Что это?

Пол пациента: 
Тип патологии: 
Область исследования: 
Методы исследования: 

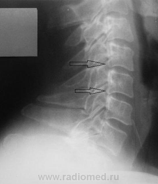
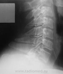
Уважаемые коллеги! Данные снимки произведены вне какой-либо связи с травмой или жалобами на боли. Просто такая картинка встречается довольно часто. Как Вы для себя интерпретируете такие деформации задних углов тел позвонков? Могут ли они вызывать неврологические жалобы? Является ли это следствием остеохондроза? На мой взгляд, на краевые костные разрастания в обычном их понимании это мало похоже.

 

  • https://radiomed.ru/sites/default/files/styles/case_slider_image/public/user/12/4._ChTO_eto.jpg?itok=pjgXJy51
  • https://radiomed.ru/sites/default/files/styles/case_slider_image/public/user/12/1._ChTO_eto.JPG?itok=WZL2EJDY
  • https://radiomed.ru/sites/default/files/styles/case_slider_image/public/user/12/2._ChTO_eto.JPG?itok=rfqWLqjN
ID:1118
Vikkur аватар
Не на сайте
Был на сайте: 5 лет 1 месяц назад
Зарегистрирован: 24.09.2009 - 14:34
Публикации: 1749

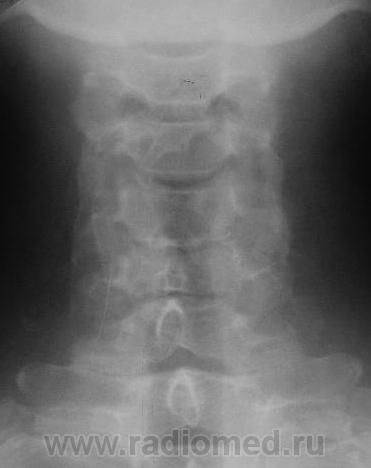
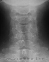
На рентгенограммах шейного отдела позвоночника в 2-х проекциях определяется сглаженность физиологического лордоза,  снижение высоты межпозвонковых дисков на уровне С4-5 2 ст., С5-6 1 ст., уплотнение замыкательных пластинок, скошенность передневерхних углов С3-7, деформация тела С4, передние осеофиты тел С4-С6, задние С5-6, остеофиты унковертебральных сочленений. Явления субхондрального склероза межпозвоночных суставов.

Заключение: Остеохондроз шейноо отдела позвоночника 2 ст. Спондилоартроз.

А компенсироваться может долго. P.S Ещё бы атлант глянуть...

Виктор.

Nela аватар
Не на сайте
Был на сайте: 6 лет 6 месяцев назад
Зарегистрирован: 12.05.2009 - 20:43
Публикации: 1847

Ничего особенного не вижу. Природа не любит идеальных форм и линий. Она за индивидуальность.

А все-таки зачем делали снимки, если жалоб нет? Любопытно.

Игорь Иванович аватар
Не на сайте
Был на сайте: 4 года 3 месяцев назад
Зарегистрирован: 23.01.2010 - 14:56
Публикации: 3695

Nela wrote:

Ничего особенного не вижу. Природа не любит идеальных форм и линий. Она за индивидуальность.

А все-таки зачем делали снимки, если жалоб нет? Любопытно.

Вполне согласен. Стрелки указывают на вариант формы. Хотя есть выпрямленность лордоза, и в дугоотросчатых суставах тоже нужно посмотреть. Но ведь за это нас не спрашивают.

Vikkur аватар
Не на сайте
Был на сайте: 5 лет 1 месяц назад
Зарегистрирован: 24.09.2009 - 14:34
Публикации: 1749

Понятно, значить просто форма такая. Понятно.

Виктор.

lupan аватар
Не на сайте
Был на сайте: 7 лет 3 месяцев назад
Зарегистрирован: 07.01.2010 - 17:17
Публикации: 1406

Nela wrote:

Ничего особенного не вижу. Природа не любит идеальных форм и линий. Она за индивидуальность.

А все-таки зачем делали снимки, если жалоб нет? Любопытно.

Здравствуйте все! Пациент бал направлен на мягкий снимок шеи по Земцову с подозрением на инородное тело глотки, в/3 пищевода (лакомился рыбкой). Здесь приведен фрагмент боковой R-граммы. Спасибо за Ваше мнение. Иногда такие картинки ставят меня в трудное положение, особенно если имеется остеохондроз. Моё мнение в принципе совпадает с Вашем. Однажды до хрипоты пришлось дискутировать с нервенным патологом по этому поводу, остались при своих.

Великое преймущество врача заключается в том, что он не обязан следовать собственным советам. ( А. Кристи)

Nela аватар
Не на сайте
Был на сайте: 6 лет 6 месяцев назад
Зарегистрирован: 12.05.2009 - 20:43
Публикации: 1847

А зачем спорить?! Неврологу неврологово, а рентгенологу рентгенологово. Вы описали снимки, поставили свою подпись под протоколом, а невролог, если не хочет может и не соглашаться. Спорить стоит только с коллегами. Не станете же Вы спорить с неврологом о неврологической симптоматике! Только не думайте, что я против дружбы с клиницистами, наоборот! Попросите невролога помочь Вам с клиникой, соответствует ли она Вашим находкам, может ли симптоматика соответствовать уровню поражения и т. д. А уж рентгенодиагностика - это Ваша работа.

lupan аватар
Не на сайте
Был на сайте: 7 лет 3 месяцев назад
Зарегистрирован: 07.01.2010 - 17:17
Публикации: 1406

Да нет, спорили мы с ним за кружкой пива, при этом всякое бывает. Мы с ним однокашники.

Великое преймущество врача заключается в том, что он не обязан следовать собственным советам. ( А. Кристи)

Garoto аватар
Не на сайте
Был на сайте: 14 лет 7 месяцев назад
Зарегистрирован: 23.01.2010 - 23:28
Публикации: 38

Остеохондроз и дефспондилез-неразлучные братья,может кто-то раньше проявится,кто-то позже!

Деформация задних углов тел-есть НЕПОСРЕДСТВЕННЫЙ признак Деформирующего спондилеза(значит,рядом остеохонроз и,вероятно,спондилоартроз),который вызывает проявления радикулярной симптоматики(там рядышком  с задними отделами тел корешки нервов выходят-авт.),и как следствие сего-выпрямление шейного лордоза для "декомпрессии" тех же самых нервов...Вспомните дедушек,которые при одностороннем радикулите на прямом снимке "дают" наклон в здоровую сторону!Здесь та же ситуация, только в сагитальной плоскости.

Спасибо за случай!)

Ум не замещает знания!

Almo аватар
Не на сайте
Был на сайте: 1 день 5 часов назад
Зарегистрирован: 28.09.2008 - 18:50
Публикации: 8306

Норма.Вариант строения лимба тел позвонков.Выпрямленность лордоза может быть следствием укладки. Диаметр корешка и диаметр спинно-мозгового отверстия в шейном отделе позвоночника соотносяться как 1:16 , если не ошибаюсь, т.е. 16-кратный запас прочности, для компенсации заложен природой в случае подобных конфликтов(компрессия корешка).Корешковые синдромы на шейном уровне редкость.Тем более клиники нет. О чём вести речь.Скверно,коллеги, когда мы свои умозрительные представления искренне подаём как истину.

Garoto аватар
Не на сайте
Был на сайте: 14 лет 7 месяцев назад
Зарегистрирован: 23.01.2010 - 23:28
Публикации: 38

1:16 - рентгенологически,с учетом мягких тканей ложа межпозвоночного отверстия,около 1:8(как нас "учат" неврологиПодмигиваю),если добавить отек,незначительную деформацию...Они аж "пенятся" порой из-за расхождений во мнениях...Но это другая история!)

То,что нет клиники полностью не исключает патологию,как я понимаю,или я ошибаюсь?Ведь можно дорыть анамнез и т.д....

ОГРОМНОЕ спасибо Almo за информацию!Буду иметь ввиду такой вариант строения!!!

Ум не замещает знания!