Боли в локте

Пол пациента: 
Тип патологии: 
Методы исследования: 

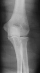
Молодой мужчина. Постоянный дискомфорт и боли в локте.

 

Что скажете, коллеги?

  • https://radiomed.ru/sites/default/files/styles/case_slider_image/public/user/2667/f6f755ded7cb.jpg?itok=PZ2PX-CW
ID:16486
brainmodel аватар
Не на сайте
Был на сайте: 2 месяцев 2 недели назад
Зарегистрирован: 18.03.2010 - 22:04
Публикации: 2881

Так-то вроде бы ничего криминального. Два поперечных артефакта не в счет. Смущает продольная линейная тень, похожая на склероз борозды локтевого нерва (раньше такого не видел). Вообще, если товарищ занимается физическим трудом или физкультурой, после прекращения нагрузок боли обычно стихают.

Приложения: 
lokot_bok.jpg

Verum plus uno esse non potest.

Makcimalist аватар
Не на сайте
Был на сайте: 11 лет 8 месяцев назад
Зарегистрирован: 08.05.2010 - 14:28
Публикации: 1994

stovbav wrote:

Молодой мужчина. Постоянный дискомфорт и боли в локте.

Что скажете, коллеги?

- Посоветовал бы УЗИ сустава, вследствие рентгеннегативного дискомфорта.

--------------

"Просто, по видимости, не видеть логики в очевидных вещах - это тоже одно из свойств некоторых умов, наряду с грустными думами о свойствах ума других."  © Vega 08/10/2011

Крупский Павел аватар
Не на сайте
Был на сайте: 14 лет 1 месяц назад
Зарегистрирован: 27.10.2011 - 07:40
Публикации: 3

сужение суставной щели в боковой проекции плечелоктевого сустава, в прямой зияние плечелучевой щели, в прямой деформация продольной оси и видимое переразгибание. Диагноз: потеря стабилизации связочного аппарата.  

Андрей Юрьевич аватар
Не на сайте
Был на сайте: 3 дня 15 часов назад
Зарегистрирован: 16.11.2008 - 22:16
Публикации: 18098

Крупский Павел wrote:

сужение суставной щели в боковой проекции плечелоктевого сустава, в прямой зияние плечелучевой щели, в прямой деформация продольной оси и видимое переразгибание. Диагноз: потеря стабилизации связочного аппарата.  

Ничего себе. Это что, сейчас вот так вот учат?

Андрей Юрьевич

Игорь Иванович аватар
Не на сайте
Был на сайте: 3 года 9 месяцев назад
Зарегистрирован: 23.01.2010 - 14:56
Публикации: 3695

N

brainmodel аватар
Не на сайте
Был на сайте: 2 месяцев 2 недели назад
Зарегистрирован: 18.03.2010 - 22:04
Публикации: 2881

Крупский Павел wrote:

сужение суставной щели в боковой проекции плечелоктевого сустава, в прямой зияние плечелучевой щели, в прямой деформация продольной оси и видимое переразгибание. Диагноз: потеря стабилизации связочного аппарата.  

Мощно... Нет слов...

Verum plus uno esse non potest.

VaRy аватар
Не на сайте
Был на сайте: 13 лет 8 месяцев назад
Зарегистрирован: 21.05.2011 - 23:26
Публикации: 66

Нечеткость наружного контура мыщелков плечевой кости... Вроде бы и всё. Наверное погрешность съемки?

Александр Викторович аватар
Не на сайте
Был на сайте: 8 лет 2 дня назад
Зарегистрирован: 31.07.2010 - 13:05
Публикации: 639

 мне проксимальный метафиз локтевой кости смотрится несколько подвздутым, больше изменений не увидел, взаимоотношение костей в лотевом суставе правильное.