Что это может быть???!!!!

Пол пациента: 
Область исследования: 
Методы исследования: 

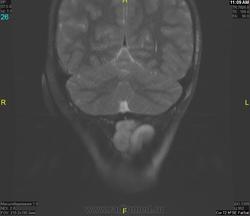
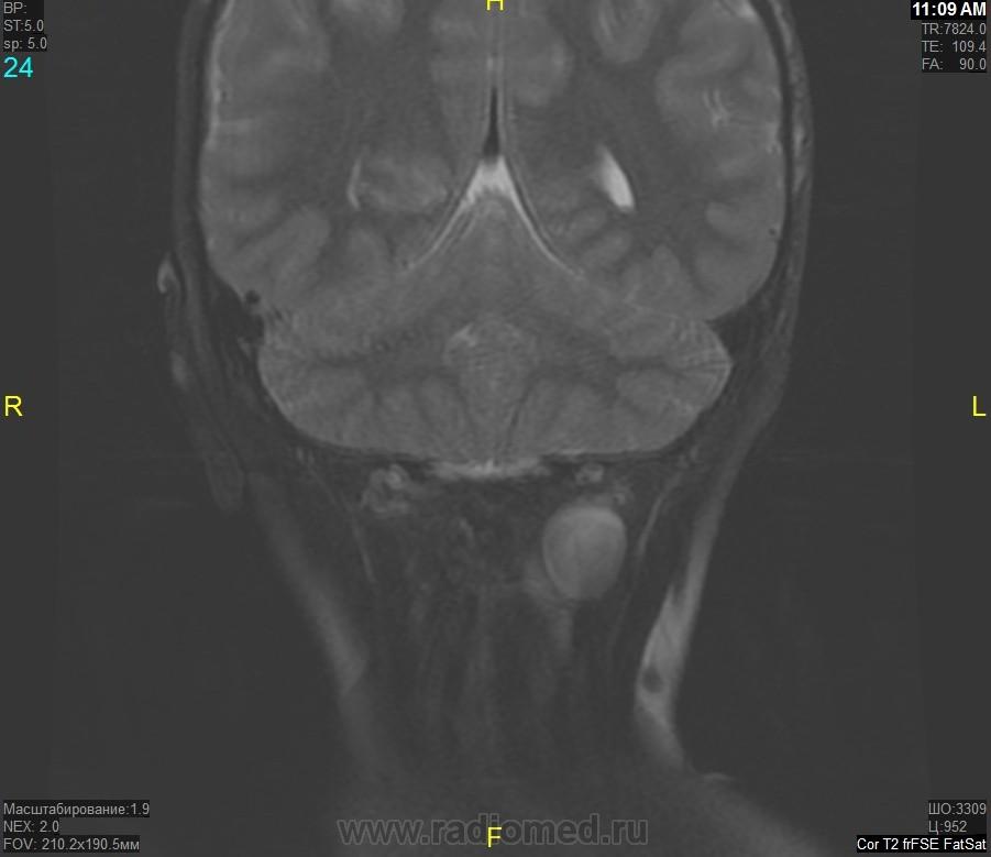
Уважаемые коллеги! Прошу консультативной помощи. Про пациента известно: девочка (7 лет), в анамнезе 2,5 года назад травма головы. Не диагностировалась. Периодически жалобы на болезненность при пальпации затылочной области(((((

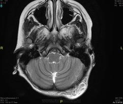
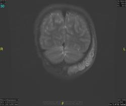
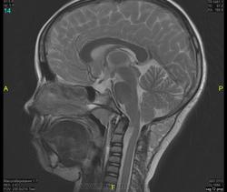
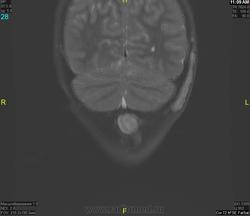
  • https://radiomed.ru/sites/default/files/styles/case_slider_image/public/user/2841/mrt-0-0_2.jpg?itok=qkato_i5
  • https://radiomed.ru/sites/default/files/styles/case_slider_image/public/user/2841/mrt-0-0_3.jpg?itok=iHaLw7zB
  • https://radiomed.ru/sites/default/files/styles/case_slider_image/public/user/2841/mrt-0-0_4.jpg?itok=CKSfQOY1
  • https://radiomed.ru/sites/default/files/styles/case_slider_image/public/user/2841/mrt-0-0_5.jpg?itok=NEG67E-1
  • https://radiomed.ru/sites/default/files/styles/case_slider_image/public/user/2841/mrt-0-0_6.jpg?itok=x7VHALBX
  • https://radiomed.ru/sites/default/files/styles/case_slider_image/public/user/2841/mrt-0-0_7.jpg?itok=NvSeva74
  • https://radiomed.ru/sites/default/files/styles/case_slider_image/public/user/2841/mrt-0-0_8.jpg?itok=DwNTebVB
  • https://radiomed.ru/sites/default/files/styles/case_slider_image/public/user/2841/mrt-0-0_9.jpg?itok=tVFemexK
  • https://radiomed.ru/sites/default/files/styles/case_slider_image/public/user/2841/mrt-0-0_10.jpg?itok=CWMYTNLR
  • https://radiomed.ru/sites/default/files/styles/case_slider_image/public/user/2841/mrt-0-0_11.jpg?itok=UqSuVmed
  • https://radiomed.ru/sites/default/files/styles/case_slider_image/public/user/2841/mrt-0-0_12.jpg?itok=kJEaBuln
  • https://radiomed.ru/sites/default/files/styles/case_slider_image/public/user/2841/mrt-0-0_13.jpg?itok=y-61QT8R
  • https://radiomed.ru/sites/default/files/styles/case_slider_image/public/user/2841/mrt-0-0_14.jpg?itok=_pe4of50
  • https://radiomed.ru/sites/default/files/styles/case_slider_image/public/user/2841/mrt-0-0_15.jpg?itok=IYGsWMEC
  • https://radiomed.ru/sites/default/files/styles/case_slider_image/public/user/2841/mrt-0-0_16.jpg?itok=NJzkXxo2
  • https://radiomed.ru/sites/default/files/styles/case_slider_image/public/user/2841/mrt-0-0_17.jpg?itok=MTcRHim2
  • https://radiomed.ru/sites/default/files/styles/case_slider_image/public/user/2841/mrt-0-0_18.jpg?itok=BQKfEYyQ
  • https://radiomed.ru/sites/default/files/styles/case_slider_image/public/user/2841/mrt-0-0_19.jpg?itok=NjaOlQwq
  • https://radiomed.ru/sites/default/files/styles/case_slider_image/public/user/2841/mrt-0-0_20.jpg?itok=mCExRlOC
  • https://radiomed.ru/sites/default/files/styles/case_slider_image/public/user/2841/mrt-0-0_21.jpg?itok=nKALhkqD
  • https://radiomed.ru/sites/default/files/styles/case_slider_image/public/user/2841/mrt-0-0_22.jpg?itok=aFWjWOU3
ID:33094
Helios аватар
Не на сайте
Был на сайте: 7 месяцев 3 недели назад
Зарегистрирован: 06.08.2010 - 15:16
Публикации: 4417

Напоминает сосудистую структуру.Может, какая-нибудь лимфангиома?Видела на передней поверхности шеи, на задней - нет.

Helios аватар
Не на сайте
Был на сайте: 7 месяцев 3 недели назад
Зарегистрирован: 06.08.2010 - 15:16
Публикации: 4417

Вот нашла на Радиографии.

У меня тоже девочка была несколько месяцев назад, но на передней поверхности шеи.

Приложения: 
limfangioma.jpg
unre_ALL аватар
Не на сайте
Был на сайте: 7 лет 11 месяцев назад
Зарегистрирован: 15.09.2010 - 14:52
Публикации: 187

как будто связь с ликвором имеется.  Дополнил бы венографией, и FatSat"ом ну и контрастом, конечно.

 

-------------------------------------------------------------------------------------------------

Я получил счет от хирургов. Теперь мне понятно, почему эти парни работают в масках. 

Helios аватар
Не на сайте
Был на сайте: 7 месяцев 3 недели назад
Зарегистрирован: 06.08.2010 - 15:16
Публикации: 4417

Как будто бы и есть, но что-то слишком уж извитой  ход у этой "штуковины".

Дарья23 аватар
Не на сайте
Был на сайте: 7 лет 10 месяцев назад
Зарегистрирован: 08.11.2013 - 01:12
Публикации: 14

Сегодня в ходе разговора с мамой девочки, выяснилось, что и у мамы есть подобное "образование". С ее слов, несколько лет назад ей делали пункцию для исключения онкологии. Результат пункции: содержится нервная ткань и лимфоциты ( опять же никаких документов я не видела). То есть можно говорить о наследственном характере.

Контраст будем рекоменлдовать, но в связи с особенностями получения направления на МРТ, получится сделать примерно через месяц.

Евгений Второй аватар
Не на сайте
Был на сайте: 1 месяц 6 дней назад
Зарегистрирован: 13.09.2011 - 22:00
Публикации: 1772

Нейрофиброма вполне может быть. Плексиформная. Проверить на нейрофиброматоз. Я видел такой же структуры и локализации. Пятен на коже нет? Вообще на теле? И нет ли чего похожего в позадиглоточном пространстве?

Дарья23 аватар
Не на сайте
Был на сайте: 7 лет 10 месяцев назад
Зарегистрирован: 08.11.2013 - 01:12
Публикации: 14

есть похожее образование в позадиглоточном пространстве)

спасибо всем за помощь))

Helios аватар
Не на сайте
Был на сайте: 7 месяцев 3 недели назад
Зарегистрирован: 06.08.2010 - 15:16
Публикации: 4417

Дарья, не исчезайте, пожалуйста.Хотелось бы все же разобраться в данном случае.

федя аватар
Не на сайте
Был на сайте: 11 лет 7 месяцев назад
Зарегистрирован: 25.06.2011 - 20:28
Публикации: 260

многоузловое образование  исходящее из задней части предпозвоночного пространства с переходом на подкожную жировую клетчатку головы!шваннома ,нейрофиброма и их злокачественные аналоги