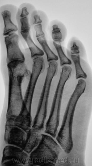
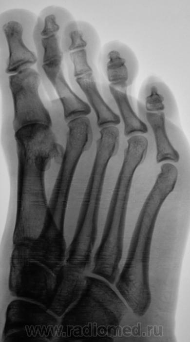
Пол пациента: Женский пол Тип патологии: Другое Область исследования: Скелетно-мышечная система Методы исследования: Rg Боли в стопе. Направлен на рентгенографию стопы. https://radiomed.ru/sites/default/files/styles/case_slider_image/public/user/12/2.201201010085.jpg?itok=dJXkcu51 https://radiomed.ru/sites/default/files/styles/case_slider_image/public/user/12/3.201401050084.jpg?itok=IXpYjiPy https://radiomed.ru/sites/default/files/styles/case_slider_image/public/user/12/4.201401050086.jpg?itok=HhXvQ302 ID:34659 Чт, 09/01/2014 - 19:39 #1 Сергей Кузьминов Не на сайте Был на сайте: 1 год 2 недели назад Зарегистрирован: 06.10.2012 - 15:51 Публикации: 11813 Назову неполным вывихом в первом плюстнефаланговом суставе. Чт, 09/01/2014 - 19:41 #2 pumpan86 Не на сайте Был на сайте: 9 лет 12 месяцев назад Зарегистрирован: 03.01.2012 - 10:49 Публикации: 60 Сергей Кузьминов wrote: Назову неполным вывихом в первом плюстнефаланговом суставе. +1. Он же подвывих.
Назову неполным вывихом в первом плюстнефаланговом суставе.