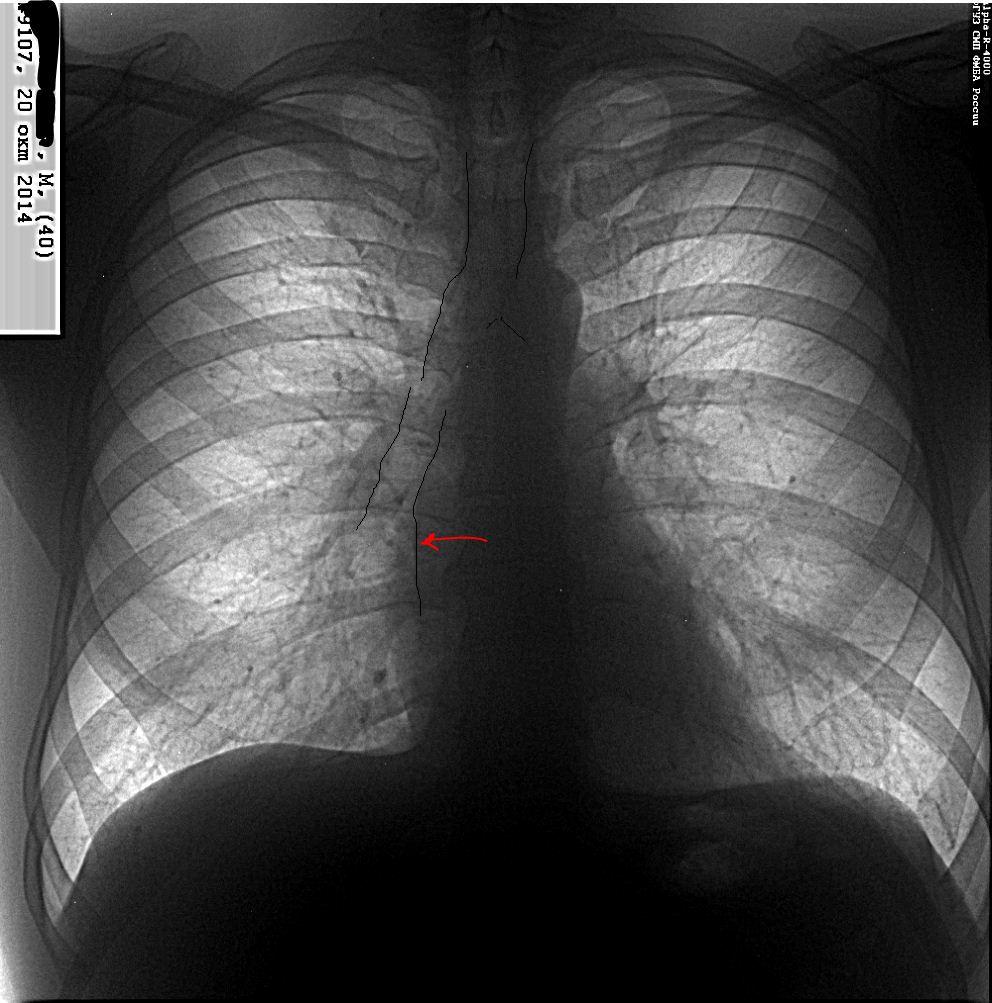
Медосмотр. Без жалоб. Подскажите, чем это может быть анатомически. Для обызвествления аорты в 40 лет рано. Плотнее и медиальнее правого контура предсердия. Может это "дно" т.н. атрио-пульмональной борозды, обусловленной захождением (огибанием) легочной тканью предсердия?

Не получилось загрузить картинку с рабочего компа.
Verum plus uno esse non potest.
Возможно нисходящая часть аорты. Проведите рентгеноскопиюю.
Я тоже думаю, что нисходящая аорта
Если так, то не широковата ли будет?
Болезни ног: виды, симптомы, причины, профилактика и лечение
За аорту
"Слушай всех, прислушивайся к немногим, решай сам".©
Нил, ну почему ТАК?...а не вот так?....если, конечно, не праволежащая?...но ведь не похоже)))
Болезни ног: виды, симптомы, причины, профилактика и лечение
"Слушай всех, прислушивайся к немногим, решай сам".©
Нил, аорта НЕ МОЖЕТ в норме быть краеобразующей 1-й дуги справа в прямой проекции - так меня учили, тогда еще УЗИ и КТ не было))))
Болезни ног: виды, симптомы, причины, профилактика и лечение
О! все рисуют! А я:
О, художники! Немного фантазии+художества=...Талантливые во всех отношениях рентгенологи! Но сейчас немного расстрою. Аорта здесь не при делах. Это контур ,так сказать ,края ложа атрио-пульмональной борозды, образованной медиастинальный плеврой( выходит на контур при "завороте" и обычно наблюдается только при цифровых снимках). Не знаю, понятно ли выразилась, но -не аорта.И не медиальный край бронха( для алкса), он-немного латеральней вправо( то есть влево от нас, средостения) уходит.
Признаю свою ошибку. Но я так старалась.!!! Не пропадать же трудам .
"Слушай всех, прислушивайся к немногим, решай сам".©
Что бы оно ни было, главное что не рак
"Слушай всех, прислушивайся к немногим, решай сам".©
Вот если честно, я не очень щепетильный врач. Прелести, не угрожающие пациентам масштабными проблемами, я игнорирую)
А так конечно спасибо коллегам за расширение кругозора, сайт радиомед очень в этом помогает
"Слушай всех, прислушивайся к немногим, решай сам".©
Всем спасибо за обсуждения. Сольвейг особенно - за солидарность. Кстати, картинка одинаковая с 2007 года по ФА. А вот нужная ссылочка http://www.internist.ru/articles/x-ray/x-ray_381.html
Verum plus uno esse non potest.
Д-р Brain...! Иногда мне кажется, что я с Вами одними глазами смотрю.
Verum plus uno esse non potest.
А я бы согласилась с NIL в том, что это тень восходящей аорты. Потому что атрио-пульмональная борозда (если я правильно понимаю, это azygo-esophageal recess) в норме здесь проходить не должна, она должна быть значительно левее. На рисунке я показала ее синим цветом, это ее нормальное положение, если же она смещена, то это патология, которая может быть вызвана патологией пищевода, расширением левого предсердия или образованиями средостения.
Вот ссылка на ассистент http://www.radiologyassistant.nl/en/p497b2a265d96d/chest-x-ray-basic-interpretation.html, первое и второе изображения сверху с интерпретацией.
https://www.instagram.com/pediatricradiology/
Не лучшая, но ссылка по анатомии средостения: https://www.google.ru/url?sa=i&rct=j&q=&esrc=s&source=images&cd=&cad=rja&uact=8&ved=0CAUQjhw&url=http%3A%2F%2Fwww.myshared.ru%2Fslide%2F362161%2F&ei=WiJVVNuuEcf4OomegYgB&bvm=bv.78677474,d.ZWU&psig=AFQjCNHltPUY48AC6MQ80fOjl0s259ZVCw&ust=1414951805539919
Не знаю, как ее сделать короче.
Мне думается, что для восходящей аорты слишком низко и прямолинейно.
Verum plus uno esse non potest.