Болезнь Легг - Кальве - Пертеса?

Пол пациента: 
Тип патологии: 
Область исследования: 
Методы исследования: 

Болезнь Легг - Кальве - Пертеса?

В течение года боли в тазобедренном сустава и поясничном отделе позвоночника.

 

Позвоночник.

 

 

 

 

  • https://radiomed.ru/sites/default/files/styles/case_slider_image/public/user/12/2.p8060003.jpg?itok=ZUe8VCXl
  • https://radiomed.ru/sites/default/files/styles/case_slider_image/public/user/12/3.p8060003a.jpg?itok=5uYb40J4
  • https://radiomed.ru/sites/default/files/styles/case_slider_image/public/user/12/4.p8060004.jpg?itok=pGyfLxut
  • https://radiomed.ru/sites/default/files/styles/case_slider_image/public/user/12/5.p8060004a.jpg?itok=8TQStvua
  • https://radiomed.ru/sites/default/files/styles/case_slider_image/public/user/12/6.p8060004ab.jpg?itok=3Tf_XuFQ
  • https://radiomed.ru/sites/default/files/styles/case_slider_image/public/user/12/7.p8060005.jpg?itok=4xVloJCM
  • https://radiomed.ru/sites/default/files/styles/case_slider_image/public/user/12/8.p8060005a.jpg?itok=3A3pb1fg
  • https://radiomed.ru/sites/default/files/styles/case_slider_image/public/user/12/1.p8060012.jpg?itok=hld3LPQB
  • https://radiomed.ru/sites/default/files/styles/case_slider_image/public/user/12/2.p8060013.jpg?itok=JCtWd-nE
  • https://radiomed.ru/sites/default/files/styles/case_slider_image/public/user/12/3.p8060014.jpg?itok=7WRT7c-6
  • https://radiomed.ru/sites/default/files/styles/case_slider_image/public/user/12/1.p8060006.jpg?itok=tnuoSzeZ
  • https://radiomed.ru/sites/default/files/styles/case_slider_image/public/user/12/2.p8060007.jpg?itok=xglaTl78
  • https://radiomed.ru/sites/default/files/styles/case_slider_image/public/user/12/3.p8060008.jpg?itok=QrK5munx
ID:5299
Катенёв Валентин Львович аватар
Не на сайте
Был на сайте: 7 лет 5 месяцев назад
Зарегистрирован: 22.03.2008 - 22:15
Публикации: 54876

Левый для сравнения.

 

Приложения: 
1p8060002.jpg2.p8060002b.jpg
Иринка аватар
Не на сайте
Был на сайте: 11 лет 10 месяцев назад
Зарегистрирован: 16.11.2009 - 22:14
Публикации: 190

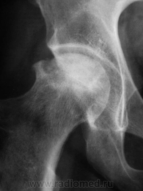
Асептический некроз головки правой бедренной кости, в стадии импрессионного перелома.

Vikkur аватар
Не на сайте
Был на сайте: 5 лет 4 недели назад
Зарегистрирован: 24.09.2009 - 14:34
Публикации: 1749

Очень похоже на Пертеса...

Виктор.

stovbav аватар
Не на сайте
Был на сайте: 2 года 7 месяцев назад
Зарегистрирован: 20.12.2009 - 17:28
Публикации: 7066

Согласен с наличием асептического некроза.

ЛГ аватар
Не на сайте
Был на сайте: 9 лет 3 месяцев назад
Зарегистрирован: 06.01.2010 - 12:31
Публикации: 3523

Асептический некроз. Не Пертеса, т.к. пациент явно старше 14 лет. У нас таких оперируют - эндопротез.

Петрович аватар
Не на сайте
Был на сайте: 7 лет 7 месяцев назад
Зарегистрирован: 22.03.2009 - 01:13
Публикации: 3908

Да уж, господа, оставьте компанию Легг-Кальве-Пертеса в покое: этот Асептический некроз явно без них возник. Согласен с Иринкой в стадии.

Неоднозначно всё

Vikkur аватар
Не на сайте
Был на сайте: 5 лет 4 недели назад
Зарегистрирован: 24.09.2009 - 14:34
Публикации: 1749

Петрович wrote:

Да уж, господа, оставьте компанию Легг-Кальве-Пертеса в покое: этот Асептический некроз явно без них возник. Согласен с Иринкой в стадии.

Да Вы конечно правы, чет я запамятовал...

Виктор.