Боли в области голеностопного сустава.

Пол пациента: 
Тип патологии: 
Область исследования: 
Методы исследования: 

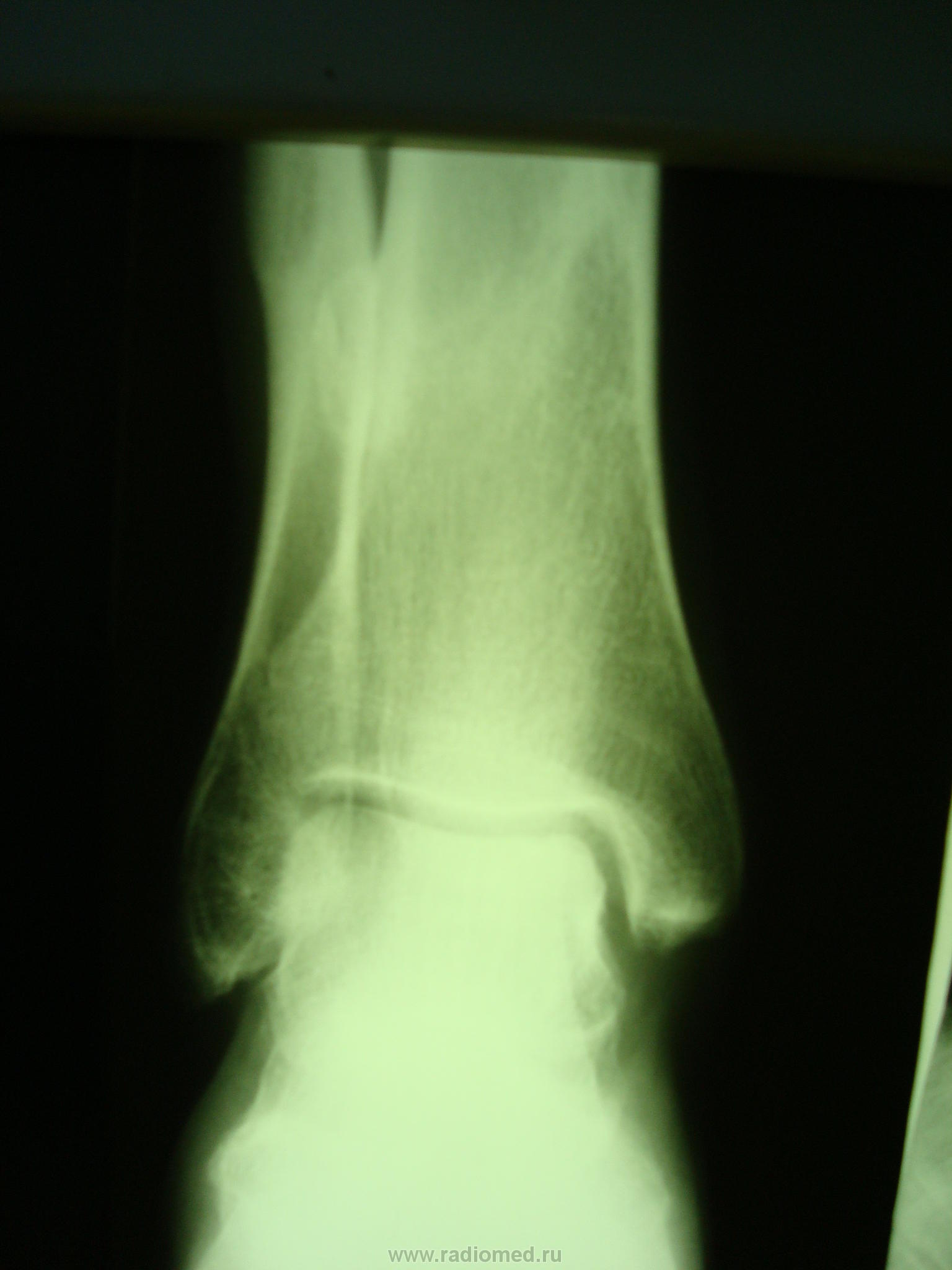
В анамнезе перелом костей голени год назад. Несколько месяцев назад появились боли в области голеностопного сустава.Интересует природа округлого образования в межберцовом промежутке.

  • https://radiomed.ru/sites/default/files/styles/case_slider_image/public/user/406/no2.jpg?itok=IuL7oXLb
  • https://radiomed.ru/sites/default/files/styles/case_slider_image/public/user/406/no3.jpg?itok=BxC6DQGQ
  • https://radiomed.ru/sites/default/files/styles/case_slider_image/public/user/406/no4.jpg?itok=A0OTeFS9
ID:14097
ЛГ аватар
Не на сайте
Был на сайте: 8 лет 10 месяцев назад
Зарегистрирован: 06.01.2010 - 12:31
Публикации: 3523

На обызвествление поднадкостничной гематомы не похоже?

Приложения: 
no2--1.jpgno4---1.jpg
Петрович аватар
Не на сайте
Был на сайте: 7 лет 2 месяцев назад
Зарегистрирован: 22.03.2009 - 01:13
Публикации: 3908

Структура костная плохо видна. Я к примеру, не нахожу признаков перелома костей голени. А так, можно предположить остеому, если возраст молодой.

Неоднозначно всё

Kat аватар
Kat
Не на сайте
Был на сайте: 12 лет 6 месяцев назад
Зарегистрирован: 19.04.2011 - 19:10
Публикации: 365

 

У меня тоже первая мысль была об остеоме. Второй не было...однозначно что ли?)))

Временно отсутствую на сайте...

Dr.Akulla аватар
Не на сайте
Был на сайте: 11 лет 10 месяцев назад
Зарегистрирован: 28.05.2011 - 20:06
Публикации: 218

Определяется косой консолидированный перелом дистальной трети диафиза берцовых костей. При переломе делали же снимки, запросите архив, было ли там это овальное образование? Можно доп.снимок с ротацией кнутри, чтоб на контур вышло. Может это лишь реактивное посттравматическое разрастание костной ткани.

Almo аватар
Не на сайте
Был на сайте: 1 день 4 часа назад
Зарегистрирован: 28.09.2008 - 18:50
Публикации: 8248

Спасибо коллега, то что вы написали про переломы  "попали в точку" и за дельные мысли, запрость снимки, через кокое-то время после травмы. Скорее всего, это какая-то посттравматическая  метаплазия  мягких тканей в костную.

Петрович аватар
Не на сайте
Был на сайте: 7 лет 2 месяцев назад
Зарегистрирован: 22.03.2009 - 01:13
Публикации: 3908

Виноват слона не приметил)). Я искал именно перелом. Мне показалось при первом взгляде, что давность травмы 1 мес.

Dr.Akulla! Нельзя ли ссылку или название источника, где можно прочитать про "реактивное посттравматическое разрастание костной ткани". Это ведь что-то отличное от костной мозоли?

Неоднозначно всё

Dr.Akulla аватар
Не на сайте
Был на сайте: 11 лет 10 месяцев назад
Зарегистрирован: 28.05.2011 - 20:06
Публикации: 218

Термин доморощенный, но посттравматические изменения близ линии перелома нередки. Периостальная реакция, быть может. Без явной травмы встречаются обызвествления межберцового промежутка. У Рейнберга: "Однократная травма может осложниться также обызвествлением и окостенением одних только сухожилий и других околосуставных мягких тканей",  в главе об оссифицирующем миозите. Я не утверждаю, что тут нет остеомы, как по мне так нужна еще одна проекция и анализ снимков во время, после травмы. 

Kuzmitch аватар
Не на сайте
Был на сайте: 12 лет 7 месяцев назад
Зарегистрирован: 01.10.2010 - 18:20
Публикации: 171

А ещё есть термин избыточная периостальная мозоль, но здесь как-то не тянет...

Евгений1313 аватар
Не на сайте
Был на сайте: 13 лет 4 дня назад
Зарегистрирован: 15.10.2010 - 19:13
Публикации: 808

А не проще-сросшиеся переломы диафизов нижней трети костей голени с формированием межберцового синостоза...