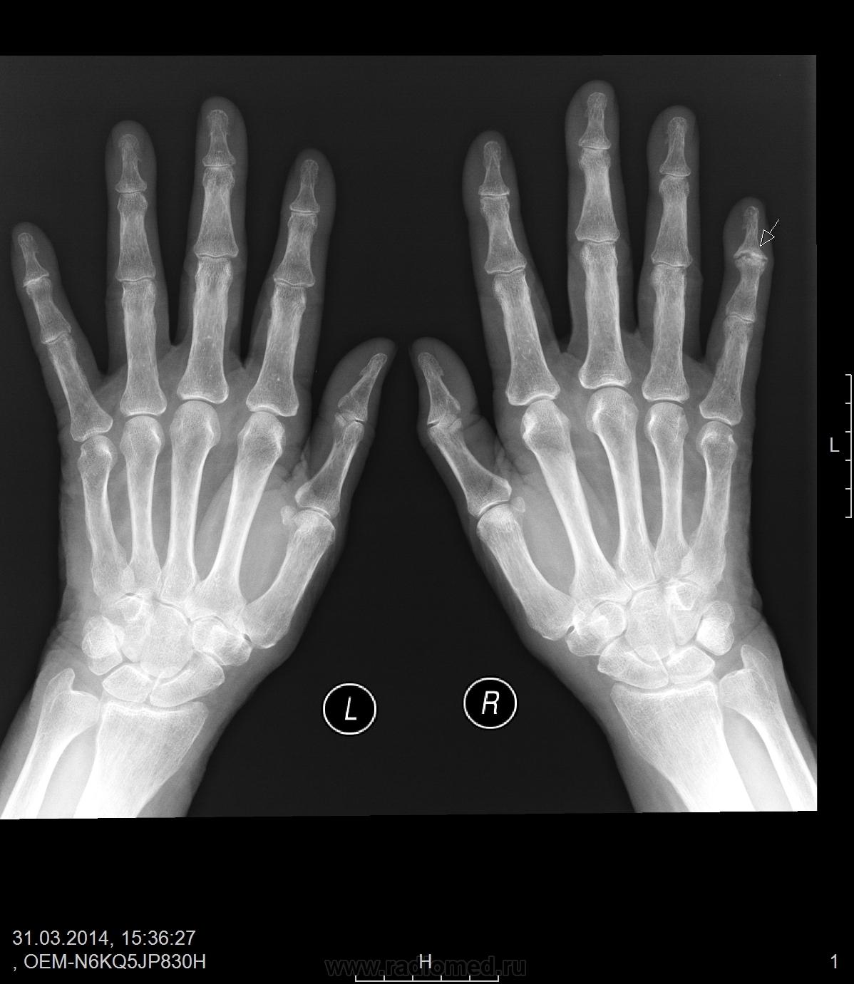
Артроз м/ф сустава V пальца справа

Пол пациента: 
Область исследования: 
Методы исследования: 

Помогите определитьс с поражением)

ID:36583
Doc84 аватар
Не на сайте
Был на сайте: 11 лет 10 месяцев назад
Зарегистрирован: 05.03.2014 - 15:21
Публикации: 209

Считаю, что артрит (ну или последствия артрита). Узурация суставных поверхностей есть. Анамнез бы - не было ли в прошлом или настоящем симптомов артрита  

перчик аватар
Не на сайте
Был на сайте: 6 месяцев 1 неделя назад
Зарегистрирован: 06.03.2014 - 12:16
Публикации: 721

Из анамнеза: суставной синдром - 1год. Из аналзиов: РФ-250, СРБ - 15.  Тобишь Рг картина расширения суставной щели и узурация суставной поверхности. А такое выборочное поражение для чего характерно?

Doc84 аватар
Не на сайте
Был на сайте: 11 лет 10 месяцев назад
Зарегистрирован: 05.03.2014 - 15:21
Публикации: 209

 

О расширении суставной щели можно говорить в случаях наличия в суставе выпота - в крупных суставах, и то не факт, как пишет уважаемый Самуил Аронович, здесь она ассиметрична, сужена, кажущееся расширение обусловлено узурацией. Вот насчёт нозологии я вам не подскажу, пусть ревматологи оценивают. Указанные вами лабораторные показатели намного ведь выше нормы - тогда однозначно к ревматологам

ren_gen аватар
Не на сайте
Был на сайте: 11 лет 6 месяцев назад
Зарегистрирован: 30.10.2010 - 19:17
Публикации: 285

а сколько лет? на мой взгляд похоже на остеоходропатию

перчик аватар
Не на сайте
Был на сайте: 6 месяцев 1 неделя назад
Зарегистрирован: 06.03.2014 - 12:16
Публикации: 721

пациентке 75 лет)

maker4ik аватар
Не на сайте
Был на сайте: 9 лет 2 недели назад
Зарегистрирован: 19.10.2011 - 17:49
Публикации: 2682

Просто ДОА 3.

NIL аватар
NIL
Не на сайте
Был на сайте: 3 недели 2 дня назад
Зарегистрирован: 25.11.2013 - 20:50
Публикации: 18217

Doc84 wrote:

Считаю, что артрит (ну или последствия артрита). Узурация суставных поверхностей есть. Анамнез бы - не было ли в прошлом или настоящем симптомов артрита  

Присоединяюсь. 


"Слушай всех, прислушивайся к немногим, решай сам".©

pumpan86 аватар
Не на сайте
Был на сайте: 10 лет 5 месяцев назад
Зарегистрирован: 03.01.2012 - 10:49
Публикации: 60

перчик wrote:

Из анамнеза: суставной синдром - 1год. Из аналзиов: РФ-250, СРБ - 15.  Тобишь Рг картина расширения суставной щели и узурация суставной поверхности. А такое выборочное поражение для чего характерно?

Вот Вам в помощь от НИИ Ревматологии

NIL аватар
NIL
Не на сайте
Был на сайте: 3 недели 2 дня назад
Зарегистрирован: 25.11.2013 - 20:50
Публикации: 18217

pumpan86 wrote:

перчик wrote:

Из анамнеза: суставной синдром - 1год. Из аналзиов: РФ-250, СРБ - 15.  Тобишь Рг картина расширения суставной щели и узурация суставной поверхности. А такое выборочное поражение для чего характерно?

Вот Вам в помощь от НИИ Ревматологии

Спасибо. Пригодится!


"Слушай всех, прислушивайся к немногим, решай сам".©

Дмитрий Волегов аватар
Не на сайте
Был на сайте: 3 года 12 месяцев назад
Зарегистрирован: 22.05.2013 - 00:32
Публикации: 1148

Из разговора бабушек на скамейке во дворе: "Вот уж как год как взялись руки болеть, никакого спасу не дают". -"Да это у тебя, Патрикеевна, подагра." В данном случае я с ними согласен - псевдоподагра (хондрокальциноз). А снимки очень качественные.

С Уважением, Дмитрий.

Павел Евгеньевич аватар
Не на сайте
Был на сайте: 8 лет 6 месяцев назад
Зарегистрирован: 02.07.2012 - 06:24
Публикации: 78

 а если приглядеться повнимательней (снимки это позволяют) можно выявить признаки патологии в каждом суставе, и поставить диагноз полиартрит. А уж какой он этилогии это нужно терапевту покопаться. Я лично  склоняюсь к мысли что все таки подагра.

maker4ik аватар
Не на сайте
Был на сайте: 9 лет 2 недели назад
Зарегистрирован: 19.10.2011 - 17:49
Публикации: 2682

Павел Евгеньевич wrote:

 а если приглядеться повнимательней (снимки это позволяют) можно выявить признаки патологии в каждом суставе, и поставить диагноз полиартрит. А уж какой он этилогии это нужно терапевту покопаться. Я лично  склоняюсь к мысли что все таки подагра.

Расскажите, пожалуйста, всем об этих признаках.

JJ аватар
JJ
Не на сайте
Был на сайте: 11 лет 10 месяцев назад
Зарегистрирован: 03.04.2014 - 20:35
Публикации: 102

[quote=Павел Евгеньевич]

 а если приглядеться повнимательней (снимки это позволяют) можно выявить признаки патологии в каждом суставе, и поставить диагноз полиартрит. А уж какой он этилогии это нужно терапевту покопаться. Я лично  склоняюсь к мысли что все таки подагра.

[/quote

тоже, думаю, что это подагрический артрит, для уточнения диагноза, рекомендовала бы еще, помимо лабораторных анализов, рентгенографию обеих стоп.