А в анамнезе что ? Контактные площадки 7-го позвонка уплотнены , сам он немного уменьшен по высоте и небольшая клиновидная его деформация - на 1 степ старого компрессионного похоже . И 1 степ сколиоза .
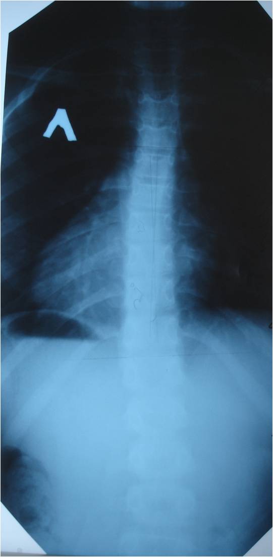
Контактные площадки 7-го позвонка уплотнены , сам он немного уменьшен по высоте и небольшая клиновидная его деформация - на 1 степ старого компрессионного похоже .
На основании болей, возраста, снижения высоты тела только одного позвонка можно предположить остеохондропатию тела 8-го грудного позвонка – болезнь Кальве.
На основании болей, возраста, снижения высоты тела только одного позвонка можно предположить остеохондропатию тела 8-го грудного позвонка – болезнь Кальве.
На Кальве не тянет. Костная структура позвонка не изменена. Это может быть проекционное искожение. T8 находится как раз на вершине сколиотической дуги.
Мне кажется, что Вы не совсем верно расчертили позвоночник . Я бы линию провела ниже.
Положим, снимки не я расчерчивал. Я, видите ли, ортопед, а не рентгенолог. До сих пор, к счастью, расчерчивать снимки не приходилось, и без того проблем хватает
На основании болей, возраста, снижения высоты тела только одного позвонка можно предположить остеохондропатию тела 8-го грудного позвонка – болезнь Кальве.
На Кальве не тянет. Костная структура позвонка не изменена. Это может быть проекционное искажение. T8 находится как раз на вершине сколиотической дуги.
Вот именно этот-то позвонок меня и смущает. Болевой синдром не свойственен собственно сколиозу, нужны другие причины. Да и сколиозик-то небольшой, на грани нарушения осанки.
Контактные площадки 7-го позвонка уплотнены , сам он немного уменьшен по высоте и небольшая клиновидная его деформация - на 1 степ старого компрессионного похоже .
Трапецевидную форму тел позвонков на уроне Th6-Th8-можно рассматривать как вариант нормы(из лекций профессора Жаркова П.Л.).
На снимке, уважаемый Александр (простите, отчество не знаю), не клиновидная, а трапециевидная деформация позвонка? Хорошо, допустим, норма. Но наличие болевых ощущений в области позвонка измененной формы не должно ли вызвать некоторую настороженность?
При всём уважении к Леониду, мне кажется ,трудно это полагать ( что бы полагать, должны быть какие-то объектвные, доказательные основания, лично у меня их нет), но я предполагал, что возможно боль имеет мышечное происхождение( кстати, 70% всех болей в позвоночнике).
Мне кажется, что Вы не совсем верно расчертили позвоночник . Я бы линию провела ниже.
"Слушай всех, прислушивайся к немногим, решай сам".©
А в анамнезе что ? Контактные площадки 7-го позвонка уплотнены , сам он немного уменьшен по высоте и небольшая клиновидная его деформация - на 1 степ старого компрессионного похоже . И 1 степ сколиоза .
Контактные площадки 7-го позвонка уплотнены , сам он немного уменьшен по высоте и небольшая клиновидная его деформация - на 1 степ старого компрессионного похоже .
----------------------------------------------------------------------------------------------------------------------------------------------------------------------------
Трапецевидную форму тел позвонков на уроне Th6-Th8-можно рассматривать как вариант нормы(из лекций профессора Жаркова П.Л.).
Похоже на клиновидную деформацию Тн-8 (снижение высоты в переднем отделе тела позвонка ) -компресия.
На основании болей, возраста, снижения высоты тела только одного позвонка можно предположить остеохондропатию тела 8-го грудного позвонка – болезнь Кальве.
С Уважением, Дмитрий.
"Слушай всех, прислушивайся к немногим, решай сам".©
Положим, снимки не я расчерчивал. Я, видите ли, ортопед, а не рентгенолог. До сих пор, к счастью, расчерчивать снимки не приходилось, и без того проблем хватает
Вот именно этот-то позвонок меня и смущает. Болевой синдром не свойственен собственно сколиозу, нужны другие причины. Да и сколиозик-то небольшой, на грани нарушения осанки.
На снимке, уважаемый Александр (простите, отчество не знаю), не клиновидная, а трапециевидная деформация позвонка? Хорошо, допустим, норма. Но наличие болевых ощущений в области позвонка измененной формы не должно ли вызвать некоторую настороженность?
Посттравматическая деформация D8 в исходе его компрессионного перелома?
Хорошо, допустим, норма. Но наличие болевых ощущений в области позвонка измененной формы не должно ли вызвать некоторую настороженность?
------------------------------------------------------------------------------------------------------------------------------------------------------------------------------------------
Вы-клиницист, вам виднее. Всегда ли вы можете объяснить причину болей в позвоночнике изменениями на R-граммах?
Конечно, не всегда, уважаемый коллега. Но если возникают какие-то подозрения и сомнения, хочется их разрешить.
Спасибо, я тоже думаю, что далеко не всегда находками на R-граммах, можно объяснить причины жалоб пациентов.
Спасибо, уважаемые коллеги, за высказанные мнения.
На сколько усердно учится девочка в школе? Эту осанку, обычно, можно увидеть в классе с где учителя-диктаторы.
Я полагаю в данном случая мышечная боль.
Я полагаю в данном случая мышечная боль.
------------------------------------------------------------------------------------------------------------------------------------------------------
При всём уважении к Леониду, мне кажется ,трудно это полагать ( что бы полагать, должны быть какие-то объектвные, доказательные основания, лично у меня их нет), но я предполагал, что возможно боль имеет мышечное происхождение( кстати, 70% всех болей в позвоночнике).