Бронхиоло-альвеолярный paк лёгких.

Пол пациента: 
Методы исследования: 

Пациент м., возраст – 53 года направлен на исследование органов грудной полости участковым терапевтом с подозрением на правостороннюю пневмонию.  

 

Рентгенологическое исследование проведено по стандартной методике (на РДК на 3 рабочих места – «Вироматик».

1
1
2
2

 

 

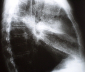
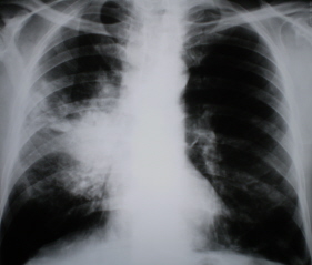
На рентгенограммах органов грудной полости, произведенных в стандартных проекциях – прямая и правая боковая (иллюстрации № 1 и № 2) определяется снижение прозрачности легочной ткани за счет инфильтрации в верхней доле правого лёгкого, с преимущественным поражением заднего и переднего сегментов. Также определяется снижение прозрачности легочной ткани в средней доле в виде очагов сливного характера с некоторым объёмным уменьшением. Плевра в главной и малой междолевых щелях плевра утолщена.

3
3
4
4

 

 

На линейных томограммах, произведенных в прямой проекции (иллюстрации 3, 4) участок сниженной прозрачности легочной ткани довольно однородной структуры. По верхнему контуру дифференцируются «мелкие линейные структуры», направленные каудально. Корень правого лёгкого раздельно не дифференцируется, на воне его отдельные очаговые уплотнения. На всем протяжении легочных полей дифференцируются отдельные очаговые тени малой и средней интенсивности, преимущественно в средних и нижних отделах легочных полей, хорошо определяющиеся в латеральных отделах.

5
5
6
6

На линейных томограммах, произведенных в боковой проекции (иллюстрации 5, 6, 7, 8, 9) фиксируется картина «инфильтративно измененной легочной ткани». На иллюстрации 7 в 6 сегменте дифференцируются очаги различных размеров, преимущественно малой и средней интенсивности.


7
7
8
8

 

С учётом клиники и скиалогической картины высказано предположение о наличии правосторонней верхнедолевой полисегментарной пневмонии. После проведения противовоспалительного лечения рекомендовано обязательно произвести рентген-контроль.


9
9

 

 

Через 10 дней пациент направлен на контрольное рентгенологическое исследование. На цифровых флюорограммах (иллюстрации 10 и 11)

10
10
11
11

сохраняется снижение прозрачности легочной ткани в верхней доле в заднем и передних сегментах верхней доли правого лёгкого. Тень правого корня в области тела расширена, гомогенизирована, бесструктурна. На линейных томограммах в прямой проекции (иллюстрации 12, 13)


12
12
13
13

определяется участок пневмонита, с преобладанием «линейных компонентов», имеющих направление к костальной плевре. Тень корня в области тела расширена, гомогенизирована, на фоне тени корня определяются отдельные обызвествленные мелкие бронхопульмональные лимфатические узлы. На фрагментах томограмм (иллюстрации 14, 15)


14
14
15
15

хорошо видны средних и крупных размеров очаги малой и средней интенсивности, которые четко дифференцируются в средних и нижних отделах легочных полей.

 

 

 

 

 

 

С учетом теневой картины, отсутствием динамики от проведенного противовоспалительного лечения, выставлен диагноз «Бронхиоло – альвеолярный рак обоих лёгких». В плане проведения дифференциальной диагностики рекомендована консультация фтизиатра и исследование мокроты.

 

Данные предоставил  Катенёв Валентин Львович, г. Бирюч Белгородской области. МУЗ «Красногвардейская центральная районная больница», зав. рентгенологическим отделением.

 

Бронхиоло-альвеолярный paк легкого (литературные данные).

 

Бронхиоло-альвеолярный рак в доступной ли­тературе встречается под разными названиями. Наиболее часто встречается следующие термины: «аденоматоз легких», «первичномножестенная альвеолярно­клеточная опухоль», «бронхиолярный рак», «альвеолярно-клеточный рак», «слизеобразующая папиллярная аденокарцинома», «легочная альвеолярная аденома», «псевдопневмонический рак легкого», «аль­веолярный карциноз», «мультицентрическая альвеолярно-клеточная карциинома», «бронхиоло-альвеолярный рак» и др. В литературе встречается более 30 названий этого патологического процесса.

Впервые «аденоматоз» был описан французским исследователем L. Malassez в 1876 г. В 1903 г. Г. В. Шор описал бронхиоло-альвеоляр­ный рак в отечественной литературе.  J.Мusser называл эту форму рака «диффузным рака легкого».

 

Для бронхиоло-альвеолярного рака характерна пролиферация аль­веолярного и бронхиолярного эпителия, трансформирующегося в кубиче­ский  или цилиндрический.

 

Некоторые авторы высказывают предположение, что опухоль развивается внутри бронхиол из клеток эпителия, не секретирует сурфактант [Malik Rajeev et. аl., 1982], разрастаясь, имплантируется на внутренней поверхности альвеол. Затем происходит распространение опухоле­вых элементов на бронхиолы и перибронхиальные, периваскулярные и субплевральные лимфатические сосуды.

Данные микроскопии свидетельствуют, что в скоплениях опухолевых клеток нет собственной стромы. Опорой, и основой для пита­ния являются межальвеолярные перегородки, которые не инфильтрируются.

Литературные данные свидетельствуют, что бронхиоло-альвеолярный рак может иметь черты как доброкачественного, так и злокачественного процесса.

 

Ведущими клиническими симптомами данного заболевания являются: кашель, одышка, мокрота, повышение температуры тела, слабость.

 

Как отмечают многие авторы, наиболее характерным симптомом аденоматоза, является выделение большого количества (иногда до 2 л в сутки) пенистой слизисто-водянистой мокроты, иногда с прожилками крови. В ряде случаев данный симптом не наблюдается.

 

В некоторых случаях течение бронхиоло-альвеолярного рака может быть бессимптомным, на что указывают G. Spreafico и соавт. (1982),  С. Storey и соавт. (1953).

 

Розенштраух Л.С., Рыбакова Н.И., Виннер М.Г. отмечают, что течение процесса рецидивирующее, с периодическими обострениями по типу пневмонии, кашлем с раз­личным количеством мокроты. болями в грудной клетке, нарастаю­щей слабостью. Процесс медленно прогрессирует, к нему присоеди­няются явления сердечно-легочной недостаточности. Длительность заболевания составляет 1-7 лет. Клинический диагноз, как пра­вило, устанавливают по прошествии нескольких месяцев, иногда лет, а то и на вскрытии. Часто бронхиоло-альвеолярный рак трактуют как хроническая пневмония, пневмокониоз, инфильтративный и дис­семинированный туберкулез, саркоидоз.

По степени распространения процесса в легких различают огра­ниченную и диффузную формы.

Данные литературы свидетельствуют, что характерная теневая картина данного заболевания проявляется в виде двух форм:

- узелковой;

- диффузной.

Однако последние сообщения свидетельствуют, что такое деление чисто условное и в практике встречается довольно редко.

 

C.Storey с соавторами предложил несколько вариантов скиалогической картины. Он отмечает, что теневая картина данного заболевания рентгенологически может проявляться в виде:

- массивного плеврита;

- плеврита с узелками в том же или противоположном лёгком;

- инфильтративных изменений в одной доле;

- пневмониеподобного фокуса в одной доле;

- прикорневого уплотнения;

- солитарного периферического узла;

- двусторонних узловатых изменений во всех долях;

- односторонних узловатых изменений в одной или более долях;

- уплотнения одной области, с узловатыми изменениями повсюду;

- уплотнения лёгкого с узелками в противоположном лёгком;

- уплотнения всей или части доли;

- уплотнения всего лёгкого.

 

 

Сообщения свидетельствуют, патологический процесс начинается в виде узла или нескольких узелков, с неровными, но четкими контурами. Структура узла чаще неоднородная, фрагментированная, легочная ткань вокруг опухоли мало изменена.

 

Единичные наблюдения бронхиоло-альвеоляр­ного рака, проявляющегося солитарным узлом, описаны В.И. Вла­совым и соавторами (1974), Э. Е. Эстис и соавторами (1976).

G. Spreafico и соавторы (1982) отмечали, что более, чем в 63 % с этой формой рака легкого обнаружена одноузловая тень диаметром 1-2 см.

 

И. Г. Даниляк и соавт. (1972) описали картину инфильтрации легочной ткани очагово-сливного характера с полостями распада.

Э. Е. Естис и З. В. Смирнова (1976) наблюдали инфильтративное уплотнение легочной ткани без четких границ, локализующееся в одном случае в верхней, в другом - в нижней долях.

Инфильтрация может захватывать сегмент или долю, обусловливая картину сегментита,  лобита, а иногда распространяется на все легкое.

М. М. Чаусовской и соавторами (1978) описаны случаи диффузной формы бронхиоло-альвеолярной формы. Эти авторы вы­деляют две формы диффузного поражения: пневмониеподобную, про­являющуюся массивным участком уплотнения легочной ткани, и дис­семинированную - в виде множественных рассеянных узелковых.

Динамическое наблюдение показывает, что в ряде случаев огра­ниченный узловой процесс по мере прогрессирования переходит в пневмониеподобную форму, инфильтрируя исходную анатомическую структуру и распространяясь на смежные отделы легкого.

Розенштраух Л.С., Рыбакова Н.И., Виннер М.Г. отмечают, что анализ форм рентгенологического про явления с учетом возмож­ности стертой клинической картины показывает, что по течению эта форма рака может походить на:

- периферический рак легкого;

- шаровидную хроническую пневмонию;

- диссеминирован­ный туберкулез;

- саркоидоз;

- пневмосклероз и др.

 

При дифференци­альной диагностике возникают значительные трудности. В этом плане решающее значение приобретает цитологическое исследование мок­роты и материалов, полученных при пункционной и катетеризацион­ной биопсии.

 

 

ВложениеРазмер
Иконка изображения 128.91 КБ
Иконка изображения 232.58 КБ
Иконка изображения 320.68 КБ
Иконка изображения 419.83 КБ
Иконка изображения 523.74 КБ
Иконка изображения 623.42 КБ
Иконка изображения 721.58 КБ
Иконка изображения 822.62 КБ
Иконка изображения 923.03 КБ
Иконка изображения 1031.34 КБ
Иконка изображения 1132.27 КБ
Иконка изображения 1216.88 КБ
Иконка изображения 1317.27 КБ
Иконка изображения 1425.92 КБ
Иконка изображения 1522.32 КБ