Пол пациента:
Тип патологии:
Область исследования:
Методы исследования:
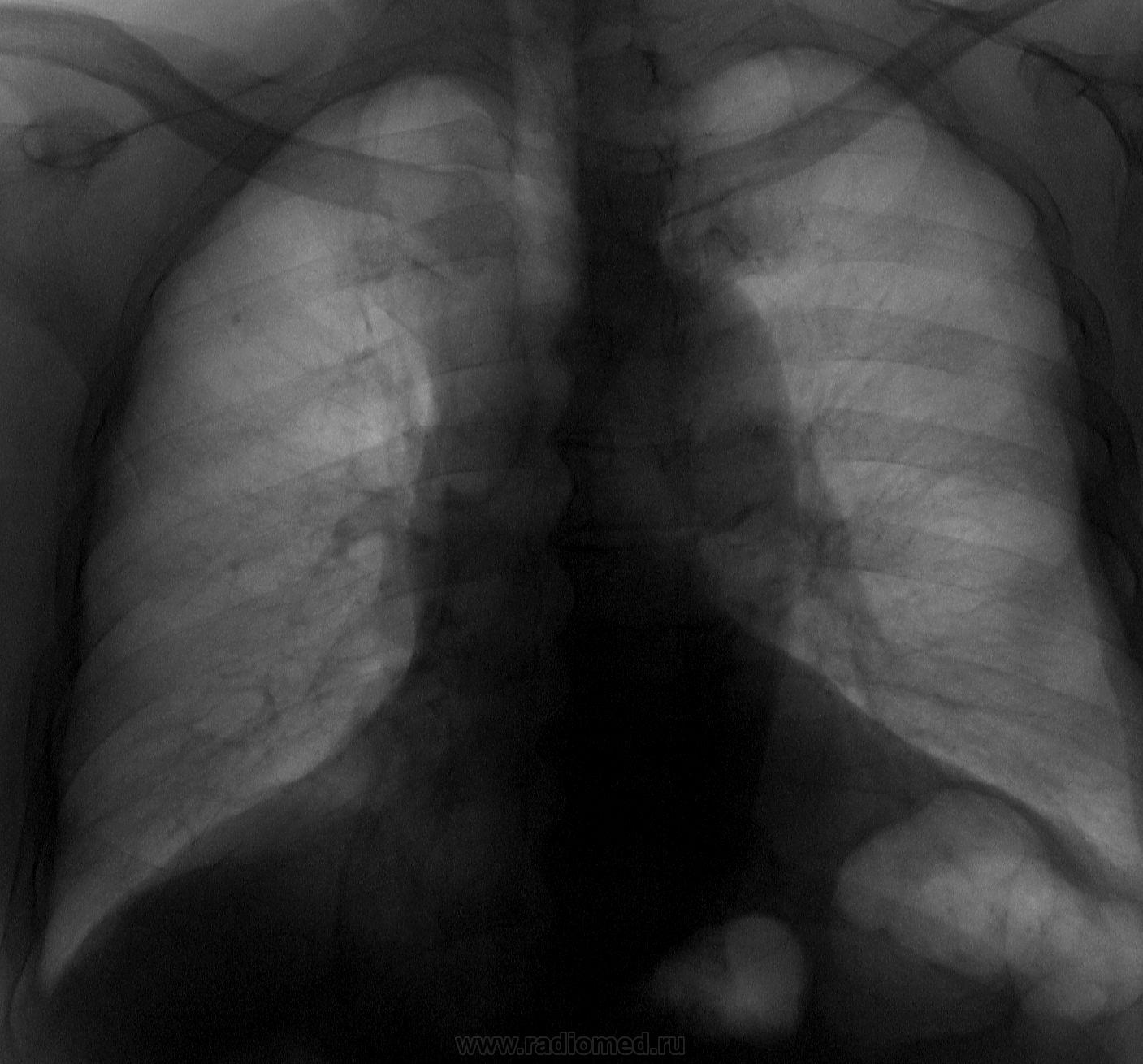
Идеальных легких не так много, вот и приходится из "неидеала" выбирать "норму", или "около нормы" ( типа. жил человек до этого, и дальше потянет). При большом потоке флгр. таких каждый день довольно много, если всех на контроль - не разгребешь. Тем более, если флюорограф не на основном месте работы, а ближайший кабинет через 7 этажей, и томограф не работает, а всего 0,5 ст...Ну вот такой дед, как сегодня - пришел на проф. флгр. Он набрал всячины за свою тяжелую социалистическую жизнь, или там справа нижняя доля спалась?
Какая-то диафрагма странная... По мне так пусть живет...
Да судя по междолевой с нижней долей нето.., на дообследование дедулю, хотя и подворот, но левое легочное поле больше и межреберные слева шире..
Виктор.
Да-а, а ведь не зря раньше по стандарту снимали две проекции...
--------------
"Просто, по видимости, не видеть логики в очевидных вещах - это тоже одно из свойств некоторых умов, наряду с грустными думами о свойствах ума других." © Vega 08/10/2011
в таких случаях лучше сравнить с архивом, если без зменений, то все нормально...
Так эта странная диафрагма и смущала (на подобии с-ма кулис). Иногда так доля ателектазирует, что и не заметишь, что ее нет. Хорошо, что есть архив. Хотя в первый раз особых подозрений у меня не возникло (судя по моему описанию). А все-таки динамика (или ее отсутствие) это помогает.
Аталектаз может и есть, но видно очень старый.. как исам дедуля...)
Виктор.
Коллеги - а если ...."... диафрагма опущена, имеет форму палатки".....Как вам такой расклад?...ведь диафрагма с двух сторон такая....так что пусть он живет дальше, единственное - поинтересоваться анамнезом ...ну там хронический бронхит....или еще какое чудо...
Болезни ног: виды, симптомы, причины, профилактика и лечение
При раздумьях делаю боковой, что по сто раз на одну и ту же тему думать, раздумья дороже стОят
Андрей Юрьевич