
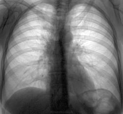
Сегодняшние флюшки. Женщина жалуется на простуду (кашель, субфибрилитет), бронхиты часты, пневмоний никогда не было. Думаю, без онко тут не обойдется, хотя в лоб пока не высказал. Намекал на КТ - нет денег. Сошлись на пневмонии с дальнейшим контролем. Какие будут мнения?
а скопия?
Опухоль в тройке. Если не КТ, то хотя бы линейку.
Возможно и в 3-ке, но больше склоняюсь к средостению
Увеличение лимфоузлов средостения, слева тоже непорядок.
Более склоняюсь к опухоли в S3.Конечно,нужна томография(любая).Спасибо,Игорь Иванович,за демонстрации случаев,а то из-за праздников на сайте затишье.
Не буду оригинален - есть ли архив? Каков возраст этой женщины?
Я думаю, что продолжение будет дней через 10. Линейную томограмму не делаем - думаю, что больше не хотим, чем не можем. В стационар она не ляжет - нет денег, придет на контроль на флюорограф. Но есть еще и ретроспективная динамика. Выставляю в качестве приобретения опыта и карьерного роста.
В 13 году справа были интересные изменения, может еще и туберкулез выплывет
Склоняюсь за пер.рак. Дообследование
Михай
Поставим пока точку в этом случае. Женщина сделала флюороконтроль только прямо (хоть я ей раньше говорил, что-бы делала контроль прямо и правым боком), мой компаньон поставил N с положительной динамикой. Не буду рыть...
Ура, вылечилась
Лимфоаденопатия при ОРВИ.
может быть структура рисунка такая.
Всё хорошо,что хорошо кончается.