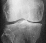
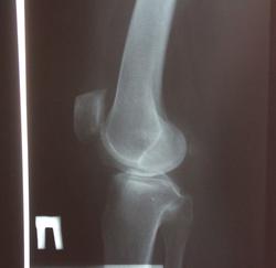
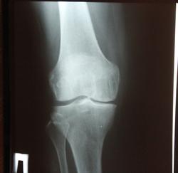
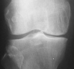
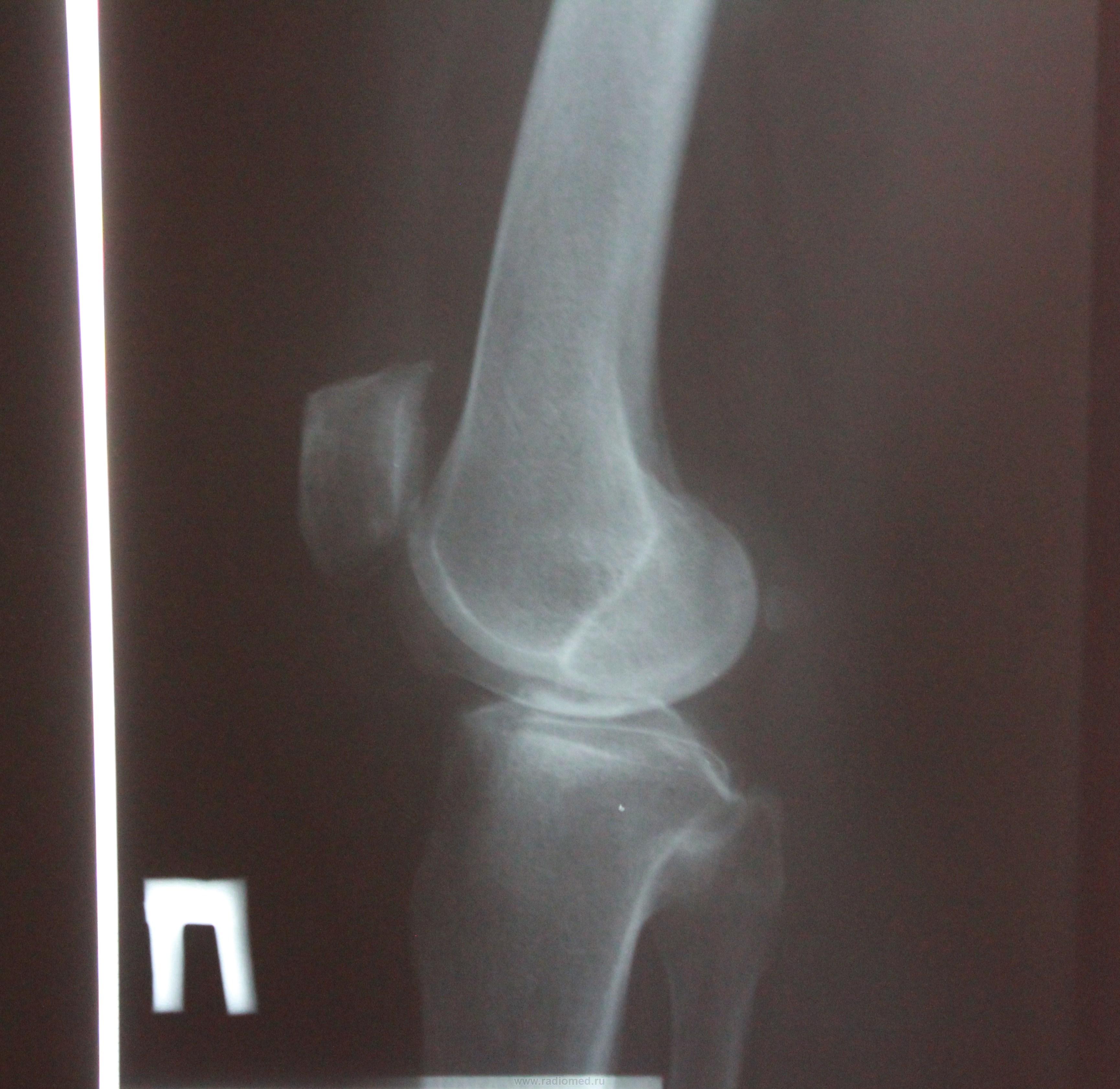
Пол пациента: Мужской пол Тип патологии: Другое Область исследования: Скелетно-мышечная система Методы исследования: Rg Гонартроз.Степень? https://radiomed.ru/sites/default/files/styles/case_slider_image/public/user/17208/img_1016.jpg?itok=h8mkxSs_ ID:24101 Ср, 31/10/2012 - 16:13 #1 фади 79 Не на сайте Был на сайте: 9 лет 2 недели назад Зарегистрирован: 30.10.2012 - 21:15 Публикации: 50 2 Ср, 31/10/2012 - 16:25 #2 Катенёв Валенти... Не на сайте Был на сайте: 7 лет 5 месяцев назад Зарегистрирован: 22.03.2008 - 22:15 Публикации: 54876 фади 79 wrote: 2 Что означает цифра "2"? Ср, 31/10/2012 - 16:50 #3 фади 79 Не на сайте Был на сайте: 9 лет 2 недели назад Зарегистрирован: 30.10.2012 - 21:15 Публикации: 50 второй степень Ср, 31/10/2012 - 17:00 #4 Катенёв Валенти... Не на сайте Был на сайте: 7 лет 5 месяцев назад Зарегистрирован: 22.03.2008 - 22:15 Публикации: 54876 фади 79 wrote: второй степень Второй степени нет, есть второя стадия по классификации Н.С. Косинской. Ср, 31/10/2012 - 17:02 #5 Катенёв Валенти... Не на сайте Был на сайте: 7 лет 5 месяцев назад Зарегистрирован: 22.03.2008 - 22:15 Публикации: 54876 Тут, даже при желании, больше первой нарыть не возможно с учетом таких краеугольных признаков, как субхондральный склероз и краевое остеофитообразование. Ср, 31/10/2012 - 17:04 #6 фади 79 Не на сайте Был на сайте: 9 лет 2 недели назад Зарегистрирован: 30.10.2012 - 21:15 Публикации: 50 А перый , второй? Ср, 31/10/2012 - 20:35 #7 maker4ik Не на сайте Был на сайте: 8 лет 11 месяцев назад Зарегистрирован: 19.10.2011 - 17:49 Публикации: 2682 1-2 Ср, 31/10/2012 - 20:51 #8 Катенёв Валенти... Не на сайте Был на сайте: 7 лет 5 месяцев назад Зарегистрирован: 22.03.2008 - 22:15 Публикации: 54876 Интересно, а почему маячит вторая? Чт, 01/11/2012 - 20:55 #9 maker4ik Не на сайте Был на сайте: 8 лет 11 месяцев назад Зарегистрирован: 19.10.2011 - 17:49 Публикации: 2682 Катенёв Валентин Львович wrote: Интересно, а почему маячит вторая? Щель медиально узковата, в верхнем полюсе надколенника (у нас принято и его учитывать) - остеофит огромный. Но на полноценную 2 все это не тянет. Чт, 01/11/2012 - 21:21 #10 Катенёв Валенти... Не на сайте Был на сайте: 7 лет 5 месяцев назад Зарегистрирован: 22.03.2008 - 22:15 Публикации: 54876 maker4ik wrote: Щель медиально узковата, в верхнем полюсе надколенника (у нас принято и его учитывать) - остеофит огромный. Но на полноценную 2 все это не тянет. Для второй сужение должно быть более 50% Чт, 01/11/2012 - 22:05 #11 алкс Не на сайте Был на сайте: 10 лет 5 месяцев назад Зарегистрирован: 24.10.2012 - 22:55 Публикации: 2915 Катенёв Валентин Львович wrote: maker4ik wrote: Щель медиально узковата, в верхнем полюсе надколенника (у нас принято и его учитывать) - остеофит огромный. Но на полноценную 2 все это не тянет. Для второй сужение должно быть более 50% А если остеофит в малоберцовой? Т.е. учитываете пожалуйста то, что относится к суставу см. пост Катенёв В.Л. Чт, 01/11/2012 - 23:19 #12 Катенёв Валенти... Не на сайте Был на сайте: 7 лет 5 месяцев назад Зарегистрирован: 22.03.2008 - 22:15 Публикации: 54876 Обработанные снимки.Приложения:
2
Что означает цифра "2"?
второй степень
Второй степени нет, есть второя стадия по классификации Н.С. Косинской.
Тут, даже при желании, больше первой нарыть не возможно с учетом таких краеугольных признаков, как субхондральный склероз и краевое остеофитообразование.
А перый , второй?
1-2
Интересно, а почему маячит вторая?
Щель медиально узковата, в верхнем полюсе надколенника (у нас принято и его учитывать) - остеофит огромный. Но на полноценную 2 все это не тянет.
Для второй сужение должно быть более 50%
А если остеофит в малоберцовой? Т.е. учитываете пожалуйста то, что относится к суставу см. пост Катенёв В.Л.
Обработанные снимки.