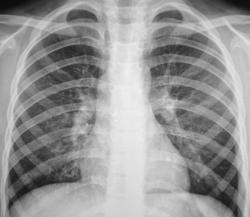
Бронхоэктазы в медио-базальном отделе правого лёгкого.

Пол пациента: 
Тип патологии: 
Методы исследования: 

Катенёв В.Л.

 

Случай из практики «Бронхоэктазы в медио-базальном отделе правого лёгкого».

(Рентгенологическое отделение МУЗ «Красногвардейская центральная районная больница» Белгородской области).

 

 

Пациент 5 лет. Направлен на рентгенографию органов грудной полости с диагнозом «Пневмония».

В настоящее время жалобы на кашель. Других жалоб нет. Мама ребенка отмечает, что сын часто болеет «простудными» заболеваниям.

 

Рентгенологическое исследование проведено на рентгенодиагностическом аппарате на 3 рабочих места «Вироматик» методом рентгенографии с оцифровкой изображения при помощи системы компьютерной радиографии Point-of-Care СR 120.

1.
1.

 

 

На рентгенограмме органов грудной полости (иллюстрация 1) справа в средних и нижних отделах легочного поля определяется усиление и обогащение легочного рисунка, имеет место усиление и обогащение тени правого корня в области хвоста. Медио-базально справа определяются ячеистые структуры.

2.
2.
3.
3.

 

 

После цифровой обработки изображения и увеличения его (иллюстрации 2, 3, 4) медио – базально определяются округлой, каплевидной и неправильной формы просветления, по всей видимости бронхоэктазы дизонтогенетического генеза.

4.
4.

 

Вокруг бронхоэктазов определяется снижение прозрачности легочной ткани.

ВложениеРазмер
Иконка изображения 1.95.45 КБ
Иконка изображения 2.75.36 КБ
Иконка изображения 3.77.95 КБ
Иконка изображения 4.68.3 КБ