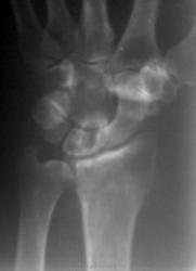
Пол пациента: Мужской пол Тип патологии: Другое Область исследования: Скелетно-мышечная система Методы исследования: Rg В направлении - артроз? https://radiomed.ru/sites/default/files/styles/case_slider_image/public/user/2667/r2.jpg?itok=USYVhjL7 ID:18055 Ср, 11/01/2012 - 19:02 #1 ЛГ Не на сайте Был на сайте: 8 лет 10 месяцев назад Зарегистрирован: 06.01.2010 - 12:31 Публикации: 3523 Киста и подвывих полулунной, помимо артроза. https://www.youtube.com/channel/UCBGxoBUOqUT_bFhSeUgtWEw Ср, 11/01/2012 - 20:05 #2 Евгений1313 Не на сайте Был на сайте: 13 лет 1 неделя назад Зарегистрирован: 15.10.2010 - 19:13 Публикации: 808 Не есть-ли это РА? Ср, 11/01/2012 - 22:05 #3 Наталия Васильевна Не на сайте Был на сайте: 5 лет 9 месяцев назад Зарегистрирован: 25.09.2011 - 09:02 Публикации: 754 Виктор Григорьевич, у Вас сегодня день имени подагры? Не совсем типично, но ОЧЕНЬ похоже, а с анализами что? Ср, 11/01/2012 - 22:05 #4 И.Бондаренко Не на сайте Был на сайте: 1 день 20 часов назад Зарегистрирован: 13.09.2011 - 22:55 Публикации: 9206 Еще и старый консолидированный перелом лучевой кости Ср, 11/01/2012 - 22:34 #5 Петрович Не на сайте Был на сайте: 7 лет 2 месяцев назад Зарегистрирован: 22.03.2009 - 01:13 Публикации: 3908 Полиартроз Неоднозначно всё Ср, 11/01/2012 - 22:49 #6 stovbav Не на сайте Был на сайте: 2 года 2 месяцев назад Зарегистрирован: 20.12.2009 - 17:28 Публикации: 7066 Согласен со всем, окромя РА)))) Болезни ног: виды, симптомы, причины, профилактика и лечение
Киста и подвывих полулунной, помимо артроза.
https://www.youtube.com/channel/UCBGxoBUOqUT_bFhSeUgtWEw
Не есть-ли это РА?
Виктор Григорьевич, у Вас сегодня день имени подагры? Не совсем типично, но ОЧЕНЬ похоже, а с анализами что?
Еще и старый консолидированный перелом лучевой кости
Полиартроз
Неоднозначно всё
Согласен со всем, окромя РА))))
Болезни ног: виды, симптомы, причины, профилактика и лечение