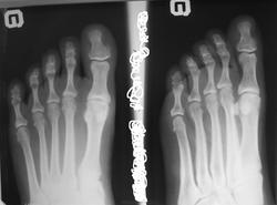
Пол пациента: Женский пол Тип патологии: Врожденная патология Область исследования: Скелетно-мышечная система Методы исследования: Rg Молодая женщина пришла на снимок. указывая на резкую болезненность в основание ногтевой фаланги 1 пальца стопы. ID:22391 Сб, 28/07/2012 - 14:46 #1 Dr.Yllich Не на сайте Был на сайте: 1 год 4 месяцев назад Зарегистрирован: 01.05.2011 - 22:52 Публикации: 1196 Экзостоз? С уважением. Ильич. Сб, 28/07/2012 - 18:18 #2 Глазков Игорь А... Не на сайте Был на сайте: 9 месяцев 2 недели назад Зарегистрирован: 19.12.2008 - 20:41 Публикации: 1597 похоже на это. Прийди к Себе Сб, 28/07/2012 - 22:31 #3 И.Бондаренко Не на сайте Был на сайте: 2 дня 12 часов назад Зарегистрирован: 13.09.2011 - 22:55 Публикации: 9206 +1 Вс, 29/07/2012 - 22:02 #4 Катенёв Валенти... Не на сайте Был на сайте: 7 лет 2 недели назад Зарегистрирован: 22.03.2008 - 22:15 Публикации: 54876 По всей видимости, такой экзостоз и клинику может дать.
Экзостоз?
С уважением. Ильич.
похоже на это.
Прийди к Себе
+1
По всей видимости, такой экзостоз и клинику может дать.