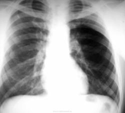
Синдром Поланда (СП) представляет собой комплекс пороков, включающий отсутствие большой и малой грудной мышц, синдактилию, брахидактилию, ателию (отсутствие соска молочной железы) и/или амастию (отсутствие самой молочной железы), деформацию или отсутствие нескольких ребер, отсутствие волос в подмышечной впадине и снижение толщины подкожно-жирового слоя. Отдельные компоненты этого синдрома впервые были описаны Lallemand LM (1826) и Frorier R (1839). Однако назван он по имени английского студента-медика Alfred Poland, который в 1841 году опубликовал частичное описание данной деформации. Полную характеристику синдрома в литературе впервые опубликовал Thompson J в 1895 году.
Вы совершенно правы. На самом деле я несколько раз встречал изображения данного синдрома, но при виде на снимке, так сказать в живую, не сразу все укладывается в голове. Но правильно собранный анамнез ставит все на свои места.
Терпимость - это когда прощают чужие ошибки; такт - когда не замечают их. (Артур Шницлер)
И как такое называется?
Поланда синдром (Poland syndrome)
Синдром Поланда (СП) представляет собой комплекс пороков, включающий отсутствие большой и малой грудной мышц, синдактилию, брахидактилию, ателию (отсутствие соска молочной железы) и/или амастию (отсутствие самой молочной железы), деформацию или отсутствие нескольких ребер, отсутствие волос в подмышечной впадине и снижение толщины подкожно-жирового слоя. Отдельные компоненты этого синдрома впервые были описаны Lallemand LM (1826) и Frorier R (1839). Однако назван он по имени английского студента-медика Alfred Poland, который в 1841 году опубликовал частичное описание данной деформации. Полную характеристику синдрома в литературе впервые опубликовал Thompson J в 1895 году.
Поланда синдром (Poland syndrome)
А, что за тень на 2 ребре справа?
Похоже на нечто плотненькое. Хотя, на мой взгляд, справа есть и другие тоже неоднозначные тени.
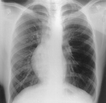
На самом деле я несколько раз встречал изображения данного синдрома, но при виде на снимке, так сказать в живую, не сразу все укладывается в голове. Но правильно собранный анамнез ставит все на свои места.
Терпимость - это когда прощают чужие ошибки; такт - когда не замечают их. (Артур Шницлер)
Терпимость - это когда прощают чужие ошибки; такт - когда не замечают их. (Артур Шницлер)
Хороший случай!
Не всегда рентгенолог может собрать анамнез и посмотреть пациента. А коллеги клиницисты часто "своим" манкируют...
Но все одно, боковой (в данном случае "левый") делать надо.
А если отсутствует только одна мышца: или большая грудная или малая - тоже с-м Поланда?
Терпимость - это когда прощают чужие ошибки; такт - когда не замечают их. (Артур Шницлер)
Спасибо, интересный случай!
https://www.youtube.com/channel/UCBGxoBUOqUT_bFhSeUgtWEw