Брюшная аорта

Пол пациента: 
Методы исследования: 

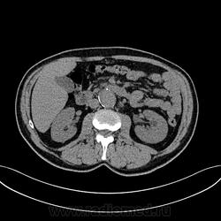
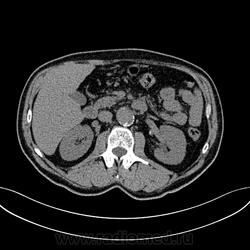
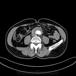
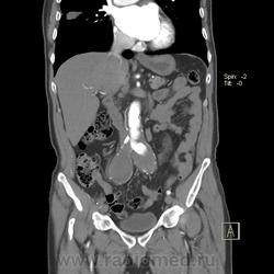
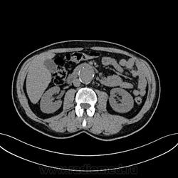
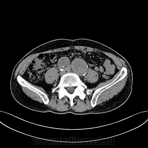
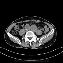
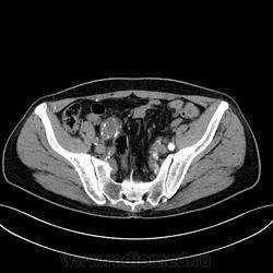
Пациент лежит в кардиологии. Прислали на аортографию. 2 врача УЗИ несколько разошлись в диагнозах: одна видит тромбированную аневризму брюшной аорты, другая - тромбоз нижней полой вены.

А мы получили вот такие красивые картинки.

  • https://radiomed.ru/sites/default/files/styles/case_slider_image/public/user/17760/img-0002-00001_2.jpg?itok=N-_CFFPH
  • https://radiomed.ru/sites/default/files/styles/case_slider_image/public/user/17760/img-0003-00001_2.jpg?itok=YnsDWlHV
  • https://radiomed.ru/sites/default/files/styles/case_slider_image/public/user/17760/img-0004-00001_2.jpg?itok=FirpQvQg
  • https://radiomed.ru/sites/default/files/styles/case_slider_image/public/user/17760/img-0005-00001_2.jpg?itok=7UHvd20L
  • https://radiomed.ru/sites/default/files/styles/case_slider_image/public/user/17760/img-0006-00001_1.jpg?itok=U28kMMh9
  • https://radiomed.ru/sites/default/files/styles/case_slider_image/public/user/17760/img-0007-00001_2.jpg?itok=9_fVFjP6
  • https://radiomed.ru/sites/default/files/styles/case_slider_image/public/user/17760/img-0008-00001.jpg?itok=khKZqGyW
  • https://radiomed.ru/sites/default/files/styles/case_slider_image/public/user/17760/img-0009-00001.jpg?itok=WdFNTlla
  • https://radiomed.ru/sites/default/files/styles/case_slider_image/public/user/17760/img-0010-00001_0.jpg?itok=W_ZFxBXp
  • https://radiomed.ru/sites/default/files/styles/case_slider_image/public/user/17760/img-0011-00001.jpg?itok=WDpW588f
  • https://radiomed.ru/sites/default/files/styles/case_slider_image/public/user/17760/img-0012-00001_0.jpg?itok=NNBcvZ8k
  • https://radiomed.ru/sites/default/files/styles/case_slider_image/public/user/17760/img-0013-00001.jpg?itok=5BAs3qeJ
  • https://radiomed.ru/sites/default/files/styles/case_slider_image/public/user/17760/img-0014-00001.jpg?itok=CS-l-fPH
  • https://radiomed.ru/sites/default/files/styles/case_slider_image/public/user/17760/img-0015-00001.jpg?itok=ibrr0SjB
  • https://radiomed.ru/sites/default/files/styles/case_slider_image/public/user/17760/img-0016-00001.jpg?itok=tCiKEf14
  • https://radiomed.ru/sites/default/files/styles/case_slider_image/public/user/17760/img-0017-00001.jpg?itok=F1uUb70-
  • https://radiomed.ru/sites/default/files/styles/case_slider_image/public/user/17760/img-0018-00001.jpg?itok=Q3hg80BN
  • https://radiomed.ru/sites/default/files/styles/case_slider_image/public/user/17760/img-0019-00001.jpg?itok=vbSxEg-c
ID:31674
Любовь С. аватар
Не на сайте
Был на сайте: 9 лет 5 месяцев назад
Зарегистрирован: 23.12.2010 - 01:58
Публикации: 2324

Шикарно! Тромбированная аневризма инфраренального отдела (над бифуркацией), бифуркации и общих подвздошных артерий, синдром Лериша справа.

"Предоставляя весь смысл и совершенство в распоряжение одного только Бога, вы избавляете себя от бездны хлопот." Джон Уитборн.

И.Бондаренко аватар
Не на сайте
Был на сайте: 3 дня 10 часов назад
Зарегистрирован: 13.09.2011 - 22:55
Публикации: 9206

Класс!

Shlyomka аватар
Не на сайте
Был на сайте: 11 лет 1 месяц назад
Зарегистрирован: 28.01.2013 - 11:51
Публикации: 109

Красивое исследование. Мне понравилось так)))

Shlyomka аватар
Не на сайте
Был на сайте: 11 лет 1 месяц назад
Зарегистрирован: 28.01.2013 - 11:51
Публикации: 109

И еще маленькая аневризмочка наружной подвздошной слева. Честно говоря, меня больше всего впечатлили коллатерали, благодаря которым клинически он вообще не соответствует исследованию. Конечности теплые, пульсация слабая, но как-то прослеживается...