А, были-ли подсказки? Ретроспектива?

Пол пациента: 
Тип патологии: 
Методы исследования: 

А, были-ли подсказки?   Ретроспектива?

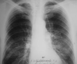
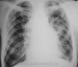
Отдельные снимки этого пациента выставлялись на сайте, но мы никогда не имели полного "набора", так как рентгенологические исследования проводились в трех ЛПУ - у нас и в двух ЛПУ областного уровня (спец. ЛПУ), где пациент получал специфическое лечение. Сегодня, мы имеем полный набор снимков, и мне показалось целесообразным выставить, именно, динамику....

Пациент был взят на контроль в 2009 году, было произведено дообследование в виде томографии в стандартных срезах, был заподозрен очаговый туберкуулёз, который был подтвержден " в области" и пациент был взят на учет. Было назначено специфическое лечение.

Через некоторое время было произведено плановое контрольное обследование.

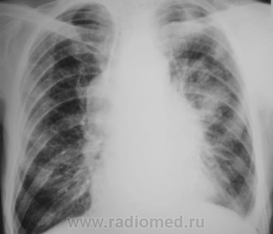
Следующее плановое исследование.

После проведения данного исследования возникло подозрение, что "это" не туберкулёз, или имеет место сочетанная патология.

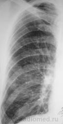
После первой госпитализации в областном спец. ЛПУ, при выписке, в виде контроля динамики, была сделана рентгенограмма в прямой проекции, которая, на мой взгляд, имеет определенный интерес.

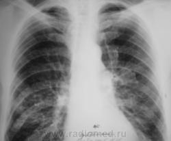
В последнее время пациент затежелел и был госпитализирован в областное ЛПУ, где было проведено несколько исследований.

1. Исследовавние.

2 Исследование.

В связи с появившейся осиплостью голоса пациенту была проведена томография гортани.

3. Исследование.

На следующий день после томографии гортани была произведена томография верхушек.

4. Исследование.

Пациент был выписан под наблюдение онколога по месту жительства.

  • https://radiomed.ru/sites/default/files/styles/case_slider_image/public/user/12/2.p9280026_0.jpg?itok=vbVA54bX
  • https://radiomed.ru/sites/default/files/styles/case_slider_image/public/user/12/3.p9280027_0.jpg?itok=D9UyhNj6
  • https://radiomed.ru/sites/default/files/styles/case_slider_image/public/user/12/1.p9280028_1.jpg?itok=hkbD5i0N
  • https://radiomed.ru/sites/default/files/styles/case_slider_image/public/user/12/2.p9280028a_1.jpg?itok=42Cd8UNS
  • https://radiomed.ru/sites/default/files/styles/case_slider_image/public/user/12/3.p9280029_0.jpg?itok=1JK1CxhB
  • https://radiomed.ru/sites/default/files/styles/case_slider_image/public/user/12/4.p9280030.jpg?itok=Y2TYigu5
  • https://radiomed.ru/sites/default/files/styles/case_slider_image/public/user/12/5.p9280031.jpg?itok=8MLwhOLm
  • https://radiomed.ru/sites/default/files/styles/case_slider_image/public/user/12/6.p9280031a.jpg?itok=PbnTsreC
  • https://radiomed.ru/sites/default/files/styles/case_slider_image/public/user/12/1.p9280032.jpg?itok=uRWX84rO
  • https://radiomed.ru/sites/default/files/styles/case_slider_image/public/user/12/2.p9280033.jpg?itok=dT5lT7nZ
  • https://radiomed.ru/sites/default/files/styles/case_slider_image/public/user/12/3.p9280033a.jpg?itok=ux2FLgpR
  • https://radiomed.ru/sites/default/files/styles/case_slider_image/public/user/12/4.p9280033ab.jpg?itok=dxMAux8G
  • https://radiomed.ru/sites/default/files/styles/case_slider_image/public/user/12/5.p9280034.jpg?itok=Z4dIHQWw
  • https://radiomed.ru/sites/default/files/styles/case_slider_image/public/user/12/6.p9280035.jpg?itok=2Au3xxYw
  • https://radiomed.ru/sites/default/files/styles/case_slider_image/public/user/12/7.p9280035a.jpg?itok=qmzfkhGl
  • https://radiomed.ru/sites/default/files/styles/case_slider_image/public/user/12/8.p9280036.jpg?itok=KXoY-p_W
  • https://radiomed.ru/sites/default/files/styles/case_slider_image/public/user/12/9.p9280039.jpg?itok=bXGS-gkp
  • https://radiomed.ru/sites/default/files/styles/case_slider_image/public/user/12/10.p9280039a.jpg?itok=rPVdjpKn
  • https://radiomed.ru/sites/default/files/styles/case_slider_image/public/user/12/11.p9280040.jpg?itok=kHnwIZsW
  • https://radiomed.ru/sites/default/files/styles/case_slider_image/public/user/12/12.p9280040a.jpg?itok=lKO_L5r2
  • https://radiomed.ru/sites/default/files/styles/case_slider_image/public/user/12/13.p9280040-1.jpg?itok=D7n6-lA8
  • https://radiomed.ru/sites/default/files/styles/case_slider_image/public/user/12/1.p9280041_0.jpg?itok=hHwGAYQ4
  • https://radiomed.ru/sites/default/files/styles/case_slider_image/public/user/12/2.p9280041a_0.jpg?itok=fqCdo9hI
  • https://radiomed.ru/sites/default/files/styles/case_slider_image/public/user/12/3.p9280042.jpg?itok=ivXWrEfH
  • https://radiomed.ru/sites/default/files/styles/case_slider_image/public/user/12/4.p9280042a.jpg?itok=P27GpQCF
  • https://radiomed.ru/sites/default/files/styles/case_slider_image/public/user/12/5.p9280043.jpg?itok=jft7EDuZ
  • https://radiomed.ru/sites/default/files/styles/case_slider_image/public/user/12/6.p9280043a.jpg?itok=GrfxuQgo
  • https://radiomed.ru/sites/default/files/styles/case_slider_image/public/user/12/1.p9280044.jpg?itok=MGiLzd5M
  • https://radiomed.ru/sites/default/files/styles/case_slider_image/public/user/12/2.p9280044a.jpg?itok=5vwktw6_
  • https://radiomed.ru/sites/default/files/styles/case_slider_image/public/user/12/3.p9280045.jpg?itok=XhR-uuGN
  • https://radiomed.ru/sites/default/files/styles/case_slider_image/public/user/12/4.p9280045a.jpg?itok=rfLlu7aU
  • https://radiomed.ru/sites/default/files/styles/case_slider_image/public/user/12/5.p9280046.jpg?itok=ZCluwzFh
  • https://radiomed.ru/sites/default/files/styles/case_slider_image/public/user/12/6.p9280046a.jpg?itok=nos8mg4Z
  • https://radiomed.ru/sites/default/files/styles/case_slider_image/public/user/12/7.p9280047.jpg?itok=2mA-gFSj
  • https://radiomed.ru/sites/default/files/styles/case_slider_image/public/user/12/8.p9280047a.jpg?itok=kNqoz1qM
  • https://radiomed.ru/sites/default/files/styles/case_slider_image/public/user/12/1.p9280048.jpg?itok=YG7TPb6j
  • https://radiomed.ru/sites/default/files/styles/case_slider_image/public/user/12/2.p9280048a.jpg?itok=uDo9wdwo
  • https://radiomed.ru/sites/default/files/styles/case_slider_image/public/user/12/3.p9280048ab.jpg?itok=kx_vO_B7
  • https://radiomed.ru/sites/default/files/styles/case_slider_image/public/user/12/4.p9280048abv.jpg?itok=7XZjffO1
  • https://radiomed.ru/sites/default/files/styles/case_slider_image/public/user/12/1.p9280049.jpg?itok=Y_-8_EG-
  • https://radiomed.ru/sites/default/files/styles/case_slider_image/public/user/12/2.p9280049a.jpg?itok=jn411MaM
  • https://radiomed.ru/sites/default/files/styles/case_slider_image/public/user/12/3.p9280050.jpg?itok=gDwFNxfX
  • https://radiomed.ru/sites/default/files/styles/case_slider_image/public/user/12/4.p9280050a.jpg?itok=MiTi5V8b
  • https://radiomed.ru/sites/default/files/styles/case_slider_image/public/user/12/1.p9280051.jpg?itok=T2Rt_0UQ
  • https://radiomed.ru/sites/default/files/styles/case_slider_image/public/user/12/2.p9280051a.jpg?itok=cjXECG6B
  • https://radiomed.ru/sites/default/files/styles/case_slider_image/public/user/12/3.p9280052.jpg?itok=BRZEVT5d
  • https://radiomed.ru/sites/default/files/styles/case_slider_image/public/user/12/4.p9280052a.jpg?itok=4K9UwtGm
  • https://radiomed.ru/sites/default/files/styles/case_slider_image/public/user/12/5.p9280053.jpg?itok=hSGjvJ9t
  • https://radiomed.ru/sites/default/files/styles/case_slider_image/public/user/12/6.p9280053a.jpg?itok=y5NFXcWC
  • https://radiomed.ru/sites/default/files/styles/case_slider_image/public/user/12/7.p9280054.jpg?itok=lHygR1pt
  • https://radiomed.ru/sites/default/files/styles/case_slider_image/public/user/12/8.p9280054a.jpg?itok=zFbPZS-t
ID:7348
Катенёв Валентин Львович аватар
Не на сайте
Был на сайте: 7 лет 5 месяцев назад
Зарегистрирован: 22.03.2008 - 22:15
Публикации: 54876

Какие мнения будут уважаемые коллеги?

Makcimalist аватар
Не на сайте
Был на сайте: 12 лет 1 месяц назад
Зарегистрирован: 08.05.2010 - 14:28
Публикации: 1994

1 - п/е первого контроля (снимки 4-9) - как отразили динамику (описание/заключение)?

    - изменения в левом лёгком (Написал бы - гиповентиляция н/доли?) не нашли отражения на Т-граммах (частично - 9 срез) : рекомендовал бы ФБС!

2 - прицельные Т-граммы на втором контроле : думаете патологические переломы (или уверены), травматический анамнез?

3 - На Т-графии гортани - изменения в правой стенке : ПОДТВЕРЖДЕНЫ лорами (биопсия?)?

 

--------------

"Просто, по видимости, не видеть логики в очевидных вещах - это тоже одно из свойств некоторых умов, наряду с грустными думами о свойствах ума других."  © Vega 08/10/2011

Катенёв Валентин Львович аватар
Не на сайте
Был на сайте: 7 лет 5 месяцев назад
Зарегистрирован: 22.03.2008 - 22:15
Публикации: 54876

"Травматического" анамнеза нет.

Makcimalist аватар
Не на сайте
Был на сайте: 12 лет 1 месяц назад
Зарегистрирован: 08.05.2010 - 14:28
Публикации: 1994

... вообще-то, и другие вопросы  не риторические...

--------------

"Просто, по видимости, не видеть логики в очевидных вещах - это тоже одно из свойств некоторых умов, наряду с грустными думами о свойствах ума других."  © Vega 08/10/2011

Катенёв Валентин Львович аватар
Не на сайте
Был на сайте: 7 лет 5 месяцев назад
Зарегистрирован: 22.03.2008 - 22:15
Публикации: 54876

Makcimalist wrote:

... вообще-то, и другие вопросы  не риторические...

Вы правы.

Makcimalist аватар
Не на сайте
Был на сайте: 12 лет 1 месяц назад
Зарегистрирован: 08.05.2010 - 14:28
Публикации: 1994

Когда-нибудь!!

... дождёмся и ответов?..

--------------

"Просто, по видимости, не видеть логики в очевидных вещах - это тоже одно из свойств некоторых умов, наряду с грустными думами о свойствах ума других."  © Vega 08/10/2011

Катенёв Валентин Львович аватар
Не на сайте
Был на сайте: 7 лет 5 месяцев назад
Зарегистрирован: 22.03.2008 - 22:15
Публикации: 54876

Ответы есть. Пациенту выставлена "четверка". Проведено шесть курсов "химии".

Makcimalist аватар
Не на сайте
Был на сайте: 12 лет 1 месяц назад
Зарегистрирован: 08.05.2010 - 14:28
Публикации: 1994

Катенёв Валентин Львович wrote:

Ответы есть...

... хотелось бы конкретизировать по заданным 1) и 3) вопросам...

 

--------------

"Просто, по видимости, не видеть логики в очевидных вещах - это тоже одно из свойств некоторых умов, наряду с грустными думами о свойствах ума других."  © Vega 08/10/2011

Катенёв Валентин Львович аватар
Не на сайте
Был на сайте: 7 лет 5 месяцев назад
Зарегистрирован: 22.03.2008 - 22:15
Публикации: 54876

С учетом срезы 11 см (снижение прозрачности легочной  ткани в медиальных отделах верхушечных сегментов), нами динамика была оценена, как "отрицательная.

ФБС была сделана в областном учреждении.

Томография гортани была также произведена в "области". ЛОРами был взят материал для биопсии.

Makcimalist аватар
Не на сайте
Был на сайте: 12 лет 1 месяц назад
Зарегистрирован: 08.05.2010 - 14:28
Публикации: 1994

Катенёв Валентин Львович wrote:

С учетом срезы 11 см (снижение прозрачности легочной  ткани в медиальных отделах верхушечных сегментов), нами динамика была оценена, как "отрицательная...

- конгломерат паратрахеальных л/узлов?? (а на Rg-грамме и признаков нет...)

Катенёв Валентин Львович wrote:

... ЛОРами был взят материал для биопсии.

- и?..

--------------

"Просто, по видимости, не видеть логики в очевидных вещах - это тоже одно из свойств некоторых умов, наряду с грустными думами о свойствах ума других."  © Vega 08/10/2011

Катенёв Валентин Львович аватар
Не на сайте
Был на сайте: 7 лет 5 месяцев назад
Зарегистрирован: 22.03.2008 - 22:15
Публикации: 54876

Все это было не в нашем ЛПУ - ЦРБ, а в областной туббольнице. Знаю только, что после биопсии диагноз был изменен, биопсия была также из лимфоузлов,  да и пациенту сильно похужело, сейчас уже не встает...