Пол пациента:
Тип патологии:
Область исследования:
Методы исследования:
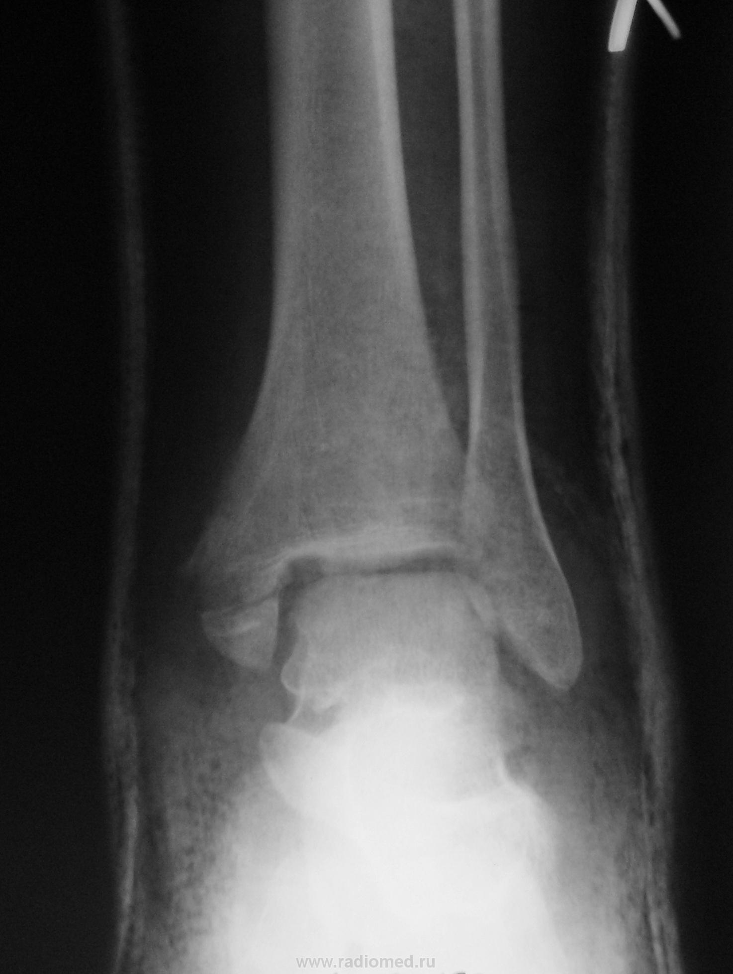
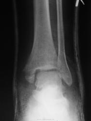
Молодой парень пришёл на приём для контроля после наложения гипса. Снимка сразу после травмы делал не у нас и с собой он их не принёс. Такую травму вижу впервые. Написал о переломе внутренней лодыжке. Таранная кость кажется повреждена и есть латеральный подвывих её. Что есть ещё или что написал лишнего?
Мне кажется, что укладка в боковой проекции выполнена абы как. Медиальная лодыжка поломана. Латеральный подвывих я бы не писала.
К сожалению да. Снимали в моё отсутствие.
Прийди к Себе
Перелом внутренней лодыжки и подвывих. "Задняя лодыжка" - ?
http://www.radiologyassistant.nl/en/4b6d817d8fade
https://www.youtube.com/channel/UCBGxoBUOqUT_bFhSeUgtWEw
Фаина и Людмила Григорьевна.
Прийди к Себе
Перелом медиальной лодыжки и заднего края большеберцовой кости. Подвывих бы не писал. И лучше выставлять снимки без гипса.
Интересно, а таранно-пяточный сустав полная норма, правда проекция не строго боковая.
Скорее всего наружний повивих устранен во время репозиции + накрылся ДМС.
состояние отломков неудовлетворительное, перелом внутренней лодыжки и заднего края очевиден, как и наружний подвывих. логично искать либо разрыв ДМС либо перелом наружной лодыжки
Спасибо Александр Викторович.
Прийди к Себе