Артроз?2

Пол пациента: 
Тип патологии: 
Область исследования: 
Методы исследования: 

В направлении - артроз голоностопного сустава?

Глазков Игорь Артурович аватар
Не на сайте
Был на сайте: 1 год 2 месяцев назад
Зарегистрирован: 19.12.2008 - 20:41
Публикации: 1597

патологии не увидел.

Прийди к Себе

Евгений1313 аватар
Не на сайте
Был на сайте: 13 лет 5 месяцев назад
Зарегистрирован: 15.10.2010 - 19:13
Публикации: 808

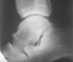
А таранно-ладьевидный артроз и экзостоз по тыльному краю таранной кости.

Петрович аватар
Не на сайте
Был на сайте: 7 лет 8 месяцев назад
Зарегистрирован: 22.03.2009 - 01:13
Публикации: 3908

Сустав этот выглядит необычно. Нет ли подвывиха? Нужна прямая проекция.

Неоднозначно всё

Евгений1313 аватар
Не на сайте
Был на сайте: 13 лет 5 месяцев назад
Зарегистрирован: 15.10.2010 - 19:13
Публикации: 808

Мне кажется призывничек хочет сходить в армию ,а врачи не пущают.

Игорь Иванович аватар
Не на сайте
Был на сайте: 4 года 2 месяцев назад
Зарегистрирован: 23.01.2010 - 14:56
Публикации: 3695

 N!

stovbav аватар
Не на сайте
Был на сайте: 2 года 7 месяцев назад
Зарегистрирован: 20.12.2009 - 17:28
Публикации: 7066

1. В армии он уже был))))

2. С ТАКОЙ таранной костью и ТАКИМИ остеофитами...и норма?))))...сомневаюсь я однако)))))

Игорь Иванович аватар
Не на сайте
Был на сайте: 4 года 2 месяцев назад
Зарегистрирован: 23.01.2010 - 14:56
Публикации: 3695

А что тут особенного? Суставные щели достаточные, равномерные, суставные поверхности не склерозированы. 1 - задний отросток таранной кости, 2 - по-моему скиалогическая штучка из-за нестрогобоковой проекции. Разве что 3 - структура?

Приложения: 
a1_0.jpg
Петрович аватар
Не на сайте
Был на сайте: 7 лет 8 месяцев назад
Зарегистрирован: 22.03.2009 - 01:13
Публикации: 3908

Если не подвывих, то аномалия.

Неоднозначно всё

Петрович аватар
Не на сайте
Был на сайте: 7 лет 8 месяцев назад
Зарегистрирован: 22.03.2009 - 01:13
Публикации: 3908

Мне не понравилась: 1) Разница ширины рентгеновских суставных щелей (стрелки).
 2) С чем это пяточная кость сочленяется? Где кубовидная? Не слилась ли она с ладьёй?

Приложения: 
kopiya_a1_0_str.jpg

Неоднозначно всё

i_vuduborets аватар
Не на сайте
Был на сайте: 11 лет 9 месяцев назад
Зарегистрирован: 14.04.2010 - 17:59
Публикации: 87

Петрович wrote:

Мне не понравилась: 1) Разница ширины рентгеновских суставных щелей (стрелки).
 2) С чем это пяточная кость сочленяется? Где кубовидная? Не слилась ли она с ладьёй?

тогда нужно доснять голеностоп в боковой проекции на чуть большую пленку и переднююю часть стопы, а также другую ногу. или автор все это уже имеет?

Игорь Иванович аватар
Не на сайте
Был на сайте: 4 года 2 месяцев назад
Зарегистрирован: 23.01.2010 - 14:56
Публикации: 3695

Петрович wrote:

Мне не понравилась: 1) Разница ширины рентгеновских суставных щелей (стрелки).
 2) С чем это пяточная кость сочленяется? Где кубовидная? Не слилась ли она с ладьёй?

Я думаю, что это из-за немного вольной проекции.

Приложения: 
cats.jpg