Что бы это значило?

Пол пациента: 
Методы исследования: 

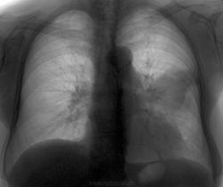
Бабушка из села, о такой штуке, как флюорография - "слыхом не слыхала", жалоб нет.

ID:33274
Helios аватар
Не на сайте
Был на сайте: 10 месяцев 2 недели назад
Зарегистрирован: 06.08.2010 - 15:16
Публикации: 4417

sad

stovbav аватар
Не на сайте
Был на сайте: 2 года 5 месяцев назад
Зарегистрирован: 20.12.2009 - 17:28
Публикации: 7066

Игорь Иванович, боковой покажите?))))

maker4ik аватар
Не на сайте
Был на сайте: 8 лет 9 месяцев назад
Зарегистрирован: 19.10.2011 - 17:49
Публикации: 2682

И я б на бокоой взглянула.

Сергей Кузьминов аватар
Не на сайте
Был на сайте: 1 год 3 месяцев назад
Зарегистрирован: 06.10.2012 - 15:51
Публикации: 11813

Похоже на плевральные дела,да вот средостение не влево ли уехало.Без бокового не написать заключение.

Игорь Иванович аватар
Не на сайте
Был на сайте: 4 года 1 неделя назад
Зарегистрирован: 23.01.2010 - 14:56
Публикации: 3695

Так хотел небольшой интриги, что безвозвратно удалил боковой. Уж очень похоже на междолевой плеврит, если б слева была междолевая плевра. А так... В общем завтра будет боковой и т.д.

Сергей Кузьминов аватар
Не на сайте
Был на сайте: 1 год 3 месяцев назад
Зарегистрирован: 06.10.2012 - 15:51
Публикации: 11813

Мы ждём.А в головке левого корня "круглит".

Сольвейг аватар
Не на сайте
Был на сайте: 3 года 8 месяцев назад
Зарегистрирован: 05.02.2013 - 20:25
Публикации: 2239

Так это рак

Дмитрий Волегов аватар
Не на сайте
Был на сайте: 3 года 9 месяцев назад
Зарегистрирован: 22.05.2013 - 00:32
Публикации: 1148

Ничего серьезного. Добавочная доля, врожденная киста, родинка на спине, платочек в кармашке... Больше не знаю.

С Уважением, Дмитрий.

Игорь Иванович аватар
Не на сайте
Был на сайте: 4 года 1 неделя назад
Зарегистрирован: 23.01.2010 - 14:56
Публикации: 3695

Небольшой отчет о проделанной работе. Перед боковой прозвучала жалоба на боли в левой половине грудной клетки и я подумал о плеврите. Но после боковой надежды на плеврит не оправдались. Направил в онко на КТ. К сожалению картинок выставить не могу. Но по заключению - тумор, деструкция ребра (оттуда и боль), мета в л/узлы средостения и правое легкое.

Приложения: 
1940r.n.11.11.2013_lev.bok_.jpg
Игорь Иванович аватар
Не на сайте
Был на сайте: 4 года 1 неделя назад
Зарегистрирован: 23.01.2010 - 14:56
Публикации: 3695

Cлучайно попали в руки данные КТ, решил выставить. Может кто-то что-то новое найдет и прокомментирует?

Приложения: 
s3_i5.jpgs3_i6.jpgs3_i7.jpgs3_i8.jpgs3_i9.jpgs3_i10.jpgs3_i11.jpgs3_i12.jpg
Игорь Иванович аватар
Не на сайте
Был на сайте: 4 года 1 неделя назад
Зарегистрирован: 23.01.2010 - 14:56
Публикации: 3695

И еще...

Приложения: 
s3_i13.jpgs3_i14.jpgs3_i15.jpgs3_i16.jpgs3_i17.jpgs3_i18.jpgs3_i19.jpgs3_i20.jpg2013-11-18-318.jpg
Любовь С. аватар
Не на сайте
Был на сайте: 9 лет 8 месяцев назад
Зарегистрирован: 23.12.2010 - 01:58
Публикации: 2324

Без дайкома нового не добавлю, не всё старое видно. Опухоль есть, мета в лимфоузлы есть.

"Предоставляя весь смысл и совершенство в распоряжение одного только Бога, вы избавляете себя от бездны хлопот." Джон Уитборн.