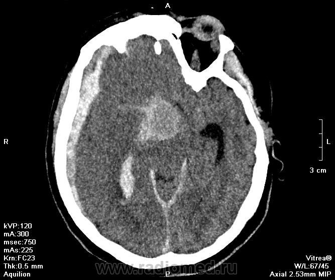
Аневризма ВСА

Пол пациента: 
Область исследования: 
Методы исследования: 

53 года, в анамнезе аневризма (где не знают, на руках никаких заключений нет)

колола лед, потеряла сознание, упала. Кома II.

 

Субдуральное кровоизлияние. Прорыв крови в желудочковую систему. 

Аневризма ВСА? 

  • https://radiomed.ru/sites/default/files/styles/case_slider_image/public/user/5821/1302090807.046.jpg?itok=wtJy6Lvt
  • https://radiomed.ru/sites/default/files/styles/case_slider_image/public/user/5821/1302090818.640.jpg?itok=awLOcd9k
  • https://radiomed.ru/sites/default/files/styles/case_slider_image/public/user/5821/1302090824.500.jpg?itok=pX8JoGiD
  • https://radiomed.ru/sites/default/files/styles/case_slider_image/public/user/5821/1302090880.515.jpg?itok=lIVR29oO
  • https://radiomed.ru/sites/default/files/styles/case_slider_image/public/user/5821/1302090872.437.jpg?itok=tvmI49Hw
  • https://radiomed.ru/sites/default/files/styles/case_slider_image/public/user/5821/1302090866.468.jpg?itok=FhNgoUo7
ID:13063
Посторонним В аватар
Не на сайте
Был на сайте: 6 лет 2 месяцев назад
Зарегистрирован: 16.08.2010 - 21:23
Публикации: 345

http://www.intermag.kiev.ua/uan/bulet/num9/42.html Сон А.С. Одесский государственный медицинский университет им.Н.И.Пирогова: "САК с субдуральной гематомой наблюдали у 1 больного, у которого внезапно возникла сильная головная боль, кратковременная потеря сознания. Состояние III степени, умеренный контралатеральный гемипарез, гомолатеральный парез III нерва, умеренная брадикардия. При КТ выявили гиперденсивный очаг в виде выпукло-вогнутой линзы на стороне пареза III нерва. Ангиографически обнаружили АА супраклиноидного отдела ВСА, во время операции клипировали шейку АА, которая исходила из верхне-латеральной стенки ВСА, в паутинной оболочке хиазмальной цистерны отмечали дефект с предлежащим в него куполом аневризмы, что очевидно привело к субдуральному кровоизлиянию."

...

Посторонним В аватар
Не на сайте
Был на сайте: 6 лет 2 месяцев назад
Зарегистрирован: 16.08.2010 - 21:23
Публикации: 345

да, кстати, видимых повреждений нет, переломов костей черепа и ушибов мягких тканей на КТ нет.. т.е. субдуральная гематома не травматического генеза, что и вызывает вопрос о локализации аневризмы

...

Nela аватар
Не на сайте
Был на сайте: 6 лет 3 месяцев назад
Зарегистрирован: 12.05.2009 - 20:43
Публикации: 1847

Должно быть это и есть аневризма. Нужна ангиография.

Приложения: 
1302090824.5001.jpg
Посторонним В аватар
Не на сайте
Был на сайте: 6 лет 2 месяцев назад
Зарегистрирован: 16.08.2010 - 21:23
Публикации: 345

четкие, ровные контуры - это она и есть. Меня интересует локализация, что дала субдуральное кровоизлияние, кровь во всех желудочках и не видно САК.

...

Nela аватар
Не на сайте
Был на сайте: 6 лет 3 месяцев назад
Зарегистрирован: 12.05.2009 - 20:43
Публикации: 1847

Сергей Викторович wrote:
http://www.intermag.kiev.ua/uan/bulet/num9/42.html Сон А.С. Одесский государственный медицинский университет им.Н.И.Пирогова: "САК с субдуральной гематомой наблюдали у 1 больного, у которого внезапно возникла сильная головная боль, кратковременная потеря сознания. Состояние III степени, умеренный контралатеральный гемипарез, гомолатеральный парез III нерва, умеренная брадикардия. При КТ выявили гиперденсивный очаг в виде выпукло-вогнутой линзы на стороне пареза III нерва. Ангиографически обнаружили АА супраклиноидного отдела ВСА, во время операции клипировали шейку АА, которая исходила из верхне-латеральной стенки ВСА, в паутинной оболочке хиазмальной цистерны отмечали дефект с предлежащим в него куполом аневризмы, что очевидно привело к субдуральному кровоизлиянию."

Вы сами ответили на свой вопрос. Чего только не бывает. Вероятнее всего супраклиноидный отдел. Для более точной локализации показана КТ-ангиография. 

Андрей Юрьевич аватар
Не на сайте
Был на сайте: 1 месяц 1 день назад
Зарегистрирован: 16.11.2008 - 22:16
Публикации: 18101

Сергей Викторович wrote:
... и не видно САК.

Как так - не видно САК. А затек по правому контуру,  разве не кровь в цистерне правой латеральной щели? А локализация - и передняя соединительная артерия может быть.

Андрей Юрьевич

ЛГ аватар
Не на сайте
Был на сайте: 9 лет 1 месяц назад
Зарегистрирован: 06.01.2010 - 12:31
Публикации: 3523

Какая красота! Спасибо за случай. СТА планируется после 2-х-3-х недель лечения?

Посторонним В аватар
Не на сайте
Был на сайте: 6 лет 2 месяцев назад
Зарегистрирован: 16.08.2010 - 21:23
Публикации: 345

пациента увезли, вряд ли встречусь.. хотя очень может быть, что и получится, ведь КТ у нас только 1 аппарат, а в рекомендациях ангиография. Непонятно только почему сразу не прислали...

...

ЛГ аватар
Не на сайте
Был на сайте: 9 лет 1 месяц назад
Зарегистрирован: 06.01.2010 - 12:31
Публикации: 3523

Наши неврологи считают, что в остром периоде нежелательно контрастировать. 2-3 недели выжидают.

Посторонним В аватар
Не на сайте
Был на сайте: 6 лет 2 месяцев назад
Зарегистрирован: 16.08.2010 - 21:23
Публикации: 345

Видимо, исходя из неоперабельности, в данном случае нет и смысла точно локализовать. Будем ждать. Если пришлют, обязательно выложу

...

ЛГ аватар
Не на сайте
Был на сайте: 9 лет 1 месяц назад
Зарегистрирован: 06.01.2010 - 12:31
Публикации: 3523

Ясно. 3 разаlaugh