jpg?itok=uj9JfEOm
  • https://radiomed.ru/sites/default/files/styles/case_slider_image/public/user/18954/img-0002-00016.jpg?itok=VkiaHuJi
  • https://radiomed.ru/sites/default/files/styles/case_slider_image/public/user/18954/img-0002-00017.jpg?itok=x2I3qx3p
  • https://radiomed.ru/sites/default/files/styles/case_slider_image/public/user/18954/img-0002-00018.jpg?itok=EFVDUrWx
  • https://radiomed.ru/sites/default/files/styles/case_slider_image/public/user/18954/img-0002-00019.jpg?itok=6p5pimPY
  • https://radiomed.ru/sites/default/files/styles/case_slider_image/public/user/18954/img-0002-00020.jpg?itok=O5nS_Gyr
  • https://radiomed.ru/sites/default/files/styles/case_slider_image/public/user/18954/img-0002-00021.jpg?itok=o-jyGvHk
  • https://radiomed.ru/sites/default/files/styles/case_slider_image/public/user/18954/img-0002-00022.jpg?itok=lsW7K0s6
  • https://radiomed.ru/sites/default/files/styles/case_slider_image/public/user/18954/img-0002-00023.jpg?itok=YkVyECd1
  • https://radiomed.ru/sites/default/files/styles/case_slider_image/public/user/18954/img-0002-00024.jpg?itok=nwsLyzIz
  • https://radiomed.ru/sites/default/files/styles/case_slider_image/public/user/18954/img-0002-00025.jpg?itok=N1Rl_IQo
  • https://radiomed.ru/sites/default/files/styles/case_slider_image/public/user/18954/img-0005-00001_0.jpg?itok=d2fr4fG_
  • https://radiomed.ru/sites/default/files/styles/case_slider_image/public/user/18954/img-0005-00002_0.jpg?itok=6C5YsGdw
  • https://radiomed.ru/sites/default/files/styles/case_slider_image/public/user/18954/img-0005-00003_0.jpg?itok=kqzj3c3R
  • https://radiomed.ru/sites/default/files/styles/case_slider_image/public/user/18954/img-0005-00004_0.jpg?itok=m_gZEi1W
  • https://radiomed.ru/sites/default/files/styles/case_slider_image/public/user/18954/img-0005-00005_0.jpg?itok=hQ9O4zwp
  • https://radiomed.ru/sites/default/files/styles/case_slider_image/public/user/18954/img-0005-00006_0.jpg?itok=SlCYgM6U
  • https://radiomed.ru/sites/default/files/styles/case_slider_image/public/user/18954/img-0005-00007_0.jpg?itok=iKM0lklM
  • https://radiomed.ru/sites/default/files/styles/case_slider_image/public/user/18954/img-0005-00008_0.jpg?itok=MFJexBsq
  • https://radiomed.ru/sites/default/files/styles/case_slider_image/public/user/18954/img-0005-00009_0.jpg?itok=6wpki-S8
  • https://radiomed.ru/sites/default/files/styles/case_slider_image/public/user/18954/img-0005-00010_0.jpg?itok=6yR_H03V
  • https://radiomed.ru/sites/default/files/styles/case_slider_image/public/user/18954/img-0005-00011_0.jpg?itok=-1vPGR1o
  • https://radiomed.ru/sites/default/files/styles/case_slider_image/public/user/18954/img-0005-00012_0.jpg?itok=w0lcJRu7
  • https://radiomed.ru/sites/default/files/styles/case_slider_image/public/user/18954/img-0005-00013_0.jpg?itok=mnRKXVD1
  • https://radiomed.ru/sites/default/files/styles/case_slider_image/public/user/18954/img-0005-00014_0.jpg?itok=Y50RmQuK
  • https://radiomed.ru/sites/default/files/styles/case_slider_image/public/user/18954/img-0005-00015_0.jpg?itok=u6HbTJgx
  • https://radiomed.ru/sites/default/files/styles/case_slider_image/public/user/18954/img-0005-00016_0.jpg?itok=i-MD8_sN
  • https://radiomed.ru/sites/default/files/styles/case_slider_image/public/user/18954/img-0005-00017_0.jpg?itok=YC4gOpA9
  • https://radiomed.ru/sites/default/files/styles/case_slider_image/public/user/18954/img-0005-00018_0.jpg?itok=BKNKpjFW
  • https://radiomed.ru/sites/default/files/styles/case_slider_image/public/user/18954/img-0005-00019_0.jpg?itok=t7Nr7uzx
  • https://radiomed.ru/sites/default/files/styles/case_slider_image/public/user/18954/img-0005-00020_0.jpg?itok=nGVi70Bp
  • https://radiomed.ru/sites/default/files/styles/case_slider_image/public/user/18954/img-0005-00021_0.jpg?itok=FbLjaZfR
  • https://radiomed.ru/sites/default/files/styles/case_slider_image/public/user/18954/img-0005-00022.jpg?itok=M6N9jJMJ
  • https://radiomed.ru/sites/default/files/styles/case_slider_image/public/user/18954/img-0005-00023.jpg?itok=ZKwtgTRX
  • https://radiomed.ru/sites/default/files/styles/case_slider_image/public/user/18954/img-0005-00024.jpg?itok=MgP3wybb
  • https://radiomed.ru/sites/default/files/styles/case_slider_image/public/user/18954/img-0005-00025.jpg?itok=wQm4XnAj
  • https://radiomed.ru/sites/default/files/styles/case_slider_image/public/user/18954/img-0006-00001.jpg?itok=jE3UOJMv
  • https://radiomed.ru/sites/default/files/styles/case_slider_image/public/user/18954/img-0006-00002.jpg?itok=it98_NDJ
  • https://radiomed.ru/sites/default/files/styles/case_slider_image/public/user/18954/img-0006-00003.jpg?itok=zO_CqteF
  • https://radiomed.ru/sites/default/files/styles/case_slider_image/public/user/18954/img-0006-00004.jpg?itok=7f_0jreM
  • https://radiomed.ru/sites/default/files/styles/case_slider_image/public/user/18954/img-0006-00005.jpg?itok=8hDbNWM-
  • https://radiomed.ru/sites/default/files/styles/case_slider_image/public/user/18954/img-0006-00006.jpg?itok=Q55xD-c7
  • https://radiomed.ru/sites/default/files/styles/case_slider_image/public/user/18954/img-0006-00007.jpg?itok=86-8caP4
  • https://radiomed.ru/sites/default/files/styles/case_slider_image/public/user/18954/img-0006-00008.jpg?itok=eHeoQAYq
  • https://radiomed.ru/sites/default/files/styles/case_slider_image/public/user/18954/img-0006-00009.jpg?itok=A7Lhfaw8
  • https://radiomed.ru/sites/default/files/styles/case_slider_image/public/user/18954/img-0006-00010.jpg?itok=gbRY3YA-
  • https://radiomed.ru/sites/default/files/styles/case_slider_image/public/user/18954/img-0006-00011.jpg?itok=TAyt5De2
  • https://radiomed.ru/sites/default/files/styles/case_slider_image/public/user/18954/img-0006-00012.jpg?itok=eIeGnxSR
  • https://radiomed.ru/sites/default/files/styles/case_slider_image/public/user/18954/img-0006-00013.jpg?itok=zF-INVM_
  • https://radiomed.ru/sites/default/files/styles/case_slider_image/public/user/18954/img-0006-00014.jpg?itok=8emliuBc
  • https://radiomed.ru/sites/default/files/styles/case_slider_image/public/user/18954/img-0006-00015.jpg?itok=VdNNkmHM
  • https://radiomed.ru/sites/default/files/styles/case_slider_image/public/user/18954/img-0006-00016.jpg?itok=-M_9DjRj
  • https://radiomed.ru/sites/default/files/styles/case_slider_image/public/user/18954/img-0006-00017.jpg?itok=zRmjppU3
  • https://radiomed.ru/sites/default/files/styles/case_slider_image/public/user/18954/img-0006-00018.jpg?itok=ZrgzrZxd
  • https://radiomed.ru/sites/default/files/styles/case_slider_image/public/user/18954/img-0006-00019.jpg?itok=2ad5OKM-
  • https://radiomed.ru/sites/default/files/styles/case_slider_image/public/user/18954/img-0006-00020.jpg?itok=Z8qbqPdm
  • https://radiomed.ru/sites/default/files/styles/case_slider_image/public/user/18954/img-0006-00021.jpg?itok=aYS6Snho
  • https://radiomed.ru/sites/default/files/styles/case_slider_image/public/user/18954/img-0006-00022.jpg?itok=SfdO_4Kx
  • https://radiomed.ru/sites/default/files/styles/case_slider_image/public/user/18954/img-0006-00023.jpg?itok=0qf_xny5
  • https://radiomed.ru/sites/default/files/styles/case_slider_image/public/user/18954/img-0006-00024.jpg?itok=QyZ91vNj
  • https://radiomed.ru/sites/default/files/styles/case_slider_image/public/user/18954/img-0006-00025.jpg?itok=A-tlYVsi
  • https://radiomed.ru/sites/default/files/styles/case_slider_image/public/user/18954/img-0006-00026.jpg?itok=iktTPqPI
  • https://radiomed.ru/sites/default/files/styles/case_slider_image/public/user/18954/img-0006-00027.jpg?itok=5FN9sLtc
  • https://radiomed.ru/sites/default/files/styles/case_slider_image/public/user/18954/img-0006-00028.jpg?itok=d1-oGlEa
  • https://radiomed.ru/sites/default/files/styles/case_slider_image/public/user/18954/img-0006-00029.jpg?itok=xEzH-AMU
  • https://radiomed.ru/sites/default/files/styles/case_slider_image/public/user/18954/img-0004-00001_2.jpg?itok=BG7hqkPh
  • https://radiomed.ru/sites/default/files/styles/case_slider_image/public/user/18954/img-0004-00002_1.jpg?itok=JC6WKQGX
  • https://radiomed.ru/sites/default/files/styles/case_slider_image/public/user/18954/img-0004-00003_1.jpg?itok=iSLJSpbc
  • https://radiomed.ru/sites/default/files/styles/case_slider_image/public/user/18954/img-0004-00004_0.jpg?itok=badR1Fmh
  • https://radiomed.ru/sites/default/files/styles/case_slider_image/public/user/18954/img-0004-00005_0.jpg?itok=MZ3w44_1
  • https://radiomed.ru/sites/default/files/styles/case_slider_image/public/user/18954/img-0004-00006_0.jpg?itok=tEQKjV7S
  • https://radiomed.ru/sites/default/files/styles/case_slider_image/public/user/18954/img-0004-00007_0.jpg?itok=cDL1rsGd
  • https://radiomed.ru/sites/default/files/styles/case_slider_image/public/user/18954/img-0004-00008_0.jpg?itok=kn1eO8z9
  • https://radiomed.ru/sites/default/files/styles/case_slider_image/public/user/18954/img-0004-00009_0.jpg?itok=RR0nqX0f
  • https://radiomed.ru/sites/default/files/styles/case_slider_image/public/user/18954/img-0004-00010_0.jpg?itok=a7rfcT0F
  • https://radiomed.ru/sites/default/files/styles/case_slider_image/public/user/18954/img-0004-00011_0.jpg?itok=SOQZXFES
  • https://radiomed.ru/sites/default/files/styles/case_slider_image/public/user/18954/img-0004-00012_0.jpg?itok=BQtpivIX
  • https://radiomed.ru/sites/default/files/styles/case_slider_image/public/user/18954/img-0004-00013_0.jpg?itok=U7cH7nEg
  • https://radiomed.ru/sites/default/files/styles/case_slider_image/public/user/18954/img-0004-00014.jpg?itok=XNp8JaRO
  • https://radiomed.ru/sites/default/files/styles/case_slider_image/public/user/18954/img-0004-00015.jpg?itok=KxCb5Hd1
  • https://radiomed.ru/sites/default/files/styles/case_slider_image/public/user/18954/img-0004-00016.jpg?itok=SrcDxzT2
  • https://radiomed.ru/sites/default/files/styles/case_slider_image/public/user/18954/img-0004-00017.jpg?itok=EfPZD_TS
  • https://radiomed.ru/sites/default/files/styles/case_slider_image/public/user/18954/img-0004-00018.jpg?itok=e3Gud6MH
  • https://radiomed.ru/sites/default/files/styles/case_slider_image/public/user/18954/img-0004-00019.jpg?itok=49LvI6wv
  • https://radiomed.ru/sites/default/files/styles/case_slider_image/public/user/18954/img-0004-00020.jpg?itok=x47EXAXy
  • https://radiomed.ru/sites/default/files/styles/case_slider_image/public/user/18954/img-0004-00021.jpg?itok=EWHw5wRb
  • https://radiomed.ru/sites/default/files/styles/case_slider_image/public/user/18954/img-0004-00022.jpg?itok=JsIUuQHS
  • https://radiomed.ru/sites/default/files/styles/case_slider_image/public/user/18954/img-0004-00023.jpg?itok=ld8A1Sru
  • https://radiomed.ru/sites/default/files/styles/case_slider_image/public/user/18954/img-0004-00024.jpg?itok=TPpoosbK
  • https://radiomed.ru/sites/default/files/styles/case_slider_image/public/user/18954/img-0004-00025.jpg?itok=MWdt_GUG
  • https://radiomed.ru/sites/default/files/styles/case_slider_image/public/user/18954/img-0007-00001_0.jpg?itok=EPHhvaKb
  • https://radiomed.ru/sites/default/files/styles/case_slider_image/public/user/18954/img-0007-00002.jpg?itok=Hz0CURc-
  • https://radiomed.ru/sites/default/files/styles/case_slider_image/public/user/18954/img-0007-00003.jpg?itok=iaEAQBA1
  • https://radiomed.ru/sites/default/files/styles/case_slider_image/public/user/18954/img-0007-00004.jpg?itok=kMrZmlyg
  • https://radiomed.ru/sites/default/files/styles/case_slider_image/public/user/18954/img-0007-00005.jpg?itok=udfvn-7j
  • https://radiomed.ru/sites/default/files/styles/case_slider_image/public/user/18954/img-0007-00006.jpg?itok=0KXXsFpW
  • https://radiomed.ru/sites/default/files/styles/case_slider_image/public/user/18954/img-0007-00007.jpg?itok=02d46b0I
  • https://radiomed.ru/sites/default/files/styles/case_slider_image/public/user/18954/img-0007-00008.jpg?itok=CD8tyJnI
  • https://radiomed.ru/sites/default/files/styles/case_slider_image/public/user/18954/img-0007-00009.jpg?itok=Wk1hP7u7
  • https://radiomed.ru/sites/default/files/styles/case_slider_image/public/user/18954/img-0007-00010.jpg?itok=-mVhF-F2
  • https://radiomed.ru/sites/default/files/styles/case_slider_image/public/user/18954/img-0007-00011.jpg?itok=iiyfQX6g
  • https://radiomed.ru/sites/default/files/styles/case_slider_image/public/user/18954/img-0007-00012.jpg?itok=7FhRUyLI
  • https://radiomed.ru/sites/default/files/styles/case_slider_image/public/user/18954/img-0007-00013.jpg?itok=ubqSWP6s
  • https://radiomed.ru/sites/default/files/styles/case_slider_image/public/user/18954/img-0007-00014.jpg?itok=24HUoieb
  • https://radiomed.ru/sites/default/files/styles/case_slider_image/public/user/18954/img-0007-00015.jpg?itok=G7_Fo4aC
  • https://radiomed.ru/sites/default/files/styles/case_slider_image/public/user/18954/img-0007-00016.jpg?itok=uBpI6DDd
  • https://radiomed.ru/sites/default/files/styles/case_slider_image/public/user/18954/img-0007-00017.jpg?itok=5sqaPmSu
  • https://radiomed.ru/sites/default/files/styles/case_slider_image/public/user/18954/img-0007-00018.jpg?itok=T8T1CElM
  • https://radiomed.ru/sites/default/files/styles/case_slider_image/public/user/18954/img-0007-00019.jpg?itok=yIk9xo6f
  • https://radiomed.ru/sites/default/files/styles/case_slider_image/public/user/18954/img-0007-00020.jpg?itok=hcoBRqJN
  • https://radiomed.ru/sites/default/files/styles/case_slider_image/public/user/18954/img-0007-00021.jpg?itok=a3qoJOmh
  • https://radiomed.ru/sites/default/files/styles/case_slider_image/public/user/18954/img-0007-00022.jpg?itok=iH1MlE2s
  • https://radiomed.ru/sites/default/files/styles/case_slider_image/public/user/18954/img-0007-00023.jpg?itok=gfYq81ng
  • https://radiomed.ru/sites/default/files/styles/case_slider_image/public/user/18954/img-0008-00001_0.jpg?itok=rTt8VdPL
  • https://radiomed.ru/sites/default/files/styles/case_slider_image/public/user/18954/img-0008-00002_0.jpg?itok=StygBCbj
  • https://radiomed.ru/sites/default/files/styles/case_slider_image/public/user/18954/img-0008-00003_0.jpg?itok=kY4NWx0N
  • https://radiomed.ru/sites/default/files/styles/case_slider_image/public/user/18954/img-0008-00004.jpg?itok=dCMmsN4H
  • https://radiomed.ru/sites/default/files/styles/case_slider_image/public/user/18954/img-0008-00005.jpg?itok=x0B2zXiH
  • https://radiomed.ru/sites/default/files/styles/case_slider_image/public/user/18954/img-0008-00006.jpg?itok=LvHzA5tH
  • https://radiomed.ru/sites/default/files/styles/case_slider_image/public/user/18954/img-0008-00007.jpg?itok=tGIcejnF
  • https://radiomed.ru/sites/default/files/styles/case_slider_image/public/user/18954/img-0008-00008.jpg?itok=q-l1-VhQ
  • https://radiomed.ru/sites/default/files/styles/case_slider_image/public/user/18954/img-0008-00009.jpg?itok=8W8sDM7B
  • https://radiomed.ru/sites/default/files/styles/case_slider_image/public/user/18954/img-0008-00010.jpg?itok=w926RNbl
  • https://radiomed.ru/sites/default/files/styles/case_slider_image/public/user/18954/img-0008-00011.jpg?itok=wQp0NA2b
  • https://radiomed.ru/sites/default/files/styles/case_slider_image/public/user/18954/img-0008-00012.jpg?itok=4oy1FviF
  • https://radiomed.ru/sites/default/files/styles/case_slider_image/public/user/18954/img-0008-00013.jpg?itok=g_hCxaXX
  • https://radiomed.ru/sites/default/files/styles/case_slider_image/public/user/18954/img-0008-00014.jpg?itok=tb9NpdHO
  • https://radiomed.ru/sites/default/files/styles/case_slider_image/public/user/18954/img-0008-00015.jpg?itok=0hB7fngP
  • https://radiomed.ru/sites/default/files/styles/case_slider_image/public/user/18954/img-0008-00016.jpg?itok=lwehWeeD
  • https://radiomed.ru/sites/default/files/styles/case_slider_image/public/user/18954/img-0008-00017.jpg?itok=PyzNDit9
  • https://radiomed.ru/sites/default/files/styles/case_slider_image/public/user/18954/img-0008-00018.jpg?itok=21rPdgP9
  • https://radiomed.ru/sites/default/files/styles/case_slider_image/public/user/18954/img-0008-00019.jpg?itok=xdM4ByrP
  • https://radiomed.ru/sites/default/files/styles/case_slider_image/public/user/18954/img-0008-00020.jpg?itok=tuz2eUcF
  • https://radiomed.ru/sites/default/files/styles/case_slider_image/public/user/18954/img-0008-00021.jpg?itok=1atERDB4
  • https://radiomed.ru/sites/default/files/styles/case_slider_image/public/user/18954/img-0008-00022.jpg?itok=w8v1xtUu
  • https://radiomed.ru/sites/default/files/styles/case_slider_image/public/user/18954/img-0008-00023.jpg?itok=VJ1xAt31
  • https://radiomed.ru/sites/default/files/styles/case_slider_image/public/user/18954/img-0003-00001_3.jpg?itok=gZQ33KHU
  • https://radiomed.ru/sites/default/files/styles/case_slider_image/public/user/18954/img-0003-00002_1.jpg?itok=PXZFmNy6
  • https://radiomed.ru/sites/default/files/styles/case_slider_image/public/user/18954/img-0003-00003_0.jpg?itok=rLknkuYH
  • https://radiomed.ru/sites/default/files/styles/case_slider_image/public/user/18954/img-0003-00004_0.jpg?itok=D3rRJfOq
  • https://radiomed.ru/sites/default/files/styles/case_slider_image/public/user/18954/img-0003-00005_0.jpg?itok=MDMNxhGV
  • https://radiomed.ru/sites/default/files/styles/case_slider_image/public/user/18954/img-0003-00006_0.jpg?itok=jdylz4-y
  • https://radiomed.ru/sites/default/files/styles/case_slider_image/public/user/18954/img-0003-00007_0.jpg?itok=tz3HFaX9
  • https://radiomed.ru/sites/default/files/styles/case_slider_image/public/user/18954/img-0003-00008_0.jpg?itok=7ID_qSVF
  • https://radiomed.ru/sites/default/files/styles/case_slider_image/public/user/18954/img-0003-00009_0.jpg?itok=nrgNrgHp
  • https://radiomed.ru/sites/default/files/styles/case_slider_image/public/user/18954/img-0003-00010_0.jpg?itok=G6koeFkX
  • https://radiomed.ru/sites/default/files/styles/case_slider_image/public/user/18954/img-0003-00011_0.jpg?itok=FSh0ebTU
  • https://radiomed.ru/sites/default/files/styles/case_slider_image/public/user/18954/img-0003-00012_0.jpg?itok=y8psDG9T
  • https://radiomed.ru/sites/default/files/styles/case_slider_image/public/user/18954/img-0003-00013_0.jpg?itok=tpRHKMuz
  • https://radiomed.ru/sites/default/files/styles/case_slider_image/public/user/18954/img-0003-00014_0.jpg?itok=1mSxZCtP
  • https://radiomed.ru/sites/default/files/styles/case_slider_image/public/user/18954/img-0003-00015_0.jpg?itok=bD85Bun8
  • https://radiomed.ru/sites/default/files/styles/case_slider_image/public/user/18954/img-0003-00016_0.jpg?itok=XcTIfipw
  • https://radiomed.ru/sites/default/files/styles/case_slider_image/public/user/18954/img-0003-00017_0.jpg?itok=vvUicBVe
  • https://radiomed.ru/sites/default/files/styles/case_slider_image/public/user/18954/img-0003-00018_0.jpg?itok=c_luIx9_
  • https://radiomed.ru/sites/default/files/styles/case_slider_image/public/user/18954/img-0003-00019_0.jpg?itok=wfjW46ht
  • https://radiomed.ru/sites/default/files/styles/case_slider_image/public/user/18954/img-0003-00020_0.jpg?itok=OMc3YFQ6
  • https://radiomed.ru/sites/default/files/styles/case_slider_image/public/user/18954/img-0003-00051.jpg?itok=WG8ueTfc
  • https://radiomed.ru/sites/default/files/styles/case_slider_image/public/user/18954/img-0003-00052.jpg?itok=97-pKFUx
  • https://radiomed.ru/sites/default/files/styles/case_slider_image/public/user/18954/img-0003-00053.jpg?itok=V2pB8oGY
  • https://radiomed.ru/sites/default/files/styles/case_slider_image/public/user/18954/img-0003-00054.jpg?itok=tHC8TvMK
  • https://radiomed.ru/sites/default/files/styles/case_slider_image/public/user/18954/img-0003-00055.jpg?itok=ZwHtNoY6
  • https://radiomed.ru/sites/default/files/styles/case_slider_image/public/user/18954/img-0003-00056.jpg?itok=fBKSYN-q
  • https://radiomed.ru/sites/default/files/styles/case_slider_image/public/user/18954/img-0003-00057.jpg?itok=zWJNb5Si
  • https://radiomed.ru/sites/default/files/styles/case_slider_image/public/user/18954/img-0003-00058.jpg?itok=F1pgMBS1
  • https://radiomed.ru/sites/default/files/styles/case_slider_image/public/user/18954/img-0003-00059.jpg?itok=rQxaUYuL
  • https://radiomed.ru/sites/default/files/styles/case_slider_image/public/user/18954/img-0003-00060.jpg?itok=sIE_J4de
  • https://radiomed.ru/sites/default/files/styles/case_slider_image/public/user/18954/img-0003-00061.jpg?itok=czdM81x-
  • https://radiomed.ru/sites/default/files/styles/case_slider_image/public/user/18954/img-0003-00062.jpg?itok=gGhpRkL0
  • https://radiomed.ru/sites/default/files/styles/case_slider_image/public/user/18954/img-0003-00063.jpg?itok=aacClG0S
  • https://radiomed.ru/sites/default/files/styles/case_slider_image/public/user/18954/img-0003-00064.jpg?itok=afQR7aMb
  • https://radiomed.ru/sites/default/files/styles/case_slider_image/public/user/18954/img-0003-00065.jpg?itok=BnjCPJRu
  • https://radiomed.ru/sites/default/files/styles/case_slider_image/public/user/18954/img-0003-00066.jpg?itok=JQq7Plmk
  • https://radiomed.ru/sites/default/files/styles/case_slider_image/public/user/18954/img-0003-00067.jpg?itok=ZBqW3rxY
  • https://radiomed.ru/sites/default/files/styles/case_slider_image/public/user/18954/img-0003-00068.jpg?itok=8tsBJiSi
  • https://radiomed.ru/sites/default/files/styles/case_slider_image/public/user/18954/img-0003-00069.jpg?itok=ps_K1PJ5
  • https://radiomed.ru/sites/default/files/styles/case_slider_image/public/user/18954/img-0003-00070.jpg?itok=u5bYnco2
  • https://radiomed.ru/sites/default/files/styles/case_slider_image/public/user/18954/img-0003-00071.jpg?itok=LRPDUHdZ
  • https://radiomed.ru/sites/default/files/styles/case_slider_image/public/user/18954/img-0003-00072.jpg?itok=9YlBKgwX
  • https://radiomed.ru/sites/default/files/styles/case_slider_image/public/user/18954/img-0003-00073.jpg?itok=zWYFwnNt
  • https://radiomed.ru/sites/default/files/styles/case_slider_image/public/user/18954/img-0003-00074.jpg?itok=HgUd3ykN
  • https://radiomed.ru/sites/default/files/styles/case_slider_image/public/user/18954/img-0003-00075.jpg?itok=vaica7qM
  • https://radiomed.ru/sites/default/files/styles/case_slider_image/public/user/18954/img-0003-00076.jpg?itok=Ow1HCwJ0
  • https://radiomed.ru/sites/default/files/styles/case_slider_image/public/user/18954/img-0003-00077.jpg?itok=tcNyY3B8
  • https://radiomed.ru/sites/default/files/styles/case_slider_image/public/user/18954/img-0003-00078.jpg?itok=s_t9scHa
  • https://radiomed.ru/sites/default/files/styles/case_slider_image/public/user/18954/img-0003-00079.jpg?itok=K-GTN8cE
  • https://radiomed.ru/sites/default/files/styles/case_slider_image/public/user/18954/img-0003-00080.jpg?itok=5BZlg1CB
  • https://radiomed.ru/sites/default/files/styles/case_slider_image/public/user/18954/img-0003-00081.jpg?itok=ITrYQQKA
  • https://radiomed.ru/sites/default/files/styles/case_slider_image/public/user/18954/img-0003-00082.jpg?itok=wtn9KgCA
  • https://radiomed.ru/sites/default/files/styles/case_slider_image/public/user/18954/img-0003-00083.jpg?itok=CVc3-AZL
  • https://radiomed.ru/sites/default/files/styles/case_slider_image/public/user/18954/img-0003-00084.jpg?itok=RDycrU8-
  • https://radiomed.ru/sites/default/files/styles/case_slider_image/public/user/18954/img-0003-00085.jpg?itok=MGaaZtIF
  • https://radiomed.ru/sites/default/files/styles/case_slider_image/public/user/18954/img-0003-00086.jpg?itok=jkgqn08l
  • https://radiomed.ru/sites/default/files/styles/case_slider_image/public/user/18954/img-0003-00087.jpg?itok=zAdO44Rz
  • https://radiomed.ru/sites/default/files/styles/case_slider_image/public/user/18954/img-0003-00088.jpg?itok=jM5GRuW5
  • https://radiomed.ru/sites/default/files/styles/case_slider_image/public/user/18954/img-0003-00089.jpg?itok=ucG8boWE
  • https://radiomed.ru/sites/default/files/styles/case_slider_image/public/user/18954/img-0003-00090.jpg?itok=wzo3ZnU3
  • https://radiomed.ru/sites/default/files/styles/case_slider_image/public/user/18954/img-0003-00091.jpg?itok=ru7QuB6Z
  • https://radiomed.ru/sites/default/files/styles/case_slider_image/public/user/18954/img-0003-00092.jpg?itok=GtRzwwhc
Ax T2 ID:61187
Цель публикации: 
Anatoli4 аватар
Не на сайте
Был на сайте: 9 лет 8 месяцев назад
Зарегистрирован: 16.11.2010 - 20:26
Публикации: 153

По таким снимкам гипофиз оценить можно только примерно, тут мне кажется не стоит придираться. А почему не делали сосуды если тут аневризма?))

Helios аватар
Не на сайте
Был на сайте: 1 год 1 неделя назад
Зарегистрирован: 06.08.2010 - 15:16
Публикации: 4417

Гипофиз нормальный, аневризма-очень даже есть.

schlyapa аватар
Не на сайте
Был на сайте: 8 лет 5 месяцев назад
Зарегистрирован: 27.09.2013 - 22:15
Публикации: 613

Сосуды не входят в стандарт, описываю постфактум, в анамнезе аневризмы не было. Может кто-то знает, почему на Тошибе диффузионые изображения разбиваются на 2 вида: DWI(XGV) - 4 серии с нарастанием b-фактора и Isotropic DWI(XGV) -1 серия? Плюс ADC-карта.

Dima аватар
Не на сайте
Был на сайте: 7 лет 7 месяцев назад
Зарегистрирован: 05.08.2012 - 17:39
Публикации: 2467

Я за аневризму.

Терпимость - это когда прощают чужие ошибки; такт - когда не замечают их. (Артур Шницлер)