Рутинная рентгенология отошла от диагностики пороков, хотя заподозрить, и с довольно большой долей вероятности, порок возможно. Какие будут Ваши мнения по поводу представленных флюорограмм. Первая - до операции, вторая - после.
А если смысл искать порок по рентгенограммам, зачем? Когда есть ультразвук?
Да я и не ищу порок. Я поставлен уже перед свершившемся фактом ( мужику распанахали грудную клетку и скрутили грудину проволокой, может быть еще что-то сделали) и ретроспективно хочу убедиться, что все сделано не зря. Ведь я на обеих флгр. поставил нормы и никак не могу заподозрить аортальный порок. Может быть лекари решили бабок срубить?
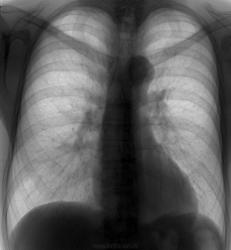
Кроме удлинения аорты ничего не вижу ( бывает при аортальном стенозе - из-за высокоскоростного потока через стенозированный клапан), такое положение аорты в возрасте 45 лет быть не должно. А боковушка есть?
Видимо, порок был, раз кардиохирурги затупили об пациента свои скальпели. Я бы тоже по снимкам к сердцу не прикопалась. Порок выставлен, вероятно, на основании эхокардиографии, которая произведена по поводу сердечных жалоб. Отсутствие изменений на RОГК порок не исключает. Были у меня такие детишки.
Я к рентгенодиагностике пороков сердца отношусь проще. Вижу кардиомегалию (по сравнению с возрасной нормой), пишу: "Кардиомегалия. ВПС?" и рекомендую ЭКГ, эхоКГ и консультацию кардиолога.
Видимо, порок был, раз кардиохирурги затупили об пациента свои скальпели. Я бы тоже по снимкам к сердцу не прикопалась. Порок выставлен, вероятно, на основании эхокардиографии, которая произведена по поводу сердечных жалоб. Отсутствие изменений на RОГК порок не исключает. Были у меня такие детишки.
Я к рентгенодиагностике пороков сердца отношусь проще. Вижу кардиомегалию (по сравнению с возрасной нормой), пишу: "Кардиомегалия. ВПС?" и рекомендую ЭКГ, эхоКГ и консультацию кардиолога.
Насколько мне помнится, при стенозе а.клапана - аорта не выражена ( разве восходящая ). А левый желудочек резко гипертрофирован. А таких сердец да в довольно не юношеских возрастах можно нагрести из 120-140 ежедневных флгр.столько, что не хватит ЭХО и др.аппаратов. А с меня смеятся будут. А с другой стороны, сколько тогда я пропустил такой патологии?
Видимо, порок был, раз кардиохирурги затупили об пациента свои скальпели. Я бы тоже по снимкам к сердцу не прикопалась. Порок выставлен, вероятно, на основании эхокардиографии, которая произведена по поводу сердечных жалоб. Отсутствие изменений на RОГК порок не исключает. Были у меня такие детишки.
Я к рентгенодиагностике пороков сердца отношусь проще. Вижу кардиомегалию (по сравнению с возрасной нормой), пишу: "Кардиомегалия. ВПС?" и рекомендую ЭКГ, эхоКГ и консультацию кардиолога.
Насколько мне помнится, при стенозе а.клапана - аорта не выражена ( разве восходящая ). А левый желудочек резко гипертрофирован. А таких сердец да в довольно не юношеских возрастах можно нагрести из 120-140 ежедневных флгр.столько, что не хватит ЭХО и др.аппаратов. А с меня смеятся будут. А с другой стороны, сколько тогда я пропустил такой патологии?
Если бы эти все гипертрофии были пороками кардиохирургии в поликлиниках пришлось бы открывать.
Тем болле что после операции необходим УЗ контроль, там и обьем и давление в камерах покажет,а гадать по обзоркам это не дело! Ретгендиагностика пороков это прошлый век, плюс лучевая нагрузка.
А если смысл искать порок по рентгенограммам, зачем? Когда есть ультразвук?
Да я и не ищу порок. Я поставлен уже перед свершившемся фактом ( мужику распанахали грудную клетку и скрутили грудину проволокой, может быть еще что-то сделали) и ретроспективно хочу убедиться, что все сделано не зря. Ведь я на обеих флгр. поставил нормы и никак не могу заподозрить аортальный порок. Может быть лекари решили бабок срубить?
Я бы тоже порок по данным р-граммам не поставил.Если бы .как написано в выписке , был аортальный стеноз 3 ст, с кальцинозом 3+ ,то сосудистый рисунок легких дал бы о себе знать,ничего подобного на первичной р-грамме нет. Может быть клиника была ? Как то они вышли на этот диагноз?
Я бы тоже порок по данным р-граммам не поставил.Если бы .как написано в выписке , был аортальный стеноз 3 ст, с кальцинозом 3+ ,то сосудистый рисунок легких дал бы о себе знать,ничего подобного на первичной р-грамме нет. Может быть клиника была ? Как то они вышли на этот диагноз?
Действительно интересно по какому поводу делали узи и что писали про желудочек?
Кроме удлинения аорты ничего не вижу ( бывает при аортальном стенозе - из-за высокоскоростного потока через стенозированный клапан), такое положение аорты в возрасте 45 лет быть не должно...
по данному рентген-снимку вполне можно предположить стеноз аортального клапана. Здесь аортальная форма сердца. Левый желудочек явно увеличен (четвертая дуга слева), если не ошибаюсь, доходит до среднеключичной линии или даже дальше. Верхняя граница дуги аорты несколько превышает тени ключиц, хотя в норме должна быть ниже их, то есть тень аорты удлинена. Это постстенотическое расширение восходящего отдела аорты - струя крови, проходя через стенозированный клапан, бьет в стенку аорты, чем вызывает ее расшиение и удлинение в этом месте.
На рентгенограммах виден только массивный кальциноз клапанов сердца.
Не знаю, как у кого, а у нас в Беларуси R ОГП назначают при пороках сердца, кардиомиопатиях и иных сердечных делах для оценки кровотока в малом круге кровообращения, а не для оценки клапанов и камер сердца.
А вообще коллегам-клиницистам надо верить. Когда этому нет противопоказаний.
А если смысл искать порок по рентгенограммам, зачем? Когда есть ультразвук?
EVERYBODY LIES!
Да я и не ищу порок. Я поставлен уже перед свершившемся фактом ( мужику распанахали грудную клетку и скрутили грудину проволокой, может быть еще что-то сделали) и ретроспективно хочу убедиться, что все сделано не зря. Ведь я на обеих флгр. поставил нормы и никак не могу заподозрить аортальный порок. Может быть лекари решили бабок срубить?
Кроме удлинения аорты ничего не вижу ( бывает при аортальном стенозе - из-за высокоскоростного потока через стенозированный клапан), такое положение аорты в возрасте 45 лет быть не должно. А боковушка есть?
Видимо, порок был, раз кардиохирурги затупили об пациента свои скальпели. Я бы тоже по снимкам к сердцу не прикопалась. Порок выставлен, вероятно, на основании эхокардиографии, которая произведена по поводу сердечных жалоб. Отсутствие изменений на RОГК порок не исключает. Были у меня такие детишки.
Я к рентгенодиагностике пороков сердца отношусь проще. Вижу кардиомегалию (по сравнению с возрасной нормой), пишу: "Кардиомегалия. ВПС?" и рекомендую ЭКГ, эхоКГ и консультацию кардиолога.
Насколько мне помнится, при стенозе а.клапана - аорта не выражена ( разве восходящая ). А левый желудочек резко гипертрофирован. А таких сердец да в довольно не юношеских возрастах можно нагрести из 120-140 ежедневных флгр.столько, что не хватит ЭХО и др.аппаратов. А с меня смеятся будут. А с другой стороны, сколько тогда я пропустил такой патологии?
Тем болле что после операции необходим УЗ контроль, там и обьем и давление в камерах покажет,а гадать по обзоркам это не дело! Ретгендиагностика пороков это прошлый век, плюс лучевая нагрузка.
EVERYBODY LIES!
Похоже, что дровосеки...
видимо если бы был такой стеноз 3 ст...скиалогия должна была бы быть... и чего этотам за кровотечениее...как то мутновато..
Виктор Владимирович К.
Я бы тоже порок по данным р-граммам не поставил.Если бы .как написано в выписке , был аортальный стеноз 3 ст, с кальцинозом 3+ ,то сосудистый рисунок легких дал бы о себе знать,ничего подобного на первичной р-грамме нет. Может быть клиника была ? Как то они вышли на этот диагноз?
Oleg Lado
... Во как бывает!!
--------------
"Просто, по видимости, не видеть логики в очевидных вещах - это тоже одно из свойств некоторых умов, наряду с грустными думами о свойствах ума других." © Vega 08/10/2011
+
=
согласен на все 200%! Грицько Виталий - молодцом!!
--------------
"Просто, по видимости, не видеть логики в очевидных вещах - это тоже одно из свойств некоторых умов, наряду с грустными думами о свойствах ума других." © Vega 08/10/2011
по данному рентген-снимку вполне можно предположить стеноз аортального клапана. Здесь аортальная форма сердца. Левый желудочек явно увеличен (четвертая дуга слева), если не ошибаюсь, доходит до среднеключичной линии или даже дальше. Верхняя граница дуги аорты несколько превышает тени ключиц, хотя в норме должна быть ниже их, то есть тень аорты удлинена. Это постстенотическое расширение восходящего отдела аорты - струя крови, проходя через стенозированный клапан, бьет в стенку аорты, чем вызывает ее расшиение и удлинение в этом месте.
Странно. В выписке - "стеноз клапана". Как это "стеноз клапана", стеноз бывает, но "стеноз отверстия".
Бывает, наверное.Как поговаривала Ф.Раневская :"...есть, а слова нет?"
В выписке пишут, что есть кальциноз клапана. А на рентгенограмме его видно?
Medicus curat, natura sanat
На рентгенограммах виден только массивный кальциноз клапанов сердца.
Не знаю, как у кого, а у нас в Беларуси R ОГП назначают при пороках сердца, кардиомиопатиях и иных сердечных делах для оценки кровотока в малом круге кровообращения, а не для оценки клапанов и камер сердца.
А вообще коллегам-клиницистам надо верить. Когда этому нет противопоказаний.