Болезнь Форестье?

Пол пациента: 
Тип патологии: 
Область исследования: 
Методы исследования: 

Здравствуйте, уважаемые коллеги! Очень нужен совет!

М, 73 года.

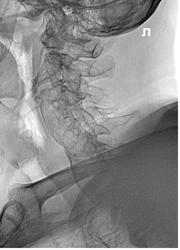
Травма 2 недели назад.Ударился правым плечом и шеей. Лечился амбулаторно без эффекта.

Со слов: "отсутствуют межпозвонковые диски в шее". Других анамнестических данных нет. Клинически- ярко выраженный болевой синдром и кривошея.

Порерыв литературу настолько быстро, насколько это позволял режим работы "на потоке"в  рентгеновском кабинете  в скоропомощой больнице и посоветовавшись с рентгенологами кабинета КТ, и нейрохирургами, так и не нашлось убедтиельной версии. Наиболее близко это к болезни Форестье? Смущает масштаб поражения и отсутствие замыкательных пластин, а так же остеопороз.

Перелом описала в суставных отростках С7. На КТ перелом правой дужки и поперечного отростка С7 со смещением отломков.

Получить DICOM из КТ-кабинета пока не представляется возможным. Извините за телефонное качество снимков.

  • https://radiomed.ru/sites/default/files/styles/case_slider_image/public/user/10616/368311.jpg?itok=AJT8twZQ
  • https://radiomed.ru/sites/default/files/styles/case_slider_image/public/user/10616/camerazoom-20121011180844835.jpg?itok=fUWAoJsP
  • https://radiomed.ru/sites/default/files/styles/case_slider_image/public/user/10616/camerazoom-20121011181317264.jpg?itok=HpT07ljc
  • https://radiomed.ru/sites/default/files/styles/case_slider_image/public/user/10616/camerazoom-20121011181325665.jpg?itok=uB7XNTd5
  • https://radiomed.ru/sites/default/files/styles/case_slider_image/public/user/10616/camerazoom-20121011181506509.jpg?itok=2sQ94_5o
ID:39104
И.Бондаренко аватар
Не на сайте
Был на сайте: 9 часов 47 минут назад
Зарегистрирован: 13.09.2011 - 22:55
Публикации: 9213

Болезнь Форестье.

Любовь С. аватар
Не на сайте
Был на сайте: 9 лет 10 месяцев назад
Зарегистрирован: 23.12.2010 - 01:58
Публикации: 2324

Форестье. Но суть не в этом. Непонятно, что с суставными парами С6-7... Такое расхождение остистых С6 и С7, кортикал заднего края С6 в проекции костного канала спинного мозга. У меня впечатление перелома и С6, и С7 с травматическим вывихом в суставной паре С6-7 минимум...

Нужны дайкомы, или хотя бы сагитталы по суставным отросткам справа и слева (детализация соотношений в суставах и целостности суставных отростков), штуки по 3 реконструкций, + короналы зоны интереса. Перелом остистого не увидела: на сагиттале часть заднего края отростка "в срезе", скорее всего.

"Предоставляя весь смысл и совершенство в распоряжение одного только Бога, вы избавляете себя от бездны хлопот." Джон Уитборн.

Марина Сергеевна аватар
Не на сайте
Был на сайте: 11 месяцев 3 недели назад
Зарегистрирован: 26.04.2011 - 11:56
Публикации: 996

Спасибо большое за комментарии!

Перелом я описывала в суставных, а на КТ он оказался в дужке и в поперечном отростке С7 справа. С6 повреждение не описывалось. Хотя мне очень интересно почему идет такое прерывание тени передней продольной связки на уровне тела С6? это компонент перелома?  там есть аутогаз, но и травма 2 недели назад.

К сожалению не достать мне дайкомы. Может на следющей неделе достану только. Для меня было интереснее Форестье это или нет. Были по рентген- снимкам версии и  тбк спондилита и конкресценции. 

"There is no teacher, who can teach us anything new. He just can help us to remember the things we always knew" (c) Enigma.

Mitkampfer аватар
Не на сайте
Был на сайте: 11 лет 6 месяцев назад
Зарегистрирован: 27.07.2010 - 07:43
Публикации: 1454

Ну если бы отсутствовали диски, то скорее Клиппеля-Фейля или Бехтерева.

Грудной еще посмотрите начинается то с него чаще Форестье.

Не ограничивайте свою мысль

Живешь пока учишься

Ecrasez l’infame