Как то ваш снимок плоховато подсвечен. Первое, что приходит на ум - фиброзно-кавернозный туберкульоз верхней доли правого легкого. Нужно больше информации: архивы, анамнез, боковой снимок сделать, пару линейных томмограм, в динамике посмотреть.
Качество мягко говоря не ахти! Мне видиться смещение срединной тени влево, в рпавом легком в средней доле 3 полостных образования вижу, и какой-то масс-эффект справа. Надо снимок лучшего качества, а так пока РДС и возможно клапанная блокация бронхиаьногодерева справа.
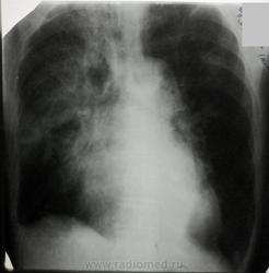
Негомогенное затенение вехней доли правого легкого полисегментарного объема гетерогенной интнесивности (от средней до высокой), с незначительным смещением трахеи вправо и тракцией правого корня кверху, с возможными полостями просветления в среднем легочном поле. Гиповентиляция правого легкого. Элевация купола диафрагмы справа, ограниченный гидроторакс в наружном реберно-диафрагмальном синусе справа и пристеночно (малое количество). Труба в трахее (интубация, ИВЛ). Слева - фокусные затенения верхней доли неправильной формы с неровным контуром. Кардиодилятация. Атеросклероз аорты.
Также "мерещится" большое круглое образование в проекции верхней доли справа, возможно, и осумкованный гидроторакс.
А правый главный бронх "поехал" вверх, и весь корень деформирован... Понятно, что пока (по этому снимку) двусторонняя пневмония, но справа, все-таки, между ФКТ и центральным раком. Дышать сам расхотел из-за пневмонии. Насчет периферического образования сомнительно, скиалогически.
Фиброзно-кавернозным tbc здесь и не пахнет.Учитывая объем патологии( и S1 справа,похоже в ателектазе.Засчетчего?) реком.КТ гр.кл.Рабочий диагноз-ТЭЛА,инфаркт-пневмония,осложненная правосторонним экссудативным плевритом.БАР тоже пока не искл.Инфаркт миокарда тоже никто не отменял.
Чтобы "перфорнуть"трахею в таком почтенном возрасте,нужно очень постараться.Гадаем на кофейной гуще-ни анализов,ни жалоб,ни анамнеза.Если есть возможность сделать КТ,учитывая тяжесть больного(он ведь- тяжелый?Я-права?)то ее нужно сделать.ТочкаЧем хоть лечат-то,кроме кислорода и АБ?
Ни на чем не настаиваю, но ТАКУЮ "пестрость" картины в верхне-медиальном отделе справа чем обьяснить....мнения были разные.
"Повреждение трахеи происходит чаще, чем принято думать. На каждые 100 интубаций приходится около 20-50 случаев. D.I.Astrachan с соавторами в 1988 г. провел исследования осложнений, связанных с интубацией. Из 52 больных были выявлены осложнения в 57%."
Я с вами полностью согласна,Виктор Григорьевич.При отсутствии информации остается только гадать.Но ведь мы-врачи,а не фотографы,чтобы при одном снимке с большим объемом патологии ставить диагнозЭто,по-моему,да я думаю и по-вашему,-не профессионально Встречаясь почти каждый день с катетеризацией бронхов,реже-с интубацией трахеи-перфорацию бронха наблюдала в единичных случаях(и то-субсегментарного,трахеи-ни разу)С уважением,Миргалина. P.S.КТ точно не сделают-больной-то на ИВЛ.
Я с вами полностью согласна,Виктор Григорьевич.При отсутствии информации остается только гадать.Но ведь мы-врачи,а не фотографы,чтобы при одном снимке с большим объемом патологии ставить диагнозЭто,по-моему,да я думаю и по-вашему,-не профессионально Встречаясь почти каждый день с катетеризацией бронхов,реже-с интубацией трахеи-перфорацию бронха наблюдала в единичных случаях(и то-субсегментарного,трахеи-ни разу)С уважением,Миргалина. P.S.КТ точно не сделают-больной-то на ИВЛ.
Миргалина, Вы, несомненно, правы.
Но не наш удел диагноз ставить, да еще и по одному снимку (опять же - с минимумом клиники, Вы тоже правы).
Меня всегда, как рентгенолога, интересует скиалогия. После обработки снимка уважаемым Валентином Львовичем "пестрота" не исчезла, она ПРОЯВИЛАСЬ еще больше. Больной лежит на спине, тут бы расширение иметь верхнего отдела центральной тени, а там ТАКАЯ размазаность. Почему? Что может ЭТО дать, такую картину. Либо распад, либо - воздух. Так и рассуждаю. А тут еще и трубочка эндотрахеальная имеется. А тут еще и дышать сам не может. Ведь не факт, что уже шею дует и там крепитация.
С уважением отношусь к любому труду, но все мы не безгрешны, сам - тоже. Но самое плохое надо исключать в первую очередь, имею ввиду ятрогению.
И опять я с вами полностью соглашаюсь.Давайте предложим автору снимков повторить их с захватом шеи,тогда можем увидеть подкожную эмфизему в мягких тканях в/о гр.кл.и узнаем-"дует"или нет?Согласны?
Евгений1313!Коллега высказал предположение о перфорации трахеи,и к КТ-вой бабушке ходить не надо,всего лишь снимок-для подтверждения или опровержения ,тем более,что автор молчит ,а,"дуть" может медленно
"Повреждение трахеи происходит чаще, чем принято думать. На каждые 100 интубаций приходится около 20-50 случаев. D.I.Astrachan с соавторами в 1988 г. провел исследования осложнений, связанных с интубацией. Из 52 больных были выявлены осложнения в 57%."
С этими авторами позволю себе не согласиться. Скарификации, отек, гематомы, пролежни - да, но чтобы у каждого второго-пятого была перфорация трахеи, так это мы бы пневмомедиастинумы по РГ видели бы каждый день по несколько штук, да и медиастинитов поприбавилось.
1. С возможной перфорацией погорячился, признаю!!!!)))
2. Отек легких - да, немного уходит.
3. Справа плевриты осумкованого характера (базальный, по ходу горизонтальной и косой междолевых щелей)
4. А вот изменения в верхне-медиальном отделе правого легкого тянутся во времени (есть кое что и на первичной рентгенограмме, которую автор показывал чуть ранее), здесь тоже склоняюсь к БАР.
ИМХО: на мой взгляд, даные за РДС на последней R-грамме неубедительны ( на основании каких признаков?). Единственно,о чём можно более-менее внятно вести речь , как уже сказал Виктор Григоьевич, это междолевой плеврит справа. Непонятно, за счёт чего имеет место нечёткость контура средостения справа, поэтому желательно иметь снимок в правой боковой проекции.
И все равно мне кажется без онкологии у дедушки не обошлось - ретроспективно справа не нравится "лохматый" корень. С периферическим образованием я погорячилась, но вид у легкого типично онкологический
Как же его такого "красивого" год назад отпустили,не дообследовав?И что у нас в ОАК?может еще чего "накопали"?Уж и c-r гортани и щитовидки в голову лезут. Сан Саныч,откликнитесь,пожалуйста!
Как то ваш снимок плоховато подсвечен. Первое, что приходит на ум - фиброзно-кавернозный туберкульоз верхней доли правого легкого. Нужно больше информации: архивы, анамнез, боковой снимок сделать, пару линейных томмограм, в динамике посмотреть.
"Обучая других - учишься сам". Н.И.Пирогов
Качество мягко говоря не ахти! Мне видиться смещение срединной тени влево, в рпавом легком в средней доле 3 полостных образования вижу, и какой-то масс-эффект справа. Надо снимок лучшего качества, а так пока РДС и возможно клапанная блокация бронхиаьногодерева справа.
Обработанные снимки.
Что за "труба", помеченная желтыми стрелками
Мне вообще видится крупное периферическое образование справа
Хочешь сделать что-то нормально - сделай это сам!
Пневмония до бронхоскопии. Боковой.
https://www.youtube.com/channel/UCBGxoBUOqUT_bFhSeUgtWEw
Предварительно пневмония справа? Нужен боковой снимок.
Негомогенное затенение вехней доли правого легкого полисегментарного объема гетерогенной интнесивности (от средней до высокой), с незначительным смещением трахеи вправо и тракцией правого корня кверху, с возможными полостями просветления в среднем легочном поле. Гиповентиляция правого легкого. Элевация купола диафрагмы справа, ограниченный гидроторакс в наружном реберно-диафрагмальном синусе справа и пристеночно (малое количество). Труба в трахее (интубация, ИВЛ). Слева - фокусные затенения верхней доли неправильной формы с неровным контуром. Кардиодилятация. Атеросклероз аорты.
Также "мерещится" большое круглое образование в проекции верхней доли справа, возможно, и осумкованный гидроторакс.
Диффдиагностика: ФКТ, рак правого легкого, правосторонняя деструктивная пневмония, ТЭЛА, инфаркт-пневмония. УХ, намешал! Разобраться бы.
Автору: ведите случай до исхода. Повторить бы снимки. Раздобыть через родню архив. Клиники хочется.
Verum plus uno esse non potest.
В дифряд добавила бы бронхиолоальвеолярный рак.
Делай, что должно, и будь, что будет.
пневмония пока (слева в верхне доле тоже есть инфильтрация). Хотя широкие и малоструктурные корни - может, альвеолярный отек?
Н.Б.
А правый главный бронх "поехал" вверх, и весь корень деформирован... Понятно, что пока (по этому снимку) двусторонняя пневмония, но справа, все-таки, между ФКТ и центральным раком. Дышать сам расхотел из-за пневмонии. Насчет периферического образования сомнительно, скиалогически.
С уважением,
Фиброзно-кавернозным tbc здесь и не пахнет.Учитывая объем патологии( и S1 справа,похоже в ателектазе.Засчетчего?) реком.КТ гр.кл.Рабочий диагноз-ТЭЛА,инфаркт-пневмония,осложненная правосторонним экссудативным плевритом.БАР тоже пока не искл.Инфаркт миокарда тоже никто не отменял.
А не "перфорнули" ли мы трахею...уж больно все на пневмомедиастинум смахивает в верхне-медиальном отделе справа
...+ отек легких...
Болезни ног: виды, симптомы, причины, профилактика и лечение
Снимок в положении лежа , со спины.Мне видится отек легких.Возьожно перелили.
Чтобы "перфорнуть"трахею в таком почтенном возрасте,нужно очень постараться.Гадаем на кофейной гуще-ни анализов,ни жалоб,ни анамнеза.Если есть возможность сделать КТ,учитывая тяжесть больного(он ведь- тяжелый?Я-права?)то ее нужно сделать.ТочкаЧем хоть лечат-то,кроме кислорода и АБ?
Ни на чем не настаиваю, но ТАКУЮ "пестрость" картины в верхне-медиальном отделе справа чем обьяснить....мнения были разные.
"Повреждение трахеи происходит чаще, чем принято думать. На каждые 100 интубаций приходится около 20-50 случаев. D.I.Astrachan с соавторами в 1988 г. провел исследования осложнений, связанных с интубацией. Из 52 больных были выявлены осложнения в 57%."
Это цитата, посмотрите по ссылке.
http://rusanesth.com/Genan/st_11_9.htm
Болезни ног: виды, симптомы, причины, профилактика и лечение
Это один из примеров
Болезни ног: виды, симптомы, причины, профилактика и лечение
Я с вами полностью согласна,Виктор Григорьевич.При отсутствии информации остается только гадать.Но ведь мы-врачи,а не фотографы,чтобы при одном снимке с большим объемом патологии ставить диагнозЭто,по-моему,да я думаю и по-вашему,-не профессионально Встречаясь почти каждый день с катетеризацией бронхов,реже-с интубацией трахеи-перфорацию бронха наблюдала в единичных случаях(и то-субсегментарного,трахеи-ни разу)С уважением,Миргалина. P.S.КТ точно не сделают-больной-то на ИВЛ.
Миргалина, Вы, несомненно, правы.
Но не наш удел диагноз ставить, да еще и по одному снимку (опять же - с минимумом клиники, Вы тоже правы).
Меня всегда, как рентгенолога, интересует скиалогия. После обработки снимка уважаемым Валентином Львовичем "пестрота" не исчезла, она ПРОЯВИЛАСЬ еще больше. Больной лежит на спине, тут бы расширение иметь верхнего отдела центральной тени, а там ТАКАЯ размазаность. Почему? Что может ЭТО дать, такую картину. Либо распад, либо - воздух. Так и рассуждаю. А тут еще и трубочка эндотрахеальная имеется. А тут еще и дышать сам не может. Ведь не факт, что уже шею дует и там крепитация.
С уважением отношусь к любому труду, но все мы не безгрешны, сам - тоже. Но самое плохое надо исключать в первую очередь, имею ввиду ятрогению.
Болезни ног: виды, симптомы, причины, профилактика и лечение
И опять я с вами полностью соглашаюсь.Давайте предложим автору снимков повторить их с захватом шеи,тогда можем увидеть подкожную эмфизему в мягких тканях в/о гр.кл.и узнаем-"дует"или нет?Согласны?
Ошибка:вместо" предложил"-чит:предложим
модер: (кнопка "Изменить" внизу справа поможет исправить комментарий)
Да ,ну зачем ходить к КТовой бабушке.Если есть подувание в ткани шеи, автор отметил бы.
Евгений1313!Коллега высказал предположение о перфорации трахеи,и к КТ-вой бабушке ходить не надо,всего лишь снимок-для подтверждения или опровержения ,тем более,что автор молчит ,а,"дуть" может медленно
Verum plus uno esse non potest.
Сан Саныч1, почтенная публика требует Вашего участия!
Verum plus uno esse non potest.
Публике отказать не могу, посему - он же, но годом ранее:
Хочешь сделать что-то нормально - сделай это сам!
Мнений море... Динамика должна все расставить на свои места.
"Обучая других - учишься сам". Н.И.Пирогов
А "свежий" снимок?
Миргалина, для вас, сделано 15 мин назад.
Хочешь сделать что-то нормально - сделай это сам!
Очень поддерживаю! И даже на 1 место!
Благодарю Сан Саныч1!Остаюсь при своих.Кажется неблагополучно и в верхнем средостении?А у Вас его от чего лечат?Держите нас,пожалуйста,в курсе.
1. С возможной перфорацией погорячился, признаю!!!!)))
2. Отек легких - да, немного уходит.
3. Справа плевриты осумкованого характера (базальный, по ходу горизонтальной и косой междолевых щелей)
4. А вот изменения в верхне-медиальном отделе правого легкого тянутся во времени (есть кое что и на первичной рентгенограмме, которую автор показывал чуть ранее), здесь тоже склоняюсь к БАР.
Болезни ног: виды, симптомы, причины, профилактика и лечение
ХОЗЛ, декомпенсация.
Хочешь сделать что-то нормально - сделай это сам!
Может, кстати, и фиброателектаз сегмента быть в в\доле справа...что этому самому ХОЗЛ и не противоречит...а не БАР...
Болезни ног: виды, симптомы, причины, профилактика и лечение
Конкретно по легким в беседе с реаниматологом, как человеком наиболее близким к телу, сошлись на ОРДСе или, по-современному, СОЛПе.
Хочешь сделать что-то нормально - сделай это сам!
Это -острый респираторный дистресс-синдром вы емеете в виду?
Ателектаз очень вероятен, особенно на фоне тотальной гиповентиляции правого легкого.
Хочешь сделать что-то нормально - сделай это сам!
Если это ОРДС, то почему ассиметричность изменений?
Сан Саныч1, нельзя ли всё-таки правую боковую R-грамму лёгких посмотреть.
Это точно РДС, а как итог РДС альвеолярный отек легких. Лучше давайте обсудим снимок год назад, там точно норму не написать. Какие мнения?
ИМХО: на мой взгляд, даные за РДС на последней R-грамме неубедительны ( на основании каких признаков?). Единственно,о чём можно более-менее внятно вести речь , как уже сказал Виктор Григоьевич, это междолевой плеврит справа. Непонятно, за счёт чего имеет место нечёткость контура средостения справа, поэтому желательно иметь снимок в правой боковой проекции.
Правый бок делать не пытались, т.к. ИВЛ+арман=деагностега
Хочешь сделать что-то нормально - сделай это сам!
В ОАК-то что?
Правый бок делать не пытались, т.к. ИВЛ+арман=деагностега
----------------------------------------------------------------------------------------------------------------------------------------------------------
ИМХО: Саша, ИВЛ и " Арман", ещё не такие непредолимые препятствия, что бы не попытаться выполнить правый боковой снимок лёгких.
Обратите внимание на верхние доли, особенно справа, на снимке за апрель прошлого года.
А учитывая еще и факт того, что на снимках за этот год есть все время поворот вправо, да и фон ОСНОВНЫХ проблем...
Болезни ног: виды, симптомы, причины, профилактика и лечение
И все равно мне кажется без онкологии у дедушки не обошлось - ретроспективно справа не нравится "лохматый" корень. С периферическим образованием я погорячилась, но вид у легкого типично онкологический
Как же его такого "красивого" год назад отпустили,не дообследовав?И что у нас в ОАК?может еще чего "накопали"?Уж и c-r гортани и щитовидки в голову лезут. Сан Саныч,откликнитесь,пожалуйста!
А мне кажется, что весь легочной рисунок, который был год назад, обусловлен легочной гипертензией на фоне сердечной патологии!
В том числе плотные очаги в в\долях?
Болезни ног: виды, симптомы, причины, профилактика и лечение